Click here to close
Hello! We notice that you are using Internet Explorer, which is not supported by Xenbase and may cause the site to display incorrectly.
We suggest using a current version of Chrome,
FireFox, or Safari.
Biallelic NDC1 variants that interfere with ALADIN binding are associated with neuropathy and triple A-like syndrome.
Smits DJ, Dekker J, Douben H, Schot R, Magee H, Bakhtiari S, Koehler K, Huebner A, Schuelke M, Darvish H, Vosoogh S, Tafakhori A, Jameie M, Taghiabadi E, Wilson Y, Shah M, van Slegtenhorst MA, Medici-van den Herik EG, van Ham TJ, Kruer MC, Mancini GMS.
???displayArticle.abstract???
Nuclear pore complexes (NPCs) regulate nucleocytoplasmic transport and are anchored in the nuclear envelope by the transmembrane nucleoporin NDC1. NDC1 is essential for post-mitotic NPC assembly and the recruitment of ALADIN to the nuclear envelope. While no human disorder has been associated to one of the three transmembrane nucleoporins, biallelic variants in AAAS, encoding ALADIN, cause triple A syndrome (Allgrove syndrome). Triple A syndrome, characterized by alacrima, achalasia, and adrenal insufficiency, often includes progressive demyelinating polyneuropathy and other neurological complaints. In this report, diagnostic exome and/or RNA sequencing was performed in seven individuals from four unrelated consanguineous families with AAAS-negative triple A syndrome. Molecular and clinical studies followed to elucidate the pathogenic mechanism. The affected individuals presented with intellectual disability, motor impairment, severe demyelinating with secondary axonal polyneuropathy, alacrima, and achalasia. None of the affected individuals has adrenal insufficiency. All individuals presented with biallelic NDC1 in-frame deletions or missense variants that affect amino acids and protein domains required for ALADIN binding. No other significant variants associated with the phenotypic features were reported. Skin fibroblasts derived from affected individuals show decreased recruitment of ALADIN to the NE and decreased post-mitotic NPC insertion, confirming pathogenicity of the variants. Taken together, our results implicate biallelic NDC1 variants in the pathogenesis of polyneuropathy and a triple A-like disorder without adrenal insufficiency, by interfering with physiological NDC1 functions, including the recruitment of ALADIN to the NPC.
Figure 1. Clinical features of affected individuals with NDC1 variants
(A) Pedigrees of four families with biallelic NDC1 variants. Affected individuals are depicted in black.
(B) Facial features of affected individuals 1-I, 1-II, 3-I, and 3-II. The lower panel in individual 1-I shows tongue fasciculations.
(C) Schematic drawing of the NDC1 protein in the nuclear envelope. The identified NDC1 variants and the interaction sites with ALADIN are depicted in the C-terminal NDC1 protein structure.
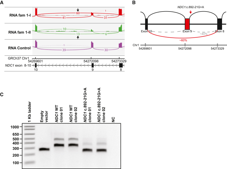
Figure 2. Functional analysis of the variant identified in family 1
(A) Sashimi plot showing partial skipping of exon 9 NDC1 in both affected individuals from family 1. These samples were not treated with cycloheximide (CHX–).
(B) Schematic representation of the effect of the homozygous NDC1:c.892-21G>A variant on splicing. In approximately 60% of the reads skipping of exon 9 is observed.
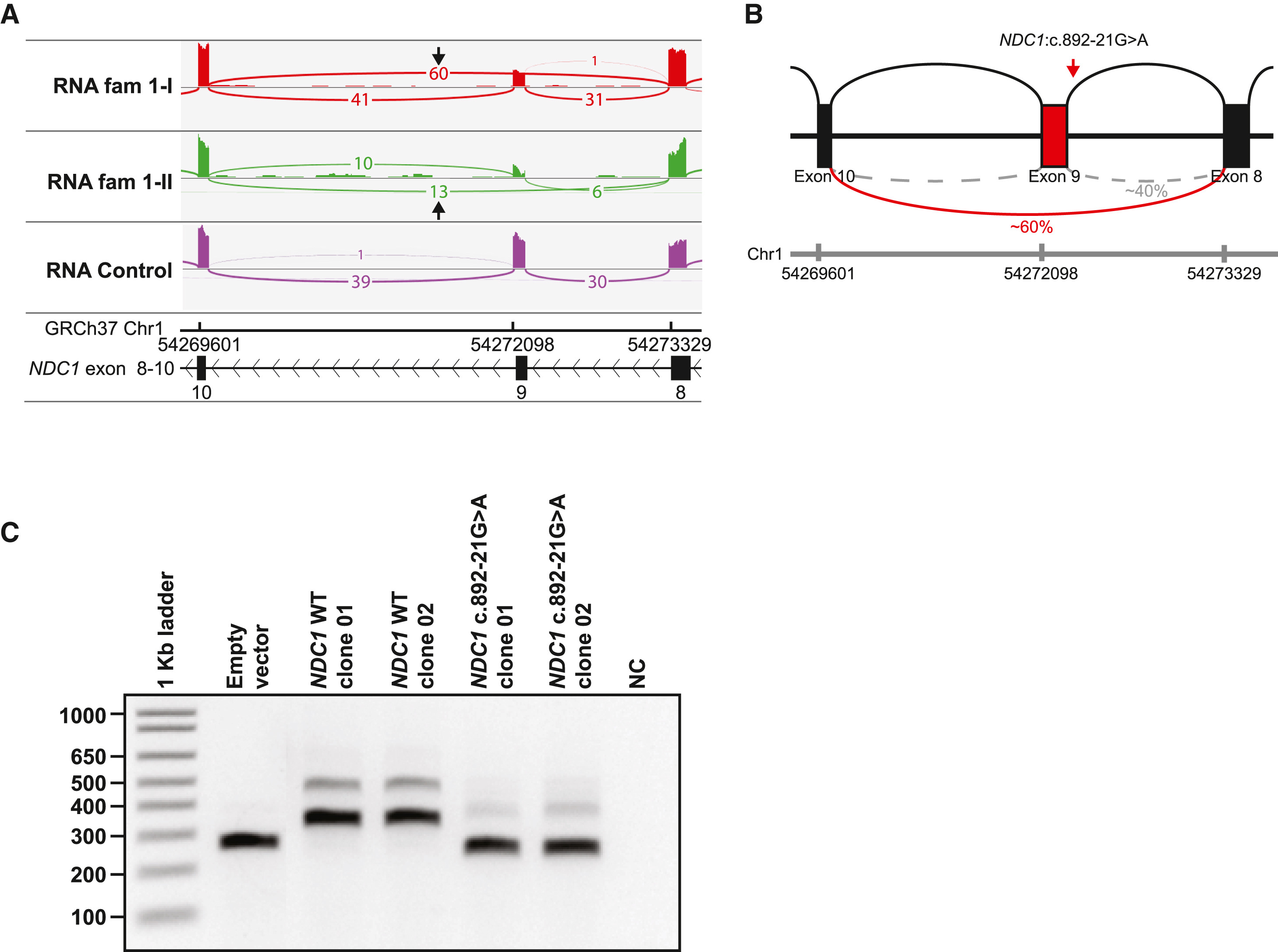
(C) Minigene assay confirming the effect of the NDC1:c.892-21G>A variant on splicing. HEK293T cells were transfected with plasmid DNA isolated from two independent clones containing NDC1 with the c.892-21G>A variant, two clones with WT NDC1 sequence, or an empty vector. RT-PCR of the transcribed minigene was performed showing that the NDC1:c.892-21G>A induces skipping of exon 9 not seen in WT samples. NC, negative control.
Figure 3. Modeling structural effects of missense variants in NDC1
(A) View of the ALADIN-NDC1 heterodimers of the Xenopus laevis NPC. NDC1-ALADIN heterodimer showing that p.Ser569 and p.Ala574 are located close to the dimer interface. This panel is adapted from Huang et al.28
(B) Close-up of p.Ala574 showing that this residue forms direct contacts with the ALADIN subunit (shown in blue space-filled presentation). The bulkier substituted threonine side chain is predicted to cause steric clashes with ALADIN thereby decreasing heterodimer stability.
(C) Close-up of p.Ser569 showing that this residue forms tight intramolecular interactions (interacting residues shown in stick presentation). The bulkier substituted leucine side chain is anticipated to cause steric clashes thereby decreasing NDC1 stability and consequently its ability to interact with ALADIN. Overall, both variants are located in close proximity to the NDC1-ALADIN interface, suggesting that they have a negative effect on heterodimerization and on the anchoring of the NPC.
Figure 4. NDC1 variants interfere with ALADIN recruitment and NPC insertion
(A) Cell lines were stained with anti-ALADIN antibodies (red) and its localization was evaluated with confocal microscopy. n = 2 independent experiments, >10 fields per cell line were evaluated, n = 2 NDC1 individuals; family 1-I and family 1-II.
(B) The number of NPCs was examined upon staining with the Mab-414 antibody (red). Nuclei were counterstained with DAPI. The structure of the NE and NPC localization were evaluated with confocal microscopy.
(C) Quantification of the number of NPCs in post mitotic cells (CDT1+) with 3D SIM microscopy after staining with the Mab-414 antibody (red). n = 3 experiments, n = 2 NDC1 individuals, n = 2 controls, two tailed unpaired t test, error bars represent the standard error of the mean (SEM)). ∗∗p < 0.01.
Figure 1. Clinical features of affected individuals with NDC1 variants(A) Pedigrees of four families with biallelic NDC1 variants. Affected individuals are depicted in black.(B) Facial features of affected individuals 1-I, 1-II, 3-I, and 3-II. The lower panel in individual 1-I shows tongue fasciculations.(C) Schematic drawing of the NDC1 protein in the nuclear envelope. The identified NDC1 variants and the interaction sites with ALADIN are depicted in the C-terminal NDC1 protein structure.
Figure 2. Functional analysis of the variant identified in family 1(A) Sashimi plot showing partial skipping of exon 9 NDC1 in both affected individuals from family 1. These samples were not treated with cycloheximide (CHX–).(B) Schematic representation of the effect of the homozygous NDC1:c.892-21G>A variant on splicing. In approximately 60% of the reads skipping of exon 9 is observed.(C) Minigene assay confirming the effect of the NDC1:c.892-21G>A variant on splicing. HEK293T cells were transfected with plasmid DNA isolated from two independent clones containing NDC1 with the c.892-21G>A variant, two clones with WT NDC1 sequence, or an empty vector. RT-PCR of the transcribed minigene was performed showing that the NDC1:c.892-21G>A induces skipping of exon 9 not seen in WT samples. NC, negative control.
Figure 3. Modeling structural effects of missense variants in NDC1(A) View of the ALADIN-NDC1 heterodimers of the Xenopus laevis NPC. NDC1-ALADIN heterodimer showing that p.Ser569 and p.Ala574 are located close to the dimer interface. This panel is adapted from Huang et al.28(B) Close-up of p.Ala574 showing that this residue forms direct contacts with the ALADIN subunit (shown in blue space-filled presentation). The bulkier substituted threonine side chain is predicted to cause steric clashes with ALADIN thereby decreasing heterodimer stability.(C) Close-up of p.Ser569 showing that this residue forms tight intramolecular interactions (interacting residues shown in stick presentation). The bulkier substituted leucine side chain is anticipated to cause steric clashes thereby decreasing NDC1 stability and consequently its ability to interact with ALADIN. Overall, both variants are located in close proximity to the NDC1-ALADIN interface, suggesting that they have a negative effect on heterodimerization and on the anchoring of the NPC.
Figure 4. NDC1 variants interfere with ALADIN recruitment and NPC insertion(A) Cell lines were stained with anti-ALADIN antibodies (red) and its localization was evaluated with confocal microscopy. n = 2 independent experiments, >10 fields per cell line were evaluated, n = 2 NDC1 individuals; family 1-I and family 1-II.(B) The number of NPCs was examined upon staining with the Mab-414 antibody (red). Nuclei were counterstained with DAPI. The structure of the NE and NPC localization were evaluated with confocal microscopy.(C) Quantification of the number of NPCs in post mitotic cells (CDT1+) with 3D SIM microscopy after staining with the Mab-414 antibody (red). n = 3 experiments, n = 2 NDC1 individuals, n = 2 controls, two tailed unpaired t test, error bars represent the standard error of the mean (SEM)). ∗∗p < 0.01.