XB-ART-60614
Commun Biol
2024 Mar 05;71:275. doi: 10.1038/s42003-024-05967-3.
Show Gene links
Show Anatomy links
Revealing mitf functions and visualizing allografted tumor metastasis in colorless and immunodeficient Xenopus tropicalis.
???displayArticle.abstract???
Transparent immunodeficient animal models not only enhance in vivo imaging investigations of visceral organ development but also facilitate in vivo tracking of transplanted tumor cells. However, at present, transparent and immunodeficient animal models are confined to zebrafish, presenting substantial challenges for real-time, in vivo imaging studies addressing specific biological inquiries. Here, we employed a mitf-/-/prkdc-/-/il2rg-/- triple-knockout strategy to establish a colorless and immunodeficient amphibian model of Xenopus tropicalis. By disrupting the mitf gene, we observed the loss of melanophores, xanthophores, and granular glands in Xenopus tropicalis. Through the endogenous mitf promoter to drive BRAFV600E expression, we confirmed mitf expression in melanophores, xanthophores and granular glands. Moreover, the reconstruction of the disrupted site effectively reinstated melanophores, xanthophores, and granular glands, further highlighting the crucial role of mitf as a regulator in their development. By crossing mitf-/- frogs with prkdc-/-/il2rg-/- frogs, we generated a mitf-/-/prkdc-/-/il2rg-/- Xenopus tropicalis line, providing a colorless and immunodeficient amphibian model. Utilizing this model, we successfully observed intravital metastases of allotransplanted xanthophoromas and migrations of allotransplanted melanomas. Overall, colorless and immunodeficient Xenopus tropicalis holds great promise as a valuable platform for tumorous and developmental biology research.
???displayArticle.pubmedLink??? 38443437
???displayArticle.pmcLink??? PMC10915148
???displayArticle.link??? Commun Biol
Species referenced: Xenopus tropicalis Xenopus laevis
Genes referenced: aqp5 aqp8 cd3g dct il2rg mapk1 mitf mpv17 mtnr1al nmb pax3 pgq pmel prkdc slc45a2 tph1 trh tyr tyrp1
???displayArticle.antibodies??? Cd3 Ab1 eGFP Ab10 Mapk1 Ab25 Tyrosinase Ab1
???attribute.lit??? ???displayArticles.show???
|
|
Fig. 1: Biallelic mitf disruption makes Xenopus tropicalis transparent within two months post-metamorphosis. a After using the CRISPR/Cas9 system to knock out mitf via gRNA T7, founder generation (G0) mosaic tadpoles at stage 42 exhibited a loss of melanophores (indicated by red arrow), compared to wild type (WT) tadpoles from the same batch (indicated by black arrow). 79 mosaic tadpoles and 20 wild type tadpoles were observed. b One month after metamorphosis, the transparent skin of the mosaic froglet allowed for external visibility of internal organs such as the fat bodies, lung, liver, heart, and vertebral column. Here was shown one representative froglet, out of a total of 11 mosaic froglets. c The F1 mitf−/− Xenopus tropicalis tadpole exhibited melanophores loss throughout the entire body at stages 41 and 53 compared to wild type tadpoles from the same batch. Notably, at stage 41, the melanin pigmentation in the eyes of mitf−/− Xenopus tropicalis was generated by retinal pigment epithelium (RPE) cells, and redistribution of melanin in oocytes resulted in some melanin pigment in the head (indicated by red arrow) and cement gland (indicated by black arrow). However, the melanin pigment in the head and cement gland disappeared in later development stages, such as stage 53. Representative photographs were exhibited from 35 F1 mitf−/− Xenopus tropicalis tadpoles at stage 41, 15 F1 mitf−/− Xenopus tropicalis tadpoles at stage 53, as well as from 10 wild type tadpoles each at stage 41 and 53. d, e One month after metamorphosis, the F1 mitf−/− Xenopus tropicalis froglet exhibited transparent skin from both dorsal (d) and ventral (e) views. Red dashed boxes 2 and 4 corresponded to magnified views of red dashed boxes 1 and 3, respectively. The transparent skin allowed for external visibility of internal organs including the lung, liver, heart, and vertebral column within one month after metamorphosis as shown. Ten F1 mitf−/− Xenopus tropicalis froglets and ten wild-type Xenopus tropicalis froglets were used to provide representative photographs as shown. Each scale bar is 1 mm. |
|
|
Fig. 2: The skin of mitf−/− adult frogs turns colorless and opaque. a The representative photographs of adult wild type (WT), tyr−/−, and mitf−/− Xenopus tropicalis were displayed to showcase their dorsal view (DV) and ventral view (VV). The photographs were obtained from a sample of 15 adult frogs of each genotype, all of which were 1 year old. b Skin samples approximately 2 mm×5 mm in size were obtained from both dorsal skin (DS) and ventral skin (VS) of wild-type and mitf−/− Xenopus tropicalis aged 2 years or 1.5 months postmetamorphosis. These samples were utilized in transillumination experiments to assess their translucency properties. Specifically, the experiment involved positioning each sample on a sheet of paper with the word “理想“ and photographing them under consistent lighting and camera settings to assess the visibility of the word. Three frogs were used for each genotype, and one sample of DS and VS skin was collected per frog. Representative photographs of each genotype were presented to illustrate the experimental findings. c Skin samples were obtained with blood or after exlusion of blood from dorsal regions of the same mitf−/− Xenopus tropicalis aged 8 months. Three frogs were used for this experiment. The representative photograph was presented. The black scale bar in a is 1 cm. The red scale bar in b and c is 1 mm. |
|
|
|
|
|
Fig. 4: The expression of crucial genes associated with melanophores, xanthophores, and granular glands was reduced or lost in mitf/ Xenopus tropicalis. a Whole-mount in situ hybridization analysis of stage 33/34 Xenopus tropicalis embryos demonstrated a reduction or absence of mRNA hybridization signals in mitf/ embryos compared to the WT. The black arrows indicated some weaker mRNA hybridization signals. At least five embryos were used for in situ hybridization of each gene in every genotype embryo. be Representative results of RT-PCR analysis for several melanophores-related genes, including mitf, tyr, pmel, mlana, ednrb1, slc45a2, and dct, as well as xanthophores-related genes, trpm1, pax3, and gid2, were presented in b. The expression of aquaporin-related genes, such as aqp5 and aqp8, as well as Ca2+-activated chloride channel anoctamin 1 (ano1), and antimicrobial peptides-related genes, including nmb and pgq, in the granular glands were displayed in c and d, respectively. Several hormone-related genes of granular glands, including trh, xt6l, and tph1, were also evaluated (e). The representative results of this analysis were presented in panels ce. odc was used as the RNA loading control and ce shared the RNA loading control in c. For RT-PCR analysis, each gene was subjected to three repetitions using three replicates of total RNA samples, while each total RNA sample was extracted from the skin of three individual frogs. The original data for the mentioned RT-PCR can be found in Supplementary Fig. 32 and Supplementary Fig. 33. Additionally, the original data for the RT-PCR in Supplementary Fig. 25 can be found in Supplementary Fig. 34. DS, dorsal skin; VS, ventral skin. The black scale bar in a is 0.5mm. |
|
|
|
|
|
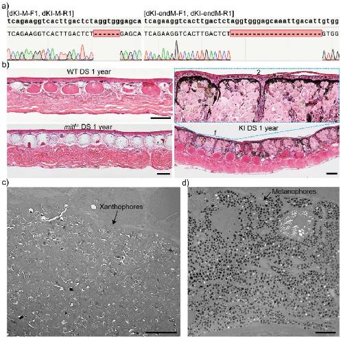
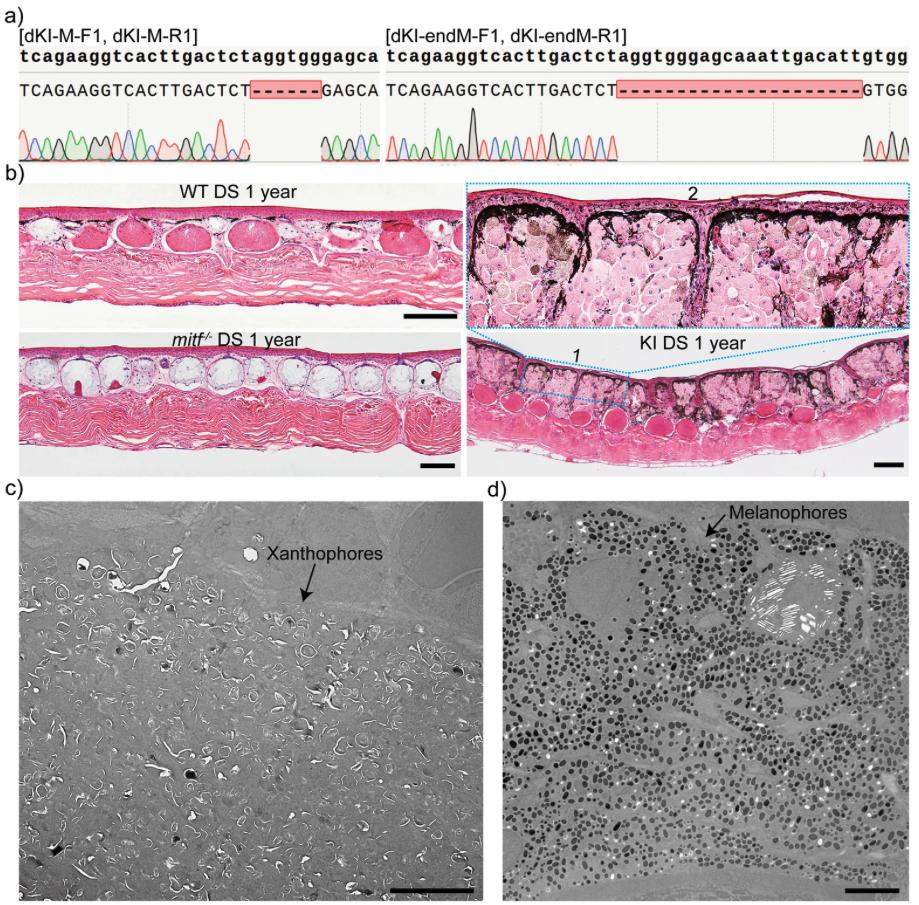
Fig. 6: The integration of the BRAFT1799A within the mitf locus elicits spontaneously formed melanophores-related nevi and xanthophores-like moles in Xenopus tropicalis. a The strategy of precisely integrating the human BRAFT1799A mutation into the mitf genomic locus through non-homologous end joining repair mediated by CRISPR/Cas9 has been demonstrated. This involves placing the mutation downstream of the last exon of mitf, thereby utilizing the endogenous promoter of mitf to drive BRAFV600E expression. b At stage 56, following precise integration of human BRAFT1799A into the mitf genomic locus, the founder generation tadpoles exhibited a mosaic phenotype characterized by aberrant proliferation of melanophores and xanthophores. Additionally, a significant proliferation of xanthophores was observed using spontaneous green fluorescence. The control group exhibited the absence of this phenotype in WT tadpoles. A total of eight such tadpoles were observed at this stage. c Compared to the control group of WT tadpoles, the F1 generation mitf-BRAFV600E tadpoles at stage 46 were observed and found to exhibit EGFP signals. d, e Immunofluorescence analysis was performed on three tail samples obtained from three stage 56 mitf-BRAFV600E tadpoles from the F1 generation. Every sample was fixed, embedded, and sectioned into six paraffin slices for the analysis. The results demonstrated co-localization of Tyr and EGFP (d), as well as co-localization of EGFP and MAPK signaling pathway activation (e). The WT control group showed an absence of EGFP signals, and cells with activated MAPK pathway were also scarce. The activation of the MAPK signaling pathway was evidenced by positive fluorescence signal of the antibody-ERK1 + ERK2. The images presented here were representative of the observed results. f A typical photograph of F1 mitf-BRAFV600E tadpoles at stage 54 and the corresponding batch of WT tadpoles was presented. g Compared to a 1-year-old WT frog, a representative image of a 1-year-old cdkn2b+/−;mitf-BRAFV600E frog showed spontaneously formed nevi and xanthophoromas. Scale bar in b, 2 mm; Scale bar in c, 1 mm; Scale bar in d and e, 10 μm; Scale bar in f, 5 mm; Scale bar in g, 1 cm. |
|
|
|
|
|
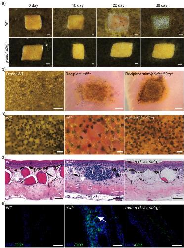
Fig. 8: The mitf/prkdc/il2rg triple-knockout results in the creation of a line of colorless and immunodeficient Xenopus tropicalis. a Three WT and three prkdc−/−/il2rg−/− Xenopus tropicalis aged 6 months were used as transplant recipients. The donors were three tyr−/− Xenopus tropicalis aged 2 years, and their dorsal skins were grafted onto the recipients’ dorsal skin. The grafting outcomes were monitored for a 30-day period post-transplantation. The representative results were presented here and the transplanted donor skins were approximately 5 mm × 5 mm in size. b–e Three mitf−/− and three mitf−/−/prkdc−/−/il2rg−/− Xenopus tropicalis froglets were selected as transplant recipients at the age of two months. The donor skins were obtained from three WT Xenopus tropicalis at the same age and were grafted onto the dorsal skin of the recipients. The transplanted donor skins were approximately 3 mm×3 mm in size, and the WT skin and representative photos of the transplanted donor skins were taken on the 52nd day post-transplantation (b). The magnified view of the corresponding skin in b was shown in c. d The histological structure of the corresponding skin in c was presented through histological examination of 18 paraffin sections from the collected sample, which provided the representative results presented here. e T cell infiltration following skin allografts in mitf−/− and mitf−/−/prkdc−/−/il2rg−/− Xenopus tropicalis. T cells were labeled with the CD3 antibody, and cell nuclei were stained with DAPI. The sample preparation method was the same as for d. Scale bar in a and b, 1 mm; Scale bar in c, 100 μm; Scale bar in d and e, 50 μm. |
|
|
Fig. 9: Allogeneic transplantations of xanthophoromas were conducted in mitf−/−/prkdc−/−/il2rg−/− Xenopus tropicalis, resulting in the observed systemic metastasis of transplanted xanthophoromas in the recipient animals. a At 150 days post-transplantation, xanthophoromas were observed intravitally in both dorsal skin (DS) and ventral skin (VS), and the enlarged views of transplanted xanthophoromas in ellipses 1 and 2 were depicted in 3 and 4, respectively. Xanthophoromas from eight stage 58 cdkn2b−/−;mitf-BRAFV600E tadpoles were transplanted onto the dorsal skin of four WT frogs and four mitf−/−/prkdc−/−/il2rg−/− frogs, which served as the transplant recipients. The transplants were monitored for up to one year. The presented data represented representative results on day 150 post-transplantation, and additional representative observation data are provided in Supplementary Fig. 28. b Metastasized xanthophoroma cells were intravitally observed under fluorescence field conditions in the right thigh of the recipient depicted in panel a. To provide a representative control, intravital observations were also conducted on the right thigh of three 1-year-old mitf−/− frogs that had not undergone xanthophoroma transplantation, using fluorescence field conditions. Control group WT exhibits spontaneous green fluorescence on the dorsal skin of one-year-old Xenopus tropicalis. The scale bar in a is 1 cm. The scale bar in b is 10 μm. |
|
|
Fig. 10: Allogeneic transplantations of melanomas were conducted in mitf−/−/prkdc−/−/il2rg−/− Xenopus tropicalis, resulting in the observed migrations of transplanted melanomas in the recipient animals. a–h At day 40 post-transplantation, the transplanted nevi and metastatic melanoma were examined in mitf−/− (a, c, e, g) and mitf−/−/prkdc−/−/il2rg−/− (b, d, f, h) recipients. The enlarged views of the transplanted nevi and metastatic melanoma were portrayed in panels c and d (red dashed boxes 1 and 2) and g and h (red dashed boxes 3 and 4), respectively. Each scale bar is 1 mm. |
|
|
Fig. 11: Schematic of mitf−/−/prkdc−/−/il2rg−/− Xenopus tropicalis construction. The process revealed the crucial role of mitf in the development of melanophores, xanthophores, and granular glands. The resulting mitf−/−/prkdc−/−/il2rg−/− Xenopus tropicalis is suitable for research on allograft tumor transplantation. |
|
|
|
|
|
|
|
|
|
|
|
|
|
|
References [+] :
Albrecht,
Cell Biology of Canonical Wnt Signaling.
2021, Pubmed
Albrecht, Cell Biology of Canonical Wnt Signaling. 2021, Pubmed
Banach, Tumor immunology viewed from alternative animal models-the Xenopus story. 2017, Pubmed , Xenbase
Banach, Exploring the functions of nonclassical MHC class Ib genes in Xenopus laevis by the CRISPR/Cas9 system. 2017, Pubmed , Xenbase
Bennett, Co-existence of thyrotrophin releasing hormone and 5-hydroxytryptamine in the skin of Xenopus laevis. 1982, Pubmed , Xenbase
Bian, Genome and Transcriptome Sequencing of casper and roy Zebrafish Mutants Provides Novel Genetic Clues for Iridophore Loss. 2020, Pubmed
Brombin, Tfap2b specifies an embryonic melanocyte stem cell that retains adult multifate potential. 2022, Pubmed
Centeno, The journey from melanocytes to melanoma. 2023, Pubmed
Cui, Eccrine sweat gland development and sweat secretion. 2015, Pubmed
D'Agati, A defect in the mitochondrial protein Mpv17 underlies the transparent casper zebrafish. 2017, Pubmed
Daza, Mechanisms of nonhomologous DNA end-joining in frogs, mice and men. 1996, Pubmed , Xenbase
De Robertis, A Brief History of Xenopus in Biology. 2021, Pubmed , Xenbase
Dockray, Caerulein secretion by dermal glands in Xenopus laevis. 1975, Pubmed , Xenbase
Flucher, Skin peptides in Xenopus laevis: morphological requirements for precursor processing in developing and regenerating granular skin glands. 1986, Pubmed , Xenbase
Fukuzawa, A wide variety of Mitf transcript variants are expressed in the Xenopus laevis periodic albino mutant. 2018, Pubmed , Xenbase
Goding, MITF-the first 25 years. 2019, Pubmed
Guo, Efficient RNA/Cas9-mediated genome editing in Xenopus tropicalis. 2014, Pubmed , Xenbase
Haeussler, Evaluation of off-target and on-target scoring algorithms and integration into the guide RNA selection tool CRISPOR. 2016, Pubmed
Harland, In situ hybridization: an improved whole-mount method for Xenopus embryos. 1991, Pubmed , Xenbase
Hearing, Determination of melanin synthetic pathways. 2011, Pubmed
Hellsten, The genome of the Western clawed frog Xenopus tropicalis. 2010, Pubmed , Xenbase
Hirooka, The gastrin-releasing peptide/bombesin system revisited by a reverse-evolutionary study considering Xenopus. 2021, Pubmed , Xenbase
Hnízda, Multicomponent assemblies in DNA-double-strand break repair by NHEJ. 2019, Pubmed
Huanosta-Gutiérrez, TMEM16A alternative splicing isoforms in Xenopus tropicalis: distribution and functional properties. 2014, Pubmed , Xenbase
Ide, Transdifferentiation of amphibian chromatophores. 1986, Pubmed
Kawasaki, Mitf contributes to melanosome distribution and melanophore dendricity. 2008, Pubmed , Xenbase
Kim, MiT Family Transcriptional Factors in Immune Cell Functions. 2021, Pubmed
Kumasaka, Regulation of melanoblast and retinal pigment epithelium development by Xenopus laevis Mitf. 2005, Pubmed , Xenbase
Kumasaka, Isolation and developmental expression of Mitf in Xenopus laevis. 2004, Pubmed , Xenbase
Lencer, Single-cell RNA analysis identifies pre-migratory neural crest cells expressing markers of differentiated derivatives. 2021, Pubmed
Lin, Melanocyte biology and skin pigmentation. 2007, Pubmed
Lister, nacre encodes a zebrafish microphthalmia-related protein that regulates neural-crest-derived pigment cell fate. 1999, Pubmed
Lu, Sweat gland progenitors in development, homeostasis, and wound repair. 2014, Pubmed
Maddin, The anatomy and development of the claws of Xenopus laevis (Lissamphibia: Anura) reveal alternate pathways of structural evolution in the integument of tetrapods. 2009, Pubmed , Xenbase
Martorano, The zebrafish orthologue of the human hepatocerebral disease gene MPV17 plays pleiotropic roles in mitochondria. 2019, Pubmed
Meek, The DNA-dependent protein kinase: the director at the end. 2004, Pubmed
Nakai, Ouro proteins are not essential to tail regression during Xenopus tropicalis metamorphosis. 2016, Pubmed , Xenbase
Nakajima, Generation of translucent Xenopus tropicalis through triple knockout of pigmentation genes. 2023, Pubmed , Xenbase
Nakajima, Generation of no-yellow-pigment Xenopus tropicalis by slc2a7 gene knockout. 2021, Pubmed , Xenbase
Nakayama, no privacy, a Xenopus tropicalis mutant, is a model of human Hermansky-Pudlak Syndrome and allows visualization of internal organogenesis during tadpole development. 2017, Pubmed , Xenbase
Nakayama, Mutations in microphthalmia, the mouse homolog of the human deafness gene MITF, affect neuroepithelial and neural crest-derived melanocytes differently. 1998, Pubmed
Ngeow, BRAF/MAPK and GSK3 signaling converges to control MITF nuclear export. 2018, Pubmed
Osmani, Multiscale Imaging of Metastasis in Zebrafish. 2019, Pubmed
Parichy, An orthologue of the kit-related gene fms is required for development of neural crest-derived xanthophores and a subpopulation of adult melanocytes in the zebrafish, Danio rerio. 2000, Pubmed
Patterson, Zebrafish Pigment Pattern Formation: Insights into the Development and Evolution of Adult Form. 2019, Pubmed
Patton, Melanoma models for the next generation of therapies. 2021, Pubmed
Pittet, Intravital imaging. 2011, Pubmed
Ploper, MITF drives endolysosomal biogenesis and potentiates Wnt signaling in melanoma cells. 2015, Pubmed
Ran, Disruption of tp53 leads to cutaneous nevus and melanoma formation in Xenopus tropicalis. 2022, Pubmed , Xenbase
Renshaw, Modeling inflammation in the zebrafish: how a fish can help us understand lung disease. 2007, Pubmed
Schartl, What is a vertebrate pigment cell? 2016, Pubmed
Schartl, A mutated EGFR is sufficient to induce malignant melanoma with genetic background-dependent histopathologies. 2010, Pubmed
Shibata, Gene expression and localization of two types of AQP5 in Xenopus tropicalis under hydration and dehydration. 2014, Pubmed , Xenbase
Simmaco, Antimicrobial peptides from amphibian skin: what do they tell us? 1998, Pubmed
Spinazzola, MPV17 encodes an inner mitochondrial membrane protein and is mutated in infantile hepatic mitochondrial DNA depletion. 2006, Pubmed
Spolski, The γ c family of cytokines: fine-tuning signals from IL-2 and IL-21 in the regulation of the immune response. 2017, Pubmed
Steingrímsson, Melanocytes and the microphthalmia transcription factor network. 2004, Pubmed
Sumida, The first see-through frog created by breeding: description, inheritance patterns, and dermal chromatophore structure. 2016, Pubmed
Taboada, Glassfrogs conceal blood in their liver to maintain transparency. 2022, Pubmed
Takeda, Ser298 of MITF, a mutation site in Waardenburg syndrome type 2, is a phosphorylation site with functional significance. 2000, Pubmed
Tulkens, Engraftment of Allotransplanted Tumor Cells in Adult rag2 Mutant Xenopus tropicalis. 2022, Pubmed , Xenbase
Weiher, Transgenic mouse model of kidney disease: insertional inactivation of ubiquitously expressed gene leads to nephrotic syndrome. 1990, Pubmed
Wenner, The most transparent research. 2009, Pubmed
White, Transparent adult zebrafish as a tool for in vivo transplantation analysis. 2008, Pubmed
Wu, Zebrafish in Lung Cancer Research. 2023, Pubmed
Yan, Visualizing Engrafted Human Cancer and Therapy Responses in Immunodeficient Zebrafish. 2019, Pubmed
Yasutomi, Electron microscopic study on the xanthophore differentiation in Xenopus laevis, with special reference to their pterinosomes. 1972, Pubmed , Xenbase
Ye, Potential Applications and Perspectives of Humanized Mouse Models. 2022, Pubmed
Zuasti, The melanogenic system of Xenopus laevis. 1998, Pubmed , Xenbase
