XB-ART-60866
Nat Commun
2024 Aug 05;151:6641. doi: 10.1038/s41467-024-50912-x.
Show Gene links
Show Anatomy links
PARP1-dependent DNA-protein crosslink repair.
Fábián Z, Kakulidis ES, Hendriks IA, Kühbacher U, Larsen NB, Oliva-Santiago M, Wang J, Leng X, Dirac-Svejstrup AB, Svejstrup JQ, Nielsen ML, Caldecott K, Duxin JP.
???displayArticle.abstract???
DNA-protein crosslinks (DPCs) are toxic lesions that inhibit DNA related processes. Post-translational modifications (PTMs), including SUMOylation and ubiquitylation, play a central role in DPC resolution, but whether other PTMs are also involved remains elusive. Here, we identify a DPC repair pathway orchestrated by poly-ADP-ribosylation (PARylation). Using Xenopus egg extracts, we show that DPCs on single-stranded DNA gaps can be targeted for degradation via a replication-independent mechanism. During this process, DPCs are initially PARylated by PARP1 and subsequently ubiquitylated and degraded by the proteasome. Notably, PARP1-mediated DPC resolution is required for resolving topoisomerase 1-DNA cleavage complexes (TOP1ccs) induced by camptothecin. Using the Flp-nick system, we further reveal that in the absence of PARP1 activity, the TOP1cc-like lesion persists and induces replisome disassembly when encountered by a DNA replication fork. In summary, our work uncovers a PARP1-mediated DPC repair pathway that may underlie the synergistic toxicity between TOP1 poisons and PARP inhibitors.
???displayArticle.pubmedLink??? 39103378
???displayArticle.pmcLink??? PMC11300803
???displayArticle.link??? Nat Commun
???displayArticle.grants??? [+]
NNF14CC0001 Novo Nordisk Fonden (Novo Nordisk Foundation), 715975 EC | EU Framework Programme for Research and Innovation H2020 | H2020 Priority Excellent Science | H2020 European Research Council (H2020 Excellent Science - European Research Council)
Species referenced: Xenopus laevis
Genes referenced: adrm1 anapc15 aplf atm aunip brca1 btaf1 cab39 ccnc cdc25b chek1 chfr chtf8 ctrl cul1 cul4a cul4b cyb5r4 dbf4 dclre1a ddi2 ddx11 drap1 dscc1 dtx3l eme1 esco1 fancm fbxl12 fen1 foxm1 fzr1 hira hltf hpf1 huwe1 kdm8 lig1 lig3 mus81 naa30 nbn nsfl1c nup42 otud5 parg parp1 parp12.3 parp9 paxip1 pds5b pnkp pold1 pold2 pold3 pole3 pole4 psma1 psma2 psma3 psma5 psma6 psma7 psmc1 psmc2 psmc3 psmc4 psmc5 psmc6 psmd11 psmd12 psmd13 psmd14 psmd2 psmd3 psmd4 psmd6 psmd7 psmd8 rad18 rad51d rad54l rnaseh2a rnf41 rnf8 rprd1b scai sfr1 smarcd1 sprtn stag2 sumo3 tdp1 tiprl top1 trafd1 trip12 uba3 ubb uchl5 ufd1 uhrf1 usp2 usp37 vcp xrcc1 xrcc5 xrcc6
GO keywords: DNA replication [+]
???attribute.lit??? ???displayArticles.show???
|
|
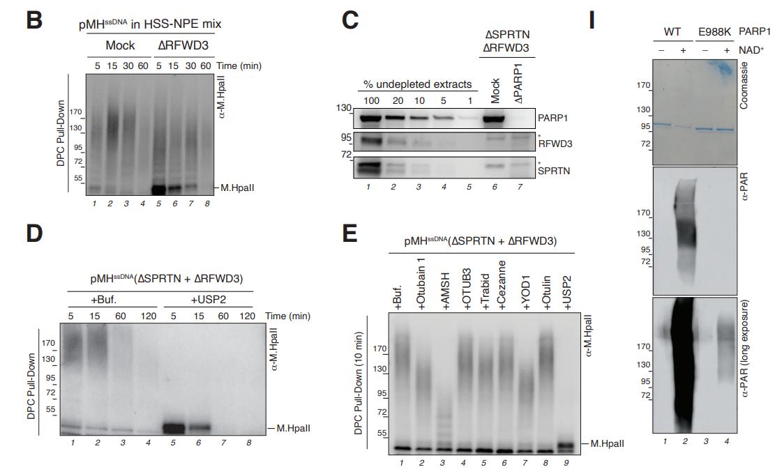
Fig. 1: DPCs on ssDNA gaps are ubiquitylated in a PARP1-dependent manner. A Schematic of DPC pull-down assay9. At given time points, the DPC plasmid is pulled down under stringent conditions, the DNA is digested by benzonase treatment, and M.HpaII is analyzed via immunoblotting. Note that although the M.HpaII antibody is generated against full-length M.HpaII, it is unlikely to recognize all degradation products. B pMHssDNA or pMHdsDNA were incubated in high-speed supernatant extract (HSS, which is an extract that does not support DNA replication) and recovered by DPC pull-down at the indicated time points and immunoblotted for crosslinked M.HpaII. Molecular weight marker (kDa) is indicated on the left side of the blot and in all subsequent blots presented in this manuscript. C pMHssDNA was incubated in SPRTN- or SPRTN- and RFWD3-depleted HSS and retrieved at the indicated time points by DPC pull-down as in B. D pMHssDNA repair in SPRTN- and RFWD3-depleted HSS. Reactions were supplemented with untagged- or FLAG-tagged recombinant ubiquitin. For each condition, a sample was retrieved at 1 and 10 min, and was first recovered by DPC pull-down (DPC-PD), subsequently by FLAG pull-down (FLAG-PD), and immunoblotted for crosslinked M.HpaII. E pMHssDNA was incubated in SPRTN- and RFWD3-depleted HSS in the presence of the indicated inhibitors. DPCs were recovered via DPC pull-downs at the indicated time points and immunoblotted for crosslinked M.HpaII. Note that the small upshift of M.HpaII signal observed in the presence of Ub.E1i (lanes 5 and 6) is due to M.HpaII PARylation (see Fig. 2D). F pMHssDNA repair in SPRTN- and RFWD3-depleted HSS, which was further mock- or PARP1-depleted in the presence and absence of PARP inhibitor (PARPi). Samples were recovered by DPC pull-down and immunoblotted for crosslinked M.HpaII. The asterisk marks an unspecific band. G Scheme of PARP1. It consists of three main domains: an N-terminal DNA-binding domain (DBD) consisting of zinc-finger (ZF) motifs, a central BRCT domain-containing automodification domain, and a conserved C-terminal catalytic domain (CD). H SPRTN-RFWD3-depleted HSS was further mock- or PARP1-depleted and blotted with PARP1 antibody. PARP1-depleted extracts were supplemented with either buffer (+Buf.), recombinant hPARP1 (+WT), or recombinant catalytically impaired E988K mutant (+E988K). I Add-back rescue experiment using the extracts from H. Samples were recovered by DPC pull-down and immunoblotted against M.HpaII. Source data are provided as a Source Data file. |
|
|
Fig. 1: DPCs on ssDNA gaps are ubiquitylated in a PARP1-dependent manner. A Schematic of DPC pull-down assay9. At given time points, the DPC plasmid is pulled down under stringent conditions, the DNA is digested by benzonase treatment, and M.HpaII is analyzed via immunoblotting. Note that although the M.HpaII antibody is generated against full-length M.HpaII, it is unlikely to recognize all degradation products. B pMHssDNA or pMHdsDNA were incubated in high-speed supernatant extract (HSS, which is an extract that does not support DNA replication) and recovered by DPC pull-down at the indicated time points and immunoblotted for crosslinked M.HpaII. Molecular weight marker (kDa) is indicated on the left side of the blot and in all subsequent blots presented in this manuscript. C pMHssDNA was incubated in SPRTN- or SPRTN- and RFWD3-depleted HSS and retrieved at the indicated time points by DPC pull-down as in B. D pMHssDNA repair in SPRTN- and RFWD3-depleted HSS. Reactions were supplemented with untagged- or FLAG-tagged recombinant ubiquitin. For each condition, a sample was retrieved at 1 and 10 min, and was first recovered by DPC pull-down (DPC-PD), subsequently by FLAG pull-down (FLAG-PD), and immunoblotted for crosslinked M.HpaII. E pMHssDNA was incubated in SPRTN- and RFWD3-depleted HSS in the presence of the indicated inhibitors. DPCs were recovered via DPC pull-downs at the indicated time points and immunoblotted for crosslinked M.HpaII. Note that the small upshift of M.HpaII signal observed in the presence of Ub.E1i (lanes 5 and 6) is due to M.HpaII PARylation (see Fig. 2D). F pMHssDNA repair in SPRTN- and RFWD3-depleted HSS, which was further mock- or PARP1-depleted in the presence and absence of PARP inhibitor (PARPi). Samples were recovered by DPC pull-down and immunoblotted for crosslinked M.HpaII. The asterisk marks an unspecific band. G Scheme of PARP1. It consists of three main domains: an N-terminal DNA-binding domain (DBD) consisting of zinc-finger (ZF) motifs, a central BRCT domain-containing automodification domain, and a conserved C-terminal catalytic domain (CD). H SPRTN-RFWD3-depleted HSS was further mock- or PARP1-depleted and blotted with PARP1 antibody. PARP1-depleted extracts were supplemented with either buffer (+Buf.), recombinant hPARP1 (+WT), or recombinant catalytically impaired E988K mutant (+E988K). I Add-back rescue experiment using the extracts from H. Samples were recovered by DPC pull-down and immunoblotted against M.HpaII. Source data are provided as a Source Data file. |
|
|
Fig. 1: DPCs on ssDNA gaps are ubiquitylated in a PARP1-dependent manner. A Schematic of DPC pull-down assay9. At given time points, the DPC plasmid is pulled down under stringent conditions, the DNA is digested by benzonase treatment, and M.HpaII is analyzed via immunoblotting. Note that although the M.HpaII antibody is generated against full-length M.HpaII, it is unlikely to recognize all degradation products. B pMHssDNA or pMHdsDNA were incubated in high-speed supernatant extract (HSS, which is an extract that does not support DNA replication) and recovered by DPC pull-down at the indicated time points and immunoblotted for crosslinked M.HpaII. Molecular weight marker (kDa) is indicated on the left side of the blot and in all subsequent blots presented in this manuscript. C pMHssDNA was incubated in SPRTN- or SPRTN- and RFWD3-depleted HSS and retrieved at the indicated time points by DPC pull-down as in B. D pMHssDNA repair in SPRTN- and RFWD3-depleted HSS. Reactions were supplemented with untagged- or FLAG-tagged recombinant ubiquitin. For each condition, a sample was retrieved at 1 and 10 min, and was first recovered by DPC pull-down (DPC-PD), subsequently by FLAG pull-down (FLAG-PD), and immunoblotted for crosslinked M.HpaII. E pMHssDNA was incubated in SPRTN- and RFWD3-depleted HSS in the presence of the indicated inhibitors. DPCs were recovered via DPC pull-downs at the indicated time points and immunoblotted for crosslinked M.HpaII. Note that the small upshift of M.HpaII signal observed in the presence of Ub.E1i (lanes 5 and 6) is due to M.HpaII PARylation (see Fig. 2D). F pMHssDNA repair in SPRTN- and RFWD3-depleted HSS, which was further mock- or PARP1-depleted in the presence and absence of PARP inhibitor (PARPi). Samples were recovered by DPC pull-down and immunoblotted for crosslinked M.HpaII. The asterisk marks an unspecific band. G Scheme of PARP1. It consists of three main domains: an N-terminal DNA-binding domain (DBD) consisting of zinc-finger (ZF) motifs, a central BRCT domain-containing automodification domain, and a conserved C-terminal catalytic domain (CD). H SPRTN-RFWD3-depleted HSS was further mock- or PARP1-depleted and blotted with PARP1 antibody. PARP1-depleted extracts were supplemented with either buffer (+Buf.), recombinant hPARP1 (+WT), or recombinant catalytically impaired E988K mutant (+E988K). I Add-back rescue experiment using the extracts from H. Samples were recovered by DPC pull-down and immunoblotted against M.HpaII. Source data are provided as a Source Data file. |
|
|
Fig. 1: DPCs on ssDNA gaps are ubiquitylated in a PARP1-dependent manner. A Schematic of DPC pull-down assay9. At given time points, the DPC plasmid is pulled down under stringent conditions, the DNA is digested by benzonase treatment, and M.HpaII is analyzed via immunoblotting. Note that although the M.HpaII antibody is generated against full-length M.HpaII, it is unlikely to recognize all degradation products. B pMHssDNA or pMHdsDNA were incubated in high-speed supernatant extract (HSS, which is an extract that does not support DNA replication) and recovered by DPC pull-down at the indicated time points and immunoblotted for crosslinked M.HpaII. Molecular weight marker (kDa) is indicated on the left side of the blot and in all subsequent blots presented in this manuscript. C pMHssDNA was incubated in SPRTN- or SPRTN- and RFWD3-depleted HSS and retrieved at the indicated time points by DPC pull-down as in B. D pMHssDNA repair in SPRTN- and RFWD3-depleted HSS. Reactions were supplemented with untagged- or FLAG-tagged recombinant ubiquitin. For each condition, a sample was retrieved at 1 and 10 min, and was first recovered by DPC pull-down (DPC-PD), subsequently by FLAG pull-down (FLAG-PD), and immunoblotted for crosslinked M.HpaII. E pMHssDNA was incubated in SPRTN- and RFWD3-depleted HSS in the presence of the indicated inhibitors. DPCs were recovered via DPC pull-downs at the indicated time points and immunoblotted for crosslinked M.HpaII. Note that the small upshift of M.HpaII signal observed in the presence of Ub.E1i (lanes 5 and 6) is due to M.HpaII PARylation (see Fig. 2D). F pMHssDNA repair in SPRTN- and RFWD3-depleted HSS, which was further mock- or PARP1-depleted in the presence and absence of PARP inhibitor (PARPi). Samples were recovered by DPC pull-down and immunoblotted for crosslinked M.HpaII. The asterisk marks an unspecific band. G Scheme of PARP1. It consists of three main domains: an N-terminal DNA-binding domain (DBD) consisting of zinc-finger (ZF) motifs, a central BRCT domain-containing automodification domain, and a conserved C-terminal catalytic domain (CD). H SPRTN-RFWD3-depleted HSS was further mock- or PARP1-depleted and blotted with PARP1 antibody. PARP1-depleted extracts were supplemented with either buffer (+Buf.), recombinant hPARP1 (+WT), or recombinant catalytically impaired E988K mutant (+E988K). I Add-back rescue experiment using the extracts from H. Samples were recovered by DPC pull-down and immunoblotted against M.HpaII. Source data are provided as a Source Data file. |
|
|
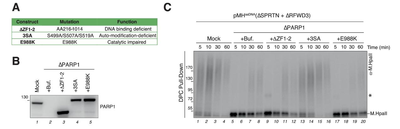
Fig. 2: PARP1-dependent DPC PARylation triggers DPC ubiquitylation and resolution. A Overview table of PARP1 mutants. B SPRTN-RFWD3-depleted HSS was further mock- or PARP1-depleted and immunoblotted with PARP1 antibody. PARP1-depleted extracts were also supplemented with either buffer (+Buf.), DNA-binding deficient mutant (+ΔZF1-2), automodification-deficient mutant (+3SA), or catalytically impaired mutant PARP1 (+E988K). C Add-back rescue experiment using the extracts from B. DPCs were recovered by DPC pull-down and monitored via blotting against M.HpaII. The asterisk denotes an unspecific band. D pMHssDNA was incubated in RFWD3-SPRTN-depleted HSS in the presence of PARPi or E1 ubiquitin-activating enzyme inhibitor (Ub.E1i) alone or in combination. Samples were recovered via DPC pull-down and immunoblotted with either M.HpaII or Poly/Mono-ADP Ribose antibody (α-PAR). E pMHssDNA was incubated in SPRTN-RFWD3-depleted HSS, which was then either mock- or PARP1-depleted in the presence of Ub.E1i where indicated. DPC degradation and PARylation were monitored as in D. F pMHssDNA and pMHdsDNA were incubated in SPRTN-RFWD3-depleted HSS supplemented with PARGi where indicated. DPC degradation and PARylation were monitored as in D. Source data are provided as a Source Data file. |
|
|
Fig. 2: PARP1-dependent DPC PARylation triggers DPC ubiquitylation and resolution. A Overview table of PARP1 mutants. B SPRTN-RFWD3-depleted HSS was further mock- or PARP1-depleted and immunoblotted with PARP1 antibody. PARP1-depleted extracts were also supplemented with either buffer (+Buf.), DNA-binding deficient mutant (+ΔZF1-2), automodification-deficient mutant (+3SA), or catalytically impaired mutant PARP1 (+E988K). C Add-back rescue experiment using the extracts from B. DPCs were recovered by DPC pull-down and monitored via blotting against M.HpaII. The asterisk denotes an unspecific band. D pMHssDNA was incubated in RFWD3-SPRTN-depleted HSS in the presence of PARPi or E1 ubiquitin-activating enzyme inhibitor (Ub.E1i) alone or in combination. Samples were recovered via DPC pull-down and immunoblotted with either M.HpaII or Poly/Mono-ADP Ribose antibody (α-PAR). E pMHssDNA was incubated in SPRTN-RFWD3-depleted HSS, which was then either mock- or PARP1-depleted in the presence of Ub.E1i where indicated. DPC degradation and PARylation were monitored as in D. F pMHssDNA and pMHdsDNA were incubated in SPRTN-RFWD3-depleted HSS supplemented with PARGi where indicated. DPC degradation and PARylation were monitored as in D. Source data are provided as a Source Data file. |
|
|
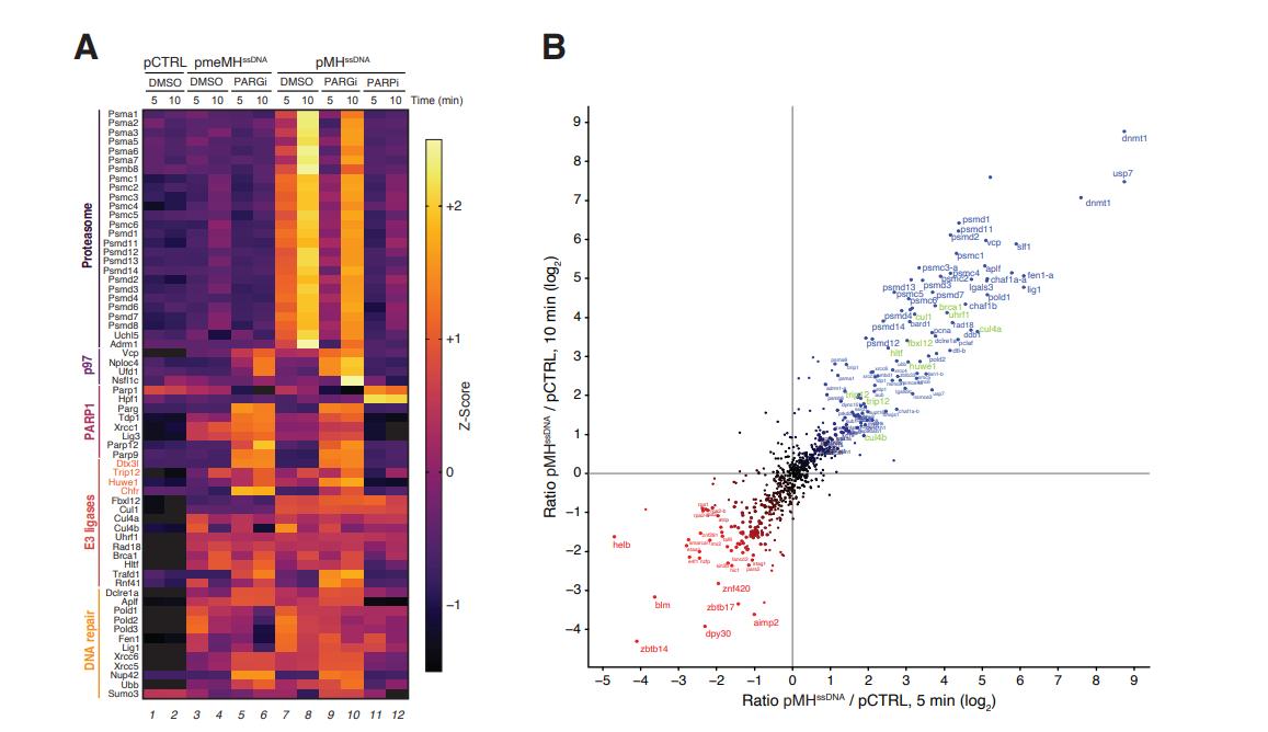
Fig. 3: Plasmid Pull-down Mass Spectrometry (PP-MS) reveals proteasome and PAR-dependent E3 ubiquitin ligase recruitments. A Overview of reaction conditions for PP-MS analysis. B Heatmap showing the mean of the z-scored log2 label-free quantitation (LFQ) intensity (i.e., protein abundance) from four biochemical replicates of pCTRL and pMHssDNA incubated in SPRTN-RFWD3-depleted HSS in the presence of the indicated inhibitors. Dynamic proteins, responsive to PARGi and/or PARPi treatment, were selected. C pMHssDNA was incubated in SPRTN-RFWD3-depleted HSS, which was then additionally mock-depleted, PARP1-depleted, or PARP1-depleted and supplemented with recombinant PARP1 (Input, left WB). Plasmids were recovered via plasmid pull-down and protein recruitment to the plasmid was monitored with the indicated antibodies. D pMHssDNA was incubated in SPRTN-RFWD3-depleted HSS, which was further mock-depleted, PSA1-depleted, DDI2-depleted, or PSA1- and DDI2-depleted. Samples were recovered by DPC pull-down and immunoblotted against M.HpaII. Source data are provided as a Source Data file. |
|
|
Fig. 3: Plasmid Pull-down Mass Spectrometry (PP-MS) reveals proteasome and PAR-dependent E3 ubiquitin ligase recruitments. A Overview of reaction conditions for PP-MS analysis. B Heatmap showing the mean of the z-scored log2 label-free quantitation (LFQ) intensity (i.e., protein abundance) from four biochemical replicates of pCTRL and pMHssDNA incubated in SPRTN-RFWD3-depleted HSS in the presence of the indicated inhibitors. Dynamic proteins, responsive to PARGi and/or PARPi treatment, were selected. C pMHssDNA was incubated in SPRTN-RFWD3-depleted HSS, which was then additionally mock-depleted, PARP1-depleted, or PARP1-depleted and supplemented with recombinant PARP1 (Input, left WB). Plasmids were recovered via plasmid pull-down and protein recruitment to the plasmid was monitored with the indicated antibodies. D pMHssDNA was incubated in SPRTN-RFWD3-depleted HSS, which was further mock-depleted, PSA1-depleted, DDI2-depleted, or PSA1- and DDI2-depleted. Samples were recovered by DPC pull-down and immunoblotted against M.HpaII. Source data are provided as a Source Data file. |
|
|
Fig. 3: Plasmid Pull-down Mass Spectrometry (PP-MS) reveals proteasome and PAR-dependent E3 ubiquitin ligase recruitments. A Overview of reaction conditions for PP-MS analysis. B Heatmap showing the mean of the z-scored log2 label-free quantitation (LFQ) intensity (i.e., protein abundance) from four biochemical replicates of pCTRL and pMHssDNA incubated in SPRTN-RFWD3-depleted HSS in the presence of the indicated inhibitors. Dynamic proteins, responsive to PARGi and/or PARPi treatment, were selected. C pMHssDNA was incubated in SPRTN-RFWD3-depleted HSS, which was then additionally mock-depleted, PARP1-depleted, or PARP1-depleted and supplemented with recombinant PARP1 (Input, left WB). Plasmids were recovered via plasmid pull-down and protein recruitment to the plasmid was monitored with the indicated antibodies. D pMHssDNA was incubated in SPRTN-RFWD3-depleted HSS, which was further mock-depleted, PSA1-depleted, DDI2-depleted, or PSA1- and DDI2-depleted. Samples were recovered by DPC pull-down and immunoblotted against M.HpaII. Source data are provided as a Source Data file. |
|
|
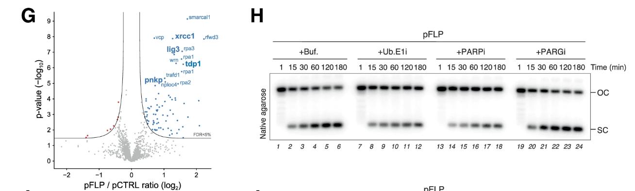
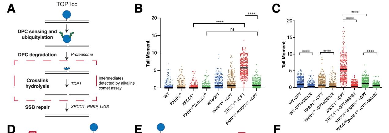
Fig. 4: PARP1 orchestrates TOP1cc and TOP1cc-like DPC repair. A Schematic illustrating the current model of TOP1cc repair. B PARP1 deletion suppresses the visibility of camptothecin-induced SSBs. The indicated RPE-1 cells were incubated with 10 µM camptothecin for 1 h and then processed for alkaline comet assays to measure unrepaired SSBs. Data show the median Tail moment of 300 cells combined from three independent experiments (100 cells/experiment). Significant differences were determined by 2-way ANOVA with Sidak’s post hoc multiple comparisons test. CPT denotes camptothecin. **** denotes p-value ≤0.0001. C Proteasome inhibition and/or PARP1 deletion suppresses the visibility of camptothecin-induced SSBs in the alkaline comet assay pre-treated with proteasome inhibitor (50 µM MG132) 2 h prior to and during camptothecin treatment as above. D To generate pFLP, Flp-nick is crosslinked to a plasmid containing the FRT site. Products of Flp-nick incubation with a CTRL (pCTRL) or FRT-site containing plasmid (pFRT) were analyzed on a native agarose gel. E pFLP was incubated in non-replicating egg extracts (1:2 HSS:NPE ratio) in the absence and presence of Ub.E1i. Reaction samples were analyzed by native agarose gel electrophoresis. F Quantification of the experiment shown in E. Error bars represents the SD of the mean. n = 3 independent experiments. Significant differences were determined by a two-tailed unpaired t-test. ** denotes p-value ≤0.01 (p = 0.0061). G Analysis of protein recruitment to pFLP compared to pCTRL via PP-MS. Plasmids were recovered at 10 min after addition in non-replicating egg extracts (1:2 HSS:NPE ratio). The volcano plot shows the difference in the abundance of proteins between the two sample conditions (x-axis), plotted against the p-value resulting from two-tailed Student’s two-sample t-testing (y-axis). Proteins significantly down- or up-regulated (cutoff line represents permutation-based FDR < 5%) are represented in red or blue, respectively. n = 4. H pFLP was incubated in non-replicating egg extracts (1:2 HSS:NPE ratio) in the absence and presence of the indicated inhibitors. Reaction samples were analyzed as in (E). I Quantification of the experiment shown in (H) as in (F). Error bars represent the SD of the mean. n = 3 independent experiments. Significant differences were determined by a two-tailed unpaired t-test. ** denotes p-value ≤0.01 compared to the Mock control (p = 0.0052 for PARPi and p = 0.0061 for Ub.E1i). J Add-back rescue experiment with WT and E988K PARP1 in non-replicating egg extracts (1:2 HSS:NPE ratio). Reaction samples were analyzed as in (E). K Samples from (J) were quantified as in (F). Error bars represent the SD of the mean. n = 3 independent experiments. Significant differences were determined by a two-tailed unpaired t-test. *** and **** denote p-value ≤0.001 and p-value ≤ 0.0001 compared to the Mock control, respectively. ** denotes p-value ≤0.01 compared to the PARP1 depletion control (p = 0.0054). * denotes p-value ≤0.05 compared to Mock control (p = 0.02). L pFLPPK was incubated in non-replicating egg extracts (1:2 HSS:NPE ratio) egg extracts in the absence and presence of Ub.E1i or in PARP1-depleted egg extracts. Reaction samples were as in E. Source data are provided as a Source Data file. |
|
|
Fig. 4: PARP1 orchestrates TOP1cc and TOP1cc-like DPC repair. A Schematic illustrating the current model of TOP1cc repair. B PARP1 deletion suppresses the visibility of camptothecin-induced SSBs. The indicated RPE-1 cells were incubated with 10 µM camptothecin for 1 h and then processed for alkaline comet assays to measure unrepaired SSBs. Data show the median Tail moment of 300 cells combined from three independent experiments (100 cells/experiment). Significant differences were determined by 2-way ANOVA with Sidak’s post hoc multiple comparisons test. CPT denotes camptothecin. **** denotes p-value ≤0.0001. C Proteasome inhibition and/or PARP1 deletion suppresses the visibility of camptothecin-induced SSBs in the alkaline comet assay pre-treated with proteasome inhibitor (50 µM MG132) 2 h prior to and during camptothecin treatment as above. D To generate pFLP, Flp-nick is crosslinked to a plasmid containing the FRT site. Products of Flp-nick incubation with a CTRL (pCTRL) or FRT-site containing plasmid (pFRT) were analyzed on a native agarose gel. E pFLP was incubated in non-replicating egg extracts (1:2 HSS:NPE ratio) in the absence and presence of Ub.E1i. Reaction samples were analyzed by native agarose gel electrophoresis. F Quantification of the experiment shown in E. Error bars represents the SD of the mean. n = 3 independent experiments. Significant differences were determined by a two-tailed unpaired t-test. ** denotes p-value ≤0.01 (p = 0.0061). G Analysis of protein recruitment to pFLP compared to pCTRL via PP-MS. Plasmids were recovered at 10 min after addition in non-replicating egg extracts (1:2 HSS:NPE ratio). The volcano plot shows the difference in the abundance of proteins between the two sample conditions (x-axis), plotted against the p-value resulting from two-tailed Student’s two-sample t-testing (y-axis). Proteins significantly down- or up-regulated (cutoff line represents permutation-based FDR < 5%) are represented in red or blue, respectively. n = 4. H pFLP was incubated in non-replicating egg extracts (1:2 HSS:NPE ratio) in the absence and presence of the indicated inhibitors. Reaction samples were analyzed as in (E). I Quantification of the experiment shown in (H) as in (F). Error bars represent the SD of the mean. n = 3 independent experiments. Significant differences were determined by a two-tailed unpaired t-test. ** denotes p-value ≤0.01 compared to the Mock control (p = 0.0052 for PARPi and p = 0.0061 for Ub.E1i). J Add-back rescue experiment with WT and E988K PARP1 in non-replicating egg extracts (1:2 HSS:NPE ratio). Reaction samples were analyzed as in (E). K Samples from (J) were quantified as in (F). Error bars represent the SD of the mean. n = 3 independent experiments. Significant differences were determined by a two-tailed unpaired t-test. *** and **** denote p-value ≤0.001 and p-value ≤ 0.0001 compared to the Mock control, respectively. ** denotes p-value ≤0.01 compared to the PARP1 depletion control (p = 0.0054). * denotes p-value ≤0.05 compared to Mock control (p = 0.02). L pFLPPK was incubated in non-replicating egg extracts (1:2 HSS:NPE ratio) egg extracts in the absence and presence of Ub.E1i or in PARP1-depleted egg extracts. Reaction samples were as in E. Source data are provided as a Source Data file. |
|
|
Fig. 4: PARP1 orchestrates TOP1cc and TOP1cc-like DPC repair. A Schematic illustrating the current model of TOP1cc repair. B PARP1 deletion suppresses the visibility of camptothecin-induced SSBs. The indicated RPE-1 cells were incubated with 10 µM camptothecin for 1 h and then processed for alkaline comet assays to measure unrepaired SSBs. Data show the median Tail moment of 300 cells combined from three independent experiments (100 cells/experiment). Significant differences were determined by 2-way ANOVA with Sidak’s post hoc multiple comparisons test. CPT denotes camptothecin. **** denotes p-value ≤0.0001. C Proteasome inhibition and/or PARP1 deletion suppresses the visibility of camptothecin-induced SSBs in the alkaline comet assay pre-treated with proteasome inhibitor (50 µM MG132) 2 h prior to and during camptothecin treatment as above. D To generate pFLP, Flp-nick is crosslinked to a plasmid containing the FRT site. Products of Flp-nick incubation with a CTRL (pCTRL) or FRT-site containing plasmid (pFRT) were analyzed on a native agarose gel. E pFLP was incubated in non-replicating egg extracts (1:2 HSS:NPE ratio) in the absence and presence of Ub.E1i. Reaction samples were analyzed by native agarose gel electrophoresis. F Quantification of the experiment shown in E. Error bars represents the SD of the mean. n = 3 independent experiments. Significant differences were determined by a two-tailed unpaired t-test. ** denotes p-value ≤0.01 (p = 0.0061). G Analysis of protein recruitment to pFLP compared to pCTRL via PP-MS. Plasmids were recovered at 10 min after addition in non-replicating egg extracts (1:2 HSS:NPE ratio). The volcano plot shows the difference in the abundance of proteins between the two sample conditions (x-axis), plotted against the p-value resulting from two-tailed Student’s two-sample t-testing (y-axis). Proteins significantly down- or up-regulated (cutoff line represents permutation-based FDR < 5%) are represented in red or blue, respectively. n = 4. H pFLP was incubated in non-replicating egg extracts (1:2 HSS:NPE ratio) in the absence and presence of the indicated inhibitors. Reaction samples were analyzed as in (E). I Quantification of the experiment shown in (H) as in (F). Error bars represent the SD of the mean. n = 3 independent experiments. Significant differences were determined by a two-tailed unpaired t-test. ** denotes p-value ≤0.01 compared to the Mock control (p = 0.0052 for PARPi and p = 0.0061 for Ub.E1i). J Add-back rescue experiment with WT and E988K PARP1 in non-replicating egg extracts (1:2 HSS:NPE ratio). Reaction samples were analyzed as in (E). K Samples from (J) were quantified as in (F). Error bars represent the SD of the mean. n = 3 independent experiments. Significant differences were determined by a two-tailed unpaired t-test. *** and **** denote p-value ≤0.001 and p-value ≤ 0.0001 compared to the Mock control, respectively. ** denotes p-value ≤0.01 compared to the PARP1 depletion control (p = 0.0054). * denotes p-value ≤0.05 compared to Mock control (p = 0.02). L pFLPPK was incubated in non-replicating egg extracts (1:2 HSS:NPE ratio) egg extracts in the absence and presence of Ub.E1i or in PARP1-depleted egg extracts. Reaction samples were as in E. Source data are provided as a Source Data file. |
|
|
Fig. 4: PARP1 orchestrates TOP1cc and TOP1cc-like DPC repair. A Schematic illustrating the current model of TOP1cc repair. B PARP1 deletion suppresses the visibility of camptothecin-induced SSBs. The indicated RPE-1 cells were incubated with 10 µM camptothecin for 1 h and then processed for alkaline comet assays to measure unrepaired SSBs. Data show the median Tail moment of 300 cells combined from three independent experiments (100 cells/experiment). Significant differences were determined by 2-way ANOVA with Sidak’s post hoc multiple comparisons test. CPT denotes camptothecin. **** denotes p-value ≤0.0001. C Proteasome inhibition and/or PARP1 deletion suppresses the visibility of camptothecin-induced SSBs in the alkaline comet assay pre-treated with proteasome inhibitor (50 µM MG132) 2 h prior to and during camptothecin treatment as above. D To generate pFLP, Flp-nick is crosslinked to a plasmid containing the FRT site. Products of Flp-nick incubation with a CTRL (pCTRL) or FRT-site containing plasmid (pFRT) were analyzed on a native agarose gel. E pFLP was incubated in non-replicating egg extracts (1:2 HSS:NPE ratio) in the absence and presence of Ub.E1i. Reaction samples were analyzed by native agarose gel electrophoresis. F Quantification of the experiment shown in E. Error bars represents the SD of the mean. n = 3 independent experiments. Significant differences were determined by a two-tailed unpaired t-test. ** denotes p-value ≤0.01 (p = 0.0061). G Analysis of protein recruitment to pFLP compared to pCTRL via PP-MS. Plasmids were recovered at 10 min after addition in non-replicating egg extracts (1:2 HSS:NPE ratio). The volcano plot shows the difference in the abundance of proteins between the two sample conditions (x-axis), plotted against the p-value resulting from two-tailed Student’s two-sample t-testing (y-axis). Proteins significantly down- or up-regulated (cutoff line represents permutation-based FDR < 5%) are represented in red or blue, respectively. n = 4. H pFLP was incubated in non-replicating egg extracts (1:2 HSS:NPE ratio) in the absence and presence of the indicated inhibitors. Reaction samples were analyzed as in (E). I Quantification of the experiment shown in (H) as in (F). Error bars represent the SD of the mean. n = 3 independent experiments. Significant differences were determined by a two-tailed unpaired t-test. ** denotes p-value ≤0.01 compared to the Mock control (p = 0.0052 for PARPi and p = 0.0061 for Ub.E1i). J Add-back rescue experiment with WT and E988K PARP1 in non-replicating egg extracts (1:2 HSS:NPE ratio). Reaction samples were analyzed as in (E). K Samples from (J) were quantified as in (F). Error bars represent the SD of the mean. n = 3 independent experiments. Significant differences were determined by a two-tailed unpaired t-test. *** and **** denote p-value ≤0.001 and p-value ≤ 0.0001 compared to the Mock control, respectively. ** denotes p-value ≤0.01 compared to the PARP1 depletion control (p = 0.0054). * denotes p-value ≤0.05 compared to Mock control (p = 0.02). L pFLPPK was incubated in non-replicating egg extracts (1:2 HSS:NPE ratio) egg extracts in the absence and presence of Ub.E1i or in PARP1-depleted egg extracts. Reaction samples were as in E. Source data are provided as a Source Data file. |
|
|
Fig. 5: Inhibition of pFLP repair leads to replisome disassembly during DNA replication. A pCTRL and pFLP were replicated in the presence or absence of [α-32P]dATP and PARPi (licensing in one volume of HSS for 60 min followed by the addition of two volumes of NPE). Samples were retrieved at indicated time points following NPE addition and analyzed by native agarose gel electrophoresis (top radiograph) or western blotting (bottom immunoblots). Samples were immunoblotted for p.CHK1 and loading control (ORC2). B Top, leftward, and rightward fork models of replisome disassembly when encountering the Flp-nick crosslink. Bottom, pFLP was replicated in the presence of [α-32P]dATP and with or without PARPi. Samples were retrieved at indicated time points, phenol-chloroform extracted, digested with PstI and SapI, and resolved on a denaturing polyacrylamide gel. C Schematic of pFLP linearization by ScaI and the potential DNA species occurring on a 2D gel upon plasmid replication. D Indicated samples from (B) were linearized by ScaI and run in two dimensions. Source data are provided as a Source Data file. |
|
|
Fig. 5: Inhibition of pFLP repair leads to replisome disassembly during DNA replication. A pCTRL and pFLP were replicated in the presence or absence of [α-32P]dATP and PARPi (licensing in one volume of HSS for 60 min followed by the addition of two volumes of NPE). Samples were retrieved at indicated time points following NPE addition and analyzed by native agarose gel electrophoresis (top radiograph) or western blotting (bottom immunoblots). Samples were immunoblotted for p.CHK1 and loading control (ORC2). B Top, leftward, and rightward fork models of replisome disassembly when encountering the Flp-nick crosslink. Bottom, pFLP was replicated in the presence of [α-32P]dATP and with or without PARPi. Samples were retrieved at indicated time points, phenol-chloroform extracted, digested with PstI and SapI, and resolved on a denaturing polyacrylamide gel. C Schematic of pFLP linearization by ScaI and the potential DNA species occurring on a 2D gel upon plasmid replication. D Indicated samples from (B) were linearized by ScaI and run in two dimensions. Source data are provided as a Source Data file. |
|
|
Fig. 6: Mechanism of PARP1-mediated DPC resolution. A Illustration of PARP1-mediated targeting of TOP1cc-like lesions. B In the absence of repair (e.g., PARPi) TOP1cc-like lesions encountered on the leading strand template induce CMG run-off. C Unrepaired TOP1cc-like lesions encountered on the lagging strand template induce CMG disassembly. |
|
|
|
|
|
|
|
|
|
|
|
Supplementary Figure 2. A) In vitro autoPARylation assay of WT and E988K PARP1 in the presence and absence of HPF1. Top panel corresponds to immunoblot of PARP1; bottom panel correspond to Coomassie stain of HPF1. B) In vitro PARylation of the indicated DPCs, with and without NAD+. Samples were analyzed by SDS-PAGE and immunoblotted for indicated proteins C) pMHssDNA were added to RFWD3- and SPRTNdepleted HSS supplemented with PARG inhibitor (PARGi) or with PARGi+PARPi. Samples were recovered via DPC pull-down and immunoblotted with either M.HpaII or Poly/Mono-ADP Ribose antibody (a-PAR). D) pssDNA and pMHssDNA were incubated in SPRTN-RFWD3 depleted HSS supplemented with PARGi where indicated. DPC degradation and PARylation were monitored as in (C). E) Experimental setup for studying in vitro PARylated pMHssDNA repair in egg extracts. In vitro PARylated pMHssDNA was incubated in SPRTN-RFWD3-PARP1 depleted HSS in the absence and presence of PARGi. DPC degradation and PARylation were monitored as in (C). F) HSS dilution series and depletion controls of HPF1. G) pMHssDNA were incubated in SPRTN-RFWD3- and HPF1-depleted HSS. DPC degradation was monitored as in (C). |
|
|
Supplementary Figure 2. A) In vitro autoPARylation assay of WT and E988K PARP1 in the presence and absence of HPF1. Top panel corresponds to immunoblot of PARP1; bottom panel correspond to Coomassie stain of HPF1. B) In vitro PARylation of the indicated DPCs, with and without NAD+. Samples were analyzed by SDS-PAGE and immunoblotted for indicated proteins C) pMHssDNA were added to RFWD3- and SPRTNdepleted HSS supplemented with PARG inhibitor (PARGi) or with PARGi+PARPi. Samples were recovered via DPC pull-down and immunoblotted with either M.HpaII or Poly/Mono-ADP Ribose antibody (a-PAR). D) pssDNA and pMHssDNA were incubated in SPRTN-RFWD3 depleted HSS supplemented with PARGi where indicated. DPC degradation and PARylation were monitored as in (C). E) Experimental setup for studying in vitro PARylated pMHssDNA repair in egg extracts. In vitro PARylated pMHssDNA was incubated in SPRTN-RFWD3-PARP1 depleted HSS in the absence and presence of PARGi. DPC degradation and PARylation were monitored as in (C). F) HSS dilution series and depletion controls of HPF1. G) pMHssDNA were incubated in SPRTN-RFWD3- and HPF1-depleted HSS. DPC degradation was monitored as in (C). |
|
|
Supplementary Figure 3. A) Heatmap showing the mean of the Z-scored log2 label-free quantitation (LFQ) intensity (i.e. protein abundance) from four biochemical replicates of pCTRL, pmeMHssDNA and pMHssDNA incubated in SPRTN-RFWD3 depleted HSS in the presence of the indicated inhibitors. Dynamic proteins, responsive to PARGi and/or PARPi treatment, were selected. The experiment shown is the same as the one in Figure 3, but with the pmeMHssDNA added to the analysis. B) Scatter plot analysis of protein recruitment to pMHssDNA. The mean log2abundance ratio between proteins enriched in the pMHssDNA compared to pCTRL at 5 min is plotted against the abundance ratio at 10 min. Blue and red dots indicate proteins significantly recruited to or excluded from pMHssDNA compared to pCTRL, respectively. Ubiquitin E3 ligases are highlighted in green. Significance was determined by two-tailed Student’s two-sample t test with s0 = 0.1 and FDR ≤ 0.05. n=4. Full results reported in Table S1. Note that different isoforms of the same protein can be detected (e.g. TRIP12). B-D) Scatter plot analysis of protein recruitment to pMHssDNA in the presence of PARGi or PARPi presented in (C) but in the pMHssDNA + inhibitor / pMHssDNA conditions. |
|
|
Supplementary Figure 3. A) Heatmap showing the mean of the Z-scored log2 label-free quantitation (LFQ) intensity (i.e. protein abundance) from four biochemical replicates of pCTRL, pmeMHssDNA and pMHssDNA incubated in SPRTN-RFWD3 depleted HSS in the presence of the indicated inhibitors. Dynamic proteins, responsive to PARGi and/or PARPi treatment, were selected. The experiment shown is the same as the one in Figure 3, but with the pmeMHssDNA added to the analysis. B) Scatter plot analysis of protein recruitment to pMHssDNA. The mean log2abundance ratio between proteins enriched in the pMHssDNA compared to pCTRL at 5 min is plotted against the abundance ratio at 10 min. Blue and red dots indicate proteins significantly recruited to or excluded from pMHssDNA compared to pCTRL, respectively. Ubiquitin E3 ligases are highlighted in green. Significance was determined by two-tailed Student’s two-sample t test with s0 = 0.1 and FDR ≤ 0.05. n=4. Full results reported in Table S1. Note that different isoforms of the same protein can be detected (e.g. TRIP12). B-D) Scatter plot analysis of protein recruitment to pMHssDNA in the presence of PARGi or PARPi presented in (C) but in the pMHssDNA + inhibitor / pMHssDNA conditions. |
|
|
Supplementary Figure 4. A) DDI2-, PSA1-, SPRTN- and RFWD3-depleted HSS were blotted with the indicated antibodies. Asterisk marks an unspecific band. B) pMHssDNA repair in SPRTN-RFWD3 depleted HSS with or without proteasome inhibitor (MG262). DPCs were recovered via DPC pull-downs at the indicated time points and immunoblotted for crosslinked M.HpaII. C) Mock-depleted and PSA1-DDI2 depleted HSS were blotted with DDI2 antibody. PSA1-DDI2 depleted extracts were supplemented with either buffer (+Buf.), recombinant hDDI2 (+DDI2 WT), or recombinant catalytic dead D252N mutant (+DDI2 CD). D) Add-back rescue experiment in HSS with WT and CD DDI2. Samples were recovered via DPC pull-down and immunoblotted for crosslinked M.HpaII. Red line indicates the shift in high molecular weight species. E) p4xDPCSUMO was incubated in NPE (no DNA replication) for 60 min and transferred to PSA1-, or PSA1- and DDI2- depleted mitotic extracts (Liu et al., 2021), supplemented with either recombinant HisSUMO tagged WT or catalytic inactive D252N mutant hDDI2 as indicated. Samples were recovered by DPC pull-down and immunoblotted against M.HpaII. F) pMHLeads was replicated in mock-, SPRTN-, SPRTN- and PSA1-, or SPRTN-, PSA1- and DDI2-depleted egg extracts in the presence of [a32P]dATP (licensing in one volume of HSS for 30 min followed by addition of two volumes of NPE). Samples were analyzed on a native agarose gel. G) Samples from (F) were recovered via DPC pull-down and immunoblotted for crosslinked M.HpaII. H) pCTRL was replicated in egg extracts (licensing in one volume of HSS for 30 min followed by addition of two volumes of NPE) in the presence of Etoposide (100 μM), ICRF-193 (10 μM) or Topotecan (200 μM) where indicated. In contrast to Etoposide and ICRF-193, Topotecan does not induce any abnormal DNA replication/repair intermediates. I) Same as (H) but using Camptothecin (CPT) (500 μM) instead of Topotecan. J) Human TOP1 (brown) with CPT (purple) and DNA (white) visualized in ChimeraX as a Spacefill model (PDB: 1T8I), here displaying the drug binding pocket with CPT and highlighting residue D533 (green) and L530 (red). K) Xenopus TOP1 structure (blue, residue 256-829) predicted by AlphaFold (P41512) aligned to human TOP1 and displayed as a Spacefill model in the same plane as (J) using ChimeraX. Residues corresponding to human D533 (Xenopus D589, green) and L530 (Xenopus P586, red) are highlighted. The DNA and CPT is shown as in (J). L) Drug binding pocket of aligned human and Xenopus TOP1 shown as a ribbon model using ChimeraX. Colors are as in (J) and (K) and relevant residues are annotated. Shown is the predicted hydrogen bond formed between CPT and D533 (blue dotted line). Looking at the aligned structures, we suspect that CPT cannot trap Xenopus TOP1 because of a L530 to Xenopus P586 substitution, which is causing a shift in the amino acid loop where the hydrogen bond between CPT and TOP1 is formed (at position D533 in human TOP1, marked in green). Importantly, a L530I substitution has previously been reported to cause CPT resistance in plants (Sirikantaramas et al., 2008). Moreover, looking at the surrounding cavity and access to the drug binding pocket, the predicted structural change caused by the leucine to proline substitution might be sufficient to prevent access of CPT to the TOP1 catalytic site (compare (J) with (K)). |
|
|
Supplementary Figure 4. A) DDI2-, PSA1-, SPRTN- and RFWD3-depleted HSS were blotted with the indicated antibodies. Asterisk marks an unspecific band. B) pMHssDNA repair in SPRTN-RFWD3 depleted HSS with or without proteasome inhibitor (MG262). DPCs were recovered via DPC pull-downs at the indicated time points and immunoblotted for crosslinked M.HpaII. C) Mock-depleted and PSA1-DDI2 depleted HSS were blotted with DDI2 antibody. PSA1-DDI2 depleted extracts were supplemented with either buffer (+Buf.), recombinant hDDI2 (+DDI2 WT), or recombinant catalytic dead D252N mutant (+DDI2 CD). D) Add-back rescue experiment in HSS with WT and CD DDI2. Samples were recovered via DPC pull-down and immunoblotted for crosslinked M.HpaII. Red line indicates the shift in high molecular weight species. E) p4xDPCSUMO was incubated in NPE (no DNA replication) for 60 min and transferred to PSA1-, or PSA1- and DDI2- depleted mitotic extracts (Liu et al., 2021), supplemented with either recombinant HisSUMO tagged WT or catalytic inactive D252N mutant hDDI2 as indicated. Samples were recovered by DPC pull-down and immunoblotted against M.HpaII. F) pMHLeads was replicated in mock-, SPRTN-, SPRTN- and PSA1-, or SPRTN-, PSA1- and DDI2-depleted egg extracts in the presence of [a32P]dATP (licensing in one volume of HSS for 30 min followed by addition of two volumes of NPE). Samples were analyzed on a native agarose gel. G) Samples from (F) were recovered via DPC pull-down and immunoblotted for crosslinked M.HpaII. H) pCTRL was replicated in egg extracts (licensing in one volume of HSS for 30 min followed by addition of two volumes of NPE) in the presence of Etoposide (100 μM), ICRF-193 (10 μM) or Topotecan (200 μM) where indicated. In contrast to Etoposide and ICRF-193, Topotecan does not induce any abnormal DNA replication/repair intermediates. I) Same as (H) but using Camptothecin (CPT) (500 μM) instead of Topotecan. J) Human TOP1 (brown) with CPT (purple) and DNA (white) visualized in ChimeraX as a Spacefill model (PDB: 1T8I), here displaying the drug binding pocket with CPT and highlighting residue D533 (green) and L530 (red). K) Xenopus TOP1 structure (blue, residue 256-829) predicted by AlphaFold (P41512) aligned to human TOP1 and displayed as a Spacefill model in the same plane as (J) using ChimeraX. Residues corresponding to human D533 (Xenopus D589, green) and L530 (Xenopus P586, red) are highlighted. The DNA and CPT is shown as in (J). L) Drug binding pocket of aligned human and Xenopus TOP1 shown as a ribbon model using ChimeraX. Colors are as in (J) and (K) and relevant residues are annotated. Shown is the predicted hydrogen bond formed between CPT and D533 (blue dotted line). Looking at the aligned structures, we suspect that CPT cannot trap Xenopus TOP1 because of a L530 to Xenopus P586 substitution, which is causing a shift in the amino acid loop where the hydrogen bond between CPT and TOP1 is formed (at position D533 in human TOP1, marked in green). Importantly, a L530I substitution has previously been reported to cause CPT resistance in plants (Sirikantaramas et al., 2008). Moreover, looking at the surrounding cavity and access to the drug binding pocket, the predicted structural change caused by the leucine to proline substitution might be sufficient to prevent access of CPT to the TOP1 catalytic site (compare (J) with (K)). |
|
|
Supplementary Figure 4. A) DDI2-, PSA1-, SPRTN- and RFWD3-depleted HSS were blotted with the indicated antibodies. Asterisk marks an unspecific band. B) pMHssDNA repair in SPRTN-RFWD3 depleted HSS with or without proteasome inhibitor (MG262). DPCs were recovered via DPC pull-downs at the indicated time points and immunoblotted for crosslinked M.HpaII. C) Mock-depleted and PSA1-DDI2 depleted HSS were blotted with DDI2 antibody. PSA1-DDI2 depleted extracts were supplemented with either buffer (+Buf.), recombinant hDDI2 (+DDI2 WT), or recombinant catalytic dead D252N mutant (+DDI2 CD). D) Add-back rescue experiment in HSS with WT and CD DDI2. Samples were recovered via DPC pull-down and immunoblotted for crosslinked M.HpaII. Red line indicates the shift in high molecular weight species. E) p4xDPCSUMO was incubated in NPE (no DNA replication) for 60 min and transferred to PSA1-, or PSA1- and DDI2- depleted mitotic extracts (Liu et al., 2021), supplemented with either recombinant HisSUMO tagged WT or catalytic inactive D252N mutant hDDI2 as indicated. Samples were recovered by DPC pull-down and immunoblotted against M.HpaII. F) pMHLeads was replicated in mock-, SPRTN-, SPRTN- and PSA1-, or SPRTN-, PSA1- and DDI2-depleted egg extracts in the presence of [a32P]dATP (licensing in one volume of HSS for 30 min followed by addition of two volumes of NPE). Samples were analyzed on a native agarose gel. G) Samples from (F) were recovered via DPC pull-down and immunoblotted for crosslinked M.HpaII. H) pCTRL was replicated in egg extracts (licensing in one volume of HSS for 30 min followed by addition of two volumes of NPE) in the presence of Etoposide (100 μM), ICRF-193 (10 μM) or Topotecan (200 μM) where indicated. In contrast to Etoposide and ICRF-193, Topotecan does not induce any abnormal DNA replication/repair intermediates. I) Same as (H) but using Camptothecin (CPT) (500 μM) instead of Topotecan. J) Human TOP1 (brown) with CPT (purple) and DNA (white) visualized in ChimeraX as a Spacefill model (PDB: 1T8I), here displaying the drug binding pocket with CPT and highlighting residue D533 (green) and L530 (red). K) Xenopus TOP1 structure (blue, residue 256-829) predicted by AlphaFold (P41512) aligned to human TOP1 and displayed as a Spacefill model in the same plane as (J) using ChimeraX. Residues corresponding to human D533 (Xenopus D589, green) and L530 (Xenopus P586, red) are highlighted. The DNA and CPT is shown as in (J). L) Drug binding pocket of aligned human and Xenopus TOP1 shown as a ribbon model using ChimeraX. Colors are as in (J) and (K) and relevant residues are annotated. Shown is the predicted hydrogen bond formed between CPT and D533 (blue dotted line). Looking at the aligned structures, we suspect that CPT cannot trap Xenopus TOP1 because of a L530 to Xenopus P586 substitution, which is causing a shift in the amino acid loop where the hydrogen bond between CPT and TOP1 is formed (at position D533 in human TOP1, marked in green). Importantly, a L530I substitution has previously been reported to cause CPT resistance in plants (Sirikantaramas et al., 2008). Moreover, looking at the surrounding cavity and access to the drug binding pocket, the predicted structural change caused by the leucine to proline substitution might be sufficient to prevent access of CPT to the TOP1 catalytic site (compare (J) with (K)). |
|
|
Supplementary Figure 4. A) DDI2-, PSA1-, SPRTN- and RFWD3-depleted HSS were blotted with the indicated antibodies. Asterisk marks an unspecific band. B) pMHssDNA repair in SPRTN-RFWD3 depleted HSS with or without proteasome inhibitor (MG262). DPCs were recovered via DPC pull-downs at the indicated time points and immunoblotted for crosslinked M.HpaII. C) Mock-depleted and PSA1-DDI2 depleted HSS were blotted with DDI2 antibody. PSA1-DDI2 depleted extracts were supplemented with either buffer (+Buf.), recombinant hDDI2 (+DDI2 WT), or recombinant catalytic dead D252N mutant (+DDI2 CD). D) Add-back rescue experiment in HSS with WT and CD DDI2. Samples were recovered via DPC pull-down and immunoblotted for crosslinked M.HpaII. Red line indicates the shift in high molecular weight species. E) p4xDPCSUMO was incubated in NPE (no DNA replication) for 60 min and transferred to PSA1-, or PSA1- and DDI2- depleted mitotic extracts (Liu et al., 2021), supplemented with either recombinant HisSUMO tagged WT or catalytic inactive D252N mutant hDDI2 as indicated. Samples were recovered by DPC pull-down and immunoblotted against M.HpaII. F) pMHLeads was replicated in mock-, SPRTN-, SPRTN- and PSA1-, or SPRTN-, PSA1- and DDI2-depleted egg extracts in the presence of [a32P]dATP (licensing in one volume of HSS for 30 min followed by addition of two volumes of NPE). Samples were analyzed on a native agarose gel. G) Samples from (F) were recovered via DPC pull-down and immunoblotted for crosslinked M.HpaII. H) pCTRL was replicated in egg extracts (licensing in one volume of HSS for 30 min followed by addition of two volumes of NPE) in the presence of Etoposide (100 μM), ICRF-193 (10 μM) or Topotecan (200 μM) where indicated. In contrast to Etoposide and ICRF-193, Topotecan does not induce any abnormal DNA replication/repair intermediates. I) Same as (H) but using Camptothecin (CPT) (500 μM) instead of Topotecan. J) Human TOP1 (brown) with CPT (purple) and DNA (white) visualized in ChimeraX as a Spacefill model (PDB: 1T8I), here displaying the drug binding pocket with CPT and highlighting residue D533 (green) and L530 (red). K) Xenopus TOP1 structure (blue, residue 256-829) predicted by AlphaFold (P41512) aligned to human TOP1 and displayed as a Spacefill model in the same plane as (J) using ChimeraX. Residues corresponding to human D533 (Xenopus D589, green) and L530 (Xenopus P586, red) are highlighted. The DNA and CPT is shown as in (J). L) Drug binding pocket of aligned human and Xenopus TOP1 shown as a ribbon model using ChimeraX. Colors are as in (J) and (K) and relevant residues are annotated. Shown is the predicted hydrogen bond formed between CPT and D533 (blue dotted line). Looking at the aligned structures, we suspect that CPT cannot trap Xenopus TOP1 because of a L530 to Xenopus P586 substitution, which is causing a shift in the amino acid loop where the hydrogen bond between CPT and TOP1 is formed (at position D533 in human TOP1, marked in green). Importantly, a L530I substitution has previously been reported to cause CPT resistance in plants (Sirikantaramas et al., 2008). Moreover, looking at the surrounding cavity and access to the drug binding pocket, the predicted structural change caused by the leucine to proline substitution might be sufficient to prevent access of CPT to the TOP1 catalytic site (compare (J) with (K)). |
|
|
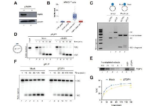
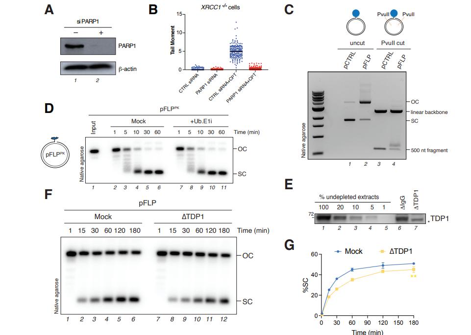
Supplementary Figure 5. A) Levels of PARP1 and b-actin protein in cell extracts from XRCC1-/- RPE-1 cells following transfection with control or anti-PARP1 siRNA. B) SSB levels measured by alkaline comet assays in the cell lines described in (A), following incubation for 1 h with 10 µM camptothecin. For each sample, data show the median Tail moment of 200 cells combined from two independent experiments (100 cells/experiment). C) pCTRL and pFLP samples were analyzed on a native agarose gel in the presence of EtBr. Where indicated, substrates were digested with PvuII restriction enzyme to release a 500 nt long DNA fragment containing the crosslinked protein. Gel shift indicates successful crosslinking. D) pFLPPK was incubated in non-replicating egg extracts (1:2 HSS:NPE ratio) in the absence and presence of Ub.E1i. Reaction samples were analyzed by native agarose gel electrophoresis. E) TDP1-depleted non-replicating egg extracts (1:2 HSS:NPE ratio) were blotted with a TDP1 antibody. Asterisk marks an unspecific band. F) pFLP was incubated in mock- or TDP1-depleted non-replicating egg extracts (1:2 HSS:NPE ratio). Reaction samples were analyzed by native agarose gel electrophoresis. G) Samples from (F) were quantified as in (Fig. 4F). Error bars represent the SD of the mean. n=6. Significant differences were determined by a two-tailed unpaired t test. ** denotes p-value ≤ 0.01 compared to the Mock control (p=0.0132). H) Analysis of protein recruitment to pFLP in TDP1-depleted compared to mock-depleted non-replicating egg extracts (1:2 HSS:NPE ratio). Plasmids were recovered at 10 min. The volcano plot shows the difference in abundance of proteins between the two sample conditions (xaxis), plotted against the p-value resulting from two-tailed Student’s t-testing (y-axis). Proteins significantly down- or up-regulated (cutoff line represents permutation-based FDR<5%) are represented in red or blue, respectively. n=4. Full results reported in Table S3. I) pFLP was incubated in non-replicating egg extracts (1:2 HSS:NPE ratio) in the presence of the indicated inhibitors. Samples were recovered via DPC pull-down and blotted against Poly/Mono-ADP ribose antibody (a-PAR). J) pFLP was incubated in mockand SPRTN-depleted egg extracts. Reaction samples were analyzed by native agarose gel electrophoresis. K) pFLP was incubated in mock- and RFWD3-depleted egg extracts. Reaction samples were analyzed as in (J). |
|
|
Supplementary Figure 5. A) Levels of PARP1 and b-actin protein in cell extracts from XRCC1-/- RPE-1 cells following transfection with control or anti-PARP1 siRNA. B) SSB levels measured by alkaline comet assays in the cell lines described in (A), following incubation for 1 h with 10 µM camptothecin. For each sample, data show the median Tail moment of 200 cells combined from two independent experiments (100 cells/experiment). C) pCTRL and pFLP samples were analyzed on a native agarose gel in the presence of EtBr. Where indicated, substrates were digested with PvuII restriction enzyme to release a 500 nt long DNA fragment containing the crosslinked protein. Gel shift indicates successful crosslinking. D) pFLPPK was incubated in non-replicating egg extracts (1:2 HSS:NPE ratio) in the absence and presence of Ub.E1i. Reaction samples were analyzed by native agarose gel electrophoresis. E) TDP1-depleted non-replicating egg extracts (1:2 HSS:NPE ratio) were blotted with a TDP1 antibody. Asterisk marks an unspecific band. F) pFLP was incubated in mock- or TDP1-depleted non-replicating egg extracts (1:2 HSS:NPE ratio). Reaction samples were analyzed by native agarose gel electrophoresis. G) Samples from (F) were quantified as in (Fig. 4F). Error bars represent the SD of the mean. n=6. Significant differences were determined by a two-tailed unpaired t test. ** denotes p-value ≤ 0.01 compared to the Mock control (p=0.0132). H) Analysis of protein recruitment to pFLP in TDP1-depleted compared to mock-depleted non-replicating egg extracts (1:2 HSS:NPE ratio). Plasmids were recovered at 10 min. The volcano plot shows the difference in abundance of proteins between the two sample conditions (xaxis), plotted against the p-value resulting from two-tailed Student’s t-testing (y-axis). Proteins significantly down- or up-regulated (cutoff line represents permutation-based FDR<5%) are represented in red or blue, respectively. n=4. Full results reported in Table S3. I) pFLP was incubated in non-replicating egg extracts (1:2 HSS:NPE ratio) in the presence of the indicated inhibitors. Samples were recovered via DPC pull-down and blotted against Poly/Mono-ADP ribose antibody (a-PAR). J) pFLP was incubated in mockand SPRTN-depleted egg extracts. Reaction samples were analyzed by native agarose gel electrophoresis. K) pFLP was incubated in mock- and RFWD3-depleted egg extracts. Reaction samples were analyzed as in (J). |
|
|
Supplementary Figure 6. A) Samples taken from [a32P]dATP labelled reaction in experiment 5B and run on a native agarose gel. B) Quantification of supercoiled (SC) and well products (WP) from Figure 5A. Error bars represent the SD. n=3. C) Model of pFLP replication in the presence of PARPi. |
|
|
Supplementary Figure 7. A) Table extracted from (Olivieri et al., 2020). The table shows the top 50 genes whose targeting sensitize cells to the TOP1 poison camptothecin. Hits were ranked based on CPT-2 sensitivity. B-D) Heat map representations of PARP1 (B), TRIP12 (C), and HUWE1 (D) DrugZ (Colic et al., 2019) estimated sensitizing/resistance degree across 27 genotoxic agents tested under CRISPR/Cas9 screen experiments (Olivieri et al., 2020). Blue represents resistance (positive normZ scores) and orange represent sensitization (negative normZ scores). This data is copied from: https://durocher.shinyapps.io/GenotoxicScreens/ with the permission of Daniel Durocher. |
