Click here to close
Hello! We notice that you are using Internet Explorer, which is not supported by Xenbase and may cause the site to display incorrectly.
We suggest using a current version of Chrome,
FireFox, or Safari.
???displayArticle.abstract???
The African clawed frog, Xenopus laevis, is able to survive prolonged arid conditions during seasonal droughts. During these conditions, X. laevis enters aestivation whereby its metabolic rate is suppressed, urea and ammonia levels increase, and its physiological functions slow. Various molecular mechanisms are employed by X. laevis to mitigate the deleterious effects of severe dehydration and hypometabolism, including pro-survival cellular processes that protect cells and tissues from damage and atrophy. While previous research has focused on antioxidant proteins' role in preventing oxidative stress, information on the role of anti-apoptotic signaling in X. laevis is lacking. As such, we investigated the role of nuclear factor-kappa B (NF-κB) signaling and its downstream target genes in liver and skeletal muscle tissue of X. laevis. The transcription factor, NF-κB, and its downstream target genes work to inhibit apoptotic machinery and promote cell survival. Herein, we found that NF-κB signaling activation in liver tissue leads to the selective upregulation of downstream anti-apoptotic proteins. In contrast, this upregulation occurs independently of NF-κB signaling in skeletal muscle tissue. Overall, our results serve to expand our knowledge of the anti-apoptotic mechanisms underlying the natural dehydration-tolerance of X. laevis, including its likely use in mitigating tissue atrophy during aestivation.
Fig. 1. Relative protein expression levels of NF-κB transcription factor subunits, p65 and p50, NF-κB inhibitor IκBα, and their phospho-forms, p-p65Ser529, p-p50Ser337, p-IκBαSer32,34, in Xenopus laevis (a) liver and (b) skeletal muscle during control (C), medium dehydration (MD), and high dehydration (HD) as determined by Western immunoblotting. Data are mean ± SEM, n = 4 independent trials on tissue samples from different animals. Statistical significance was determined using a one-way ANOVA with a Dunnett's post hoc test, where “∗” denotes significantly different from control values (p < 0.05). Corresponding bands from immunoblots are shown below each bar chart.
Fig. 2. Relative protein expression levels of p-p65Ser529 and p-p50Ser337 in X. laevis (a) liver and (b) skeletal muscle nuclear extracts during control (C) and high dehydration (HD) as determined by Western immunoblotting. Data are mean ± SEM, n = 4 independent trials on tissue samples from different animals. Statistical significance was determined using a Student's t-test, where “∗” denotes significantly different from control values (p < 0.05). Corresponding bands from immunoblots are shown below each bar chart.
Fig. 3. Relative changes in DNA binding of NF-κB subunits, p-p65Ser529 and p-p50Ser337, in X. laevis liver nuclear extracts during control (C) and high dehydration (HD) as determined by ELISA. Data are mean ± SEM, n = 4 independent trials on tissue samples from different animals. Statistical significance was determined using a Student's t-test, where “∗” denotes significantly different from control values (p < 0.05).
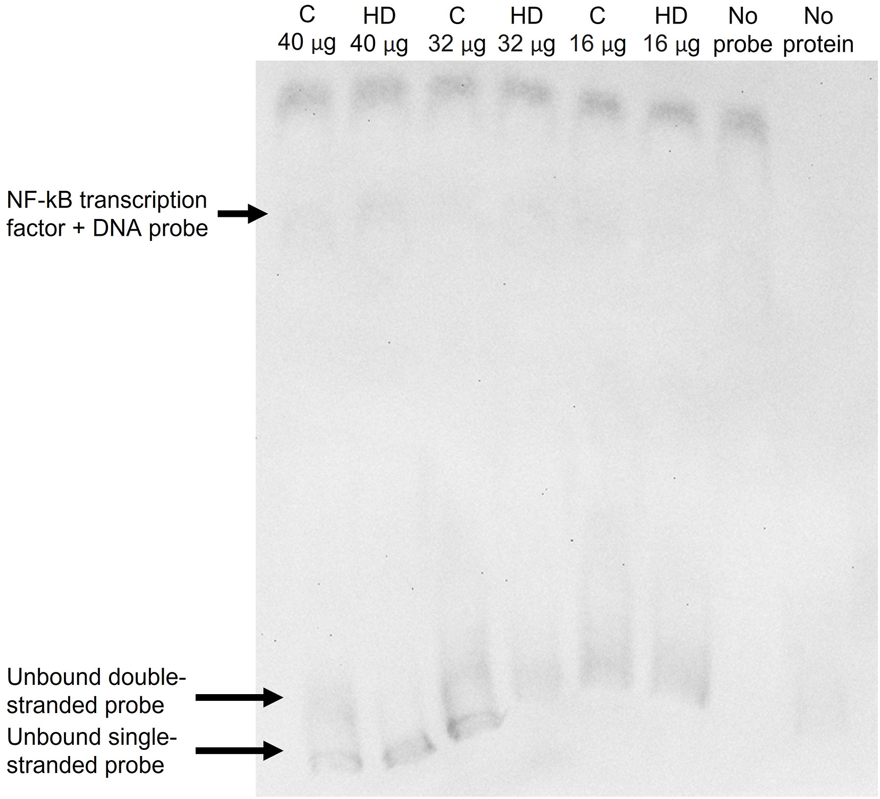
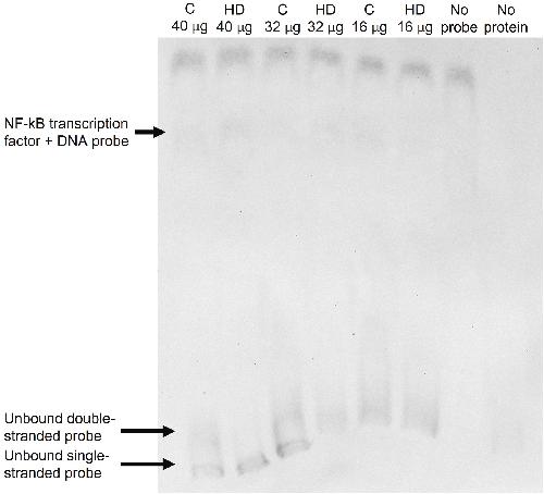
Fig. 4. Electrophoretic mobility shift assay (EMSA) gel run with different amounts (40 μg, 32 μg, 16 μg) of liver nuclear protein extract during control (C) and high dehydration (HD), showing the NF-κB transcription factor-DNA probe complex, and unbound double- and single-stranded probes.
Fig. 5. Relative mRNA transcript expression levels of NF-κB downstream targets c-iap1, bcl-xl, and p53 in X. laevis (a) liver and (b) skeletal muscle during control (C), medium dehydration (MD), and high dehydration (HD) as determined by RT-PCR. Data are mean ± SEM, n = 3–4 independent trials on tissue samples from different animals. Statistical significance was determined using a one-way ANOVA with a Dunnett's post hoc test, where “∗” denotes significantly different from control values (p < 0.05). Representative PCR product bands visualized on a 1 % agarose gel are shown below each bar chart.
Fig. 6. Relative protein expression levels of NF-κB downstream targets; c-IAP1, Bcl-xL and p53 in X. laevis (a) liver and (b) skeletal muscle during control (C), medium hydration (MD), and high dehydration (HD) as determined by Western immunoblotting. Data are mean ± SEM, n = 4 independent trials on tissue samples from different animals. Statistical significance was determined using a one-way ANOVA with a Dunnett's post hoc test, where “∗” denotes significantly different from control values (p < 0.05). Corresponding bands from immunoblots are shown below each bar chart.