Click here to close Hello! We notice that you are using Internet Explorer, which is not supported by Xenbase and may cause the site to display incorrectly. We suggest using a current version of Chrome, FireFox, or Safari.
XB-ART-61508
STAR Protoc 2025 Sep 15;64:104086. doi: 10.1016/j.xpro.2025.104086.
Show Gene links Show Anatomy links

Protocol for in vivo BONCAT labeling of nascent proteins in Xenopus laevis tadpole brains with high temporal precision for quantitative analysis.

Ahsan A, Bera R, Konadu BB, Gao Y, He HY.


???displayArticle.abstract???
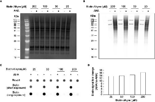
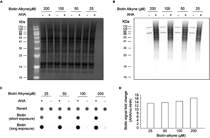
Proteostasis is critical for neuronal function and circuit plasticity. We present here an in vivo bio-orthogonal non-canonical amino acid tagging (BONCAT) protocol optimized to selectively label newly synthesized proteins in Xenopus laevis tadpole brains in live animals. We describe steps for the quantitative analysis of both total nascent proteins and specific nascent proteins of interest, using dot blotting and NeutrAvidin purification followed by western blotting. This approach allows for the quantitative analysis of the nascent proteome in intact neural circuits with high temporal precision. For complete details on the use and execution of this protocol, please refer to He et al.1.

???displayArticle.pubmedLink??? 40956668
???displayArticle.pmcLink??? PMC12464710
???displayArticle.link??? STAR Protoc


Species referenced: Xenopus laevis


???attribute.lit??? ???displayArticles.show???