Click here to close
Hello! We notice that you are using Internet Explorer, which is not supported by Xenbase and may cause the site to display incorrectly.
We suggest using a current version of Chrome,
FireFox, or Safari.
Cell Biosci
2023 Feb 13;131:29. doi: 10.1186/s13578-023-00982-z.
Show Gene links
Show Anatomy links
Echocardiographic assessment of Xenopus tropicalis heart regeneration.
Lv L, Guo W, Guan W, Chen Y, Huang R, Yuan Z, Pu Q, Feng S, Zheng X, Li Y, Xiao L, Zhao H, Qi X, Cai D.
???displayArticle.abstract???
BACKGROUND: Recently, it was reported that the adult X. tropicalis heart can regenerate in a nearly scar-free manner after injury via apical resection. Thus, a cardiac regeneration model in adult X. tropicalis provides a powerful tool for recapitulating a perfect regeneration phenomenon, elucidating the underlying molecular mechanisms of cardiac regeneration in an adult heart, and developing an interventional strategy for the improvement in the regeneration of an adult heart, which may be more applicable in mammals than in species with a lower degree of evolution. However, a noninvasive and rapid real-time method that can observe and measure the long-term dynamic change in the regenerated heart in living organisms to monitor and assess the regeneration and repair status in this model has not yet been established.
RESULTS: In the present study, the methodology of echocardiographic assessment to characterize the morphology, anatomic structure and cardiac function of injured X. tropicalis hearts established by apex resection was established. The findings of this study demonstrated for the first time that small animal echocardiographic analysis can be used to assess the regeneration of X. tropicalis damaged heart in a scar-free perfect regeneration or nonperfect regeneration with adhesion manner via recovery of morphology and cardiac function.
CONCLUSIONS: Small animal echocardiography is a reliable, noninvasive and rapid real-time method for observing and assessing the long-term dynamic changes in the regeneration of injured X. tropicalis hearts.
Fig. 1 The morphology and anatomy of the X. tropicalis heart can be observed clearly using small animal echocardiography A: The cardiac images are obtained from the parasternal long-axis of X. tropicalis using small animal echocardiography. B: Representative image of the subcostal 3-chamber view of the X. tropicalis heart under B-mode echocardiography. Ventricle (V). Right atrium (R). Left atrium (L). Atrial septum (dashed line). C: Diagram showing the diastole end ventricular girth (dashed line). D: Diagram showing the diastole end ventricular length (a to b) and diastole end ventricular width (c to d). E: Representative image of pulsed-wave Doppler of the ventricle for hemodynamic analysis. Assessed area (dotted rectangle). F: Measurement of peak blood flow velocity and blood flow acceleration of the ventricle. Assessed area (dotted rectangle)
Fig. 3 Echocardiographic imaging can monitor regeneration of X. tropicalis injured hearts in a scar-free manner. A: Representative echocardiography image of the same-age nonapical resection group under B-mode. B: Representative image 5 days after apical resection. The damaged heart with a missing apex (left side of the dashed line) was clearly identified under echocardiography. C: Representative image 10 days after apical resection. D: Representative image 30 days after apical resection. E: Representative image 45 days after apical resection. The regeneration of the injured heart was able to be monitored and justified dynamically by the recovery of morphology and anatomic structure under echocardiographic imaging at 5 days, 10 days, 30 days and 45 days after apical resection. The boundary between the apical region of the regenerated heart and the surrounding tissue was clear, and no adhesion with the surrounding tissue was found at 30 days and 45 days after apical resection. Red arrow: Area of the boundary between the apical region of the regenerated heart and the surrounding tissue. Dashed line: Boundary of the regeneration zone and noninjury zone
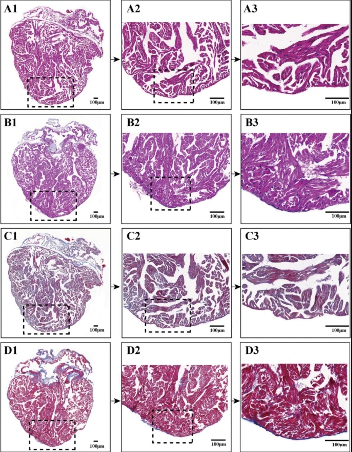
Fig. 4 Echocardiographic measurement and ex vivo gross observation confirm regeneration of the X. tropicalis injured heart in a scar-free manner. A and B: The diastole end ventricular length and the diastole end ventricular area of the injured heart group in the 5-daar group were significantly shorter than those of the same-age nonapical resection control group. The differences in the diastole end ventricular length and diastole end ventricular area of the injured heart group in the 45-daar group compared with the same-age nonapical resection control group were not statistically significant. C and D: The diastole end ventricular length and the diastole end ventricular area of the injured heart group were increased in the 10-daar, 30-daar and 45-daar hearts. At 30 daar, they were close to the same-age nonapical resection control group, while at 45 daar, the diastole end ventricular length and the diastole end ventricular area of the injured heart group were nearly the same compared with the same-age nonapical resection control group. E: The ejection fraction (EF) of the injured heart group at 5 daar was decreased significantly compared with the same-age nonapical resection control group. The difference in EF between the injured heart group and the same-age nonapical resection control group at 45 daar was not statistically significant. F: The EF of the injured heart was increased at 10 daar, 30 daar and 45 daar. At 30 daar, it was close to the same-age nonapical resection control group, while at 45 daar, the EF of the injured heart group was nearly the same compared with the same-age nonapical resection control group. G: Ex vivo gross observation of the regenerated X. tropicalis heart at 45 daar, in which echocardiography observation showed that the injured heart was regenerated with no adhesion and was scar-free. G-g1: Representative image of the regenerated X. tropicalis heart at 45 daar after in vivo exposure. G-g2: The front side image of the isolated regenerated heart of G-g1. G-g3: Image of the dorsal side of the isolated regenerated heart of G-g1. G-g4: Apical side image of the isolated regenerated heart of G-g1. Ex vivo gross observation confirmed that the cut apex was regenerated with nearly normal morphology, in which the boundary between the apical region of the regenerated heart and the surrounding tissue was clear, and no adhesion with the surrounding tissue was found. 5 daar: 5 days after apical resection
Fig. 5 Echocardiographic imaging can monitor nonperfect regeneration with the adhesion of X. tropicalis injured hearts. A: Representative echocardiography image of the same-age nonapical resection group under B-mode. B: Representative echocardiographic image of the injured heart at 5 daar, in which adhesion was identified at the boundary between the apical region of the regenerated heart and the surrounding tissue. C: Representative echocardiographic image of the injured heart at 10 daar, in which adhesion was identified at the boundary between the apical region of the regenerated heart and the surrounding tissue. D: Representative echocardiographic image of an injured heart at 30 daar, in which adhesion was identified at the boundary between the apical region of the regenerated heart and the surrounding tissue. E: Representative echocardiographic image of the injured heart at 45 daar, in which adhesion was identified at the boundary between the apical region of the regenerated heart and the surrounding tissue. Yellow arrow: The adhesion between the apical region of the regenerated heart and the surrounding tissue. F: Ex vivo gross observation of the regenerated X. tropicalis heart at 45 daar, in which echocardiography observation showed that the injured heart was regenerated with nonperfect regeneration with adhesion. F-f1: Representative image of the regenerated X. tropicalis heart at 45 daar after in vivo exposure. White arrow: Adhesion tissue. F-f2: Front side image of the isolated heart of F-f1. F-f3: Image of the dorsal side of the isolated heart of F-f1. F-f4: Apical side image of the isolated heart of F-f1. Black arrow: A defect after the adhesion tissue was cleaned during heart isolation. Ex vivo gross observation confirmed that the cut apex was regenerated in a nonperfect manner with adhesion, in which the boundary between the apical region of the regenerated heart and the surrounding tissue was connected to adhesion tissue. 5 daar: 5 days after apical resection
Bartlett,
Echocardiographic assessment of cardiac morphology and function in Xenopus.
2010, Pubmed,
Xenbase
Bartlett,
Echocardiographic assessment of cardiac morphology and function in Xenopus.
2010,
Pubmed
,
Xenbase Boppart,
Noninvasive assessment of the developing Xenopus cardiovascular system using optical coherence tomography.
1997,
Pubmed
,
Xenbase Collins,
Use of echocardiography for the phenotypic assessment of genetically altered mice.
2003,
Pubmed Hein,
Advanced echocardiography in adult zebrafish reveals delayed recovery of heart function after myocardial cryoinjury.
2015,
Pubmed Hellsten,
The genome of the Western clawed frog Xenopus tropicalis.
2010,
Pubmed
,
Xenbase Hiraishi,
Two-dimensional echocardiographic assessment of right ventricular volume in children with congenital heart disease.
1982,
Pubmed Ho,
Assessment of zebrafish cardiac performance using Doppler echocardiography and power angiography.
2002,
Pubmed Hoit,
New approaches to phenotypic analysis in adult mice.
2001,
Pubmed Kanno,
Echocardiographic evaluation of ventricular remodeling in a mouse model of myocardial infarction.
2002,
Pubmed Kashiwagi,
Xenopus tropicalis: an ideal experimental animal in amphibia.
2010,
Pubmed
,
Xenbase Liao,
Heart regeneration in adult Xenopus tropicalis after apical resection.
2017,
Pubmed
,
Xenbase Miyake,
Retinal stem/progenitor cells in the ciliary marginal zone complete retinal regeneration: a study of retinal regeneration in a novel animal model.
2014,
Pubmed
,
Xenbase Muñoz,
Bone regeneration after traumatic skull injury in Xenopus tropicalis.
2018,
Pubmed
,
Xenbase Respress,
Transthoracic echocardiography in mice.
2010,
Pubmed Showell,
The western clawed frog (Xenopus tropicalis): an emerging vertebrate model for developmental genetics and environmental toxicology.
2009,
Pubmed
,
Xenbase Sun,
In vivo cardiac imaging of adult zebrafish using high frequency ultrasound (45-75 MHz).
2008,
Pubmed Tanaka,
Transthoracic echocardiography in models of cardiac disease in the mouse.
1996,
Pubmed Wang,
Evolutionary divergence in tail regeneration between Xenopus laevis and Xenopus tropicalis.
2021,
Pubmed Wu,
Fosl1 is vital to heart regeneration upon apex resection in adult Xenopus tropicalis.
2021,
Pubmed
,
Xenbase