|
Figure 1. Generation of BRAFV600E knock-in X. tropicalis. (A) Strategy for generating the BRAFV600E knock-in line in X. tropicalis. (B) Dorsal (DS) and ventral (VS) views of wild-type tadpoles (n ≥ 10 tadpoles were examined), showing consistent pigmentation patterns. (C) Abnormal yellow and black pigmentation observed in the head and tail of eight G0 BRAFV600E knock-in tadpoles out of >600 examined. Arrows indicate regions of abnormal black pigmentation. (D) Summary of pancreas-specific EGFP-positive tadpoles at stage 52 from independent injection batches (N1–N3) and mitf–/– rescue injections (mitf-R). Pancreatic EGFP expression indicates genomic integration of the knock-in plasmid. (E) Statistics of BRAF+ tadpoles (those with abnormal pigmentation) at stage 52 across different injection batches for both BRAFV600E and mitf–/– rescue groups. In (D and E), EGFP refers to pancreas-specific expression. (F) Representative images of mitf knock-in line 1 (F1 generation) and wild-type tadpoles. Red arrows indicate magnified views of the eye. (n ≥100 tadpoles were examined per genotype). (G) Genotyping of mitf knock-in line 1. (Ma, Mb) and (Mc, Md) indicate genotypes at the upstream (UI) and downstream (DI) integration sites, respectively; (Me, Mf) target the UI site. A single copy of the plasmid was integrated, with a 6 bp deletion at UI and a 21 bp deletion at DI. Genotyping was performed using genomic DNA from a single heterozygous F1 tadpole and validated by Sanger sequencing (n = 40). PCR with primers Me/Mf detected only three outcomes: WT, –6 bp, and –21 bp, representing the unedited mitf allele and integration-associated indels, respectively (SI Appendix, Fig. S3). (Scale bars in panels C–F, 1 mm.) |
|
Figure 2. The BRAFV600E knock-in mitf allele exhibits impaired protein function. (A) Strategy for verifying Mitf protein function using offspring from mitf−/− and mitf-BRAFV600E± X. tropicalis crosses, generating mitf-BRAFV600E+/mitf– individuals. “LOF” denotes loss of function, numbers 1–9 represent mitf exons. Irrelevant elements such as CreERT2 and EGFP are omitted from the schematic. (B) Representative stage 55 tadpoles from mitf−/− and mitf-BRAFV600E± crosses. Tadpoles with normal pigment cell development were genotyped as mitf±, while those with abnormal pigmentation were mitf-BRAFV600E+/mitf– (12 tadpoles with normal pigmentation and 6 tadpoles with abnormal pigmentation were identified.), confirmed via Sanger sequencing. mitf±and mitf-BRAFV600E+/mitf– genotyping were performed as described. mitf−/− stage 55 tadpoles served as controls lacking melanophores and xanthophores. Sanger sequencing results are shown in SI Appendix, Fig. S7. Red arrows: abnormal eyes. Enlarged views of regions adjacent to the red triangles are shown below the corresponding images. Black/yellow/blue arrows: melanophores/xanthophores/abnormal iridophores. (Scale bar, 1 mm.) (C) Quantification of normal vs. abnormal phenotypes from three independent mitf−/− X mitf-BRAFV600E± crosses (random subset, n indicated). Statistical analysis was performed using an unpaired t test; ns = not significant. (D) Representative western blot results of Mitf protein from WT, mitf-BRAFV600E± (annotated as BRAFV600E+/−), mitf−/−, and mitf-BRAFV600E+/mitf– tadpole skin samples (n = 3). Gapdh was used as a loading control. The relative expression level was expressed as the mean value of three ratios normalized to the internal reference protein. Statistical analysis was performed using one-way ANOVA. ** denotes P < 0.01. Unmarked intergroup comparisons showed no statistically significant differences. |
|
Figure 3. Retinal Regeneration Model. (A)Early eye development in WT X. tropicalis and eyeless frogs. Representative images show right-eye development at stages 40 and 37–38 in three WT and three F2 mitf KI line 1 frogs. No differences were observed between the left and right eyes in eyeless frogs. After mating F1 mitf KI line 1 with WT frogs, 48 normally developing F2 embryos were selected at stage 12 and placed into two 24-well plates, one per well. Eye development was recorded at regular intervals. Of 44 embryos that developed normally to stage 49, 24 showed no abnormalities, while 20 displayed pigmentation and eye development issues. Eye abnormalities at stage 40 were traceable to stages 37–38 but were absent at stages 35–36. See SI Appendix, Fig. S9 for details. Arrows in the figure point to earlier stages of eye development in the same tadpoles. (B) Images show eye development in WT and mitf KI line 1 X. tropicalis at various stages (n ≥ 50 tadpoles/frogs per genotype were analyzed). Arrows indicate eyes. (C) H&E staining of WT and mitf KI line 1 eyes at stages 49 and 57 (For each genotype, 6 tadpoles were sampled and n ≥ 9 paraffin sections examined). Arrows point to regenerated retina from RPE transdifferentiation. (D and E) High-magnification H&E staining of stage 57 WT (D) and mitf KI line 1 (E) eyes (For each genotype, 6 tadpoles were sampled and n ≥ 9 paraffin sections examined). Structures of regenerative and primordial retina in stage 57 mitf KI line 1 tadpoles are labeled. cho, choroid; rpe, retinal pigmented epithelium; os, outer segments; onl, outer nuclear layer; opl, outer plexiform layer; inl, inner nuclear layer; ipl, inner plexiform layer; gcl, ganglion cell layer. (Scale bars, 100 μm in A, 500 μm in B, 50 μm in C, and 10 μm in D and E.) |
|
Figure 4. Abnormal proliferation of melanocytes and xanthophores in mitf KI line 1 X. tropicalis. (A) Representative images of melanocyte development in stage 45 WT and mitf KI line 1 tadpoles. TR, AR, and HR represent tail, abdominal, and head regions, respectively. (B and C) Quantitative analysis of dendritic and punctate melanocytes in 12 WT and 12 mitf KI line 1 tadpoles (A). Melanocyte counts in TR, AR, and HR regions are shown in (C). Black arrows in (B) indicate dendritic melanocytes; red arrows indicate punctate melanocytes. P-values were calculated using two-way ANOVA with multiple comparisons (*P < 0.05, **P < 0.01, ***P < 0.001, ****P < 0.0001). (D–G) Representative images of pigment cell development at stages 49 (D), 51 (E), 53 (F), and adult (G), shown from various angles. In (D), black arrows mark dorsal xanthophores in mitf KI line 1 tadpoles. DS and VS in (G) denote dorsal and ventral sides, respectively. Observations were conducted multiple times between 2020 and 2025, with at least five tadpoles or frogs examined per genotype in (D–G). [Scale bars, 500 μm (A and D), 1 mm (E and F), and 5 mm (G).] |
|
Figure 5. BRAFV600E expression significantly activates the MAPK pathway in eyeless frogs. (A and B) Western blot analysis of BRAFV600E expression (detected via EGFP-tagged EGFP-BRAFV600E fusion protein) and MAPK pathway activation (n = 3). pERK or pERK1/2 indicates phosphorylated ERK1/2; tERK denotes total ERK. Gapdh was used as a loading control. Relative expression levels were calculated as ratios normalized to the internal reference protein. Statistical analysis was performed using two-way ANOVA. *P < 0.05, **P < 0.01, ***P < 0.001; ns, not significant. (B) Representative western blot results. (C) Representative immunofluorescence images showing EGFP-BRAFV600E expression (detected via EGFP) in paraffin sections (n = 6 sections per genotype). (Scale bar, 40 μm.) (D) Quantification of EGFP-positive signal area (in pixels) from panel C. Statistical analysis was performed using one-way ANOVA. *P < 0.05, ****P < 0.0001. Western blot and immunofluorescence were conducted on dorsal skin samples from WT, BRAFV600E± (MB), BRAFV600E±/cdkn2b± without visible xanthophoromas (MBC), and BRAFV600E±/cdkn2b± with xanthophoromas (MBCT). |
|
Figure 6. cdkn2b knockout promotes spontaneous xanthophoroma formation in eyeless frogs. (A) Representative images display spontaneous xanthophoromas on the dorsal and ventral skin of 8-mo-old BRAFV600E±/cdkn2b± frogs (100% penetrance was observed in all 30 frogs examined). White arrows mark nontumor regions, and red arrows indicate xanthophoromas. (B and C) Histopathology of xanthophoromas (B) and nontumor areas (C) from panel B (n = 3 samples, n = 18 paraffin sections). Black arrows in (C) indicate xanthophores, and red arrows denote melanocytes. (D) TEM images of xanthophoromas in 8-mo-old BRAFV600E±/cdkn2b± frogs (n = 3 xanthophoromas, n = 15 copper grids). Enlarged views of the dashed black box are shown in the solid black box. Black arrows highlight pterinosomes (xanthophore pigment granules), and red arrows show mixed pigment granules (Mix-somes). (E) Representative immunofluorescence images of CD3 protein in dorsal xanthophoromas from 12-mo-old BRAFV600E±/cdkn2b± frogs (n = 6 paraffin sections). (F) Representative immunofluorescence images of CD3 protein in dorsal skin from 12-mo-old WT frogs (n = 6 paraffin sections). (G) Quantification of CD3-positive cells in dorsal skin paraffin sections from 12-mo-old WT, BRAFV600E± (MB), and BRAFV600E±/cdkn2b± frogs without visible tumors (MBC). For each genotype, six paraffin sections were analyzed under identical imaging conditions. Statistical analysis was performed using one-way ANOVA. **P < 0.01, ***P < 0.001. [Scale bars, 5 mm (A), 50 μm (B and C), 2 μm (D), 200 μm (E, overview), 40 μm (E, Inset; F).] |
|
Fig. S1. Targeted integration of BRAFV600E in Xenopus tropicalis. (A) Schematic of gRNA and
vector design for integrating BRAFV600E into the mitf locus. E1–E9 denote exons. gRNA and PAM
direct targeted integration. UI and DI represent upstream (5') and downstream (3') integration
sites, respectively. LE indicates the region containing the last exon; PolyA, the polyadenylation
signal; and elastase, the promoter. (B) Knockout efficiency at the integration site using SpCas9.
(C) EGFP-BRAFV600E expression driven by the exogenous mitf promoter. All positive embryos
showed developmental defects (22 of 113 injected embryos were EGFP-BRAFV600E–positive). (D)
EGFP-BRAFV600E expression driven by the exogenous slug promoter. All positive embryos
showed developmental defects (41 of 147 injected embryos were EGFP-BRAFV600E–positive). (E)
Expression of EGFP-exonBRAF (truncated protein with BRAF kinase domain) under the mitf
promoter. All positive embryos showed developmental defects (18 of 127 injected embryos were EGFP-BRAFV600E–positive). (F) No melanocyte-specific EGFP expression was detected in G0
embryos during early development (A total of 500 embryos were examined). (G) Approximately
38% of G0 embryos injected with BRAFV600E knock-in exhibited pancreas-specific EGFP
expression driven by the elastase promoter at stage 46 (190 of 500 embryos showed pancreasspecific
EGFP expression). Representative images shown in (C–G). Scale bars: 0.5 mm (C, E); 1
mm (D, F, G). |
|
Fig. S2. Aberrant melanocytes development in Xenopus tropicalis with BRAFV600E-targeted
mitf locus integration. (A) Representative images show abnormal melanocytes development
during the early developmental stages of Xenopus tropicalis with BRAFV600E-targeted mitf locus
knock-in (At least 100 tadpoles were examined per genotype). (B) Representative images of
stage 46 F1 generation mitf KI line 1 tadpoles showing EGFP expression. The mitf KI line 1
tadpoles were treated with the Tyr inhibitor PTU to observe the EGFP signal. At least 100
tadpoles were examined. Scale bars: 1 mm. |
|
Fig. S3. Genotyping strategy for Xenopus tropicalis with BRAFV600E-targeted mitf locus
integration. (A) The genotyping strategy for Xenopus tropicalis with BRAFV600E knock-in at the
mitf locus is shown. Guided by gRNA, SpCas9 cuts both the vector and mitf locus, causing
double-strand breaks and linearizing the plasmid. The non-homologous end joining (NHEJ) repair
mechanism may randomly integrate the plasmid at the break site, resulting in different integration patterns: line1, line2, or line3. In line1, a single plasmid copy integrates as expected, allowing the
endogenous promoter to drive gene expression. In line2, multiple plasmid copies integrate, all in
the correct orientation, with the promoter driving expression from the first plasmid fragment. In
line3, a single plasmid copy integrates in reverse, preventing gene expression; line3 is excluded
from analysis. Primers (Ma, Mb), (Mc, Md), and (Me, Mf) are designed for line1 and line2. (Ma,
Mb) amplify the UI, with the forward primer binding to the genome and the reverse primer to the
plasmid. (Mc, Md) amplify the DI with a plasmid-binding forward primer and a genome-binding
reverse primer. (Me, Mf) amplify sequences containing integration junctions. Sanger sequencing
of PCR products confirms plasmid integration. Primer details are shown in the panel (B). UI refers
to the upstream integration site (5’ end), and DI to the downstream integration site (3’ end). (C)
Sanger sequencing results of PCR products amplified using primers Ma and Mb. (D) Sanger
sequencing results of PCR products amplified using primers Mc and Md. (E) Primer design
strategy for digital PCR to quantify EGFP-BRAFV600E copy number: BRAF-F1, BRAF-R1, and
BRAF-P1 target EGFP-BRAFV600E, while ef1α-F1, ef1α-R1, and ef1α-P1 target the reference
gene ef1α. (F) Digital PCR results showing the BRAFV600E/ef1α copy number ratio (%) (n=6).
Statistical analysis was performed using an unpaired t-test. **P < 0.01. |
|
Fig. S4. BRAFV600E drives pigment cell developmental defects in mitf-BRAFV600E Xenopus tropicalis. (A) CRISPR/Cas9 target site design for BRAFV600E knockout in mitf-BRAFV600E frogs. (B) Phenotype of G0 BRAFV600E mosaic knockouts showing partial rescue of pigment cell development. Arrows indicate regions of abnormal pigmentation. Approximately 300 one-cellstage embryos from mitf-BRAFV600E × WT crosses were injected; 117 tadpoles survived to stage 51, among which 41 (35%) displayed mosaic rescue of pigmentation. (C) Sanger sequencing results showing BRAFV600E knockout efficiency. Genomic DNA was extracted from 10 randomly selected embryos at approximately stage 33. (D) Representative image of embryos overexpressing etv1 mRNA; numbers indicate the ratio of eye defects to total surviving embryos. Scale bars: 1 mm (B, D). |
|
Fig. S5. The BRAFV600E knock-in allele in mitf-BRAFV600E+/- female frogs follows Mendelian
inheritance. (A) Representative images of F2 early embryos from crosses between mitf-
BRAFV600E+/- females and wild-type males (≥10 mating pairs; fertilization rate ranged from
0~100%). (B) Stage 56 mitf-BRAFV600E+/- tadpoles (BRAF-positive) derived from (A). (C)
Genotyping strategy for F2 tadpoles: an 838-bp fragment was amplified using EGFP-F/BRAF-R
primers targeting the knock-in locus. (D) Representative gel electrophoresis image of PCR
products from F2 embryos in (A), using the strategy in (C). Three fertilized clutches (R1–R3) were
randomly selected, and four groups of 32 or 40 embryos each were genotyped per clutch. (E)
Statistical summary of PCR genotyping (D) and phenotype distribution (B). BRAF-negative
tadpoles phenotypically matched wild-type tadpoles. The statistical method employed was oneway
ANOVA and ns denotes P > 0.05. (F) Representative image of moribund mitf-BRAFV600E+/-
/cdkn2b-/- tadpoles (n > 100 observed). Scale bars in A, B, and F: 1 mm. |
|
Fig. S5. The BRAFV600E knock-in allele in mitf-BRAFV600E+/- female frogs follows Mendelian
inheritance. (A) Representative images of F2 early embryos from crosses between mitf-
BRAFV600E+/- females and wild-type males (≥10 mating pairs; fertilization rate ranged from
0~100%). (B) Stage 56 mitf-BRAFV600E+/- tadpoles (BRAF-positive) derived from (A). (C)
Genotyping strategy for F2 tadpoles: an 838-bp fragment was amplified using EGFP-F/BRAF-R
primers targeting the knock-in locus. (D) Representative gel electrophoresis image of PCR
products from F2 embryos in (A), using the strategy in (C). Three fertilized clutches (R1–R3) were
randomly selected, and four groups of 32 or 40 embryos each were genotyped per clutch. (E)
Statistical summary of PCR genotyping (D) and phenotype distribution (B). BRAF-negative
tadpoles phenotypically matched wild-type tadpoles. The statistical method employed was oneway
ANOVA and ns denotes P > 0.05. (F) Representative image of moribund mitf-BRAFV600E+/-
/cdkn2b-/- tadpoles (n > 100 observed). Scale bars in A, B, and F: 1 mm. |
|
Fig. S7. Genotyping strategy for offspring from mitf-/- and mitf-BRAFV600E+/- Xenopus
tropicalis crosses. (A) Schematic of genotyping strategy using primers P1–P4 to identify
offspring genotypes. (B) Gel electrophoresis results using primers P3 and P4. Red arrows
indicate target bands. “N” denotes tadpoles with normal pigmentation; “Ab” indicates those with
pigmentation defects. For each of three mating pairs, four normal and two abnormal tadpoles
were randomly selected for genotyping. PCR products were randomly loaded for electrophoresis.
(C) Sanger sequencing results of PCR products from (B) using primers P1 and P2. Target bands
appeared only in pigment-defective tadpoles in (B), while both normal and defective tadpoles in
(C) were heterozygous for mitf knockout. |
|
Fig. S8. (A) Raw Western blot data from Figure 2. (B) AlphaFold predictions of Mitf and Mitf-P
proteins (containing part of the P2A peptide) binding to transcription factor target sequences
(TFBS). Xenopus tropicalis Mitf protein sequence (A4IID0) was obtained from UniProt. |
|
Fig. S9. Eye development in early-stage embryos of mitf KI line 1 Xenopus tropicalis. (A)
Representative images show that before stage 33-34, the development of mitf KI line 1 and WT
Xenopus tropicalis embryos is consistent (At stage 12, more than 100 embryos were examined
per genotype; at stages 33–34, 44 embryos were examined per genotype). (B-C) Comparison of
eye development between mitf KI line 1 and WT embryos at stage 35-36 (B) and stage 40 (C),
14
with representative images showing the eye development of three mitf KI line 1 and three WT
tadpoles (24 normally developing embryos and 20 abnormally developing embryos were
examined). Scale bars: 500 μm (A), 100 μm (B, C). |
|
Fig. S10. Development of eyeless frogs (mitf KI line 1 Xenopus tropicalis) from early
embryo to adult frog. (A-F) show a comparison between mitf KI line 1 (eyeless frogs) and WT
Xenopus tropicalis at various developmental stages. In (A), black arrows indicate some
melanocytes. (B) also includes images under fluorescent field. (E-F) show dorsal and ventral
views of the same frog. At least five WT and five KI frogs were observed at each developmental
stage. Scale bars: 500 μm (A), 1 mm (B-D),10 mm (E-F). |
|
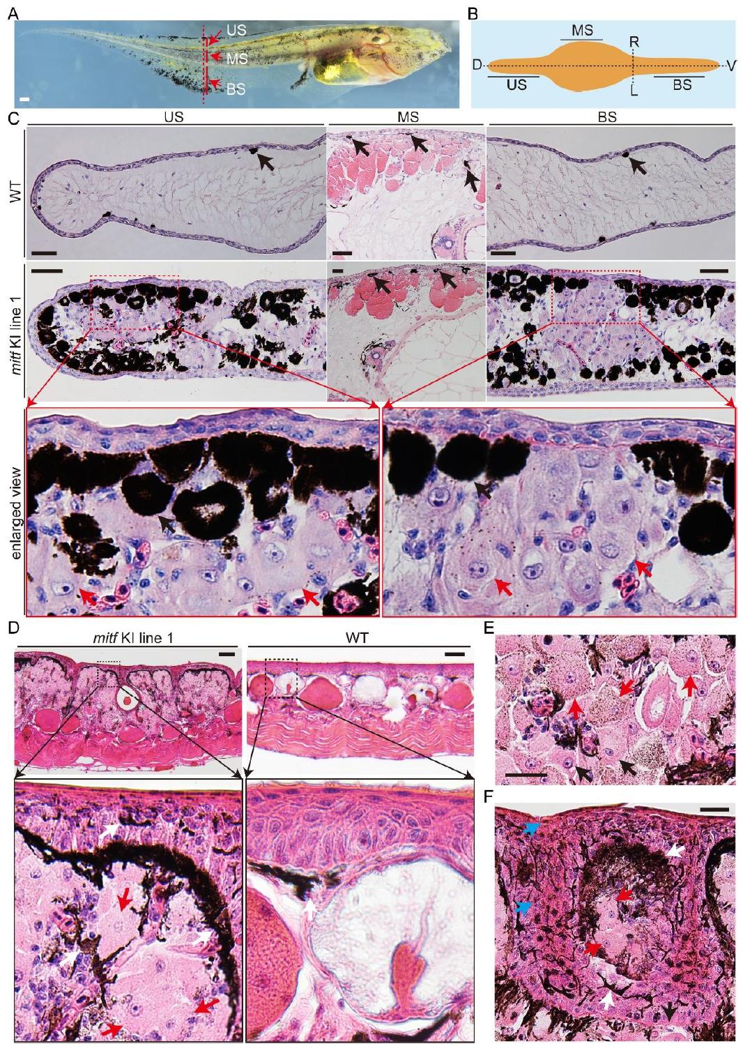
Fig. S11. Hematoxylin and eosin staining of melanocytic and xanthocytic nevi in Xenopus
tropicalis. (A-C) Histopathological features of stage 53 WT and mitf KI line 1 tadpoles. (A)
Sampling location on the tail is shown, identical for both WT and mitf KI line 1 tadpoles. (B Cross-sections of the tail: US (upper segment), MS (middle segment), BS (bottom segment), D
(dorsal), V (ventral), R (right), L (left). (C) Arrows indicate melanocytes (black) and xanthophores
(red) (For each genotype, 6 tadpoles were sampled and n≥9 paraffin sections examined). (D)
Histopathology of dorsal skin from 2-year-old WT and mitf KI line 1 adult frogs. Magnified view of
the dashed box is shown within the solid black box. White arrows, melanocytes; red arrows,
xanthophores (For each genotype, 6 tadpoles were sampled and n≥9 paraffin sections
examined). (E-F) Proliferative xanthophores in the dorsal skin of 2-year-old mitf KI line 1 frogs
show extensive melanin deposition (E) (Six paraffin sections were analyzed). In the epidermis,
abnormally proliferating melanocytes (white), xanthophores (red), and significant epidermal
melanin deposition (blue) are visible in (F) (Six paraffin sections were analyzed). In (E), black
arrows show xanthophores with minimal melanin, red arrows show xanthophores with substantial
melanin. Scale bars: 1 mm (A), 50 μm (C), 100 μm (D), 30 μm (E, F). |
|
Fig. S12. BRAFV600E knock-in induces proliferation of melanocytes and xanthophores, and
transdifferentiation of xanthophores. (A) Schematic of the method used to assess melanocyte
and xanthophore proliferation in the tails of six randomly selected mitf-BRAFV600E+/− tadpoles at
stage 56. Under identical imaging conditions, tail images were captured at comparable positions.
Using ImageJ, the areas covered by melanocytes and xanthophores in WT and mitf-BRAFV600E+/− tadpoles were quantified in pixels. (B–C) Quantification of melanocyte and xanthophore coverage
in the tails of six WT and six mitf-BRAFV600E+/− tadpoles (stage 56). (D) Quantification of
transdifferentiated and non-transdifferentiated xanthophores, based on data from Fig.S11E.
Statistical analysis was performed using an unpaired t-test. ****P < 0.0001; ns, not significant |
|
Fig. S13. TEM characterization of melanocytic and xanthocytic nevi in mitf KI line 1 frogs.
(A) Representative TEM images of dorsal skin from 2-year-old WT and mitf KI line 1 frogs (Six frogs per genotype were sampled, with n = 10 copper grids examined per genotype). (B)
Melanocytes were observed in the epidermis of mitf KI line 1 frogs. (C) Melanosomes were
detected in some basal cells of the mitf KI line 1 frog epidermis. (D) Magnified view of region 1
from (A) shows pterinosomes 1 and 2, and Mix-somes in xanthophores. (E) Three types of
pigment granules, Mix-some 1, Mix-some 2, and Mix-some 3, were identified in xanthophores of
mitf KI line 1 xanthocytic nevi. F Mix-somes and melanosomes were found in melanocytes of mitf
KI line 1 melanocytic nevi. Data in (B-F) are derived from (A). s. basale refers to the stratum
basale, while Xan, Iri, and Mel represent xanthophore, iridophore, and melanocyte, respectively.
BM stands for the basement membrane. Scale bars: 1 μm (A-D, F), 250 nm (E) |
|
Fig. S14. TEM characterization of skin in WT and mitf KI line 1 frogs. (A) Representative
TEM images of dorsal skin from 2-year-old WT Xenopus tropicalis (n = 3 frogs and n = 5 copper
grids per genotype were analyzed). (B-D) Representative TEM images of dorsal skin from 2-year old mitf KI line 1 frogs (n = 3 frogs and n = 5 copper grids per genotype were analyzed). (B)
shows the field of view corresponding to Fig. 5B. (C) shows a broader view of the distribution of
melanocytes and basal cells containing melanosomes in the epidermis of mitf KI line 1 frogs. (D)
shows the presence of pigment granules (Mix-somes) found in melanocytes of mitf KI line 1 frog
skin. s. basale refers to the stratum basale, while Xan, Iri, and Mel represent xanthophore,
iridophore, and melanocyte, respectively. BM stands for the basement membrane. Scale bars: 5
μm (A-C), 1 μm (D). |
|
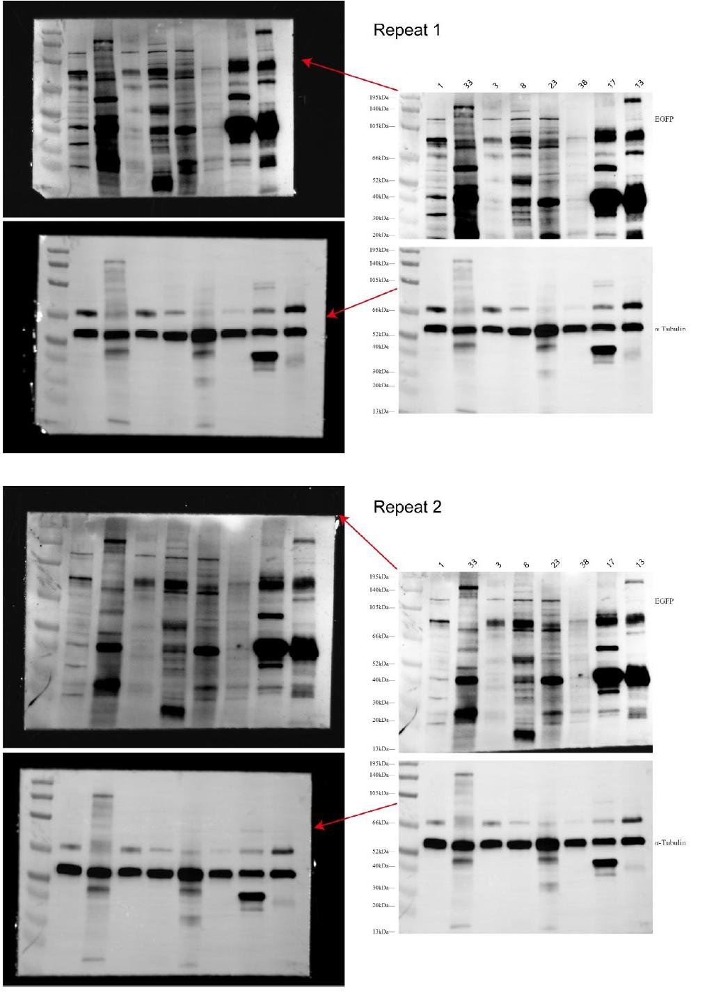
Fig. S15. The raw Western blot data from Figure 5 and the corresponding processing steps
are presented. The top panel displays the unprocessed gel images. After isolating the target bands, image analysis was performed using the following procedure: Launch ImageJ and open
the image (via File → Open or drag-and-drop); Convert the image to grayscale using Image →
Type → 8-bit; Subtract background via Process → Subtract Background (set to 50.0 pixels; check
“Light Background”); Set measurement parameters via Analyze → Set Measurements,
selecting: Area, Mean gray value, Min & Max gray value, and Integrated density; Set scale via
Analyze → Set Scale, ensuring the unit is set to “pixel”; Invert the image via Edit → Invert,
then use the Rectangular Selection Tool to outline each band; Measure each band individually
using Analyze → Measure; the resulting IntDen (Integrated Density) value represents the band
intensity. Relative expression was calculated as: Relative expression = (EGFP R3 IntDen) /
(Gapdh R3 IntDen) (e.g., for determining EGFP expression in repeat 3). |
|
Fig. S16. Expression of BRAFV600E and activation of the MAPK signaling pathway in
eyeless frogs. (A) Representative co-staining of anti-Mitf and anti-Tyr. (B) Representative costaining
of anti-EGFP and anti-Tyr. (C) Representative co-staining of anti-Mitf and anti-BRAFV600E.
(D) Representative co-staining of anti-EGFP and anti-MAPK (ERK1/2). (E) Representative anti-
Mitf and anti-Tyr co-staining in wild-type stage 53 tadpole tail paraffin sections. (F)
Representative anti-Mitf and anti-MAPK (ERK1/2) co-staining in wild-type stage 53 tadpole tail
paraffin sections. Samples in (A–D) were obtained from the tails of three stage 53 eyeless
tadpoles (refer to Fig. S11A-B), and those in (E–F) from three stage 53 wild-type tadpoles. Each
immunofluorescence experiment included six paraffin sections. Scale bars: 10 μm |
|
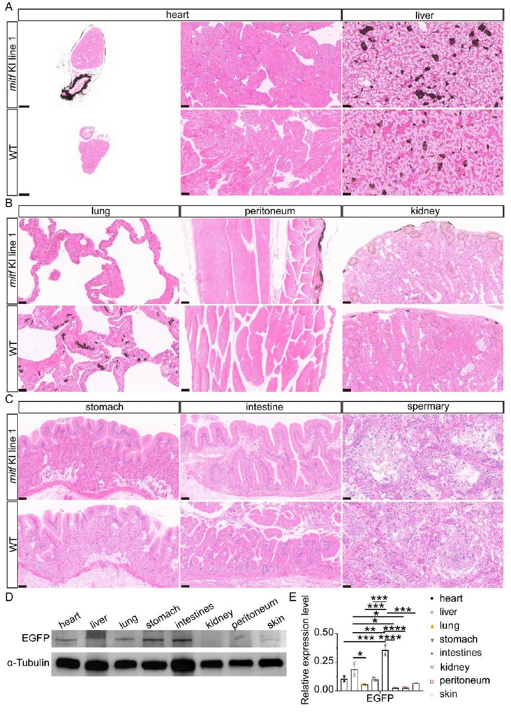
Fig. S17. BRAFV600E expression in major organs of mitf-BRAFV600E+/− Xenopus tropicalis. (A–
C) Histological comparison of major organs between WT and mitf-BRAFV600E+/− frogs.
Representative images are shown; three frogs and nine paraffin sections per genotype were
analyzed. (D–E) Western blot analysis of BRAFV600E expression in major organs of mitf BRAFV600E+/− frogs (n = 2), using EGFP antibody to detect the EGFP-BRAFV600E fusion protein. (E)
Quantification of EGFP-BRAFV600E expression relative to the internal control α-tubulin. Statistical
analysis was performed using one-way ANOVA. *P < 0.055, **P < 0.01, ***P < 0.001, ****P <
0.0001. |
|
Fig. S18. Raw western blot data corresponding to Figure S16. |
|
Fig. S19. (A) Representative images show abnormal development of xanthophores and
melanocytes in stage 53-57 tadpoles from the mating of BRAFV600E+/-/cdkn2b+/- and cdkn2b+/-
Xenopus tropicalis. Dorsal and lateral views of the same tadpole are provided (n=40
tadpoles/genotype). (B-D) Representative images show BRAFV600E+/-/cdkn2b-/- xanthophoroma
metastasis two months post-allograft transplantation. (B) Red arrows indicate newly transplanted
tumor tissue, blue arrows mark tumors at the original transplantation site after 1 month, and white
arrows point to migrated pigment cells. In (C), red arrows point to transplanted xanthophoromas,
and black and white arrows indicate metastatic xanthophores. White arrows in (C) show the
metastasized cells detailed in (D). Xanthophoromas from eight stage 58 BRAFV600E+/-/cdkn2b-/- tadpoles were transplanted onto the dorsal skin of four WT and four mitf−/−/prkdc−/−/il2rg−/− frogs,
the latter serving as recipients. Scale bars: 5 mm (A), 2 mm (B, C, D). |
|
Fig. S20. Histopathology of xanthophoromas in 8-month-old BRAFV600E+/-/cdkn2b+/- frogs.
Representative images show the histopathological features of xanthophoromas and adjacent skin
tissue in BRAFV600E+/-/cdkn2b+/- Xenopus tropicalis (n = 3 samples, n = 18 paraffin sections).
Scale bars: 50 μm. |
|
Fig. S21. BRAFV600E+/−/cdkn2b+/− frogs spontaneously develop immune-hot nevi and
immune-cold xanthophoromas. (A) Representative histological image of a xanthophoroma and
adjacent peritumoral xanthophore and melanocyte nevi in a 12-month-old BRAFV600E+/−/cdkn2b+/−
frog. Three such tumors were examined, with a total of nine paraffin sections analyzed. (B–D)
Representative immunofluorescence images showing CD3 expression in paraffin sections from
the peritumoral area of a BRAFV600E+/−/cdkn2b+/− xanthophoroma (B), dorsal skin of a BRAFV600E+/−
frog (C), and dorsal skin of a WT frog (D). Six paraffin sections were analyzed per group.
Quantification of CD3-positive cells is shown in Figure 6G. (E) Schematic illustrating the
spontaneous development of immune-hot xanthophore nevi and immune-cold xanthophoromas in
BRAFV600E+/−/cdkn2b+/− frogs. Scale bars: 400 μm (A, overview), 40 μm (A, inset), 100 μm (B–D). |