|
Fig. 1. Identification of FBP1 and FBP2 as partners of TIA-1 and TIAR
proteins in a yeast two-hybrid assay. pPC97, pPC97-TIA-1or pPC97-TIAR
constructs were introduced in AH109 yeast strain by transformation
together with pPC86, pPC86-FBP1 or pPC86-FBP2. Transformants were
grown in Dropout medium lacking leucine and tryptophan. LacZ reporter
gene expression was measured by b-galactosidase assay. The data are
representative of two independent experiments. Transformed DNAs: (1)
pPC97-NT-PIE8 used as a positive control of reporter gene activation. (2)
pPC97 + pPC86, (3) pPC97 + pPC86-FBP1, (4) pPC97 + pPC86-FBP2,
(5) pPC97-TIA-1 + pPC86, (6) pPC97-TIAR + pPC86, (7) pPC97-TIA-
1 + pPC86-FBP1, (8) pPC97-TIA-1 + pPC86-FBP2, (9) pPC97-TIAR +
pPC86-FBP1, (10) pPC97-TIAR + pPC86-FBP2. |
|
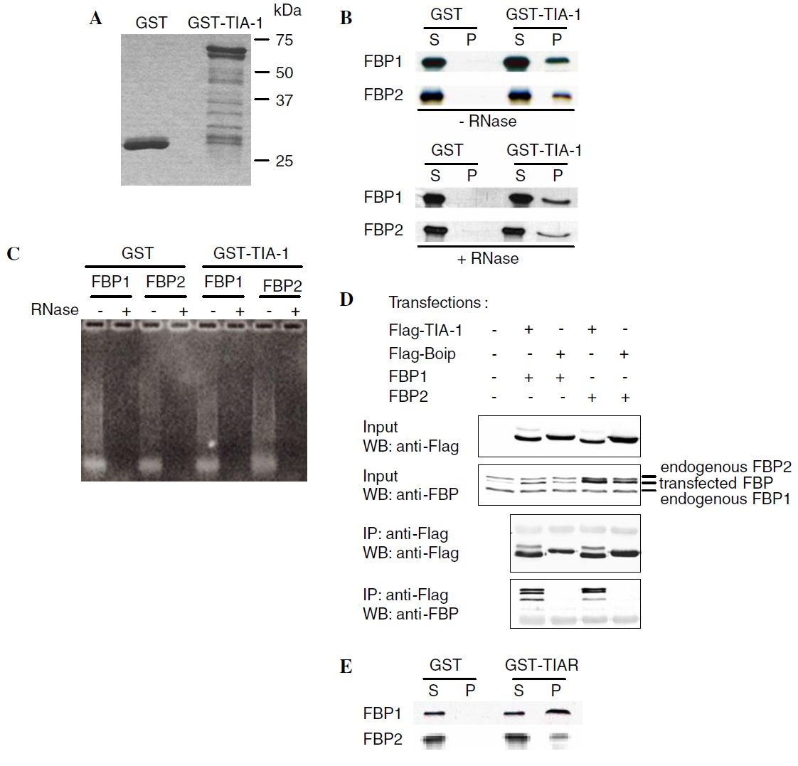
Fig. 2. Interaction of xFBP1 and xFBP2 with xTIA-1 in an in vitro GST pull-down assay and by co-immunoprecipitation. (A) Quantitation of GST and
GST-TIA-1 proteins immobilized on the glutathioneâSepharose beads by SDSâPAGE and Coomassie blue staining. (B) Equivalent amounts of GST and
GST-TIA-1 bound on the glutathioneâSepharose beads were incubated with in vitro translated 35S-labeled FBP1 and FBP2. Pelleted proteins (P) and 1%
of the pull-down supernatants (S) were analyzed by SDSâPAGE and autoradiography. Experiments were performed in the absence or presence of RNAse
A. (C) Verification of the RNAse treatment by agarose gel electrophoresis and ethidium bromide staining of the RNA present in the binding reaction (see
Materials and methods). (D) Co-immunoprecipitation of FBP1 and FBP2 with flag-TIA-1. Cos-7 cells were transiently transfected with DNA constructs
expressing flag-TIA-1 or flag-Boip (control) in combination with FBP1- or FBP2-expressing constructs. Cells were lysed and flag-tagged proteins were
immunoprecipitated with Sepharose beads coupled with M2 anti-flag antibody. Input (Input) and immunoprecipitates (IP) were analyzed by SDSâPAGE
and Western blotting (WB) with anti-flag or anti-FBP antibodies. Transfected DNAs are indicated. The experiments were performed in the absence or
presence (data not shown) of RNAse A in the cell lysate. (E) GST pull-down assay performed with GST-TIAR. The experiment was performed as
described in (B). |
|
Fig. 3. Identification of TIA-1 domains involved in the interactions with FBP1 and FBP2 using the yeast two-hybrid system. (A) Schematic representation
of TIA-1 and various deletion mutants in fusion with the Gal4 DBD. The AH109 yeast strain was transformed with pPC97 TIA-1 or mutant constructs
(prey) together with pPC86 vector, pPC86-FBP1 or pPC86-FBP2 (bait). The expression of TIA-1 and the deletion mutants was verified by Western blot
analysis using the anti-TIA-1 (C-20) except for the C-terminal-deleted mutant which was detected by the cross-reacting anti-TIAR (N-19) antibody. (B)
Protein interactions were measured by evaluating yeast growth after 3 and 6 days on aLeuTrpAde selective medium. |
|
Fig. 4. TIA-1, TIAR, FBP1, and FBP2 are co-expressed during Xenopus
embryogenesis. (A) TIA-1, TIAR, FBP1, and FBP2 temporal expression
patterns were analyzed by RT-PCR. The embryogenesis stages studied are
indicated above each lane. The negative control corresponds to PCR
which has been made without template. Histone H4 was used as internal
control. (B) TIA-1, TIAR, FBP1, and FBP2 spatial expressions were
performed by whole-mount in situ hybridizations. |
|
Fig. 5. (A) Subcellular localization of ECFP-TIA-1, EYFP-FBP1, and EYFP-FBP2 in somatic cells. Cos-7 cells were transiently transfected with pECFPTIA-
1 (red), pEYFP-FBP1, and pEYFP-FBP2 (green) constructs, respectively. Twenty-four hours post-transfection, the cells were fixed and the protein
distribution was analyzed by confocal fluorescence microscopy (left panels). The right panels (DIC) show the differential interference contrast images of
the cells. (B,C) ECFP-TIA-1 co-localizes with EYFP-FBP1 (B) and EYFP-FBP2 (C) in the nucleus of somatic cells. Cos-7 cells were transiently transfected
with pECFP-TIA-1 and pEYFP-FBP1 constructs (B) or with pECFP-TIA-1 and pEYFP-FBP2 constructs (C). Twenty-four hours post-transfection, the
cells were fixed and the protein distribution was analyzed by confocal fluorescence microscopy. The merged images show the perfect co-localization of
ECFP-TIA-1 and EYFP-FBP1 (or EYFP-FBP2) in the nucleus (yellow staining). The profiles reveal the red and green fluorescence intensities along a line
crossing the cell. The bottom right panels (DIC) show the differential interference contrast image of the cells. (For interpretation of the references to colour
in this figure legend, the reader is referred to the web version of this paper.) |
|
Fig. 6. ECFP-TIA-1 and EYFP-FBP fusion proteins co-localize in the nucleus with endogenous FBPs and TIA-1, respectively. Cos-7 cells were transiently
transfected with pECFP-TIA-1 (A), pEYFP-FBP1 (B), and pEYFP-FBP2 (C) constructs. Twenty-four hours after transfection, the cells were fixed,
immunostained with anti-FBP (A) or anti-TIA-1 (B,C) antibodies, and analyzed by confocal microscopy. The EGFP-fusion proteins appear in green and
endogenous proteins in red. The overlay images show the co-localization of the proteins appearing in yellow. (For interpretation of the references to colour
in this figure legend, the reader is referred to the web version of this paper.) |
|
Fig. 7. TIA-1 and FBP1 partially co-localize with Sm antigens present on
snRNP. Cos-7 cells were transiently transfected with pECFP-TIA-1 (red)
and pEYFP-FBP1 (green) constructs. Twenty-four hours post-transfection,
the cells were fixed, stained with anti-Sm antibody (blue) and the
protein distribution was analyzed by confocal fluorescence microscopy
(A). The merged images show the partial co-localization of the proteins.
The profile reveals the red, green, and blue fluorescence intensities along a
line crossing the cell (B). (For interpretation of the references to colour in
this figure legend, the reader is referred to the web version of this paper.) |
|
Fig. 8. FBPs accumulate in stress granules after arsenite treatment. Cos-7
cells were cultured in the absence (A) or presence (B) of arsenite (0.5 mM,
30 min) before immunostaining with anti-TIA-1 or anti-FBP antibodies.
(C) Cos-7 cells were transiently transfected with pEGFP-TIA-1 construct.
Twenty-four hours after transfection, cells were cultured in the presence of
arsenite (0.5 mM, 30 min) before immunostaining with anti-FBP antibody.
EGFP-TIA-1 (green) and FBPs (red) were analyzed by fluorescence
microscopy. Nuclei were detected by DAPI staining. Stress granules are
indicated by arrows. (For interpretation of the references to colour in this
figure legend, the reader is referred to the web version of this paper.) |
|
Fig. 9. The expression of a FBP2 mutant specifically mislocalizes TIA-1 and TIAR in cytoplasmic foci. (A,B) Localization of TIA-1 and TIAR in Cos cells
transfected with EGFP-FBP2-KH3 and EGFP, respectively. Left panels: localization of EGFP-FBP2-KH3 (A) and EGFP (B); middle panels: endogenous
TIA-1 and TIAR; right panels: DAPI staining. (C) Localization of Boip in Cos cells transfected with pEGFP-C2-FBP2-KH3. Left panel, EGFP; middle
panel, Boip; and right panel, DAPI staining. |
|
Fig. 10. (A) Western blot analysis of TIA-1 and FBPs in HeLa and
RAW264.7 macrophage cytosolic extracts. (B) Sequence of TNF AU
riboprobe used in EMSA. The ARE is written in bold and corresponds to
the sequence deleted in TNF DAU probe. (C) EMSA with RAW264.7
cytosolic extract (see Materials and methods). The relative migration of
complex 1 and supershifted complex 1 is indicated on the left. |
|
tia1 (TIA1 cytotoxic granule-associated RNA binding protein) gene expression in Xenopus laevis embryo, assayed via in situ hybridization, NF stage 9, lateral view, animal up. |
|
tia1 (TIA1 cytotoxic granule-associated RNA binding protein) gene expression in Xenopus laevis embryo, assayed via in situ hybridization, NF stage 27, lateral view, anterior right, dorsal up. |
|
tial1 (TIA1 cytotoxic granule-associated RNA binding protein-like 1) gene expression in Xenopus laevis embryo, assayed via in situ hybridization, NF stage 9, lateral view, animal up. |
|
tial1 (TIA1 cytotoxic granule-associated RNA binding protein-like 1) gene expression in Xenopus laevis embryo, assayed via in situ hybridization, NF stage 27, lateral view, anterior right, dorsal up. |