XB-ART-59920
Elife
2023 Jul 14;12. doi: 10.7554/eLife.89160.
Show Gene links
Show Anatomy links
Photoreceptor disc incisures form as an adaptive mechanism ensuring the completion of disc enclosure.
Lewis TR, Phan S, Castillo CM, Kim KY, Coppenrath K, Thomas W, Hao Y, Skiba NP, Horb ME, Ellisman MH, Arshavsky VY.
???displayArticle.abstract???
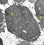
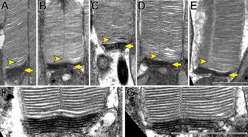
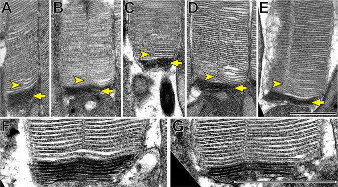
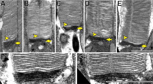
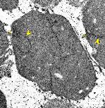
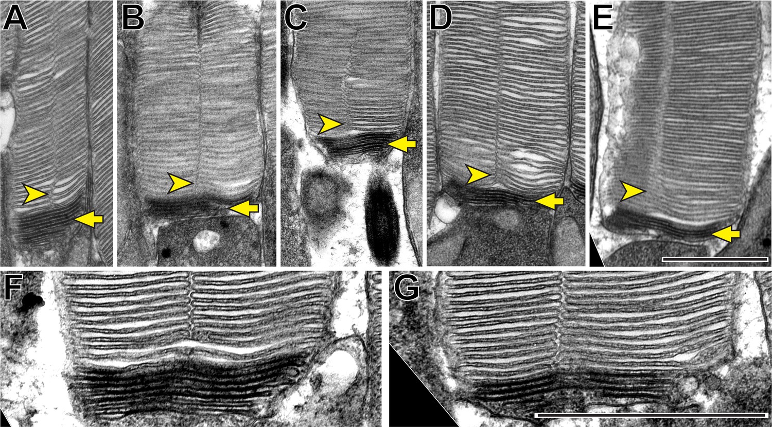
The first steps of vision take place within a stack of tightly packed disc-shaped membranes, or 'discs', located in the outer segment compartment of photoreceptor cells. In rod photoreceptors, discs are enclosed inside the outer segment and contain deep indentations in their rims called 'incisures'. The presence of incisures has been documented in a variety of species, yet their role remains elusive. In this study, we combined traditional electron microscopy with three-dimensional electron tomography to demonstrate that incisures are formed only after discs become completely enclosed. We also observed that, at the earliest stage of their formation, discs are not round as typically depicted but rather are highly irregular in shape and resemble expanding lamellipodia. Using genetically manipulated mice and frogs and measuring outer segment protein abundances by quantitative mass spectrometry, we further found that incisure size is determined by the molar ratio between peripherin-2, a disc rim protein critical for the process of disc enclosure, and rhodopsin, the major structural component of disc membranes. While a high perpherin-2 to rhodopsin ratio causes an increase in incisure size and structural complexity, a low ratio precludes incisure formation. Based on these data, we propose a model whereby normal rods express a modest excess of peripherin-2 over the amount required for complete disc enclosure in order to ensure that this important step of disc formation is accomplished. Once the disc is enclosed, the excess peripherin-2 incorporates into the rim to form an incisure.
???displayArticle.pubmedLink??? 37449984
???displayArticle.pmcLink??? PMC10361718
???displayArticle.link??? Elife
???displayArticle.grants??? [+]
NS120055 NIH HHS , OD010997 NIH HHS , EY033763 NIH HHS , GM82949 NIH HHS , K99 EY033763 NEI NIH HHS , OD030008 NIH HHS , EY030451 NIH HHS , EY005722 NIH HHS , P30 EY005722 NEI NIH HHS , R24 OD030008 NIH HHS , R01 EY030451 NEI NIH HHS , R01 GM082949 NIGMS NIH HHS , U24 NS120055 NINDS NIH HHS , P40 OD010997 NIH HHS
Species referenced: Xenopus tropicalis Xenopus laevis
Genes referenced: prph prph2 prph2l rho rom1
GO keywords: photoreceptor cell development [+]
gRNAs referenced: prph2 gRNA6 prph2 gRNA7
???attribute.lit??? ???displayArticles.show???
References [+] :
Anderson,
The relationship of primate foveal cones to the pigment epithelium.
1979, Pubmed
Anderson, The relationship of primate foveal cones to the pigment epithelium. 1979, Pubmed
Bisegna, Diffusion of the second messengers in the cytoplasm acts as a variability suppressor of the single photon response in vertebrate phototransduction. 2008, Pubmed
Carter-Dawson, Rods and cones in the mouse retina. I. Structural analysis using light and electron microscopy. 1979, Pubmed
Caruso, Modeling the role of incisures in vertebrate phototransduction. 2006, Pubmed
Caruso, Position of rhodopsin photoisomerization on the disk surface confers variability to the rising phase of the single photon response in vertebrate rod photoreceptors. 2020, Pubmed
Chakraborty, Initiation of rod outer segment disc formation requires RDS. 2014, Pubmed
Cheng, The effect of peripherin/rds haploinsufficiency on rod and cone photoreceptors. 1997, Pubmed
Clarke, Rom-1 is required for rod photoreceptor viability and the regulation of disk morphogenesis. 2000, Pubmed
Cohen, Some cytological and initial biochemical observations on photoreceptors in retinas of rds mice. 1983, Pubmed
COHEN, The ultrastructure of the rods of the mouse retina. 1960, Pubmed
Conley, Prph2 initiates outer segment morphogenesis but maturation requires Prph2/Rom1 oligomerization. 2019, Pubmed
Connell, Photoreceptor peripherin is the normal product of the gene responsible for retinal degeneration in the rds mouse. 1991, Pubmed
Ding, Discs of mammalian rod photoreceptors form through the membrane evagination mechanism. 2015, Pubmed
Eckmiller, Microtubules in a rod-specific cytoskeleton associated with outer segment incisures. 2000, Pubmed , Xenbase
Gagnon, Efficient mutagenesis by Cas9 protein-mediated oligonucleotide insertion and large-scale assessment of single-guide RNAs. 2014, Pubmed
Gilliam, Three-dimensional architecture of the rod sensory cilium and its disruption in retinal neurodegeneration. 2012, Pubmed
Goldberg, Molecular basis for photoreceptor outer segment architecture. 2016, Pubmed
Gross, Spatiotemporal cGMP dynamics in living mouse rods. 2012, Pubmed
Hawkins, Development and degeneration of retina in rds mutant mice: photoreceptor abnormalities in the heterozygotes. 1985, Pubmed
Holcman, Longitudinal diffusion in retinal rod and cone outer segment cytoplasm: the consequence of cell structure. 2004, Pubmed
Hughes, Ultrasensitive proteome analysis using paramagnetic bead technology. 2014, Pubmed
Ichikawa, Modeling and analysis of spatio-temporal change in [Ca2+]i in a retinal rod outer segment. 1996, Pubmed
Jansen, Development and degeneration of retina in rds mutant mice: electron microscopy. 1984, Pubmed
Kedzierski, Three homologs of rds/peripherin in Xenopus laevis photoreceptors that exhibit covalent and non-covalent interactions. 1996, Pubmed , Xenbase
Lem, Morphological, physiological, and biochemical changes in rhodopsin knockout mice. 1999, Pubmed
Lewis, Photoreceptor Disc Enclosure Is Tightly Controlled by Peripherin-2 Oligomerization. 2021, Pubmed
Lewis, The F220C and F45L rhodopsin mutations identified in retinitis pigmentosa patients do not cause pathology in mice. 2020, Pubmed
Liang, Rhodopsin signaling and organization in heterozygote rhodopsin knockout mice. 2004, Pubmed
Lyubarsky, From candelas to photoisomerizations in the mouse eye by rhodopsin bleaching in situ and the light-rearing dependence of the major components of the mouse ERG. 2004, Pubmed
Makino, Rhodopsin expression level affects rod outer segment morphology and photoresponse kinetics. 2012, Pubmed
Mattapallil, The Rd8 mutation of the Crb1 gene is present in vendor lines of C57BL/6N mice and embryonic stem cells, and confounds ocular induced mutant phenotypes. 2012, Pubmed
Milstein, An inducible amphipathic helix within the intrinsically disordered C terminus can participate in membrane curvature generation by peripherin-2/rds. 2017, Pubmed , Xenbase
Milstein, Multistep peripherin-2/rds self-assembly drives membrane curvature for outer segment disk architecture and photoreceptor viability. 2020, Pubmed , Xenbase
Moreno-Mateos, CRISPRscan: designing highly efficient sgRNAs for CRISPR-Cas9 targeting in vivo. 2015, Pubmed , Xenbase
Nickell, Three-dimensional architecture of murine rod outer segments determined by cryoelectron tomography. 2007, Pubmed
NILSSON, THE ULTRASTRUCTURE OF THE RECEPTOR OUTER SEGMENTS IN THE RETINA OF THE LEOPARD FROG (RANA PIPIENS). 1965, Pubmed
Nour, Modulating expression of peripherin/rds in transgenic mice: critical levels and the effect of overexpression. 2004, Pubmed
Phan, 3D reconstruction of biological structures: automated procedures for alignment and reconstruction of multiple tilt series in electron tomography. 2017, Pubmed
Pittler, PCR analysis of DNA from 70-year-old sections of rodless retina demonstrates identity with the mouse rd defect. 1993, Pubmed
Pöge, Determinants shaping the nanoscale architecture of the mouse rod outer segment. 2021, Pubmed
Price, Rhodopsin gene expression determines rod outer segment size and rod cell resistance to a dominant-negative neurodegeneration mutant. 2012, Pubmed
Roof, Surfaces of rod photoreceptor disk membranes: integral membrane components. 1982, Pubmed
Roof, Cytoskeletal specializations at the rod photoreceptor distal tip. 1991, Pubmed
Salinas, Photoreceptor discs form through peripherin-dependent suppression of ciliary ectosome release. 2017, Pubmed
Sanyal, Development and degeneration of retina in rds mutant mice: observations in chimaeras of heterozygous mutant and normal genotype. 1986, Pubmed
Sanyal, Development and degeneration of retina in rds mutant mice: effects of light on the rate of degeneration in albino and pigmented homozygous and heterozygous mutant and normal mice. 1986, Pubmed
SJOSTRAND, The ultrastructure of the outer segments of rods and cones of the eye as revealed by the electron microscope. 1953, Pubmed
Skiba, Absolute Quantification of Photoreceptor Outer Segment Proteins. 2023, Pubmed
Spencer, Photoreceptor disc membranes are formed through an Arp2/3-dependent lamellipodium-like mechanism. 2019, Pubmed
Spencer, Photoreceptor Discs: Built Like Ectosomes. 2020, Pubmed
Steinberg, Clefts and microtubules of photoreceptor outer segments in the retina of the domestic cat. 1975, Pubmed
Steinberg, Disc morphogenesis in vertebrate photoreceptors. 1980, Pubmed
Stuck, The Y141C knockin mutation in RDS leads to complex phenotypes in the mouse. 2014, Pubmed
Stuck, PRPH2/RDS and ROM-1: Historical context, current views and future considerations. 2016, Pubmed
Tam, The C terminus of peripherin/rds participates in rod outer segment targeting and alignment of disk incisures. 2004, Pubmed , Xenbase
Travis, The retinal degeneration slow (rds) gene product is a photoreceptor disc membrane-associated glycoprotein. 1991, Pubmed
van Nie, A new H-2-linked mutation, rds, causing retinal degeneration in the mouse. 1978, Pubmed
Volland, Three-dimensional organization of nascent rod outer segment disk membranes. 2015, Pubmed
Wen, The doublet microtubules of rods of the rabbit retina. 1982, Pubmed
Wen, Overexpression of rhodopsin alters the structure and photoresponse of rod photoreceptors. 2009, Pubmed
Young, Shedding of discs from rod outer segments in the rhesus monkey. 1971, Pubmed
Zulliger, Oligomerization of Prph2 and Rom1 is essential for photoreceptor outer segment formation. 2018, Pubmed
