XB-ART-59462
Front Neuroanat
null;16:1039081. doi: 10.3389/fnana.2022.1039081.
Show Gene links
Show Anatomy links
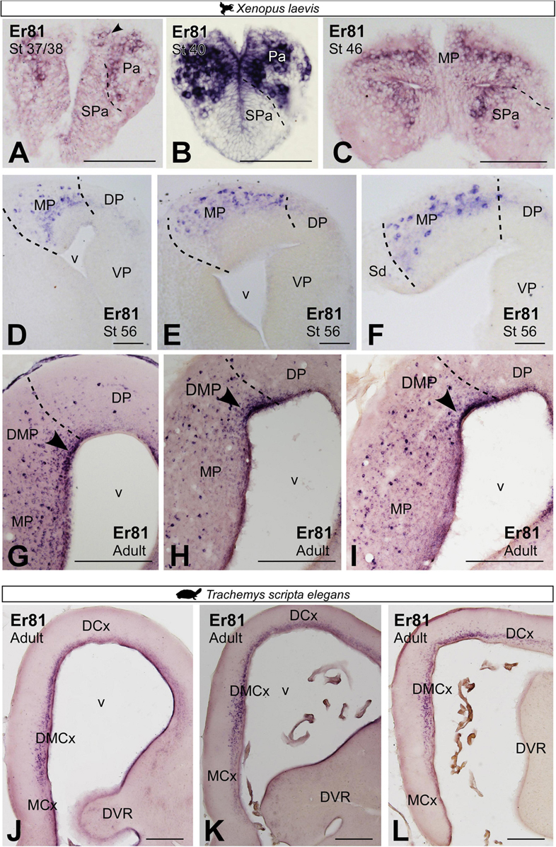
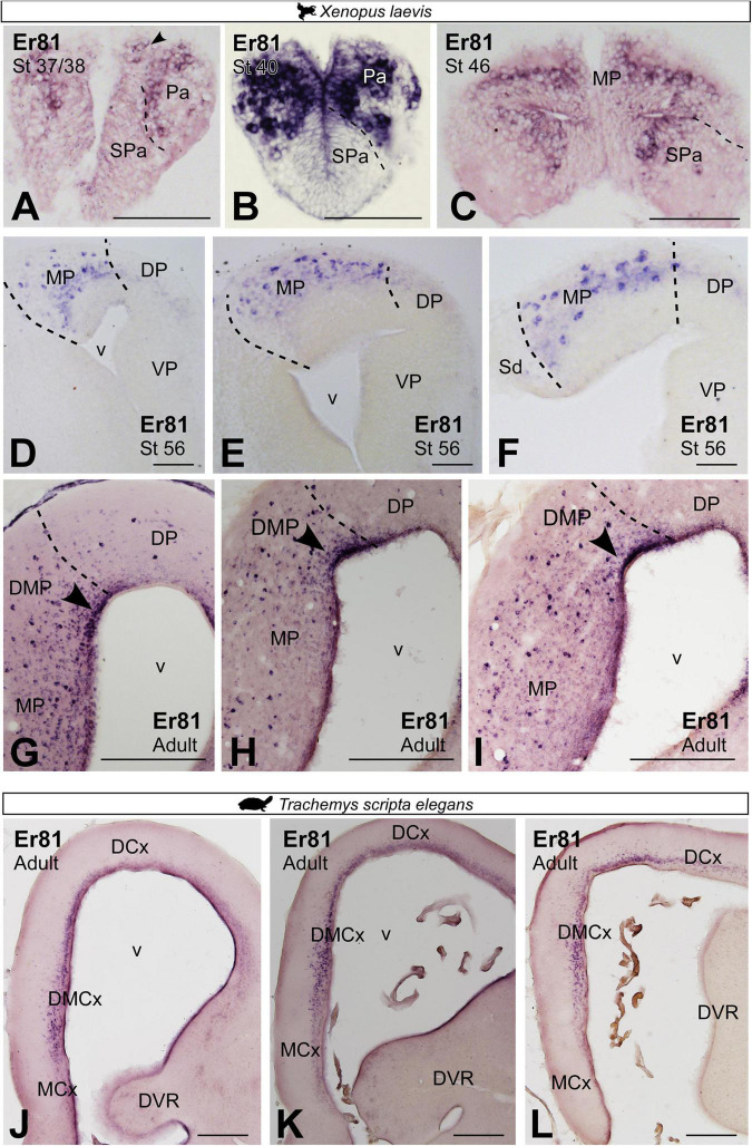
Development of subdomains in the medial pallium of Xenopus laevis and Trachemys scripta: Insights into the anamniote-amniote transition.
Jiménez S, Moreno N.
???displayArticle.abstract???
In all vertebrates, the most dorsal region of the telencephalon gives rise to the pallium, which in turn, is formed by at least four evolutionarily conserved histogenetic domains. Particularly in mammals, the medial pallium generates the hippocampal formation. Although this region is structurally different among amniotes, its functions, attributed to spatial memory and social behavior, as well as the specification of the histogenetic domain, appears to be conserved. Thus, the aim of the present study was to analyze this region by comparative analysis of the expression patterns of conserved markers in two vertebrate models: one anamniote, the amphibian Xenopus laevis; and the other amniote, the turtle Trachemys scripta elegans, during development and in adulthood. Our results show that, the histogenetic specification of both models is comparable, despite significant cytoarchitectonic differences, in particular the layered cortical arrangement present in the turtle, not found in anurans. Two subdivisions were observed in the medial pallium of these species: a Prox1 + and another Er81/Lmo4 +, comparable to the dentate gyrus and the mammalian cornu ammonis region, respectively. The expression pattern of additional markers supports this subdivision, which together with its functional involvement in spatial memory tasks, provides evidence supporting the existence of a basic program in the specification and functionality of the medial pallium at the base of tetrapods. These results further suggest that the anatomical differences found in different vertebrates may be due to divergences and adaptations during evolution.
???displayArticle.pubmedLink??? 36406242
???displayArticle.pmcLink??? PMC9670315
???displayArticle.link??? Front Neuroanat
Species referenced: Xenopus laevis
Genes referenced: cux2 egfr lhx2 lmo4 mef2c pax6 prox1 sox2
???attribute.lit??? ???displayArticles.show???
References [+] :
Abellán,
Combinatorial expression of Lef1, Lhx2, Lhx5, Lhx9, Lmo3, Lmo4, and Prox1 helps to identify comparable subdivisions in the developing hippocampal formation of mouse and chicken.
2014, Pubmed
Abellán, Combinatorial expression of Lef1, Lhx2, Lhx5, Lhx9, Lmo3, Lmo4, and Prox1 helps to identify comparable subdivisions in the developing hippocampal formation of mouse and chicken. 2014, Pubmed
Aboitiz, Genetic and developmental homology in amniote brains. Toward conciliating radical views of brain evolution. 2011, Pubmed
Aboitiz, Origin and evolution of the vertebrate telencephalon, with special reference to the mammalian neocortex. 2007, Pubmed
Aboitiz, Neural progenitors, patterning and ecology in neocortical origins. 2013, Pubmed
Aguirre, Notch and EGFR pathway interaction regulates neural stem cell number and self-renewal. 2010, Pubmed
Alvarez-Buylla, For the long run: maintaining germinal niches in the adult brain. 2004, Pubmed
Atoji, Prox1 mRNA expression in the medial cortex of the turtle (Pseudemys scripta elegans). 2018, Pubmed
Atoji, Fiber connections of the hippocampal formation and septum and subdivisions of the hippocampal formation in the pigeon as revealed by tract tracing and kainic acid lesions. 2004, Pubmed
Atoji, Anatomy of the avian hippocampal formation. 2006, Pubmed
Bachy, A LIM-homeodomain code for development and evolution of forebrain connectivity. 2002, Pubmed
Bachy, Defining pallial and subpallial divisions in the developing Xenopus forebrain. 2002, Pubmed , Xenbase
Bachy, The LIM-homeodomain gene family in the developing Xenopus brain: conservation and divergences with the mouse related to the evolution of the forebrain. 2001, Pubmed , Xenbase
Bienkowski, Integration of gene expression and brain-wide connectivity reveals the multiscale organization of mouse hippocampal networks. 2018, Pubmed
Bingman, Reflections on the Structural-Functional Evolution of the Hippocampus: What Is the Big Deal about a Dentate Gyrus? 2017, Pubmed
Bingman, Hippocampal lesions impair navigational learning in experienced homing pigeons. 1992, Pubmed
Brox, Expression of the genes GAD67 and Distal-less-4 in the forebrain of Xenopus laevis confirms a common pattern in tetrapods. 2003, Pubmed , Xenbase
Brox, Expression of the genes Emx1, Tbr1, and Eomes (Tbr2) in the telencephalon of Xenopus laevis confirms the existence of a ventral pallial division in all tetrapods. 2004, Pubmed , Xenbase
Bulchand, LIM-homeodomain gene Lhx2 regulates the formation of the cortical hem. 2001, Pubmed
Bulchand, Dynamic spatiotemporal expression of LIM genes and cofactors in the embryonic and postnatal cerebral cortex. 2003, Pubmed
Butler, Of Horse-Caterpillars and Homologies: Evolution of the Hippocampus and Its Name. 2017, Pubmed
Cabrera-Socorro, Comparative aspects of p73 and Reelin expression in Cajal-Retzius cells and the cortical hem in lizard, mouse and human. 2007, Pubmed
Clairambault, [Contribution to the structural study of the telencephalon in Ranidae]. 1968, Pubmed
Clinton, Radial glia in the proliferative ventricular zone of the embryonic and adult turtle, Trachemys scripta elegans. 2014, Pubmed
Desfilis, Expression of regulatory genes in the embryonic brain of a lizard and implications for understanding pallial organization and evolution. 2018, Pubmed
Docampo-Seara, Characterization of neurogenic niches in the telencephalon of juvenile and adult sharks. 2020, Pubmed
Docampo-Seara, Expression of radial glial markers (GFAP, BLBP and GS) during telencephalic development in the catshark (Scyliorhinus canicula). 2019, Pubmed
Faltine-Gonzalez, A mosaic of new and old cell types. 2022, Pubmed
Filimonoff, Homologies of the cerebral formations of mammals and reptiles. 1964, Pubmed
Galvez-Contreras, The role of EGFR and ErbB family related proteins in the oligodendrocyte specification in germinal niches of the adult mammalian brain. 2013, Pubmed
Gao, Neurod1 is essential for the survival and maturation of adult-born neurons. 2009, Pubmed
Godbole, Novel functions of LHX2 and PAX6 in the developing telencephalon revealed upon combined loss of both genes. 2017, Pubmed
Gould, How widespread is adult neurogenesis in mammals? 2007, Pubmed
Gray, Mouse brain organization revealed through direct genome-scale TF expression analysis. 2004, Pubmed
Gupta, Forebrain roof plate morphogenesis and hippocampus development in the chick embryo. 2020, Pubmed
Hain, Molecular diversity and evolution of neuron types in the amniote brain. 2022, Pubmed
Hodge, Tbr2 expression in Cajal-Retzius cells and intermediate neuronal progenitors is required for morphogenesis of the dentate gyrus. 2013, Pubmed
Iwano, Prox1 postmitotically defines dentate gyrus cells by specifying granule cell identity over CA3 pyramidal cell fate in the hippocampus. 2012, Pubmed
Jessberger, Directed differentiation of hippocampal stem/progenitor cells in the adult brain. 2008, Pubmed
Jiménez, Analysis of the Expression Pattern of Cajal-Retzius Cell Markers in the Xenopus laevis Forebrain. 2022, Pubmed , Xenbase
Jiménez, Analysis of pallial/cortical interneurons in key vertebrate models of Testudines, Anurans and Polypteriform fishes. 2020, Pubmed , Xenbase
Kahn, Avian hippocampal role in space and content memory. 2009, Pubmed
Karalay, Prospero-related homeobox 1 gene (Prox1) is regulated by canonical Wnt signaling and has a stage-specific role in adult hippocampal neurogenesis. 2011, Pubmed
Kempermann, Milestones of neuronal development in the adult hippocampus. 2004, Pubmed
Kempermann, Neurogenesis in the Adult Hippocampus. 2015, Pubmed
Künzle, The hippocampal continuation (indusium griseum): its connectivity in the hedgehog tenrec and its status within the hippocampal formation of higher vertebrates. 2004, Pubmed
Kuwabara, Wnt-mediated activation of NeuroD1 and retro-elements during adult neurogenesis. 2009, Pubmed
Laberge, Is there a structure equivalent to the mammalian basolateral amygdaloid complex in amphibians? 2007, Pubmed
Laberge, Thalamo-telencephalic pathways in the fire-bellied toad Bombina orientalis. 2008, Pubmed
Lakhina, Seizure evoked regulation of LIM-HD genes and co-factors in the postnatal and adult hippocampus. 2013, Pubmed
Laplante, A neuroanatomical and neurochemical study of the indusium griseum and anterior hippocampal continuation: comparison with dentate gyrus. 2013, Pubmed
Lavado, Prox1 is required for granule cell maturation and intermediate progenitor maintenance during brain neurogenesis. 2010, Pubmed
Lee, A local Wnt-3a signal is required for development of the mammalian hippocampus. 2000, Pubmed
Liu, Loss of BETA2/NeuroD leads to malformation of the dentate gyrus and epilepsy. 2000, Pubmed , Xenbase
Liu, Cognitive Phenotype and Differential Gene Expression in a Hippocampal Homologue in Two Species of Frog. 2020, Pubmed
Lohmann, Animal behaviour: geomagnetic map used in sea-turtle navigation. 2004, Pubmed
López-Mengual, Involvement of Mechanical Cues in the Migration of Cajal-Retzius Cells in the Marginal Zone During Neocortical Development. 2022, Pubmed
Lust, Single-cell analyses of axolotl telencephalon organization, neurogenesis, and regeneration. 2022, Pubmed
Mangale, Lhx2 selector activity specifies cortical identity and suppresses hippocampal organizer fate. 2008, Pubmed
Martínez-Cerdeño, Evolutionary origin of Tbr2-expressing precursor cells and the subventricular zone in the developing cortex. 2016, Pubmed
Mayer, Spatial memory and the avian hippocampus: research in zebra finches. 2013, Pubmed
Medina, Contribution of Genoarchitecture to Understanding Hippocampal Evolution and Development. 2017, Pubmed
Medina, Evolving Views on the Pallium. 2022, Pubmed
Moreno, Pattern of Neurogenesis and Identification of Neuronal Progenitor Subtypes during Pallial Development in Xenopus laevis. 2017, Pubmed , Xenbase
Moreno, LIM-homeodomain genes as developmental and adult genetic markers of Xenopus forebrain functional subdivisions. 2004, Pubmed , Xenbase
Moreno, Subdivisions of the turtle Pseudemys scripta subpallium based on the expression of regulatory genes and neuronal markers. 2010, Pubmed
Moreno, Spatio-temporal expression of Pax6 in Xenopus forebrain. 2008, Pubmed , Xenbase
Naumann, The reptilian brain. 2015, Pubmed
Nielsen, Zbtb20 defines a hippocampal neuronal identity through direct repression of genes that control projection neuron development in the isocortex. 2014, Pubmed
Nomura, Reptiles: a new model for brain evo-devo research. 2013, Pubmed
Nomura, Species-Specific Mechanisms of Neuron Subtype Specification Reveal Evolutionary Plasticity of Amniote Brain Development. 2018, Pubmed
Northcutt, Some histochemical observations on the telencephalon of the bullfrog, Rana catesbeiana Shaw. 1974, Pubmed
Northcutt, Ontogeny and phylogeny: a re-evaluation of conceptual relationships and some applications. 1990, Pubmed
Northcutt, Afferent and efferent connections of the bullfrog medial pallium. 1992, Pubmed
Pleasure, Unique expression patterns of cell fate molecules delineate sequential stages of dentate gyrus development. 2000, Pubmed
Puelles, Comments on the Updated Tetrapartite Pallium Model in the Mouse and Chick, Featuring a Homologous Claustro-Insular Complex. 2017, Pubmed
Puelles, Recollections on the Origins and Development of the Prosomeric Model. 2021, Pubmed
Puelles, Pallial and subpallial derivatives in the embryonic chick and mouse telencephalon, traced by the expression of the genes Dlx-2, Emx-1, Nkx-2.1, Pax-6, and Tbr-1. 2000, Pubmed
Radic, Differential Postnatal Expression of Neuronal Maturation Markers in the Dentate Gyrus of Mice and Rats. 2017, Pubmed
Redies, Cadherin expression by embryonic divisions and derived gray matter structures in the telencephalon of the chicken. 2001, Pubmed
Reiter, On the Value of Reptilian Brains to Map the Evolution of the Hippocampal Formation. 2017, Pubmed
Rétaux, Lhx9: a novel LIM-homeodomain gene expressed in the developing forebrain. 1999, Pubmed
Roberts, Simple mechanisms organise orientation of escape swimming in embryos and hatchling tadpoles of Xenopus laevis. 2000, Pubmed , Xenbase
Rodríguez, Spatial Cognition in Teleost Fish: Strategies and Mechanisms. 2021, Pubmed
Roth, Cytoarchitecture and connectivity of the amphibian medial pallium. 1999, Pubmed
Roth, Morphology, axonal projection pattern, and responses to optic nerve stimulation of thalamic neurons in the fire-bellied toad Bombina orientalis. 2003, Pubmed
Roth, Organization of the pallium in the fire-bellied toad Bombina orientalis. I: Morphology and axonal projection pattern of neurons revealed by intracellular biocytin labeling. 2007, Pubmed
Roth, Genome size, secondary simplification, and the evolution of the brain in salamanders. 1997, Pubmed
Roth, Paedomorphosis and simplification in the nervous system of salamanders. 1993, Pubmed
Roy, Lhx2 regulates the development of the forebrain hem system. 2014, Pubmed
Rubin, PROX1: a lineage tracer for cortical interneurons originating in the lateral/caudal ganglionic eminence and preoptic area. 2013, Pubmed
Salas, Neuropsychology of learning and memory in teleost fish. 2006, Pubmed
Schede, Spatial tissue profiling by imaging-free molecular tomography. 2021, Pubmed
Simon, Structure-function integrity of the adult hippocampus depends on the transcription factor Bcl11b/Ctip2. 2016, Pubmed
Simon, A dual function of Bcl11b/Ctip2 in hippocampal neurogenesis. 2012, Pubmed
Sotelo, Telencephalic Neuronal Activation Associated with Spatial Memory in the Terrestrial Toad Rhinella arenarum: Participation of the Medial Pallium during Navigation by Geometry. 2016, Pubmed
Striedter, The telencephalon of tetrapods in evolution. 1997, Pubmed
Striedter, Evolution of the hippocampus in reptiles and birds. 2016, Pubmed
Suárez, Calcium-binding proteins, neuronal nitric oxide synthase, and GABA help to distinguish different pallial areas in the developing and adult chicken. I. Hippocampal formation and hyperpallium. 2006, Pubmed
Subramanian, Signals from the edges: the cortical hem and antihem in telencephalic development. 2009, Pubmed
Sugiyama, The germinal matrices in the developing dentate gyrus are composed of neuronal progenitors at distinct differentiation stages. 2013, Pubmed
Tosches, Evolution of pallium, hippocampus, and cortical cell types revealed by single-cell transcriptomics in reptiles. 2018, Pubmed
Westhoff, Morphology and projection pattern of medial and dorsal pallial neurons in the frog Discoglossus pictus and the salamander Plethodon jordani. 2002, Pubmed
Woych, Cell-type profiling in salamanders identifies innovations in vertebrate forebrain evolution. 2022, Pubmed
Wyss, The indusium griseum and anterior hippocampal continuation in the rat. 1983, Pubmed
Zahn, Normal Table of Xenopus development: a new graphical resource. 2022, Pubmed , Xenbase
Zhang, Molecular Biomarkers for Embryonic and Adult Neural Stem Cell and Neurogenesis. 2015, Pubmed
