Click here to close
Hello! We notice that you are using Internet Explorer, which is not supported by Xenbase and may cause the site to display incorrectly.
We suggest using a current version of Chrome,
FireFox, or Safari.
Figure 1. Construction of the intermittent hypoxia exposure model. (a) DO concentration and survival time in the rearing water. (b) Schematic diagram of the intermittent hypoxia exposure model. The horizontal axis shows the concentration of DO in the water, while the vertical axis shows the survival time. Each bar represents the mean, and the error bars represent the standard errors. The number of individuals used in each group was as follows: DO concentration (2.5 mg/L), n = 3; DO concentration (2.5–3.5 mg/L), n = 5; DO concentration (3.5–4.5 mg/L), n = 4; DO concentration (4.5–5 .5 mg/L), n = 3. N.S.: not significant (vs. the 2.5 mg/L group). DO: dissolved oxygen
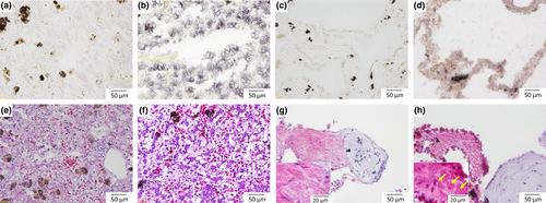
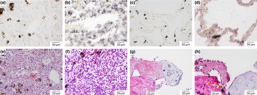
Figure 2. Immunostaining (a–d) and HE-staining (e–h) images of the normal group (a, c, e, and g) and the six-cycle-diving group (b, d, f, and h). Images of the liver (a, b, e, and f) and lung (c, d, g, and h) sections are shown. Pimonidazole-positive cells appear bluish purple. Yellow arrows indicate regions that are strongly stained with eosin; these represent edema-like features, such as the swelling of cells and stroma
Figure 3. Quantification of oxidative stress in the lung (a) and liver (b). Dry-to-wet weight ratios in the lung (c) and liver (d). Five individuals in each group were tested; bars indicate mean values, while error bars indicate the standard error.* p < .05 (vs. the normal group). N.S.: not significant (vs. normal group)