|
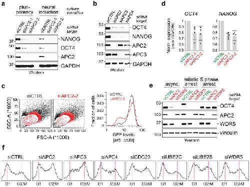
Extended Data Figure 2 ∣. Characterization of APC/C and Usp44’s role in pluripotency.a, Western blot of OCT4 and NANOG upon APC2 knockdown in asynchronous H1 hESCs. This experiment was performed two independent times with similar results.b, Western blot of OCT4 and NANOG upon knockdown of APC/C subunits in asynchronous H1 hESCs. This experiment was performed three independent times with similar results.c, RT-qPCR of OCT4 and NANOG upon APC2 knockdown in asynchronous H1 hESCs (mean of n=4 independent experiments, ± SD).d, Flow cytometry analysis of APC2-depletion in H1 OCT4GFP hESCs. H1 OCT4GFP hESCs were transfected with siAPC2 for 48 h prior to cytometry analysis. This experiment was performed two independent times with similar results.e, Loss of pluripotency marker OCT4 upon depletion of APC2 or WDR5 requires entry into mitosis. H1 hESCs were transfected with indicated siRNAs for 36 h and treated with DMSO (asynchronous), 5 μM STLC (mitotic arrest), or 200 mM thymidine (S phase arrest) for an additional 12 h prior to harvest for Western blot analysis. This experiment was performed three independent times with similar results.f, Flow cytometry analysis of asynchronous H1 hESCs transfected with indicated siRNAs for 72 h. This experiment was performed three independent times with similar results. |
|
Extended Data Figure 3 ∣. APC/C and WDR5 are required for hESC survival.a, Mass spectrometry analysis of FLAGWDR5 purified from mitotic HEK 293T cells. Values listed in brackets are total spectral counts of tryptic peptides of indicated proteins.b, Depletion of WDR5 phenocopies depletion of APC2 in H1 hESCs. H1s were depleted with indicated siRNAs for 72 h prior to harvest for Western blot analysis. This experiment was performed once.c, Depletion of APC2 or WDR5 causes cell death in H1 hESCs. Cell death was measured by trypan blue staining of dead cells (mean of n=4 independent experiments ± SD).d, Quantifying cell survival using chromosome catastrophe as a proxy for cell death. H1 hESCs virally expressing H2B-mCherry were transfected with indicated siRNAs for 24 h prior to imaging by confocal microscopy (n=97 cells for siCTRL, n=104 cells for siAPC2, n=90 cells for siWDR5, and n=213 cells for siAPC2/siWDR5).e, Sister cells die immediately following mitotic exit when depleted of APC2 and WDR5. H1 hESCs virally expressing H2B-mCherry were transfected with siAPC2 and/or siWDR5 for 24 h prior to imaging by confocal microscopy. The time of death, as defined by cells undergoing chromosome catastrophe, was measured for each sister (mean of n=57 pairs of cells ± SD)f, Representative frames of live cell imaging from four independent experiments (in minutes) tracking the nuclei of siRNA-depleted H1 hESCs virally expressing H2B-mCherry. Arrows mark individual sister cells upon mitotic exit. Chromosome catastrophe was used a proxy for cell death (see time points 198 and 342).g, A cumulative fraction curve measuring the length of each metaphase-to-anaphase transition (n=112 cells for siCTRL, n=105 cells for siAPC2, n=106 cells for siWDR5, and n=217 cells for siAPC2/siWDR5).h, FLAGWDR5 associates with APC/C in mitotic H1 hESCs. FLAGWDR5 IPs were performed on asynchronous H1 hESCs (A) or H1 hESCs arrested in mitosis (M). Bound proteins were determined by SDS-PAGE and Western blotting. This experiment was performed two independent times with similar results.i, Overexpressed USP44HA associates with FLAGWDR5 in both asynchronous (A) and mitotic (M) HEK 293T cells. MYCWDR5 was used as the control vector. This experiment was performed three independent times with similar results. |
|
Extended Data Figure 4 ∣. WDR5 associates with the APC/C and TBP on distinct surfaces.a, The WIN (WDR5 interaction motif)-binding site on WDR5 is critical for APC/C engagement, while the WBM (WDR5 binding motif)-binding surface is dispensable. A secondary binding surface (4A) is also important for WDR5’s association with the APC/C. The WBM-binding surface on WDR5 is critical for TFIID association, while the WIN-binding site is dispensable. HEK 293T cells were transfected with the indicated FLAGWDR5 variants and cells were synchronized in mitosis. FLAGWDR5 was affinity purified and bound proteins were determined by Western blotting. This experiment was performed five independent times with similar results.b, Reciprocal IPs show that the APC/C binds WDR5 through its WIN-binding site. Endogenous APC/C was purified from 293T cells expressing the indicated FLAGWDR5 variants, and bound proteins were determined by SDS-PAGE and Western blotting. This experiment was performed three independent times with similar results.c, Heatmap of bait-normalized total spectral counts identified from FLAGWDR5-purified mass spectrometry experiments. HeLa cells were transfected with FLAGWDR5 for 24 h prior to mitotic synchronization.d, The WDR5 inhibitor MM-102 impairs WDR5’s association with the APC/C. Mitotic HeLa S3 cells were released into MM-102 for 2 h prior to IP experiments. Under these conditions, MM-102 did not prevent the association of WDR5 with MLL and RBBP5. This experiment was performed two independent times with similar results.e, Expression of wild type WDR5 but not WDR5ΔWIN rescues the pluripotency defect caused by WDR5 depletion in H1 hESCs. H1 hESCs virally expressing siRNA-resistant WDR5 variants (WDR5 versus WDR5ΔWIN) were depleted of endogenous WDR5 (W) or treatment with control siRNA (C). Expression of OCT4 and NANOG was determined by Western blotting. This experiment was performed once. |
|
Extended Data Figure 5 ∣. WDR5 binds near the catalytic core of the APC/C.a, WDR5 forms BMB(1,4-bismaleimdobutane)-dependent crosslinks with APC2, APC11, and CDC20. APC/CCDC20 was affinity purified from prometaphase-arrested HeLa cells and incubated with recombinant WDR5 or WDR5ΔWIN prior to addition of crosslinker. Crosslinked APC/C subunits were detected by SDS-PAGE and Western blotting using specific antibodies. This experiment was performed two independent times with similar results.b, In vitro translation binding assays reveal that APC2 directly interacts with recombinant WDR5. MBP-tagged WDR5 or WDR5ΔWIN were immobilized on amylose resin and incubated with 35S-labeled APC/C subunits produced by in vitro transcription/translation. Bound proteins were detected by SDS-PAGE and autoradiography. APC3 failed to synthesize by in vitro transcription/translation. This experiment was performed once for the full set of APC/C subunits. APC2 binding was validated three independent times.c, Quantification of autoradiography blot shown in b. |
|
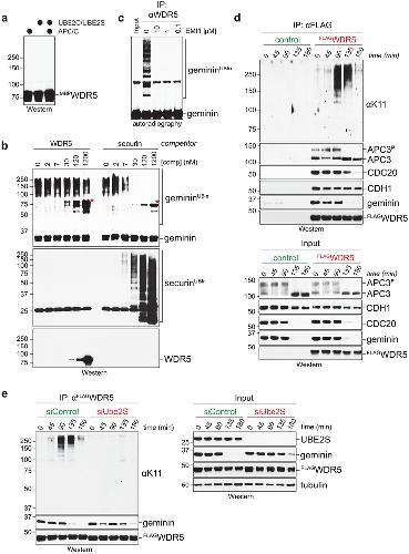
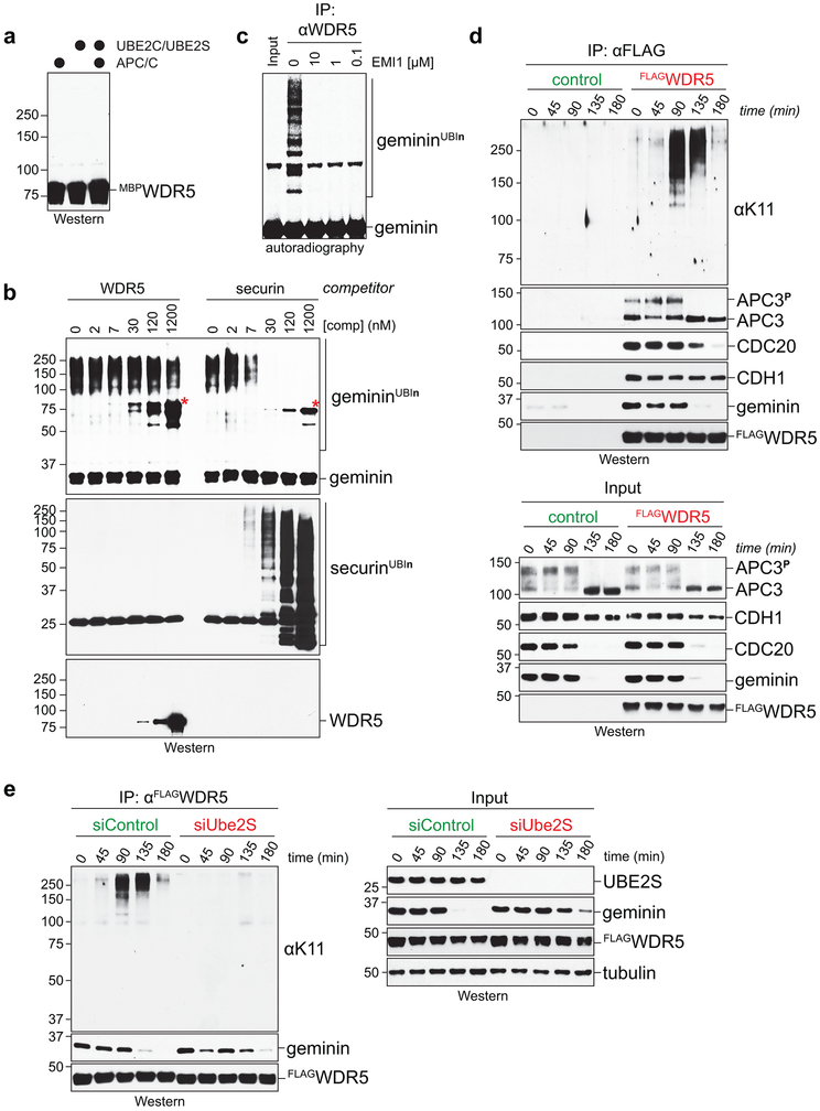
Extended Data Figure 6 ∣. WDR5 associates with active APC/C.a, APC/C does not ubiquitylate WDR5 in vitro. Recombinant WDR5 was incubated with active APC/C, E1, UBE2C, UBE2S, and ubiquitin, and potential reaction products were detected by Western blotting against WDR5. This experiment was performed once.b, APC/C-dependent ubiquitylation of geminin is outcompeted by recombinant securin (comp), a canonical substrate, but not by recombinant WDR5. Securin or WDR5 was added to APC/C-dependent geminin ubiquitylation reactions at the indicated concentrations, and various reaction products were detected using Western blotting. Asterisks represent cross-reactive bands. This experiment was performed once.c, APC/CWDR5-dependent ubiquitylation of geminin is inhibited by EMI1. WDR5 affinity purifications from mitotic HeLa cells were incubated with E1, the APC/C-specific E2s UBE2C and UBE2S, and ubiquitin. EMI1 was added at indicated concentrations, and reaction products were detected by Western blotting using antibodies against geminin. This experiment was performed two independent times with similar results.d, IP of FLAGWDR5 from mitotic HEK 293T cells co-precipitates K11-linked ubiquitin chains. 293T cells arrested in prometaphase were released into fresh medium, and WDR5 was affinity purified at indicated time points. Bound proteins were detected by Western blotting. This experiment was performed once.e, Depletion of UBE2S eliminates WDR5-associated K11-linked ubiquitin chains in mitotic HEK 293T cells. This experiment was performed once. |
|
Extended Data Figure 7 ∣. Mitotic APC/CWDR5 complexes are catalytically active.a, APC/CWDR5 ubiquitylates human H3 in H3/H4 tetramers in vitro. APC/C was affinity purified from mitotic HeLa cells and incubated with E1, UBE2C, UBE2S, ubiquitin, and human H3/H4 tetramers, as indicated. Reaction products were detected by Western blotting using antibodies against H3 and H4. This experiment was performed once.b, APC/C ubiquitylation of H2B in X. laevis H2A/H2B histone dimers. APC/CWDR5 was purified from mitotic HeLa cells by FLAGWDR5 affinity purification and incubated with E1, UBE2C, UBE2S, ubiquitin, and X. laevis histone octamers. Ubiquitylation was detected by Western blotting against ubiquitylated H2B. This experiment was performed three independent times with similar results.c, APC/CWDR5 ubiquitylation of H2B in X. laevis H2A/H2B/H3/H4 histone octamers. Reactions were performed as described in b. This experiment was performed two independent times with similar results.d, APC/C purified from H1 hESCs is competent to ubiquitylate human H2B. This experiment was performed two independent times with similar results.e, APC/C purified from mitotic but not S phase extracts can ubiquitylate H2B in vitro. APC/C was purified from HeLa cells synchronized at the indicated cell cycle stages and incubated with E1, UBE2C, UBE2S, ubiquitin, and X. laevis H2A/H2B dimers. Histone ubiquitylation was detected by Western blotting using antibodies against ubiquitylated H2B. This experiment was performed once.f, APC/C-dependent ubiquitylation of H2B requires Lys11 residue on ubiquitin for chain elongation. Ubiquitylation of H2A/H2B dimers by the APC/CWDR5 was performed as described in e, but with ubiquitin variants. This experiment was performed once.g, APC/C-dependent ubiquitylation of H2B requires both Lys11 and Lys48 on ubiquitin for synthesis of branched chains. This experiment was performed two independent times with similar results.h, Securin, a canonical APC/C substrate, outcompetes H2A/H2B dimers for APC/C-dependent ubiquitylation. The D-box motif, an APC/CCDC20-specific degron, is required for full competition, whereas the KEN-motif, an APC/CCDH1-specific degron, is not. This experiment was performed two independent times with similar results.i, Polyubiquitylated H2B is degraded by the proteasome. K11/K48-branched chains were purified under denaturing conditions from mitotic HeLa cells either in the presence of absence of MG132, and modified H2B was detected using Western blotting. Proteasome inhibition with MG132 was found to stabilize endogenous polyubiquitylated H2B. This experiment was performed four independent times with similar results. |
|
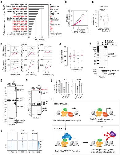
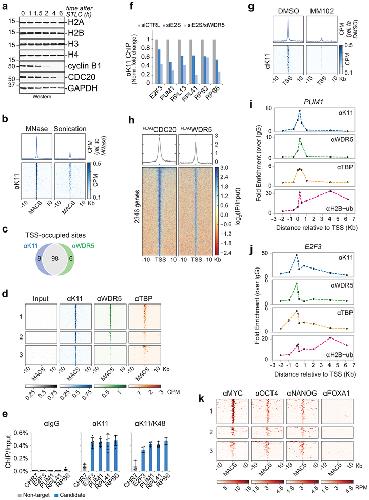
Extended Data Figure 8 ∣. ChIPseq analyses of APC/C- and WDR5-occupied gene targets.a, Overall histone levels do not change upon release from mitosis. H1s were synchronized in mitosis by STLC and released into fresh medium. Indicated proteins were monitored by Western blotting. This experiment was performed two independent times with similar results.b, Comparison between ChIPseq versus MNChIPseq against αK11 from mitotic H1 hESCs reveals that sonication shears polymeric ubiquitin linkages.c, Venn diagram of αK11 and αWDR5 ChIP peaks that co-localize with TSSes from MNChIPseq experiments. MNChIPseq experiments were performed from mitotic H1 hESCs.d, Heatmap of MNChIPseq data from mitotic H1 hESCs. Cluster 1 includes sites that are co-occupied by K11 and WDR5 near TSSes (within 100 bp), cluster 2 includes sites that are co-occupied by K11 and WDR5 outside of TSSes, and cluster 3 includes sites only occupied by K11, regardless of co-localization with TSSes.e, ChIP-qPCR analysis of candidate targets using K11- or K11/K48-linkage specific ubiquitin antibodies from mitotic H1 hESCs (mean of independent replicates ± SD, n=3 for K11/K48, n=5 for IGG and K11 (except n=4 for PUM1)).f, ChIP-qPCR analysis of mitotic H1 hESCs shows that K11-linkages synthesized at candidate sites are dependent on UBE2S and WDR5. This experiment was performed once.g, WDR5 inhibition prevents K11-ubiquitin chain formation at APC/CWDR5-bound TSSes. H1 hESCs were treated with or without 50 μM MM102 during mitotic synchronization with STLC prior to αK11-MNChIPseq. Heatmap of all APC/CWDR5-bound TSSes are shown.h, Heatmap of ChIPseq peaks of individual genes co-occupied by FLAGCDC20 and FLAGWDR5. ChIPseq against αFLAG was performed on mitotic HEK 293T cells overexpressing FLAGCDC20 or FLAGWDR5.i, Spatial profile of PUM1 of factor occupancy by ChIP-qPCR. This experiment was performed once.j, Spatial profile of E2F3 of factor occupancy by ChIP-qPCR. This experiment was performed once.k, Heatmap of MNChIPseq data of transcription factor binding. Previously published MNChIPseq data was obtained from ref. 34, and APC/C-bound sites were similarly analyzed as described in d. |
|
Extended Data Figure 9 ∣. Select transcription factors are found at APC/CWDR5-bound sites.Heatmap of MNChIPseq data of transcription factor binding. Previously published MNChIPseq data was obtained from ref. 34, and APC/C-bound sites were analyzed as follows: cluster 1 includes sites that are co-occupied by K11 and WDR5 near TSSes (within 100 bp), cluster 2 includes sites that are co-occupied by K11 and WDR5 outside of TSSes, and cluster 3 includes sites only occupied by K11, regardless of co-localization with TSSes. |
|
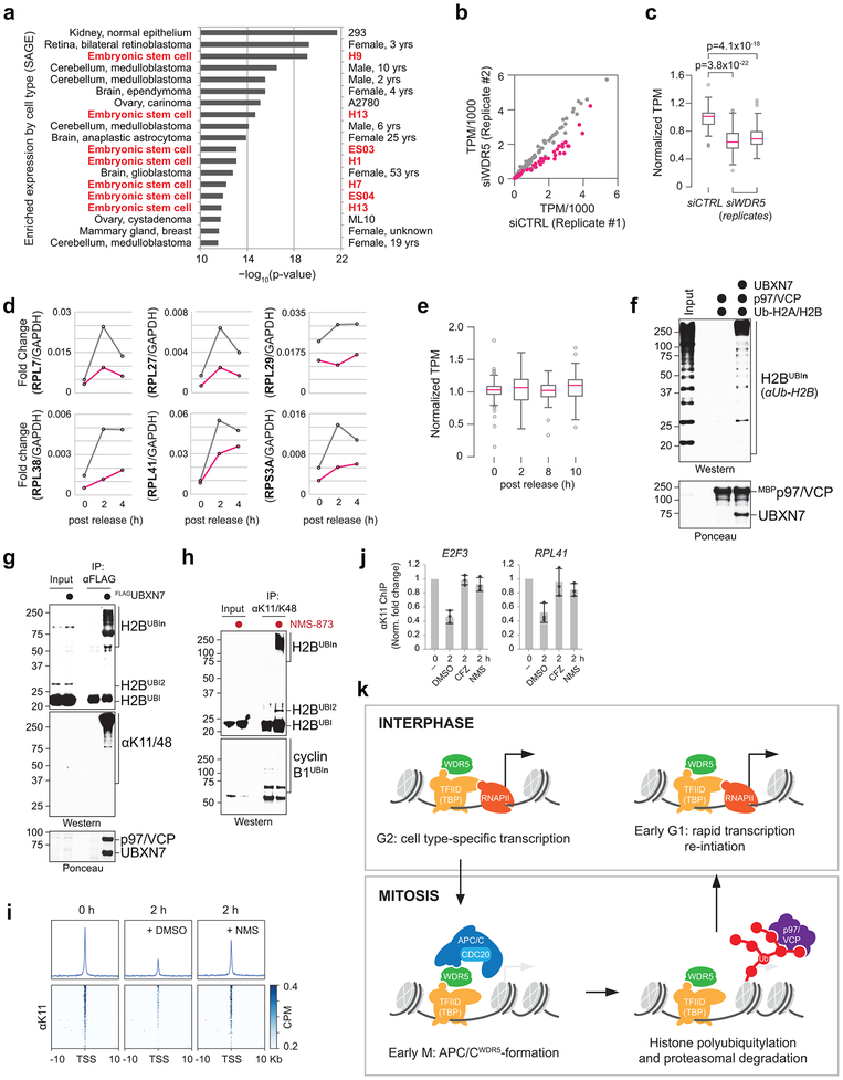
Extended Data Figure 10 ∣. Chromatin- and transcription-regulation by APC/CWDR5.a, Comparison of genes co-occupied by FLAGCDC20 and FLAGWDR5 from mitotic HEK 293T cells with known gene expression profiles reveals strong overlap with embryonic stem cell and medulloblastoma cancer cell lines. n=1628 genes were analyzed (p-values represent a one-sided, Fisher’s exact test, Bonferroni correction).b, Loss of APC/CWDR5 function interferes with the expression of genes marked with K11-linked ubiquitin chains in H1 hESCs. Poly(A)-selected RNA was purified from asynchronous H1 hESCs transfected with siCTRL or siWDR5 for 48 h and subjected to RNAseq analysis (a biological replicate of Fig. 4h).c, Transcript analysis of WDR5 depletion on APCWDR5-dependent genes (from Fig. 4h and b). Box plots include the median TPM value (n=90 genes) with quartile ranges Q1-Q3 (top whiskers=Q3+1.5*IQR, bottom whiskers=Q1−1.5*IQR). P-values were calculated from comparing individual TPM values of APC/CWDR5-regulated genes (n=90) versus all transcripts (n=18791) using a two-sided, Student’s t-test (unpaired).c, RT-qPCR analysis of nascent RNA reveals APC/CWDR5 target genes are re-activated upon mitotic exit and is dependent on WDR5. Initial screening from a single experiment.d, RNA levels of genes regulated by APC/CWDR5 do not change upon mitotic exit. RNAseq analysis was performed on poly(A)-selected RNA purified from H1 hESCs at the indicated cell cycle stages. Box plots were derived as described in c (n=90 genes).f, Ubiquitylated H2B preferentially associates with p97/VCPUBXN7
in vitro. H2B was pre-ubiquitylated by APC/C in vitro, and incubated with immobilized p97/VCP or p97/VCPUBXN7 complexes. Bound histone H2B was detected by Western blotting. This experiment was performed three independent times with similar results.g, FLAGUBXN7 associates with polyubiquitylated H2B, p97/VCP, and K11/K48-linked branched ubiquitin chains in mitosis. Native FLAGUBXN7 IPs were performed on mitotic HEK 293T cells and bound proteins were detected by Western blotting or Ponceau. This experiment was performed three independent times with similar results.h, H2B ubiquitylation is stabilized by p97/VCP inhibition in cells. Denaturing K11/K48 IPs were performed on H1 hESCs synchronized in prometaphase or released into 10 μM NMS-873 for 2h. This experiment was performed four independent times with similar results.i, p97/VCP inhibition restores K11 deposition at sites regulated by APC/CWDR5 upon mitotic exit. αK11-MNChIPseq was performed from H1 hESCs synchronized in mitosis (0 h) or released into fresh medium without (2 h +DMSO) or with p97 inhibition (2 h +10 μM NMS-873).j, αK11-MNChIP-qPCR of candidate targets from mitotic H1 hESCs (mean of n=3 independent replicates ± SD). H1 hESCs were synchronized in mitosis (0 h) and released into fresh medium for 2 h with indicated drugs.k, Model of APC/C-dependent gene activation upon mitotic exit. |
|
Fig 1. ∣. The APC/C stabilizes hESC identity.a, Schematic of the ultracomplex shRNA screen.b, shRNA screen identifies genes important for pluripotency. Each dot (n=886 unique genes) represents a gene’s p-value (Mann Whitney U test, two-sided, not corrected for multiple hypothesis testing) calculated from comparing the collection of shRNAs targeting each gene to all negative control shRNAs measured in each subpopulation (low versus high OCT4GFP levels). Orange: enzymes or effectors of K11/K48-branched chain synthesis; red: DUBs opposing K11/K48-specific E3s; blue: DNA repair enzymes; green: positive controls.c, Western blot of pluripotency markers upon APC/C subunit knockdown in asynchronous H1 hESCs. This experiment was performed five independent times with similar results.d, Interaction network of APC/C, WDR5, and USP44. Values listed in brackets are total spectral counts (TSCs) of tryptic peptides of indicated proteins. |
|
Fig 2. ∣. WDR5 is an APC/C substrate co-adaptor.a, IP of endogenous APC3 from HeLa cells reveals that APC/C binds WDR5 and TBP in mitosis. Prometaphase HeLa cells were released into fresh medium to restart the cell cycle. This experiment was performed three independent times with similar results.b, IP of endogenous WDR5 from HeLa cells confirms that WDR5 associates with APC/C subunits and TBP in mitosis. This experiment was performed three independent times with similar results.c, Sequential IPs of APC/C-FLAGWDR5 complexes from mitotic 293T cells reveal that APC/CWDR5 and TBP form a ternary complex. FLAGWDR5 was first purified from prometaphase cells and next purified with αAPC3. This experiment was performed once.d, Endogenous APC3 IPs from control versus WDR5-depleted hESCs show that APC/C’s association with TBP is bridged through WDR5. This experiment was performed twice with similar results.e, ~20 Å negative-stain electron microscopy model corroborates WDR5’s association with the catalytic core of the APC/C.f,
FLAGWDR5 purified from mitotic HeLa cells contains active APC/C. FLAGWDR5 or FLAGWDR5ΔWIN were purified from mitotic HeLa cells and incubated with E1, UBE2C, UBE2S, ubiquitin, ATP, and 35S-labeled geminin. This experiment was performed two independent times with similar results. |
|
Fig 3. ∣. APC/CWDR5 decorates histone proteins with K11/K48-branched ubiquitin chains.a, Mass spectrometry of WDR5HHR23B and WDR5UBQLN2 traps identifies histones as candidate substrates. Traps were affinity-purified from prometaphase (PM) or anaphase (ANA) HeLa cells, with low or high APC/C activity, respectively.b, APC/CCDC20 purified from mitotic HeLa S3 cells ubiquitylates recombinant human H2A/H2B dimers. This experiment was performed four independent times with similar results.c, APC/CWDR5 ubiquitylates H2B in polynucleosomes purified from HeLa cells and is inhibited by the APC/C inhibitor EMI1. This experiment was performed three independent times with similar results.d, APC/CWDR5 ubiquitylates multiple Lys residues in histones, as seen with Lys-free ubiquitin (K0). This experiment was performed two independent times with similar results.e, APC/C-dependent ubiquitylation of H2B requires CDC20 in vitro. APC/C was purified from mitotic HeLa cells depleted off CDC20 or WDR5. This experiment was performed once.f, Ubiquitylation of H2B by the APC/C is dependent on UBE2C and UBE2S and inhibited by EMI1. This experiment was performed two independent times with similar results.g, Endogenous H2B is modified with K11/K48-branched chains, as seen by denaturing purification from synchronized HeLa cells. This experiment was performed three independent times with similar results.h, Mitotic K11/K48-modification of endogenous H2B in hESCs is dependent on UBE2C and UBE2S. This experiment was performed two independent times with similar results.i, Proteasome inhibition stabilizes mitotic K11/K48-modified H2B in H1 hESCs. This experiment was performed two independent times with similar results. |
|
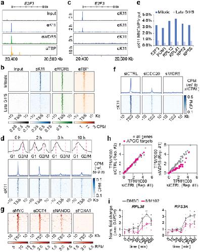
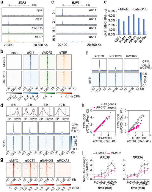
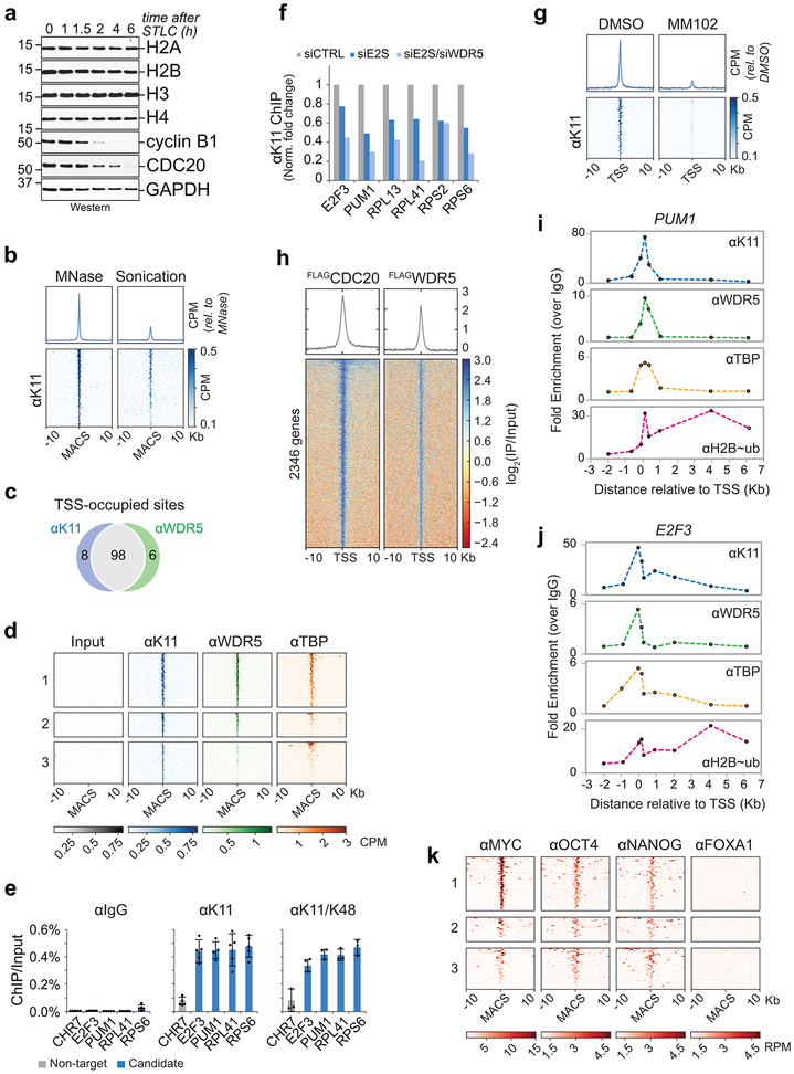
Fig 4. ∣. APC/C-dependent ubiquitylation occurs at TSSes of hESC genes.a, Genome browser track of E2F3. MNChIPseq of indicated antibodies were performed from mitotic H1 hESCs.b, K11 is deposited at select TSSes co-occupied by WDR5 in hESCs. Heatmap of co-occupied genes at TSSes from MNChIPseq experiments of indicated antibodies. H1 hESCs were collected after STLC treatment (mitosis) and after an 8h release (Late G1/S).c, Genome browser track of E2F3 from MNChIPseq of αK11 in hESCs throughout a mitotic release.d, Flow cytometry analysis of H1 hESCs upon mitotic synchronization and release into fresh medium (upper panels). Metagene analysis of K11- and WDR5-occupied TSSes (middle panels). Heatmap of individual K11- and WDR5-occupied TSSes from αK11-MNChIPseq experiments throughout a mitotic release (lower panels).e, αK11-MNChIP-qPCR validates MNChIPseq findings that K11 is deposited only during mitosis in H1 hESCs. The same extract used in Fig. 4C was used for this experiment.f, Depletion of CDC20 or WDR5 causes robust depletion of K11 chains at select TSSes.g, MNChIPseq from HUES64 hESCs reveals that endogenous targets of APC/CWDR5 are strongly enriched in binding sites for MYC, OCT4, and NANOG.h, Loss of APC/CWDR5 function interferes with expression of genes marked with K11-linked chains in H1 hESCs. Poly(A)-selected RNA was purified from asynchronous H1 hESCs transfected with siCTRL or siWDR5 for 48h and subjected to RNAseq.i, RT-qPCR analysis of nascent RNA reveals APC/CWDR5 target genes are re-activated upon mitotic exit dependent on WDR5. Mitotic H1 hESCs were treated with or without 50μM MM102 and supplemented with 20μM zVAD-FMK. Cells were released into fresh media containing DMSO or 50μM MM102. RT-qPCR experiments were performed with oligonucleotides spanning intron-exon junctions. Values represent the mean of independent replicates ± SEM (n=3 for t=15 min, n=4 for t=30, 60, 480 min and n=5 for t=0, 120, 240 min). |