Click here to close
Hello! We notice that you are using Internet Explorer, which is not supported by Xenbase and may cause the site to display incorrectly.
We suggest using a current version of Chrome,
FireFox, or Safari.
???displayArticle.abstract???
Basic transcription element binding protein (BTEB) is a member of the Krüppel family of zinc finger transcription factors. It has been shown that BTEB plays a role in promoting neuronal process formation during postembryonic development. In the present study, the biochemical properties, transactivation function, and the developmental and hormone-regulated expression of BTEB in Xenopus laevis (xBTEB) are described. xBTEB binds the GC-rich basic transcription element (BTE) with high affinity and functions as a transcriptional activator on promoters containing multiple or single GC boxes. xBTEB mRNA levels increase in the tadpolebrain, intestine and tail during metamorphosis, and are correlated with tissue-specific morphological and biochemical transformations. xBTEB mRNA expression can be induced precociously in premetamorphic tadpole tissues by treatment with thyroid hormone. In situ hybridization histochemistry showed that thyroid hormone upregulates xBTEB mRNA throughout the brain of premetamorphic tadpoles, with the highest expression found in the subventricular zones of the telencephalon, diencephalon, optic tectum, cerebellum and spinal cord. xBTEB protein parallels changes in its mRNA, and it was found that xBTEB is not expressed in mitotic cells in the developing brain, but is expressed just distal to the proliferative zone, supporting the hypothesis that this protein plays a role in neural cell differentiation.
Fig. 1.
Comparison of amino
acid sequences for mammalian
basic transcription element
binding protein (BTEB)1 and
Xenopus laevis
BTEB proteins.
The DNA-binding domain of
BTEB, containing the three Cys
2
–
His
2
zinc fingers (residues 145–
167, 175–197 and 205–227 of rat,
and residues 193–215, 223–245
and 253–275 of frog), is highly
conserved between mammals
and amphibians. Similarly, the
putative transcriptional activation
domains are highly conserved
(region A, residues 13–26 of both
rat and frog; region B, residues
33–50 of rat and residues 88–98
of frog). GenBank accession
numbers for amino acid sequences
are as follows: rat
(S25288), mouse (O35739),
human (XP_005584),
Xenopus
1A
(AAC59863) and 1B (AAC59864).
Red bars indicate the putative
transactivation domains (A and B)
and purple bars designate the
three zinc fingers (1, 2 and 3; DNA-binding domain). Four putative phosphorylation sites are designated ‘P’. Black shading indicates
identical amino acid residues and gray shading indicates conserved substitutions.
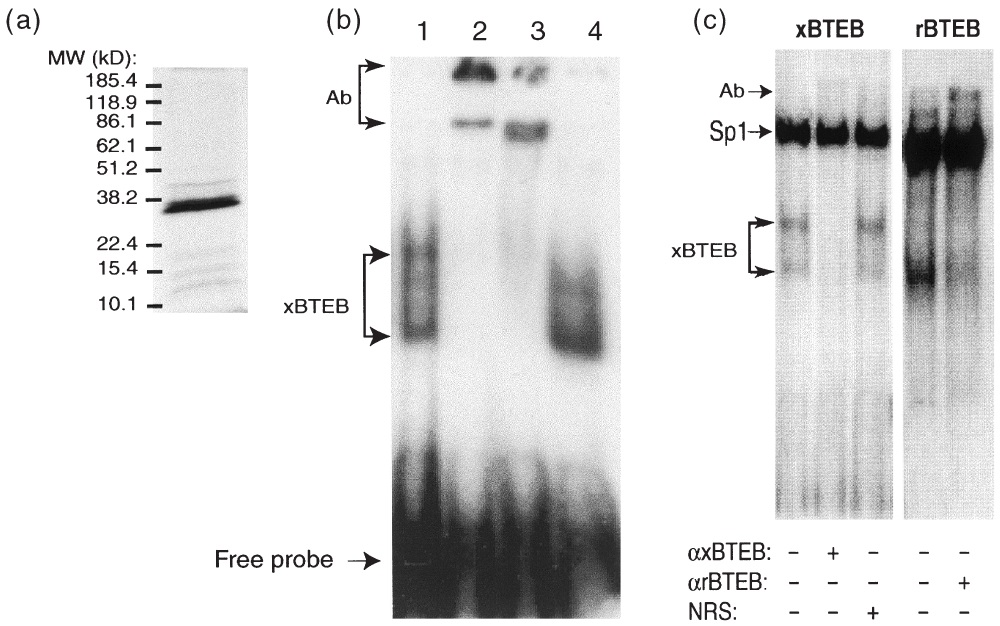
Fig. 2. Biochemical characterization
of Xenopus laevis basic transcription
element binding protein
(BTEB). (a) Flourogram of in vitro
expressed Xenopus BTEB (xBTEB)
protein resolved by sodium
dodecylsulfateâpolyacrylamide gel
electrophoresis (SDSâPAGE). The
apparent molecular mass of xBTEB
is 32 kDa, as predicted from the
nucleotide sequence. (b) Electrophoretic
mobility shift assay (EMSA)
of in vitro produced xBTEB
protein with labeled basic transcription
element (BTE) probe and
supershifted with either anti-
X. laevis or anti-rat BTEB serum
(lanes 2 and 3, respectively; Ab,
bands supershifted by antisera) or
normal rabbit serum (NRS; lane 4).
No supershifted bands were
observed with unprogrammed or
empty vector programmed lysate; data not shown. (c) Overexpression of X. laevis and rat BTEB in XTC-2 cells. EMSA analysis of
lysate from XTC-2 cells transiently transfected with either X. laevis or rat BTEB expression vector. Labeled BTE was used as the probe,
and either antixBTEB, antiratBTEB or NRS (lanes 2, 3 and 5, respectively) was added to the reaction (indicated below the gel). Arrows
show BTEB proteinâDNA complexes, BTE supershifted by endogenous Sp1 protein or antibody-supershifted complexes (Ab). These
BTEB proteinâDNA complexes were not observed in untransfected or empty vector transfected cell extracts (data not shown).
Fig. 3. Xenopus laevis basic transcription element binding
protein (BTEB) activates transcription from promoters containing
single or multiple GC boxes. CV1 cells were transfected as
described in the Materials and Methods and cultured for 24 h
before harvesting for analysis of chloramphenicol acetyl
transferase (CAT) expression. CAT content was normalized to
total cellular protein, and the data are expressed as fold change
relative to the control (empty expression vector transfected
cells = 1). (a) CV-1 cells were co-transfected with the designated
expression vectors plus the pSV2CAT promoter/reporter
plasmid (this native promoter contains six contiguous GC box
sequences.) The data in the graph represent the mean (± SEM)
of three separate transfection experiments. (b) CV-1 cells were
co-transfected with the designated expression vectors and
promoter/reporter vectors. The pSV/MC53 vector drives CAT
expression and contains the SV40 enhancer and a single GC
box sequence. The data in the graph represent the mean
(± SEM) of three replicates in one transfection experiment.
Asterisks in both upper and lower panels designate significant
differences from the controls (*, P < 0.05; **, P < 0.01 by
Student’s unpaired t-test).
Fig. 4. Dominant negative activity of xBTEB[DBD] on the xTR
promoter in Xenopus laevis XTC-2 cells. XTC-2 cells were transfected
with 1 μg xTR -promoter-CAT and varying amounts of
pCMV-xBTEB[DBD] as described in the Materials and Methods.
Cell extracts were analyzed for (a) basic transcription element
(BTE)-binding activity by electrophoretic mobility shift assay
(EMSA; P, probe only) or (b) for chloramphenicol acetyl transferase
(CAT) expression by CAT ELISA. In (b), cells were treated
with or without 30 nM 3,5,3 -triiodothyronine (T3) for 24 h before
harvest. Means of three replicates with SEM are given.
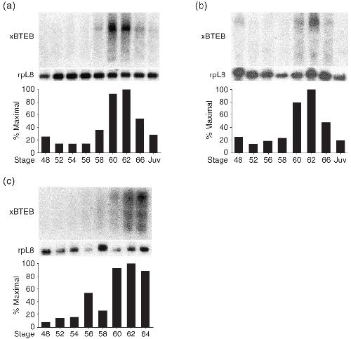
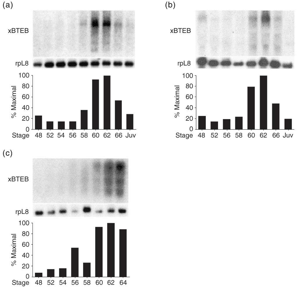
Fig. 5. Expression of the Xenopus
basic transcription element binding
protein (xBTEB) mRNA in the brain
(diencephalon), intestine and tail
during tadpole metamorphosis.
Tissues were collected from
Xenopus laevis tadpoles at different
developmental stages and analyzed
by northern blot. Representative
northern blots of the
developmental expression of xBTEB
mRNA in the tadpole (a) diencephalon,
(b) intestine and (c) tail.
Graphs show the densitometric
quantitation of northern blot data
(n = 3 per tissue). Bars in the graph
represent the mean mRNA level,
expressed as a percentage of
maximal expression.
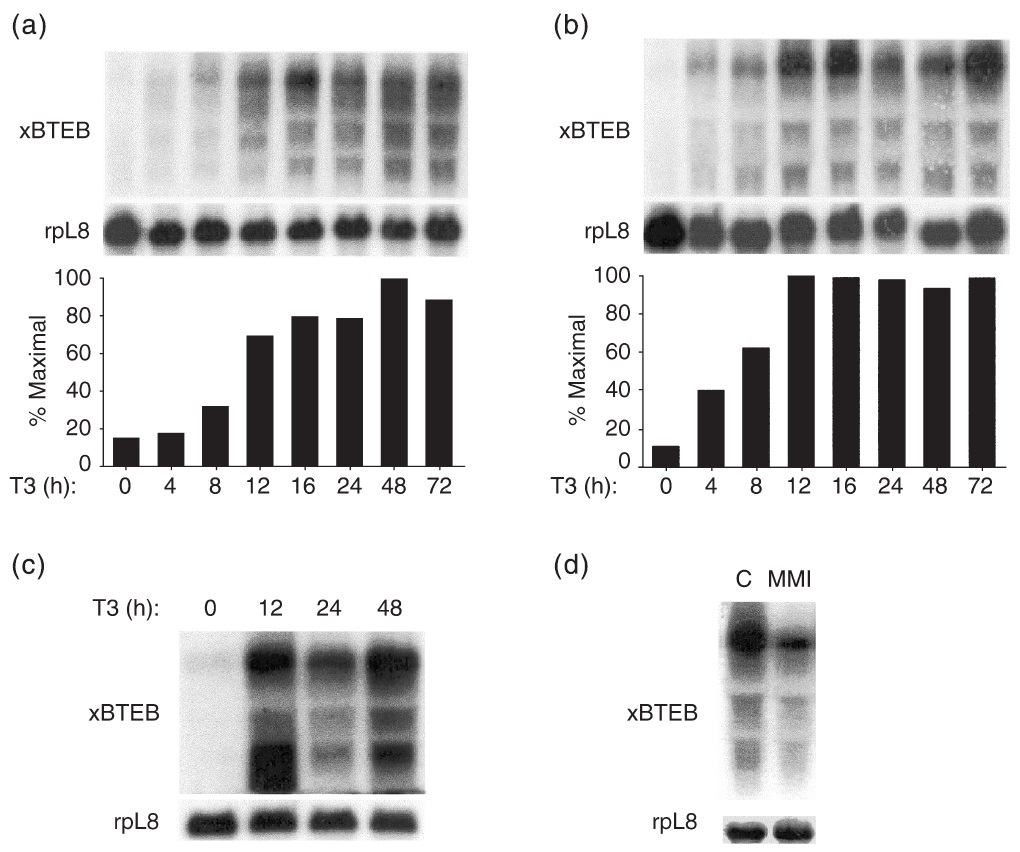
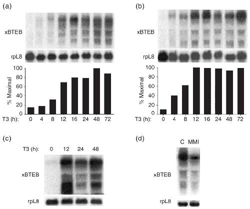
Fig. 6. 3,5,3 -triiodothyronine (T3)
upregulates Xenopus basic transcription
element binding protein
(xBTEB) mRNA in the brain
(diencephalon), intestine and tail of
premetamorphic Xenopus laevis
tadpoles. Stage 52 X. laevis
tadpoles were treated with either
50 nM (for brain and intestine blots)
or 200 nM T3 (for tail blot) in the
aquarium water and tissues were
collected at various times thereafter
and analyzed by northern
blot. Representative northern blots
of xBTEB mRNA expression in the
(a) diencephalon, (b) intestine and
(c) tail, respectively. Graphs show
the densitometric quantitation of
northern blot data (n = 3 per
tissue). Bars in the graphs represent
the mean mRNA level, expressed
as a percentage of maximal
expression (n = 3 blots per tissue).
(d) xBTEB gene expression during
metamorphosis depends on
thyroid hormone. Northern blot of
xBTEB mRNA expression in the
diencephalon of prometamorphic
(Nieuwkoop and Faber stage 58)
X. laevis tadpoles treated with the
goitrogen methimazole (1 mM) for
7 days.
Fig. 7. Xenopus basic transcription
element binding protein
(xBTEB) mRNA expression is induced
by 3,5,3 -triiodothyronine
(T3) in premetamorphic tadpole
brain. Nieuwkoop and Faber stage
52 tadpoles were treated with or
without 50 nM T3 for 48 h before
they were killed. Saggital sections
(10 μm) were hybridized with antisense
digoxigenin-labeled cDNA
probes for xBTEB (optic tectum,
xBTEB mRNA is green in panels A
and B [bar, 100 μm]; lateral motor
column, xBTEB mRNA is red in
panels C and D [bar, 50 μm]);
hybridization with sense probe
showed no staining (data not
shown). xBTEB mRNA and thyroid
hormone receptor (TR) protein are
expressed in the same cells. Dual
histochemistry for xBTEB mRNA
(red) and TR protein (green; analyzed
by immunohistochemistry)
was conducted (the lateral motor
column is shown in panels C and
D). Note the low level of xBTEB
mRNA expression (cytoplasmic
red staining) and the absence of
detectable TR protein (lack of
nuclear staining) at this developmental
stage. Hormone treatment
was as described above (C,
untreated; D, 50 nM T3).
Fig. 8. Xenopus basic transcription element binding protein (xBTEB) in the tadpolebrain is developmentally and hormonally regulated and is not expressed in proliferating cells. Double labeling immunohistochemistry was used to analyze xBTEB protein and bromodeoxyuridine (BrdU)-labeled cells.
Premetamorphic tadpoles (Nieuwkoop and Faber [NF] stage
52; panels AâF) were reared without (AâC) or with (DâF)
50 nM T3 for 48 h. BrdU was added to the aquarium water to
a final concentration of 500 μM 3 h before tadpoles were killed,
to label mitotic cells. Saggital sections (10 μm) were analyzed
by double labeling immunohistochemistry for xBTEB (red)
and BrdU (green; the optic tectum and cerebellum are
shown). Note that xBTEB protein is not expressed in proliferating
cells identified by BrdU labeling. Late prometamorphic/
early climax stage tadpoles (NF stage 60) were reared in the
(G) absence or (H) presence of 50 nM T3 for 48 h before they
were killed. The panels show xBTEB immunoreactivity in the
optic tectum. Bars, 100 μm.