XB-ART-59694
Mol Biol Cell
2023 Jun 01;347:ar64. doi: 10.1091/mbc.E22-09-0411.
Show Gene links
Show Anatomy links
The RhoGEF protein Plekhg5 regulates medioapical and junctional actomyosin dynamics of apical constriction during Xenopus gastrulation.
???displayArticle.abstract???
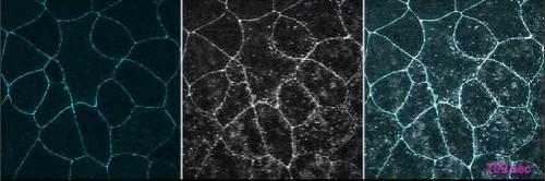
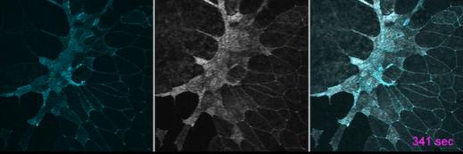
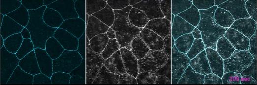
Apical constriction results in apical surface reduction in epithelial cells and is a widely used mechanism for epithelial morphogenesis. Both medioapical and junctional actomyosin remodeling are involved in apical constriction, but the deployment of medial versus junctional actomyosin and their genetic regulation in vertebrate embryonic development have not been fully described. In this study, we investigate actomyosin dynamics and their regulation by the RhoGEF protein Plekhg5 in Xenopus bottle cells. Using live imaging and quantitative image analysis, we show that bottle cells assume different shapes, with rounding bottle cells constricting earlier in small clusters followed by fusiform bottle cells forming between the clusters. Both medioapical and junctional actomyosin signals increase as surface area decreases, though correlation of apical constriction with medioapical actomyosin localization appears to be stronger. F-actin bundles perpendicular to the apical surface form in constricted cells, which may correspond to microvilli previously observed in the apical membrane. Knockdown of plekhg5 disrupts medioapical and junctional actomyosin activity and apical constriction but does not affect initial F-actin dynamics. Taking the results together, our study reveals distinct cell morphologies, uncovers actomyosin behaviors, and demonstrates the crucial role of a RhoGEF protein in controlling actomyosin dynamics during apical constriction of bottle cells in Xenopus gastrulation.
???displayArticle.pubmedLink??? 37043306
???displayArticle.pmcLink??? PMC10295481
???displayArticle.link??? Mol Biol Cell
???displayArticle.grants??? [+]
Species referenced: Xenopus laevis
Genes referenced: plekhg5 utrn
GO keywords: apical constriction [+]
???attribute.lit??? ???displayArticles.show???
References [+] :
Aigouy,
EPySeg: a coding-free solution for automated segmentation of epithelia using deep learning.
2020, Pubmed
Aigouy, EPySeg: a coding-free solution for automated segmentation of epithelia using deep learning. 2020, Pubmed
Aigouy, Cell flow reorients the axis of planar polarity in the wing epithelium of Drosophila. 2010, Pubmed
Aigouy, Segmentation and Quantitative Analysis of Epithelial Tissues. 2016, Pubmed
An, Apical constriction is driven by a pulsatile apical myosin network in delaminating Drosophila neuroblasts. 2017, Pubmed
Anderson, Polarization of the C. elegans embryo by RhoGAP-mediated exclusion of PAR-6 from cell contacts. 2008, Pubmed
Baldwin, Global analysis of cell behavior and protein dynamics reveals region-specific roles for Shroom3 and N-cadherin during neural tube closure. 2022, Pubmed , Xenbase
Baldwin, In vivo high-content imaging and regression analysis reveal non-cell autonomous functions of Shroom3 during neural tube closure. 2022, Pubmed , Xenbase
Barrett, The Rho GTPase and a putative RhoGEF mediate a signaling pathway for the cell shape changes in Drosophila gastrulation. 1997, Pubmed
Bement, A novel cytoskeletal structure involved in purse string wound closure and cell polarity maintenance. 1993, Pubmed
Blanchard, Cytoskeletal dynamics and supracellular organisation of cell shape fluctuations during dorsal closure. 2010, Pubmed
Booth, A dynamic microtubule cytoskeleton directs medial actomyosin function during tube formation. 2014, Pubmed
Burkel, Versatile fluorescent probes for actin filaments based on the actin-binding domain of utrophin. 2007, Pubmed , Xenbase
Chan, Mechanisms of CDC-42 activation during contact-induced cell polarization. 2013, Pubmed
Chanet, Actomyosin meshwork mechanosensing enables tissue shape to orient cell force. 2017, Pubmed
Choi, The involvement of lethal giant larvae and Wnt signaling in bottle cell formation in Xenopus embryos. 2009, Pubmed , Xenbase
Christodoulou, Cell-Autonomous Ca(2+) Flashes Elicit Pulsed Contractions of an Apical Actin Network to Drive Apical Constriction during Neural Tube Closure. 2015, Pubmed , Xenbase
Chung, Uncoupling apical constriction from tissue invagination. 2017, Pubmed
Das, The interaction between Shroom3 and Rho-kinase is required for neural tube morphogenesis in mice. 2014, Pubmed
Goldstein, Caenorhabditis elegans Gastrulation: A Model for Understanding How Cells Polarize, Change Shape, and Journey Toward the Center of an Embryo. 2020, Pubmed , Xenbase
Häcker, DRhoGEF2 encodes a member of the Dbl family of oncogenes and controls cell shape changes during gastrulation in Drosophila. 1998, Pubmed
Hardin, The behaviour and function of bottle cells during gastrulation of Xenopus laevis. 1988, Pubmed , Xenbase
Itoh, GEF-H1 functions in apical constriction and cell intercalations and is essential for vertebrate neural tube closure. 2014, Pubmed , Xenbase
Jodoin, Stable Force Balance between Epithelial Cells Arises from F-Actin Turnover. 2015, Pubmed
Kamran, In vivo imaging of epithelial wound healing in the cnidarian Clytia hemisphaerica demonstrates early evolution of purse string and cell crawling closure mechanisms. 2017, Pubmed
Keller, An experimental analysis of the role of bottle cells and the deep marginal zone in gastrulation of Xenopus laevis. 1981, Pubmed , Xenbase
Kiehart, Cell Sheet Morphogenesis: Dorsal Closure in Drosophila melanogaster as a Model System. 2017, Pubmed
Ko, Microtubules promote intercellular contractile force transmission during tissue folding. 2019, Pubmed
Kurth, A cell cycle arrest is necessary for bottle cell formation in the early Xenopus gastrula: integrating cell shape change, local mitotic control and mesodermal patterning. 2005, Pubmed , Xenbase
Kurth, Bottle cell formation in relation to mesodermal patterning in the Xenopus embryo. 2000, Pubmed , Xenbase
Lang, p120-catenin-dependent junctional recruitment of Shroom3 is required for apical constriction during lens pit morphogenesis. 2014, Pubmed
Le, Regulation of apical constriction via microtubule- and Rab11-dependent apical transport during tissue invagination. 2021, Pubmed
Lee, The shroom family proteins play broad roles in the morphogenesis of thickened epithelial sheets. 2009, Pubmed , Xenbase
Lee, Shroom family proteins regulate gamma-tubulin distribution and microtubule architecture during epithelial cell shape change. 2007, Pubmed , Xenbase
Lee, Mechanisms of cell positioning during C. elegans gastrulation. 2003, Pubmed
Lee, Actomyosin contractility and microtubules drive apical constriction in Xenopus bottle cells. 2007, Pubmed , Xenbase
Lee, Endocytosis is required for efficient apical constriction during Xenopus gastrulation. 2010, Pubmed , Xenbase
Mack, The interdependence of the Rho GTPases and apicobasal cell polarity. 2014, Pubmed
Marston, MRCK-1 Drives Apical Constriction in C. elegans by Linking Developmental Patterning to Force Generation. 2016, Pubmed
Martin, Apical constriction: themes and variations on a cellular mechanism driving morphogenesis. 2014, Pubmed
Martin, Pulsed contractions of an actin-myosin network drive apical constriction. 2009, Pubmed
Mason, Apical domain polarization localizes actin-myosin activity to drive ratchet-like apical constriction. 2013, Pubmed
Massarwa, Apical secretion in epithelial tubes of the Drosophila embryo is directed by the Formin-family protein Diaphanous. 2009, Pubmed
Mulinari, DRhoGEF2 and diaphanous regulate contractile force during segmental groove morphogenesis in the Drosophila embryo. 2008, Pubmed
Nakajima, Lulu2 regulates the circumferential actomyosin tensile system in epithelial cells through p114RhoGEF. 2011, Pubmed
Nakajima, The circumferential actomyosin belt in epithelial cells is regulated by the Lulu2-p114RhoGEF system. 2012, Pubmed
Narumiya, Rho signaling, ROCK and mDia1, in transformation, metastasis and invasion. 2009, Pubmed
Ngok, Rho GEFs in endothelial junctions: Effector selectivity and signaling integration determine junctional response. 2013, Pubmed
Nikolaidou, A Rho GTPase signaling pathway is used reiteratively in epithelial folding and potentially selects the outcome of Rho activation. 2004, Pubmed
Ossipova, Vangl2 cooperates with Rab11 and Myosin V to regulate apical constriction during vertebrate gastrulation. 2015, Pubmed , Xenbase
Plageman, A Trio-RhoA-Shroom3 pathway is required for apical constriction and epithelial invagination. 2011, Pubmed
Popov, The RhoGEF protein Plekhg5 regulates apical constriction of bottle cells during gastrulation. 2018, Pubmed , Xenbase
Rogers, Drosophila RhoGEF2 associates with microtubule plus ends in an EB1-dependent manner. 2004, Pubmed
Roh-Johnson, Triggering a cell shape change by exploiting preexisting actomyosin contractions. 2012, Pubmed
Rousso, Apical targeting of the formin Diaphanous in Drosophila tubular epithelia. 2013, Pubmed
Sawyer, Apical constriction: a cell shape change that can drive morphogenesis. 2010, Pubmed , Xenbase
Schindelin, Fiji: an open-source platform for biological-image analysis. 2012, Pubmed
Simões, Rho GTPase and Shroom direct planar polarized actomyosin contractility during convergent extension. 2014, Pubmed
Simões, Myosin II promotes the anisotropic loss of the apical domain during Drosophila neuroblast ingression. 2017, Pubmed
Stephenson, Rho Flares Repair Local Tight Junction Leaks. 2019, Pubmed , Xenbase
Wei, Conditional expression of a truncated fragment of nonmuscle myosin II-A alters cell shape but not cytokinesis in HeLa cells. 2000, Pubmed
Yano, A microtubule-LUZP1 association around tight junction promotes epithelial cell apical constriction. 2021, Pubmed
