Click here to close
Hello! We notice that you are using Internet Explorer, which is not supported by Xenbase and may cause the site to display incorrectly.
We suggest using a current version of Chrome,
FireFox, or Safari.
Int J Mol Sci
2026 Jan 28;273:. doi: 10.3390/ijms27031298.
Show Gene links
Show Anatomy links
Reanimation of Stored Tissue Biopsies: A Functional Study and Translational Approach.
Alfano V, Ruffolo G, Spila A, Valente MG, Sansone L, Belli M, Ramadan D, Miele C, Garelli L, Lupacchini L, Ferroni P, Merlo D, Palma E, Guadagni F.
???displayArticle.abstract???
The availability of biobanked tissues represents an important resource for translational research; however, functional investigations are generally limited to freshly collected samples. To address this limitation, we developed an innovative strategy to restore functional properties of frozen biopsies by microtransplanting patient-derived membrane proteins into Xenopus laevis oocytes. This study aimed to recover and characterize the physiological properties of human colon cancer cell membranes and to investigate the role of neurotransmitter-related signaling and ion currents in cancer. Membrane incorporation was assessed by immunohistochemical detection of tumor-specific markers, including carcinoembryonic antigen, together with confocal microscopy and ultrastructural analyses. Functional viability was evaluated using two-electrode voltage clamp recordings to assess endogenous calcium-activated chloride currents and responses to selected neurotransmitters. The successful incorporation of colon cancer membranes was confirmed by specific immunoreactivity and ultrastructural features consistent with cancer cell architecture. Although no functional responses to the tested neurotransmitters were detected, oocytes microinjected with cancer membranes showed a marked reduction or complete suppression in endogenous calcium-activated chloride currents. These findings demonstrate that membrane microtransplantation into Xenopus oocytes is a reliable translational approach to functionally investigate cancer cell membranes from frozen biopsies, and suggest that altered chloride channel activity may represent a baseline for new studies to investigate new potential therapeutic targets for colon cancer.
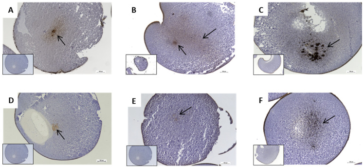
Figure 1. Representative images of IHC-stained sections of Xenopus laevis oocytes injected with fully processed cell membranes: (A) CEA (COL-1) staining of colon adenocarcinoma tissue fragments; (B) cytokeratin (CAM 5.2) staining of HT-29 microinjected membranes; (C) E-Cadherin staining of HT-29 microinjected membranes; (D) CEA (COL-1) staining of HT-29 microinjected membranes; (E) CEA (COL-1); and (F) E-Cadherin staining of microinjected membranes from ascitic pancreatic tumor cells. Areas of observed immunoreaction are indicated by arrows. The inset image shows the absence of staining in non-injected oocytes (negative control). Magnification 100×. (scale bar 100 µm).
Figure 2. (A) Representative microphotographs of time-course microtransplantation of processed HT-29 cell membranes at 24 h and 48 h. The black arrows indicate the localization of the membrane in the Xenopus laevis oocytes tested at different times from the injection. Antibody [COL-1], magnification 100×. (scale bar 100 µm) (B) The immunohistochemical expression of tumor tissue membrane fragments at the level of the oocyte membrane, which was camouflaged by the melanic staining of the frog oocyte animal pole (blue arrow). (scale bar 100 µm and 250 µm) (C) A confocal microscopy image (magnification 60×) showing, by CEA expression, the distribution of membranes in the microtransplanted Xenopus oocytes. Negative control (1); cancer tissue cell membranes (2); HT-29 cell membranes (3); metastatic pancreatic ascites cancer cell membranes (4); (scale bar 250 µm).
Figure 3. A representative confocal microscopy image of the injected Xenopus oocyte at 60× magnification: (A) the side view of the z-stack, x and y planes, pink projection; (B) the side view of the z-stack and y and z planes, blue projection; and (C) the side view of the z-stack and x and z planes, orange projection. The Z-stack images show CEA expression (indicated in green) on the cancer cell membranes localized on the oocyte surface and in peripheral cytoplasmic regions; (scale bar 5 µm).
Figure 4. Ultrastructural evaluation of control (A–C) and microtransplanted oocytes (D–F) at 48 h after injection. (A) TEM micrograph of control oocyte showing a clear and intact external membrane surrounding the ooplasm (TEM bar: 1 µm). (B) High magnification of control oocyte external membrane (TEM bar: 1 µm). (C) Detail of an intact membrane from the control group (TEM bar: 1 µm). (D) TEM micrograph of microtransplanted oocyte (colon cancer tissue) showing a high electron-dense membrane with evident signs of detachment (TEM bar: 1 µm). (E) High magnification of the microtransplanted oocyte (HT-29 human colorectal adenocarcinoma) external membrane, presenting several areas of thinning. (F) TEM picture of the metastatic pancreatic ascites cancer cells microtransplanted oocyte showing the absence of the membrane. Inset F: high magnification of healthy mitochondria showing numerous cristae. mv: microvilli; m: mitochondria; arrow: membrane detachment; arrowhead: invagination.
Figure 5. The calcium-activated chloride currents study on the cancer cell membranes. The bar graph shows the mean of the calcium-activated chloride current amplitude (nA) recorded on oocytes microtransplanted with HT-29 cell line membranes (red), Patient 4 pancreatic cancer ascites cell line membranes (blue), and Patient 1 colon cancer membranes (green), compared with non-injected cells as a control (black) from 2 frogs. Data are expressed as mean ± s.e.m; * = p < 0.01 by Student’s t-test. Inset: representative chloride current traces for each group studied.
Figure 6. Calcium-activated chloride currents study on cancer cell membranes. The bar graphs on the left show the mean of the calcium-activated chloride current amplitude (nA) recorded on the oocytes microtransplanted with three different colon tumor tissues (TTs) and their corresponding normal colonic mucosa (NT). The right panels show representative chloride current traces for each group studied. The data are expressed as mean ± s.e.m; * = p < 0.001 by Student’s t-test.