Click here to close
Hello! We notice that you are using Internet Explorer, which is not supported by Xenbase and may cause the site to display incorrectly.
We suggest using a current version of Chrome,
FireFox, or Safari.
Exposure to fluoride induces apoptosis in the liver, kidney, and heart of Xenopus laevis by regulating the Caspase-8/3 signaling pathway.
Wang S, Ning H, Hua L, Ren F, Chen L, Ma Z, Li R, Ge Y, Yin Z.
???displayArticle.abstract???
Fluoride compounds are abundant and widely distributed in the environment at various concentrations, which can seriously injure the human body. In this study, we aim to evaluate the effects of excessive fluoride exposure on the liver, kidney, and heart tissues of healthy female Xenopus laevis by administering NaF (0, 100, and 200 mg/L) in drinking water for 90 days. The expression level of procaspase-8, cleaved-caspase-8, and procaspase-3 proteins were determined by Western blot. Compared with the control group, the group exposed to NaF exhibited expression levels of procaspase-8, cleaved-caspase-8, and procaspase-3 proteins that were considerably upregulated at a concentration of 200 mg/L in the liver and kidney. The cleaved-caspase-8 protein expression in the group exposed to a high concentration of NaF was lower than that in the control group in heart. Histopathological results by hematoxylin and eosin staining showed that excessive NaF exposure caused necrosis of hepatocytes and vacuolization degeneration. Granular degeneration and necrosis in renal tubular epithelial cells were also observed. Moreover, hypertrophy of myocardial cells, atrophy of myocardial fibers and disorder of myocardial fibers were detected. These results demonstrated that NaF-induced apoptosis and the mediated death receptor pathway activation ultimately damaged the liver and kidney tissues. This finding offers a fresh perspective on the effects of F-induced apoptosis in X. laevis.
Fig. 1. Liver histological changes in X. laevis. (a) Control group presents normal hepatocytes. (b) The group exposed to 100mg/L of fluoride showed a transformed hepatocyte morphology and irregular cell arrangement. (c) The liver cell from the group exposed to 200mg/L of fluoride showed disappearing cell structure, obvious granular degeneration, and vacuolar degeneration. Liver cell necrosis was also observed. The red arrows represent the liver cell membrane, whrereas the black arrows represent the melanin particles (H&E staining of renal tissue). Scale bars: 100m (a1-c1), 50m (a2-c2), 20m (a3-c3).
Fig. 2. Expression levels of procaspase 3, procaspase 8 and cleaved-caspase 8 proteins in the liver of X. laevis. The levels of Procaspase 3, Procaspase 8 and cleaved-caspase 8 proteins were assessed in the liver by Western blotting (A). Quantification of each protein level shown in (B, C, D); N=3 independent blots from six X. laevis for each condition. The data are shown as relative changes versus controls. Error bars show SEM, *P<0.05, **P<0.01, ***P<0.001(the mean of each column is compared with the mean of a control column), and ###P<0.001 (the mean of each column is compared with the mean of NaF concentration column).
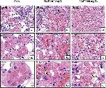
Fig. 3. Kidney histological changes in X. laevis. (a) Control X. laevis presents integrated glomerular and normal kidney tubular. (b) The 100mg/L group indicates renal tubular epithelial cells with hydropic degeneration. (c) The 200mg/L group shows tubular cells with granular and vacuolar degeneration. Necrotic tubular cells, infiltration of inflammatory cells and swelling glomeruli are also observed. In addition, renal tubular cells with interstitial fibrosis and structure damage are detected. The red arrow indicates vacuolation of renal tubular epithelial cells and the black arrow indicates degeneration and necrosis of granulosa cells (H&E staining of renal tissue). Scale bars: 100m (a1-c1), 50m (a2-c2), 20m (a3-c3).
Fig. 4. Expression levels of procaspase 3, procaspase 8 and cleaved-caspase 8 proteins in the kidney of X. laevis. The levels of Procaspase 3, Procaspase 8 and cleaved-caspase 8 proteins were assessed in the kidney by Western blotting (A). Quantification of each protein level is shown in (B, C, D); N=3 independent blots from six X. laevis for each condition. Data are shown as relative changes versus controls. Error bars show SEM, *P<0.05, **P<0.01, ***P<0.001(the mean of each column is compared with the mean of a control column).
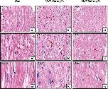
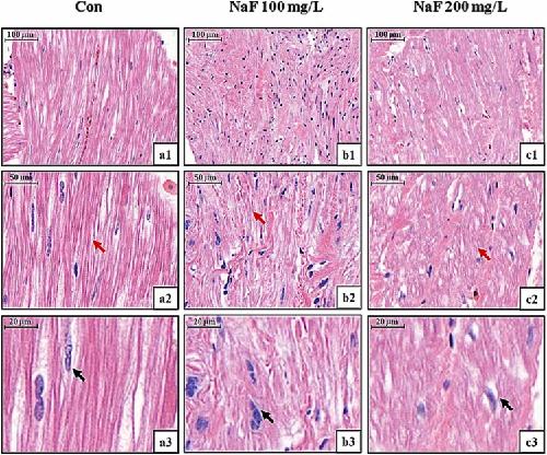
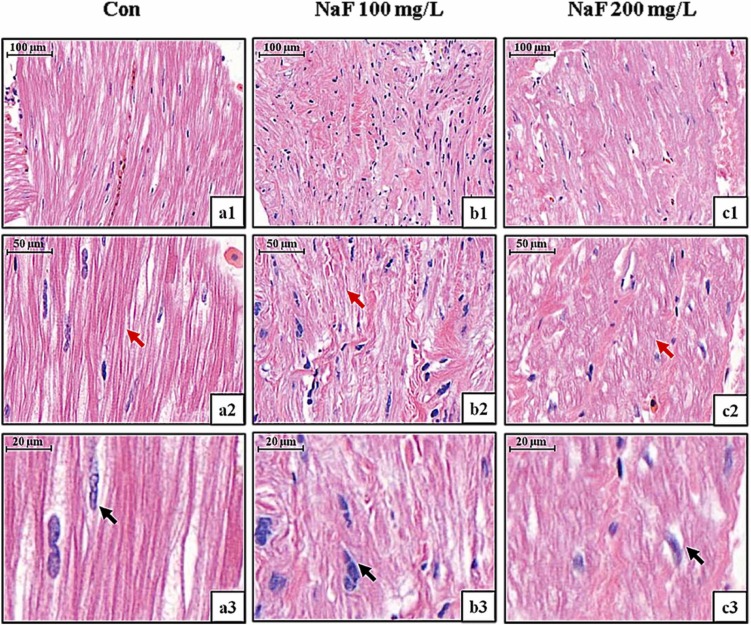
Fig. 5. Heart histological changes in X. laevis. (a) The normal myocardium structure is observed in the control group. (b) In the 100mg/L NaF group, hypertrophy of myocardial cells, proliferation of nuclei, hyperchromatic nucleoli, atrophy of myocardial fibers and deepening of cytoplasmic staining are observed. (c) In the 200mg/L NaF group, cardiomyocyte fibrillation, a large number of cytoplasmic vacuoles, nucleolysis, fibrous agglomeration and interstitial inflammatory infiltration are observed in the myocardium. The red arrow represents cardiac fibrin and the black arrow represents the nucleus. (H&E staining of renal tissue). Scale bars: 100m (a1-c1), 50m (a2-c2), 20m (a3-c3).
Fig. 6. Expression levels of procaspase 3, procaspase 8 and cleaved-caspase 8 proteins in the heart of X laevis. The levels of Procaspase 3, Procaspase 8, and cleaved-caspase 8 proteins are assessed in the myocardial by Western blotting (A). Quantification of each protein levels is shown in (B, C, D); N=3 independent blots from six X. laevis for each condition. Data are shown as relative changes versus controls. Error bars show SEM, *P<0.05, **P<0.01, ***P<0.001(the mean of each column is compared with the mean of a control column), ###P<0.001 (the mean of each column is compared with the mean of NaF concentration column).
Fig. 7. NaF-induced apoptosis in cells through the death receptor pathway that causes liver, kidney, and heart damage. NaF enters the body through the drinking water of X laevis and damages its liver cells, kidney cells and cardiomyocytes. Subsequently, NaF enters the cell membrane by simple diffusion and causes apoptosis in the liver, kidney and heart. The Fasl combination induces Fas to accumulate, thus, joint protein FADD is used to recruit the transferred caspase8. Then, it is activated by the caspase8 oligomerization and by self-catalysis. Activated capsae8 and activated caspase3 are directly cut. Caspase 8 and Caspase 3 are activated, ultimately leading to apoptosis, and damage to the liver, kidney and heart in X laevis.