XB-ART-60792
J Biol Chem
2024 Aug 14;3008:107574. doi: 10.1016/j.jbc.2024.107574.
Show Gene links
Show Anatomy links
Disease-associated missense mutations in the pore loop of polycystin-2 alter its ion channel function in a heterologous expression system.
Staudner T, Geiges L, Khamseekaew J, Sure F, Korbmacher C, Ilyaskin AV.
???displayArticle.abstract???
Polycystin-2 (PC2) is mutated in ∼15% of patients with autosomal dominant polycystic kidney disease (ADPKD). PC2 belongs to the family of transient receptor potential (TRP) channels and can function as a homotetramer. We investigated whether three disease-associated mutations (F629S, C632R, or R638C) localized in the channel's pore loop alter ion channel properties of human PC2 expressed in Xenopus laevis oocytes. Expression of wild-type (WT) PC2 typically resulted in small but measurable Na+ inward currents in the absence of extracellular divalent cations. These currents were no longer observed when individual pore mutations were introduced in WT PC2. Similarly, Na+ inward currents mediated by the F604P gain-of-function (GOF) PC2 construct (PC2 F604P) were abolished by each of the three pore mutations. In contrast, when the mutations were introduced in another GOF construct, PC2 L677A N681A, only C632R had a complete loss-of-function effect, whereas significant residual Na+ inward currents were observed with F629S (∼15%) and R638C (∼30%). Importantly, the R638C mutation also abolished the Ca2+ permeability of PC2 L677A N681A and altered its monovalent cation selectivity. To elucidate the molecular mechanisms by which the R638C mutation affects channel function, molecular dynamics (MD) simulations were used in combination with functional experiments and site-directed mutagenesis. Our findings suggest that R638C stabilizes ionic interactions between Na+ ions and the selectivity filter residue D643. This probably explains the reduced monovalent cation conductance of the mutant channel. In summary, our data support the concept that altered ion channel properties of PC2 contribute to the pathogenesis of ADPKD.
???displayArticle.pubmedLink??? 39009345
???displayArticle.pmcLink??? PMC11630642
???displayArticle.link??? J Biol Chem
Species referenced: Xenopus laevis
Genes referenced: pkd1 pkd2 psmd6
GO keywords: polycystin complex
???displayArticle.disOnts??? autosomal dominant polycystic kidney disease
???displayArticle.omims??? POLYCYSTIC KIDNEY DISEASE 2 WITH OR WITHOUT POLYCYSTIC LIVER DISEASE; PKD2
???attribute.lit??? ???displayArticles.show???
|
|
Figure 1. Localization of three polycystin-2 pore loop residues (F629, C632, R638) mutated in ADPKD. Top (A) and side (B) view of human wildtype polycystin-2 (PC2 WT) homotetramer in ribbon representation generated using atom coordinates from PDB entry 6T9N ( 35 ). Individual protomers are colored in different shades of grey, transmembrane domains S5 and S6 of all protomers are shown in beige and orange, respectively. The pore loop is in red, except for three selectivity filter residues (641-LGD-643), which are in green. The insets show a portion of PC2 on an expanded scale, where the pore loop of subunit 1 (shown in ribbon representation) forms multiple intra- and intersubunit contacts with several other PC2 domains of subunit 1 and 2 shown in surface representation. Three pore loop residues mutated in ADPKD (F629, C632, R638) are localized in the pore helix 1 (PH1) and their side chains are shown in ball-and-stick representation with carbon atoms in red, nitrogen in blue, and sulfur in yellow. Hydrogen atoms are omitted for clarity. |
|
|
Figure 2. Pore mutations F629S, C632R and R638C exhibit a loss-of-function effect on PC2 WT. (A) Profile of the ion permeation pathway in PC2 WT generated using the HOLE program ( 60 ) is shown along with two diagonally opposed protomers in black wire representation. Analysis was made using the PDB entry 6T9N ( 35 ). Two apparent pathway constrictions are located at the level of the selectivity filter, and the lower gate as indicated. With an intact S5 residue F604 (in sticks representation and in green), the narrowest part of the pathway is formed by L677 and N681 side chains shown in sticks representation and in red (the lower gate). (B, C) Representative whole-cell current traces obtained in a control Xenopus laevis oocyte (B) or an oocyte injected with 15 ng cRNA encoding human PC2 WT (C). Application of different bath solutions (a standard NaCl solution with or without divalent cations (øMg2+ øCa2+) or an NMDG+ solution without divalent cations) is indicated by black, red and blue bars, respectively. For each condition, voltage step protocols were performed with consecutive 1,000 ms voltage steps in 20 mV increments starting with a hyperpolarizing pulse to −100 mV from a holding potential of −60 mV. Overlays of the corresponding whole-cell current traces are shown below the traces. (D) Average I/V-plots (mean ± SD) were constructed from similar recordings as shown in (B) and (C) and from those obtained in oocytes expressing the PC2 pore mutants (F629S, C632R, R638C) using a similar experimental protocol as in (B, C). In each recording, the current values measured during the final 300 ms of each pulse were used to construct the corresponding I/V-plot (N=5, 40≤n≤48; N indicates the number of different batches of Xenopus laevis oocytes, and n indicates the number of individual oocytes analysed per experimental group). (E) Summary data of the same experiments as shown in (D). The maximal inward currents reached during application of hyperpolarizing pulses of −100 mV in divalent free NaCl (NaCl øMg2+ øCa2+) bath solution are shown. The p-values were calculated by Kruskal-Wallis test with Dunn’s post hoc test. |
|
|
Figure 3. Pore mutations F629S, C632R and R638C exhibit a loss-of-function effect on PC2 F604P. (A) Profile of the ion permeation pathway in PC2 F604P generated using the HOLE program ( 60 ) is shown along with two diagonally opposed protomers in black wire representation. Analysis was made using the PDB entry 6D1W ( 61 ). It is noteworthy that the F604P mutation (shown in sticks representation and in green) removes the pathway constriction at the level of the lower gate by altering the position of L677 and N681 residues. (B) Representative whole-cell current trace obtained in a Xenopus laevis oocyte injected with 7.5 ng cRNA encoding human PC2 F604P is shown to the left of the corresponding average I/V-plot (mean ± SD) obtained from recordings using a similar protocol as described in Fig. 2 . (C) Average I/V-plots (mean ± SD) were obtained from oocytes expressing PC2 with pore mutations (F629S, C632R, R638C) introduced into PC2 F604P and from control oocytes using a similar experimental protocol as in (B) (N=3, 33≤n≤39; N indicates the number of different batches of Xenopus laevis oocytes, and n indicates the number of individual oocytes analysed per experimental group). (D) Summary data of the same experiments as shown in (C). The maximal inward currents reached during application of hyperpolarizing pulses of −100 mV in divalent free NaCl (NaCl øMg2+ øCa2+) bath solution are shown. The p-values were calculated by Kruskal-Wallis test with Dunn’s post hoc test. |
|
|
Figure 4. Na+ permeability of PC2 L677A N681A is partially preserved in F629S and R638C mutants, but not in C632R. (A) Profile of the ion permeation pathway in PC2 L677A N681A generated using the HOLE program ( 60 ) is shown along with two diagonally opposed protomers in black wire representation. Two alanine point mutations (shown in sticks representation and in red) were introduced into the PC2 WT [PDB entry 6T9N ( 35 )] in silico to remove the pathway constriction at the level of the lower gate. (B) Representative whole-cell current trace obtained in a Xenopus laevis oocyte injected with 7.5 ng cRNA encoding human PC2 L677A N681A is shown to the left of the corresponding average I/V-plot (mean ± SD) obtained from recordings using a similar protocol as described in Fig. 2 . (C) Average I/V-plots (mean ± SD) were obtained from oocytes expressing PC2 with pore mutations (F629S, C632R, R638C) introduced into PC2 L677A N681A and from control oocytes using a similar experimental protocol as in (B) (N=3, 22≤n≤25; N indicates the number of different batches of Xenopus laevis oocytes, and n indicates the number of individual oocytes analysed per experimental group). (D) Summary data of the same experiments as shown in (C). The maximal inward currents reached during application of hyperpolarizing pulses of −100 mV in divalent free NaCl (NaCl øMg2+ øCa2+) bath solution are shown. The p-values were calculated by Kruskal-Wallis test with Dunn’s post hoc test. |
|
|
Figure 5. Cysteine residue (C632) is not essential for ion channel function of PC2. (A-D) Left panels: Average I/V-plots (mean ± SD) were obtained from oocytes expressing PC2 F604P or PC2 L677A N681A without (A, C) or with cysteine to serine substitution (C632S) (B, D) using a similar experimental protocol as described is Fig.2. Right panels: Summary data show maximal inward currents reached during application of hyperpolarizing pulses of −100 mV in different bath solutions as indicated. Measurements from individual oocytes and mean ± SD are shown (A, B: N=2, 25≤n≤27; C, D: N=2, n=21; N indicates the number of different batches of Xenopus laevis oocytes, and n indicates the number of individual oocytes analysed per experimental group; the p-values were calculated by Friedman test with Dunn’s post hoc test). (E) Summary data of the same experiments as shown in (A-D). The maximal inward currents reached during application of hyperpolarizing pulses of −100 mV in divalent free NaCl (NaCl øMg2+ øCa2+) bath solution are shown. The p-values were calculated by Kruskal-Wallis test with Dunn’s post hoc test. |
|
|
Figure 6. Pore mutation R638C, but not F629S, alters the selectivity of PC2 L677A N681A for monovalent cations. (A-C) Selectivity for small inorganic monovalent cations was assessed for PC2 L677A N681A (A), PC2 L677A N681A F629S (B) and PC2 L677A N681A R638C (C) by replacing Na+ in the bath solution by K+, Li+ or NMDG+ in the absence of divalent cations. Left panels: Average I/V-plots (mean ± SD) were obtained using a similar experimental approach as shown in Fig.2. To correct for endogenous oocyte currents (in particular K+ currents), the average whole-cell current values measured in control oocytes ( Fig. S4A ) were subtracted from the corresponding individual whole-cell current values measured in oocytes from the same batch expressing PC2 constructs. Right panels: Summary data show the maximal inward currents reached during application of hyperpolarizing pulses of −100 mV in the presence of different cations in the bath as indicated. Measurements from individual oocytes and mean ± SD are shown (N=3, 19≤n≤27; N indicates the number of different batches of Xenopus laevis oocytes, and n indicates the number of individual oocytes analysed per experimental group; the p-values were calculated by repeated measures one-way ANOVA with Bonferroni post hoc test (A, C) or Friedman test with Dunn’s post hoc test (B)). (D) Reversal potentials (in mV) observed in the presence of Na+ (Erev,Na+), Li+ (Erev,Li+) or K+ (Erev,K+) were estimated from the averaged I/V-curves shown in A-C. Reversal potential shifts were calculated by subtracting Erev,Na+ from Erev,Li+ (ΔErev, Li+-Na+) or from Erev,K+ (ΔErev, K+-Na+) and were used to estimate permeability ratios (PNa : PLi : PK; equation 1 ). (E, F) In additional experiments permeability for mid-size organic monovalent cations was assessed for PC2 L677A N681A (E) and PC2 L677A N681A R638C (F) by replacing Na+ in the bath solution by DME+, DEA+ or TEA+ in the absence of divalent cations. For correction, the values shown in Fig. S4B were used. Mean ± SD and individual data points are shown (N=1, n=10). |
|
|
Figure 7. No measurable calcium permeability was observed in PC2 L677A N681A with R638C pore mutation. (A-D) Representative whole-cell current trace obtained in a Xenopus laevis oocyte expressing human PC2 L677A N681A without (A) or with injection of 50 nl of 50 mM K+-EGTA 30 min prior to the measurement (B), expressing human PC2 L677A N681A with R638C pore mutation (C), or in a control oocyte (D). Calcium permeability was assessed by application of a bath solution containing 50 mM CaCl2. |
|
|
Figure 7. (E) Average I/V-plots (mean ± SD) were constructed from similar recordings as shown in (A-D) (N=2-3, 12≤n≤25; N indicates the number of different batches of Xenopus laevis oocytes, and n indicates the number of individual oocytes analysed per experimental group). (F) Summary data of the same experiments as shown in (A-D). The maximal inward currents reached during application of depolarizing pulses of +40 mV (upper panels) or hyperpolarizing pulses of −100 mV (lower panels) in different bath solutions as indicated are shown. The p-values were calculated by repeated measures one-way ANOVA with Bonferroni post hoc test. |
|
|
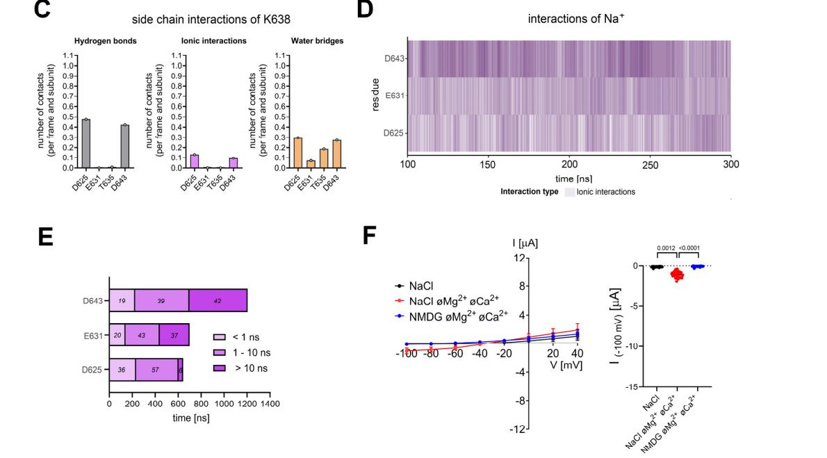
Figure 8. Atomistic molecular dynamics (MD) simulations suggest that R638C mutation disturbs network of side chain interactions within the pore loop and fosters ionic interactions between Na+ and negatively charged pore loop residues. Representative snapshots taken from the first out of three replica MD simulations of PC2 L677A N681A without (A) or with R638C pore mutation (B) show key side chain interactions and ionic interactions with Na+ of indicated residues within the pore loop. Ribbon diagrams of the channel’s pore loop are shown with side chains of indicated residues in sticks representation, carbon atoms are in grey (A) or yellow (B), hydrogen in white, oxygen in red, sulfur in green, nitrogen in blue. Na+ are represented as violet spheres. (C-F) Analysis of interactions was performed over the last 200 ns of the first out of three replica MD simulations of PC2 L677A N681A without (C, E) or with R638C pore mutation (D, F). Each vertical line represents the formation of at least one interaction of the specified type per trajectory frame. Interaction types are represented by different colors as indicated. Results from four PC2 subunits are pooled. A darker color intensity corresponds to multiple interactions of the same type observed at the same time point. Key interaction partners of R638 side chain are highlighted with asterisks in C. Ionic interactions between Na+ ions and the negatively charged pore loop residues (D625, E631, D643) are increased due to R638C substitution (E, F). |
|
|
Figure 9. Mutation of a selectivity filter residue (D643A) partially rescues the Na+ conductance of PC2 L677A N681A with R638C pore mutation and reduces channel inhibition by divalent cations (Ca2+, Mg2+). (A-D) Left panels: Average I/V-plots (mean ± SD) were obtained from oocytes expressing PC2 L677A N681A with R638C pore mutation (A), with a combination of R638C and D643A mutations (B), without additional mutations (C), or with D643A mutation (D) using a similar experimental protocol as described in Fig. 2 . Right panels: The summary data show the maximal inward currents reached during application of hyperpolarizing pulses of −100 mV in different bath solutions as indicated. Measurements from individual oocytes and mean ± SD are shown (N=2, n=24; N indicates the number of different batches of Xenopus laevis oocytes, and n indicates the number of individual oocytes analysed per experimental group; the p-values were calculated by repeated measures one-way ANOVA with Bonferroni post hoc test). (E) Summary data of the same experiments as shown in A-D. The maximal inward currents reached during application of hyperpolarizing pulses of −100 mV in divalent free NaCl (NaCl øMg2+ øCa2+) bath solution are shown. The p-values were calculated by one-way ANOVA with Bonferroni post hoc test. |
|
|
Figure 10. Putative molecular mechanism underlying the functional effects of the pore loop mutations R638C and D643A on Na+ passage through the selectivity filter of PC2. (A) In WT channel, R638 forms hydrogen bonds, ionic interactions and water bridges with several pore loop residues (D625, E631, T635, and D643). This probably is essential to support the native conformation of the channel’s pore loop (grey). Moreover, spatial limitations and electrostatic repulsion produced by R638 prevent formation of strong ionic interactions between Na+ and a selectivity residue D643, thereby allowing efficient Na+ passage through the selectivity filter. (B) Substitution of R638 by a cysteine (R638C) disturbs the delicate network of side chain interactions within the pore loop, which probably slightly alters its conformation (yellow). Moreover, in the absence of the positively charged R638, the negatively charged D625, E631 and D643 increase their capacity to bind Na+ and form more stable ionic interactions with Na+. Increased electrostatic attraction of Na+ to D643 likely impedes dissociation of Na+ from D643. Together with the disturbed pore loop conformation this reduces the Na+ conductance of the channel’s selectivity filter. (C) In contrast, removing the negative charge from the selectivity filter by the D643A substitution increases its Na+ conductance. However, this probably cannot restore the native conformation of the pore, which may explain why the D643A substitution only partially rescues Na+ permeation through the selectivity filter. |
|
|
Figure S1: Western blot analysis of cell surface and intracellular expression of PC2 WT without and with F629S, C632R, R638C pore mutations. Intracellular (right panels) or cell surface (left panels) expression of HA-tagged PC2 WT without or with a pore mutation as indicated (+F629S, +C632R or +R638C) from three different oocyte batches (N=3). No specific signal was detected with the anti-HA antibody in control oocytes. In addition, in the first batch of oocytes expression of HA-tagged PC2 F604P GOF construct was analyzed in parallel with other PC2 constructs. To validate separation of cell surface proteins from intracellular proteins, blots were stripped and re-probed using an antibody against β-actin. |
|
|
Figure S1: Western blot analysis of cell surface and intracellular expression of PC2 WT without and with F629S, C632R, R638C pore mutations. Intracellular (right panels) or cell surface (left panels) expression of HA-tagged PC2 WT without or with a pore mutation as indicated (+F629S, +C632R or +R638C) from three different oocyte batches (N=3). No specific signal was detected with the anti-HA antibody in control oocytes. In addition, in the first batch of oocytes expression of HA-tagged PC2 F604P GOF construct was analyzed in parallel with other PC2 constructs. To validate separation of cell surface proteins from intracellular proteins, blots were stripped and re-probed using an antibody against β-actin. |
|
|
Figure S2: Western blot analysis of cell surface and intracellular expression of PC2 F604P without and with F629S, C632R, R638C pore mutations. Intracellular (right panels) or cell surface (left panels) expression of HA-tagged PC2 F604P without or with a pore mutation as indicated (+F629S, +C632R or +R638C) from three different oocyte batches (N=3). No specific signal was detected with the anti-HA antibody in control oocytes. To validate separation of cell surface proteins from intracellular proteins, blots were stripped and reprobed using an antibody against β-actin. |
|
|
Figure S2: Western blot analysis of cell surface and intracellular expression of PC2 F604P without and with F629S, C632R, R638C pore mutations. Intracellular (right panels) or cell surface (left panels) expression of HA-tagged PC2 F604P without or with a pore mutation as indicated (+F629S, +C632R or +R638C) from three different oocyte batches (N=3). No specific signal was detected with the anti-HA antibody in control oocytes. To validate separation of cell surface proteins from intracellular proteins, blots were stripped and reprobed using an antibody against β-actin. |
|
|
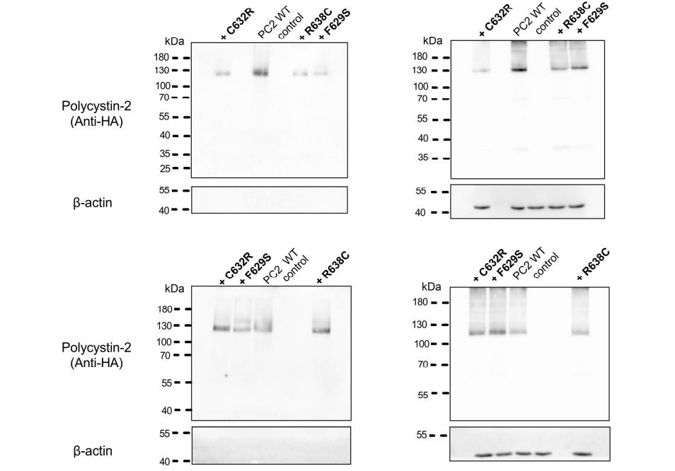
Figure S3: Western blot analysis of cell surface and intracellular expression of PC2 L677A N681A without and with F629S, C632R, R638C pore mutations. Intracellular (right panels) or cell surface (left panels) expression of HA-tagged PC2 L677A N681A without or with a pore mutation as indicated (+F629S, +C632R or +R638C) from three different oocyte batches (N=3). No specific signal was detected with the anti-HA antibody in control oocytes. To validate separation of cell surface proteins from intracellular proteins, blots were stripped and reprobed using an antibody against β-actin. |
|
|
Figure S3: Western blot analysis of cell surface and intracellular expression of PC2 L677A N681A without and with F629S, C632R, R638C pore mutations. Intracellular (right panels) or cell surface (left panels) expression of HA-tagged PC2 L677A N681A without or with a pore mutation as indicated (+F629S, +C632R or +R638C) from three different oocyte batches (N=3). No specific signal was detected with the anti-HA antibody in control oocytes. To validate separation of cell surface proteins from intracellular proteins, blots were stripped and reprobed using an antibody against β-actin. |
|
|
Figure S4: Effect of monovalent cation substitutions on baseline currents in control oocytes. (A, B) Left panels: Average I/V-plot (mean ± SD) were obtained from control oocytes injected only with antisense DNA oligonucleotide against Xenopus connexin 38 (ASCx38) using a similar experimental protocol as described is Fig.6. Right panels: Summary data show the maximal inward currents reached during application of hyperpolarizing pulses of −100 mV in the presence of different monovalent cations in the bath as indicated. Measurements from individual oocytes and mean ± SD are shown (A: N=3, n=26; B: N=1, n=9; N indicates the number of different batches of Xenopus laevis oocytes, and n indicates the number of individual oocytes analysed per experimental group). In Fig. 6 these average whole-cell currents in different bath solutions were used to correct corresponding current values obtained in oocytes expressing PC2 constructs for endogenous oocyte currents. Despite this correction, the reversal potential measurements and the permeability ratios estimated from reversal potential shifts have to be interpreted with some caution. |
|
|
Figure S5: Analysis of side chain and backbone interactions of R638 or C638 in PC2 L677A N681A or PC2 L677A N681A R638C, respectively. Data were obtained over the last 200 ns of each replica MD simulation (sim. 1, sim. 2, sim.3). Side chain interactions observed in the first MD simulation are shown in Fig. 8C, D. Each vertical line represents the formation of at least one interaction of the specified type per trajectory frame. Interaction types are represented by different colors as indicated. Results from four PC2 subunits are pooled. A darker color intensity corresponds to multiple interactions of the same type observed at the same time point. |
|
|
Figure S5: Analysis of side chain and backbone interactions of R638 or C638 in PC2 L677A N681A or PC2 L677A N681A R638C, respectively. Data were obtained over the last 200 ns of each replica MD simulation (sim. 1, sim. 2, sim.3). Side chain interactions observed in the first MD simulation are shown in Fig. 8C, D. Each vertical line represents the formation of at least one interaction of the specified type per trajectory frame. Interaction types are represented by different colors as indicated. Results from four PC2 subunits are pooled. A darker color intensity corresponds to multiple interactions of the same type observed at the same time point. |
|
|
Figure S6: Quantification of interactions formed by the side chain of R638 or C638 with the four key pore loop residues. Summary data obtained from the same MD simulations as shown in Fig. 8C, D and Fig. S8. Each dot represents the average number of contacts formed by the side chain atoms of R638 (PC2 L677A N681A) or C638 (PC2 L677A N681A R638C) with an indicated pore loop residue over the last 200 ns of each MD simulation per trajectory frame and per PC2 subunit (n=3, the p-values were calculated by one-way ANOVA with Bonferroni post hoc test). |
|
|
Figure S7: Quantification of interactions formed by the backbone of R638 or C638 with the pore loop residues. Summary data obtained from the same MD simulations as shown in Fig. S8. Each dot represents the average number of contacts formed by the backbone atoms of R638 (PC2 L677A N681A) or C638 (PC2 L677A N681A R638C) with an indicated pore loop residue over the last 200 ns of each MD simulation per trajectory frame and per PC2 subunit (n=3). |
|
|
Figure S8: R638C mutation fosters ionic interactions between Na+ and negatively charged pore loop residues. Data were obtained over the last 200 ns of each replica MD simulation (sim. 2, sim.3). Similar results were observed in the first MD simulation shown in Fig. 8E, F. Each vertical line represents the formation of at least one ionic interaction per trajectory frame. Results from four PC2 subunits are pooled. A darker color intensity corresponds to multiple interactions observed at the same time point. |
|
|
Figure S9: Quantification of interactions formed by Na+ with the negatively charged pore loop residues. Summary data obtained from the same MD simulations as shown in Fig. 8 and Fig. S11. Each dot represents the average number of contacts formed by Na+ with an indicated pore loop residue in PC2 L677A N681A or PC2 L677A N681A R638C over the last 200 ns of each MD simulation per trajectory frame and per PC2 subunit (n=3; the p-values were calculated by one-way ANOVA with Bonferroni post hoc test). |
|
|
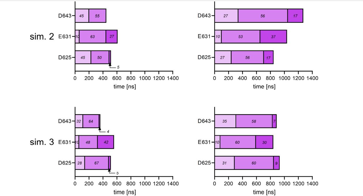
Figure S10: R638C substitution increases the duration of Na+ interactions with negatively charged pore loop residues D625, E631 and D643. Cumulative time of interactions between Na+ ions and the indicated residues in all four PC2 subunits over the last 200 ns of the simulation time in three replica simulations (sim. 1, sim. 2, sim. 3) of PC2 L677A N681A without (left panels) or with pore mutation R638C (right panels). Duration of each interaction was estimated by multiplying the number of consecutive frames, in which this interaction was observed, by the sampling interval of the MD trajectory (sim. 1: 100 ps; sim. 2 and 3: 300 ps). More than one Na+ can interact with a respective residue simultaneously, therefore the cumulative time of interactions may exceed the cumulative MD simulation time (4 subunits × 200 ns = 800 ns). Interactions are grouped by duration into three categories, ‘short-term’ (< 1 ns), ‘medium-term’ (1 – 10 ns) and ‘long-term’ (> 10 ns) interactions, and their respective proportions are shown by different colors and numbers inside bars (in % of total for each residue). |
|
|
Figure S10: R638C substitution increases the duration of Na+ interactions with negatively charged pore loop residues D625, E631 and D643. Cumulative time of interactions between Na+ ions and the indicated residues in all four PC2 subunits over the last 200 ns of the simulation time in three replica simulations (sim. 1, sim. 2, sim. 3) of PC2 L677A N681A without (left panels) or with pore mutation R638C (right panels). Duration of each interaction was estimated by multiplying the number of consecutive frames, in which this interaction was observed, by the sampling interval of the MD trajectory (sim. 1: 100 ps; sim. 2 and 3: 300 ps). More than one Na+ can interact with a respective residue simultaneously, therefore the cumulative time of interactions may exceed the cumulative MD simulation time (4 subunits × 200 ns = 800 ns). Interactions are grouped by duration into three categories, ‘short-term’ (< 1 ns), ‘medium-term’ (1 – 10 ns) and ‘long-term’ (> 10 ns) interactions, and their respective proportions are shown by different colors and numbers inside bars (in % of total for each residue). |
|
|
Figure S11: R638C substitution significantly increases root mean square fluctuation (RMSF) of D643 side chain. RMSF values were calculated for the side chain atoms (A-C) and backbone atoms (D-F) over the last 200 ns of each replica MD simulation. Values for the whole protein (A, D), for the pore loop (B, E; within the frame in A, D) and for the four key pore loop residues (C, F; indicated by vertical dotted lines in B, E) are shown (n=12: 4 subunits × 3 simulations; the p-values were calculated by one-way ANOVA with Bonferroni post hoc test). |
|
|
Figure S12: R638C mutation did not alter the dimensions of the channel’s selectivity filter. (A) Pore loop regions of two diagonally opposed PC2 protomers in ribbon representation with three residues forming the selectivity filter (L641, G642 and D643) in sticks representation are shown. Distances between corresponding atoms of two subunits which are connected by yellow dotted lines were calculated and are shown in (B). Mean distances were calculated in each replica MD simulation (n=3). |
|
|
Figure S13: A conservative R638K substitution reduces Na+ conductance of PC2 L677A N681A probably by disturbing the network of side chain interactions within the pore loop and increasing the number and duration of Na+ interactions with D643 (A) Representative snapshot taken from an MD simulation of PC2 L677A N681A with R638K pore mutation shows ionic interactions of indicated residues within the pore loop with Na+ and an ionic interaction between K638 and D625. Ribbon diagram of the channel’s pore loop is shown with side chains of indicated residues in sticks representation, carbon atoms are in rose pink, hydrogen in white, oxygen in red, nitrogen in blue. Na+ are represented as violet spheres. (B) Analysis of side chain interactions of K638 in PC2 L677A N681A R638K. Data were obtained over the last 200 ns of the MD simulation. Each vertical line represents the formation of at least one interaction of the specified type per trajectory frame. Interaction types are represented by different colors as indicated. Results from four PC2 subunits are pooled. A darker color intensity corresponds to multiple interactions of the same type observed at the same time point. |
|
|
Figure S13: (C) Quantification of interactions formed by the side chain of K638 with the four pore loop residues (D625, E631, T635, D643). Summary data was obtained from the same MD simulation as shown in (B). (D) Analysis of ionic interactions between Na+ ions and the negatively charged pore loop residues (D625, E631, D643) was performed for the last 200 ns of the MD simulation. Individual interactions are represented with vertical violet lines. Results from four PC2 subunits are pooled. Darker color intensity corresponds to multiple interactions observed at the same time point. (E) Cumulative time of interactions between Na+ ions and the indicated residues in all four PC2 subunits over the last 200 ns of the simulation time. Quantification of the interaction time was performed as described in Figure S13. Interactions are grouped by duration into three categories, ‘short-term’ (< 1 ns), ‘medium-term’ (1 – 10 ns) and ‘long-term’ (> 10 ns) interactions, and their respective proportions are shown by different colors and numbers inside bars (in % of total for each residue). (F) Left panel: Average I/Vplot (mean ± SD) were obtained from oocytes expressing PC2 L677A N681A with pore mutation R638K using a similar experimental protocol as described is Fig. 2. Right panel: Summary data show the maximal inward currents reached during application of hyperpolarizing pulses of −100 mV in different bath solutions as indicated. Measurements from individual oocytes and mean ± SD are shown (N=2, n=23; N indicates the number of different batches of Xenopus laevis oocytes, and n indicates the number of individual oocytes analysed per experimental group; the p-values were calculated by Friedman test with Dunn’s post hoc test). |
|
|
Figure 1. Localization of three polycystin-2 pore loop residues (F629, C632, R638) mutated in ADPKD.Top (A) and side (B) view of human wildtype polycystin-2 (PC2 WT) homotetramer in ribbon representation generated using atom coordinates from PDB entry 6T9N (35). Individual protomers are colored in different shades of gray, and transmembrane domains S5 and S6 of all protomers are shown in beige and orange, respectively. The pore loop is in red, except for three selectivity filter residues (641-LGD-643), which are in green. The insets show a portion of PC2 on an expanded scale, where the pore loop of subunit 1 (shown in ribbon representation) forms multiple intra- and intersubunit contacts with several other PC2 domains of subunit 1 and 2 shown in surface representation. Three pore loop residues mutated in ADPKD (F629, C632, and R638) are localized in the pore helix 1 (PH1) and their side chains are shown in ball-and-stick representation with carbon atoms in red, nitrogen in blue, and sulfur in yellow. Hydrogen atoms are omitted for clarity. |
|
|
Figure 2. Pore mutations F629S, C632R and R638C exhibit a loss-of-function effect on PC2 WT.A, profile of the ion permeation pathway in PC2 WT generated using the HOLE program (60) is shown along with two diagonally opposed protomers in black wire representation. Analysis was made using the PDB entry 6T9N (35). Two apparent pathway constrictions are located at the level of the selectivity filter, and the lower gate as indicated. With an intact S5 residue F604 (in sticks representation and in green), the narrowest part of the pathway is formed by L677 and N681 side chains shown in sticks representation and in red (the lower gate). B and C, representative whole-cell current traces obtained in a control Xenopus laevis oocyte (B) or an oocyte injected with 15 ng cRNA encoding human PC2 WT (C). Application of different bath solutions (a standard NaCl solution with or without divalent cations (øMg2+ øCa2+) or an NMDG+ solution without divalent cations) is indicated by black, red, and blue bars, respectively. For each condition, voltage step protocols were performed with consecutive 1000 ms voltage steps in 20 mV increments starting with a hyperpolarizing pulse to −100 mV from a holding potential of −60 mV. Overlays of the corresponding whole-cell current traces are shown below the traces. D, average I/V-plots (mean ± SD) were constructed from similar recordings as shown in (B) and (C) and from those obtained in oocytes expressing the PC2 pore mutants (F629S, C632R, R638C) using a similar experimental protocol as in (B and C). In each recording, the current values measured during the final 300 ms of each pulse were used to construct the corresponding I/V-plot (N = 5, 40 ≤ n ≤ 48; N indicates the number of different batches of Xenopus laevis oocytes, and n indicates the number of individual oocytes analyzed per experimental group). E, summary data of the same experiments as shown in (D). The maximal inward currents reached during the application of hyperpolarizing pulses of −100 mV in divalent free NaCl (NaCl øMg2+ øCa2+) bath solution are shown. The p-values were calculated by the Kruskal-Wallis test with Dunn’s post hoc test. |
|
|
Figure 3. Pore mutations F629S, C632R and R638C exhibit a loss-of-function effect on PC2 F604P.A, profile of the ion permeation pathway in PC2 F604P generated using the HOLE program (60) is shown along with two diagonally opposed protomers in black wire representation. Analysis was made using the PDB entry 6D1W (61). It is noteworthy that the F604P mutation (shown in sticks representation and in green) removes the pathway constriction at the level of the lower gate by altering the position of L677 and N681 residues. B, representative whole-cell current trace obtained in a Xenopus laevis oocyte injected with 7.5 ng cRNA encoding human PC2 F604P is shown to the left of the corresponding average I/V-plot (mean ± SD) obtained from recordings using a similar protocol as described in Figure 2. C, average I/V-plots (mean ± SD) were obtained from oocytes expressing PC2 with pore mutations (F629S, C632R, R638C) introduced into PC2 F604P and from control oocytes using a similar experimental protocol as in (B) (N = 3, 33 ≤ n ≤ 39; N indicates the number of different batches of Xenopus laevis oocytes, and n indicates the number of individual oocytes analyzed per experimental group). D, Summary data of the same experiments as shown in (C). The maximal inward currents reached during the application of hyperpolarizing pulses of −100 mV in divalent free NaCl (NaCl øMg2+ øCa2+) bath solution are shown. The p-values were calculated by the Kruskal-Wallis test with Dunn’s post hoc test. |
|
|
Figure 4. Na+permeability of PC2 L677A N681A is partially preserved in F629S and R638C mutants, but not in C632R.A, profile of the ion permeation pathway in PC2 L677A N681A generated using the HOLE program (60) is shown along with two diagonally opposed protomers in black wire representation. Two alanine point mutations (shown in sticks representation and in red) were introduced into the PC2 WT [PDB entry 6T9N (35)] in silico to remove the pathway constriction at the level of the lower gate. B, representative whole-cell current trace obtained in a Xenopus laevis oocyte injected with 7.5 ng cRNA encoding human PC2 L677A N681A is shown to the left of the corresponding average I/V-plot (mean ± SD) obtained from recordings using a similar protocol as described in Figure 2. C, average I/V-plots (mean ± SD) were obtained from oocytes expressing PC2 with pore mutations (F629S, C632R, R638C) introduced into PC2 L677A N681A and from control oocytes using a similar experimental protocol as in (B) (N = 3, 22 ≤ n ≤ 25; N indicates the number of different batches of Xenopus laevis oocytes, and n indicates the number of individual oocytes analyzed per experimental group). D, summary data of the same experiments as shown in (C). The maximal inward currents reached during the application of hyperpolarizing pulses of −100 mV in divalent free NaCl (NaCl øMg2+ øCa2+) bath solution are shown. The p-values were calculated by the Kruskal-Wallis test with Dunn’s post hoc test. |
|
|
Figure 5. A cysteine residuein position 632(C632) is not essential for ion channel function of PC2.A–D, Left panels: Average I/V-plots (mean ± SD) were obtained from oocytes expressing PC2 F604P or PC2 L677A N681A without (A, C) or with cysteine to serine substitution (C632S) (B, D) using a similar experimental protocol as described is Figure 2. Right panels: Summary data show maximal inward currents reached during application of hyperpolarizing pulses of −100 mV in different bath solutions as indicated. Measurements from individual oocytes and mean ± SD are shown (A, B: N = 2, 25 ≤ n ≤ 27; C, D: N = 2, n = 21; N indicates the number of different batches of Xenopus laevis oocytes, and n indicates the number of individual oocytes analyzed per experimental group; the p-values were calculated by Friedman test with Dunn’s post hoc test). E, summary data of the same experiments as shown in (A–D). The maximal inward currents reached during the application of hyperpolarizing pulses of −100 mV in divalent free NaCl (NaCl øMg2+ øCa2+) bath solution are shown. The p-values were calculated by the Kruskal-Wallis test with Dunn’s post hoc test. |
|
|
Figure 6. Pore mutation R638C, but not F629S, alters the selectivity of PC2 L677A N681A for monovalent cations.A–C, Selectivity for small inorganic monovalent cations was assessed for PC2 L677A N681A (A), PC2 L677A N681A F629S (B), and PC2 L677A N681A R638C (C) by replacing Na+ in the bath solution by K+, Li+ or NMDG+ in the absence of divalent cations. Left panels: Average I/V-plots (mean ± SD) were obtained using a similar experimental approach as shown in Figure 2. To correct for endogenous oocyte currents (in particular K+ currents), the average whole-cell current values measured in control oocytes (Fig. S4A) were subtracted from the corresponding individual whole-cell current values measured in oocytes from the same batch expressing PC2 constructs. Right panels: Summary data show the maximal inward currents reached during application of hyperpolarizing pulses of −100 mV in the presence of different cations in the bath as indicated. Measurements from individual oocytes and mean ± SD are shown (N = 3, 19 ≤ n ≤ 27; N indicates the number of different batches of Xenopus laevis oocytes, and n indicates the number of individual oocytes analyzed per experimental group; the p-values were calculated by repeated measures one-way ANOVA with Bonferroni post hoc test (A, C) or Friedman test with Dunn’s post hoc test (B)). D, reversal potentials (in mV) observed in the presence of Na+ (Erev,Na+), Li+ (Erev,Li+) or K+ (Erev,K+) were estimated from the averaged I/V-curves shown in (A–C). Reversal potential shifts were calculated by subtracting Erev,Na+ from Erev,Li+ (ΔErev, Li+-Na+) or from Erev,K+ (ΔErev, K+-Na+) and were used to estimate permeability ratios (PNa: PLi: PK; Equation 1). E and F, in additional experiments permeability for mid-size organic monovalent cations was assessed for PC2 L677A N681A (E) and PC2 L677A N681A R638C (F) by replacing Na+ in the bath solution by DMA+, DEA+, or TEA+ in the absence of divalent cations. For correction, the values shown in Fig. S4B were used. Mean ± SD and individual data points are shown (N = 1, n = 10). |
|
|
Figure 7. No measurable calcium permeability was observed in PC2 L677A N681A with R638C pore mutation.A–D, representative whole-cell current trace obtained in a Xenopus laevis oocyte expressing human PC2 L677A N681A without (A) or with injection of 50 nl of 50 mM K+-EGTA 30 min prior to the measurement (B), expressing human PC2 L677A N681A with R638C pore mutation (C), or in a control oocyte (D). Calcium permeability was assessed by the application of a bath solution containing 50 mM CaCl2. E, average I/V-plots (mean ± SD) were constructed from similar recordings as shown in (A–D) (N = 2–3, 12 ≤ n ≤ 25; N indicates the number of different batches of Xenopus laevis oocytes, and n indicates the number of individual oocytes analyzed per experimental group). F, summary data of the same experiments as shown in (A–D). The maximal inward currents reached during the application of depolarizing pulses of +40 mV (upper panels) or hyperpolarizing pulses of −100 mV (lower panels) in different bath solutions as indicated are shown. The p-values were calculated by repeated measures one-way ANOVA with Bonferroni post hoc test. |
|
|
Figure 8. Atomistic molecular dynamics (MD) simulations suggest that R638C mutation disturbs the network of side-chain interactions within the pore loop and fosters ionic interactions between Na+and negatively charged pore loop residues.A and B, Representative snapshots taken from the first out of three replica MD simulations of PC2 L677A N681A without (A) or with R638C pore mutation (B) show key side-chain interactions and ionic interactions with Na+ of indicated residues within the pore loop. Ribbon diagrams of the channel’s pore loop are shown with side chains of indicated residues in sticks representation, carbon atoms are in grey (A) or yellow (B), hydrogen in white, oxygen in red, sulfur in green, nitrogen in blue. Na+ are represented as violet spheres. C–F, analysis of interactions was performed over the last 200 ns of the first out of three replica MD simulations of PC2 L677A N681A without (C, E) or with R638C pore mutation (D, F). Each vertical line represents the formation of at least one interaction of the specified type per trajectory frame. Interaction types are represented by different colors as indicated. Results from four PC2 subunits are pooled. A darker color intensity corresponds to multiple interactions of the same type observed at the same time point. Key interaction partners of the R638 side chain are highlighted with asterisks in (C). Ionic interactions between Na+ ions and the negatively charged pore loop residues (D625, E631, D643) are increased due to R638C substitution (E, F). |
|
|
Figure 9. Mutation of a selectivity filter residue (D643A) partially rescues the Na+conductance of PC2 L677A N681A with R638C pore mutation and reduces channel inhibition by divalent cations (Ca2+, Mg2+).A–D, left panels: Average I/V-plots (mean ± SD) were obtained from oocytes expressing PC2 L677A N681A with R638C pore mutation (A), with a combination of R638C and D643A mutations (B), without additional mutations (C), or with D643A mutation (D) using a similar experimental protocol as described in Figure 2. Right panels: The summary data show the maximal inward currents reached during the application of hyperpolarizing pulses of −100 mV in different bath solutions as indicated. Measurements from individual oocytes and mean ± SD are shown (N = 2, n = 24; N indicates the number of different batches of Xenopus laevis oocytes, and n indicates the number of individual oocytes analyzed per experimental group; the p-values were calculated by repeated measures one-way ANOVA with Bonferroni post hoc test). E, summary data of the same experiments as shown in A–D. The maximal inward currents reached during the application of hyperpolarizing pulses of −100 mV in divalent free NaCl (NaCl øMg2+ øCa2+) bath solution are shown. The p values were calculated by one-way ANOVA with the Bonferroni post hoc test. |
|
|
Figure 10. The putative molecular mechanism underlying the functional effects of the pore loop mutations R638C and D643A on Na+passage through the selectivity filter of PC2.A, in WT channel, R638 forms hydrogen bonds, ionic interactions, and water bridges with several pore loop residues (D625, E631, T635, and D643). This probably is essential to support the native conformation of the channel’s pore loop (gray). Moreover, spatial limitations and electrostatic repulsion produced by R638 prevent the formation of strong ionic interactions between Na+ and a selectivity residue D643, thereby allowing efficient Na+ passage through the selectivity filter. B, substitution of R638 by a cysteine (R638C) disturbs the delicate network of side-chain interactions within the pore loop, which probably slightly alters its conformation (yellow). Moreover, in the absence of the positively charged R638, the negatively charged D625, E631 and D643 increase their capacity to bind Na+ and form more stable ionic interactions with Na+. Increased electrostatic attraction of Na+ to D643 likely impedes dissociation of Na+ from D643. Together with the disturbed pore loop conformation, this reduces the Na+ conductance of the channel’s selectivity filter. C, in contrast, removing the negative charge from the selectivity filter by the D643A substitution increases its Na+ conductance. However, this probably cannot restore the native conformation of the pore, which may explain why the D643A substitution only partially rescues Na+ permeation through the selectivity filter. |
