XB-ART-59265
Mol Biol Cell
2022 Oct 01;3312:ar115. doi: 10.1091/mbc.E22-04-0118.
Show Gene links
Show Anatomy links
Revisiting the multisite phosphorylation that produces the M-phase supershift of key mitotic regulators.
???displayArticle.abstract???
The term M-phase supershift denotes the phosphorylation-dependent substantial increase in the apparent molecular weight of numerous proteins of varied biological functions during M-phase induction. Although the M-phase supershift of multiple key mitotic regulators has been attributed to the multisite phosphorylation catalyzed by the Cdk1/cyclin B/Cks complex, this view is challenged by multiple lines of paradoxical observations. To solve this problem, we reconstituted the M-phase supershift of Xenopus Cdc25C, Myt1, Wee1A, APC3, and Greatwall in Xenopus egg extracts and characterized the supershift-producing phosphorylations. Our results demonstrate that their M-phase supershifts are each due to simultaneous phosphorylation of a considerable portion of S/T/Y residues in a long intrinsically disordered region that is enriched in both S/T residues and S/TP motifs. Although the major mitotic kinases in Xenopus egg extracts, Cdk1, MAPK, Plx1, and RSK2, are able to phosphorylate the five mitotic regulators, they are neither sufficient nor required to produce the M-phase supershift. Accordingly, inhibition of the four major mitotic kinase activities in Xenopus oocytes did not inhibit the M-phase supershift in okadaic acid-induced oocyte maturation. These findings indicate that the M-phase supershift is produced by a previously unrecognized category of mitotic phosphorylation that likely plays important roles in M-phase induction.
???displayArticle.pubmedLink??? 35976701
???displayArticle.pmcLink??? PMC9635296
???displayArticle.link??? Mol Biol Cell
???displayArticle.grants??? [+]
Species referenced: Xenopus laevis
Genes referenced: cdc25c cdk1 map2k1 mapk1 mastl myc pin1 pkmyt1 plk1 rps6ka3 wee1
GO keywords: mitotic M phase [+]
???attribute.lit??? ???displayArticles.show???
|
|
FIGURE 1: Reconstitution of the M-phase supershift of the five key mitotic regulators by phosphorylation of recombinant proteins with MEE. (A) Phosphorylation of myc-tagged Xenopus Cdc25C, Gwl, APC3, Myt1, and Wee1A with IOE or MEE for 2 h, followed by immunoblotting with anti-myc tag antibodies. (B) Phosphorylation of myc-tagged human Pin1, sea urchin cyclin B â90, Xenopus Plk1 (Plx1), Xenopus MEK1, and Xenopus MAPK with IOE or MEE for 2 h, followed by myc-tag immunoblotting. (C) Phosphorylation of myc-tagged Cdc25C, Gwl or Myt1 with CSF extract or MEE, followed by myc-tag immunoblotting. (DâF) Left panels show results from progesterone stimulation of Xenopus oocytes that ectopically expressed each of the indicated myc-tagged Cdc25C proteins for the indicated hours, followed by oocyte extraction and myc-tag immunoblotting. Right panels show results from phosphorylation of the TNT products of the same myc-tagged Cdc25C proteins with MEE for the indicated hours, followed by myc-tag immunoblotting. |
|
|
FIGURE 2: Association of the M-phase supershift with specific protein regions. Cdc25C (A), Gwl (B), APC3 (C), Myt1 (D), and Wee1A (E) were each divided into indicated fragments according to their functional domains from NCBI search, with indication of the supershift fragments identified by four asterisks (left). Indicated myc-tagged full-length and fragment proteins were phosphorylated with MEE for 2 h, followed by myc-tag immunoblotting (right). Estimated magnitudes of the MEE-induced gel mobility shifts for different proteins are indicated. |
|
|
FIGURE 3: Common features of the supershift fragments. (A) Prediction of disordered regions in Xenopus Cdc25C, Gwl, APC3, Myt1, and Wee1A (green and blue) by d2p2 with parallel indication of the supershift ability of tested fragments. (B) The percentage of S/T residues (upper) and the number of S/TP motifs per 100 residues (lower) were determined for indicated fragments of the five proteins and graphed. |
|
|
FIGURE 4: Significant phosphorylation of most of the S/T or S/T/Y residues in the supershift domain. (AâE) Phosphorylation sites identified in the supershift fragments of Cdc25C (A), Gwl (B), APC3 (C), Myt1 (D), and Wee1A (E). Strikethroughs indicate nonrecovered sequences. Red and blue types indicate phosphorylated and nonphosphorylated S/T/Y residues determined by mass spectrometry, respectively. Underlines are S/T/Y clusters. Shaded S/T/Y residues in red types indicate <5% of phosphorylation identification frequencies. (F) A summary of recovered S/T/Y residues and identified phosphorylation sites from the five supershift fragments. |
|
|
FIGURE 5: Widespread medium to high phosphorylation stoichiometries in the supershift domain. (A–E) Phosphorylation identification frequencies for individual S/T/Y residues in Cdc25C9-374 (A), Gwl179-745 (B), APC3147-457 (C), Myt1352-548 (D), and Wee1A1-199 (E). Asterisks indicate proline-directed S/T residues, and < symbols indicate tyrosine residues. Crosses indicate the S/T/Y residues in nonrecovered regions. (F) Percentages of the phosphorylation sites that were identified at ≥5%, ≥20%, and ≥40% frequencies by mass spectrometry for the five supershift fragments. (G) Percentages of total S/T, Y, or S/T/Y residues recovered from each of the five supershift fragments that were phosphorylated. |
|
|
FIGURE 6: Informatic analysis of phosphorylation patterns of human Cdc25C, Gwl, APC3, Myt1, and Wee1. (A) Curated compilation of previously identified phosphorylation sites in human Cdc25C, Gwl, APC3, Myt1, and Wee1 with parallel indications of intrinsically disordered regions (green and blue) and similar divisions as done for their Xenopus orthologs. Proline-directed phosphorylation sites are underlined. Black sites indicate phosphorylated S/T residues in equivalent positions of rodent orthologs. (B) The percentage of S/T residues (upper) and the number of S/TP motifs per 100 residues (lower) are graphed for indicated fragments of the five proteins. |
|
|
FIGURE 7: Generation of supershifts by additive numerous small shifts. (A) Phosphorylation of myc-tagged Cdc25C9-79 (left) and Cdc25C9-129 (right) for the indicated minutes, followed by myc-tag immunoblotting. Red numbers indicate discernible steps in the process of developing the supershift. (B) The upper panel shows the amino acid sequence of Cdc25C19-80 with numbering of the 12 S/T residues (red underlined), with conserved TP motifs at T48 and T67 highlighted by yellow, and the additional proline-directed S/T residue is indicated by an asterisk. The lower panel shows myc-tag immunoblots of different mutant forms of Cdc25C19-80 without MEE treatment (left and middle) or with MEE treatment (right). (C) The upper panel shows the amino acid sequence of Cdc25C81-213 with numbering of the 22 S/T residues, with the conserved TP motifs at T138 highlighted by yellow and the remaining six proline-directed S/T residues indicated each by an asterisk. The lower panel shows myc-tag immunoblots of different mutant forms of 10DE Cdc25C19-213 without MEE treatment (left) or with MEE treatment (right). (D) Phosphorylation of myc-tagged wild type (WT) or all ST-to-DE mutant forms (DE) of the five supershift fragments with MEE for 2 h, followed by myc-tag immunoblotting. The shift value was calculated by dividing the shift kDa from all DE mutations by the total number of DE mutations. |
|
|
FIGURE 8: Phosphorylation of the five mitotic regulators with the four major mitotic kinases produced by TNT is insufficient to produce the M-phase supershift. (A) A schematic diagram of Cdc25C with illustration of the major Cdk1, MAPK, Plx1, and RSK2 phosphorylation sites identified in the supershift domain. (BâF) Myc tagged Cdc25C9-375 (B), Gwl179-745 (C), Myt1 (D), Wee1A (E), and APC3 (F) were each phosphorylated either with the four major mitotic kinases individually in parallel with MEE (left panels) or with the four kinases collectively (4 kinase mix) in parallel with 1:4 MEE (right panels) for the indicated hours, followed by myc-tag immunoblotting. |
|
|
FIGURE 9: Activation of all four of the major mitotic kinases in IOE is insufficient to induce the M-phase supershift. (A) 1:10-IOE*-OA was incubated with EB-treated or MEE-phosphorylated myc-Cdc25C immunocomplex at indicated intervals for up to 60 min (short time course) or for up to 2.5 h (long time course), followed by immunoblotting with indicated antibodies to visualize activations of Cdk1, Plx1, MAPK, and RSK2. (B) 1:10-IOE*-OA was incubated for the indicated hours with either control IgG immunoprecipitate (mock IP) or myc-Cdc25C immunoprecipitate (Cdc25 IP) that had been treated with EB, MEE, or IOE. After beads were pelleted down at indicated time points, SN proteins were immunoblotted in parallel with 1:10 MEE with the same antibodies as used in A and B to visualize activations of MAPK and Cdk1, with anti-Cdc25C antibodies to visualize gel mobility shifts of endogenous Cdc25C, and with MPM-2 to assess M-phase entry. |
|
|
FIGURE 10: Inhibition of the four major mitotic kinase activities had little effect on MEE-induced supershifts of the five supershift fragments. (A) Kinase inhibitors and their concentrations used in MEE. (B) Phosphorylation of indicated supershift fragments with MEE in the presence of individual kinase inhibitors for the indicated minutes, followed by myc-tag immunoblotting. (C, D) Phosphorylation of indicated supershift fragments with MEE in the presence of all four of specific kinase inhibitors or ST for the indicated minutes, followed by myc-tag immunoblotting. (E) Side-by-side myc-tag immunoblotting of the Gwl179-745 samples from three different time points in D. |
|
|
FIGURE 11: Immunodepletion of the four major mitotic kinases had no or minor effects on MEE-induced supershifts of the five supershift fragments. (A) Immunodepletion of MEE with each of indicated kinase-specific antibodies or control IgG, followed by immunoblotting of SNs with antibodies for each of indicated proteins. (B) Phosphorylation of each of myc-tagged supershift fragments with individual kinase-depleted or control IgG-absorbed MEE for the indicated minutes, followed by myc-tag immunoblotting. (C) Phosphorylation of each of myc-tagged supershift fragments with all four kinase-depleted or control IgG-absorbed MEE for the indicated minutes, followed by myc-tag immunoblotting. |
|
|
FIGURE 12: p9-enhanced multisite phosphorylation by the Cdk1/CycB complex does not play a physiologically important role in the M-phase supershift. (A) Phosphorylation of myc-tagged five supershift fragments with increased ratios of p9-Cdk1:substrate or MEE for the indicated hours, followed by myc-tag immunoblotting. (B) Parallel phosphorylation of myc-tagged Cdc25C9-375 or Wee1A1-199 with serial dilutions of p9-Cdk1 or MEE for 1 h, followed by myc-tag immunoblotting. (C) Parallel phosphorylation of each of the indicated myc-tagged supershift fragments with increased ratios of TNT-Cdk1:substrate or MEE for the indicated hours, followed by myc-tag immunoblotting. (D) Parallel phosphorylation of WT and all SP mutant form (All SPs) of myc-tagged Myt1406-548 or Wee1A1-199 with p9-Cdk1 or MEE for the indicated hours, followed by myc-tag immunoblotting. The mutant sites in the two proteins are specified. (E) MEE was absorbed with GST or GST-p9 once or twice, and the SN and bound proteins (beads) were immunoblotted with anti-Cdk1 or anti-Plx1 antibodies. (F) Phosphorylation of myc-Cdc25C9-375 for the indicated minutes with MEE that was absorbed with GST- or GST-p9 once or twice, followed by myc-tag immunoblotting. |
|
|
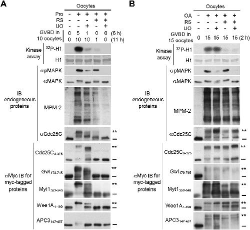
FIGURE 13: The four major mitotic kinases are not required for the M-phase supershift in OA-induced Xenopus oocyte maturation. (A) Xenopus oocytes were injected with mRNA for each of the five myc-tagged supershift fragments and cultured for 6â8 h. These injected oocytes were further cultured in the presence of indicated kinase inhibitors for 2â4 h and then either stimulated with progesterone (Prog) (A) or injected with OA (B) in the continued presence of the kinase inhibitors. GVBD was scored at the indicated h. Proteins extracts of lastly collected oocytes were assayed for H1 kinase activity by 32P incorporation and immunoblotted with indicated antibodies. |
|
|
|
|
|
|
|
|
|
|
|
|
|
|
|
|
|
|
|
|
|
|
|
|
|
|
|
|
|
|
|
|
|
|
|
|
|
|
|
|
|
References [+] :
Abe,
The initial phase of chromosome condensation requires Cdk1-mediated phosphorylation of the CAP-D3 subunit of condensin II.
2011, Pubmed
Abe, The initial phase of chromosome condensation requires Cdk1-mediated phosphorylation of the CAP-D3 subunit of condensin II. 2011, Pubmed
Alexander, Spatial exclusivity combined with positive and negative selection of phosphorylation motifs is the basis for context-dependent mitotic signaling. 2011, Pubmed , Xenbase
Bhatt, Cloning and characterization of Xenopus Rsk2, the predominant p90 Rsk isozyme in oocytes and eggs. 2000, Pubmed , Xenbase
Blake-Hodek, Determinants for activation of the atypical AGC kinase Greatwall during M phase entry. 2012, Pubmed , Xenbase
Booher, Human Myt1 is a cell cycle-regulated kinase that inhibits Cdc2 but not Cdk2 activity. 1997, Pubmed , Xenbase
Brunet, Constitutively active mutants of MAP kinase kinase (MEK1) induce growth factor-relaxation and oncogenicity when expressed in fibroblasts. 1994, Pubmed
Casado-Vela, A combination of neutral loss and targeted product ion scanning with two enzymatic digestions facilitates the comprehensive mapping of phosphorylation sites. 2007, Pubmed , Xenbase
Champion, Cellular Reorganization during Mitotic Entry. 2017, Pubmed
Chatel, Nucleoporins: leaving the nuclear pore complex for a successful mitosis. 2011, Pubmed
Chen, Nucleoporin35 is a novel microtubule associated protein functioning in oocyte meiotic spindle architecture. 2018, Pubmed
Collavin, Cell-cycle regulation of the p53-inducible gene B99. 2000, Pubmed , Xenbase
Cyert, Monoclonal antibodies specific for thiophosphorylated proteins recognize Xenopus MPF. 1988, Pubmed , Xenbase
Dangi, Cdc2-mediated inhibition of epidermal growth factor activation of the extracellular signal-regulated kinase pathway during mitosis. 2005, Pubmed
Daub, Kinase-selective enrichment enables quantitative phosphoproteomics of the kinome across the cell cycle. 2008, Pubmed
Davis, Monoclonal antibodies to mitotic cells. 1983, Pubmed , Xenbase
Dephoure, Mapping and analysis of phosphorylation sites: a quick guide for cell biologists. 2013, Pubmed
Dephoure, A quantitative atlas of mitotic phosphorylation. 2008, Pubmed
Dissmeyer, T-loop phosphorylation of Arabidopsis CDKA;1 is required for its function and can be partially substituted by an aspartate residue. 2007, Pubmed
Dunphy, Mitosis-inducing factors are present in a latent form during interphase in the Xenopus embryo. 1988, Pubmed , Xenbase
Endl, Posttranslational modifications of the KI-67 protein coincide with two major checkpoints during mitosis. 2000, Pubmed
Favreau, Cell cycle-dependent phosphorylation of nucleoporins and nuclear pore membrane protein Gp210. 1996, Pubmed
Fielding, Mitotic inhibition of clathrin-mediated endocytosis. 2013, Pubmed
Fujimitsu, Cyclin-dependent kinase 1-dependent activation of APC/C ubiquitin ligase. 2016, Pubmed , Xenbase
Gabrielli, Hyperphosphorylation of the N-terminal domain of Cdc25 regulates activity toward cyclin B1/Cdc2 but not cyclin A/Cdk2. 1997, Pubmed
Gautier, cdc25 is a specific tyrosine phosphatase that directly activates p34cdc2. 1991, Pubmed , Xenbase
Georgi, Timing of events in mitosis. 2002, Pubmed , Xenbase
Gharbi-Ayachi, The substrate of Greatwall kinase, Arpp19, controls mitosis by inhibiting protein phosphatase 2A. 2010, Pubmed , Xenbase
Giunta, Give me a break, but not in mitosis: the mitotic DNA damage response marks DNA double-strand breaks with early signaling events. 2011, Pubmed
Goris, Okadaic acid, a specific protein phosphatase inhibitor, induces maturation and MPF formation in Xenopus laevis oocytes. 1989, Pubmed , Xenbase
Gotoh, Schizosaccharomyces pombe Spk1 is a tyrosine-phosphorylated protein functionally related to Xenopus mitogen-activated protein kinase. 1993, Pubmed , Xenbase
Gottesfeld, Mitotic repression of the transcriptional machinery. 1997, Pubmed
Gowdy, Entry into mitosis without Cdc2 kinase activation. 1998, Pubmed
Gropengiesser, The relative influence of phosphorylation and methylation on responsiveness of peptides to MALDI and ESI mass spectrometry. 2009, Pubmed
Gross, A constitutively active form of the protein kinase p90Rsk1 is sufficient to trigger the G2/M transition in Xenopus oocytes. 2001, Pubmed , Xenbase
Gross, The critical role of the MAP kinase pathway in meiosis II in Xenopus oocytes is mediated by p90(Rsk). 2000, Pubmed , Xenbase
Guo, Chromosome condensation induced by fostriecin does not require p34cdc2 kinase activity and histone H1 hyperphosphorylation, but is associated with enhanced histone H2A and H3 phosphorylation. 1995, Pubmed
Güttinger, Orchestrating nuclear envelope disassembly and reassembly during mitosis. 2009, Pubmed
Haccard, Induction of Xenopus oocyte meiotic maturation by MAP kinase. 1995, Pubmed , Xenbase
Hara, Greatwall kinase and cyclin B-Cdk1 are both critical constituents of M-phase-promoting factor. 2012, Pubmed , Xenbase
Hirano, Condensins, chromosome condensation protein complexes containing XCAP-C, XCAP-E and a Xenopus homolog of the Drosophila Barren protein. 1997, Pubmed , Xenbase
Honda, Exploring the functional interactions between Aurora B, INCENP, and survivin in mitosis. 2003, Pubmed
Hornbeck, PhosphoSitePlus: a comprehensive resource for investigating the structure and function of experimentally determined post-translational modifications in man and mouse. 2012, Pubmed
Hosoya, Localization of caldesmon and its dephosphorylation during cell division. 1993, Pubmed
Inoue, The Polo-like kinase Plx1 interacts with and inhibits Myt1 after fertilization of Xenopus eggs. 2005, Pubmed , Xenbase
Izumi, Elimination of cdc2 phosphorylation sites in the cdc25 phosphatase blocks initiation of M-phase. 1993, Pubmed , Xenbase
Izumi, Phosphorylation and activation of the Xenopus Cdc25 phosphatase in the absence of Cdc2 and Cdk2 kinase activity. 1995, Pubmed , Xenbase
Jones, Connections between the cell cycle, cell adhesion and the cytoskeleton. 2019, Pubmed
Kagami, Plk1 phosphorylation of CAP-H2 triggers chromosome condensation by condensin II at the early phase of mitosis. 2017, Pubmed
Kanshin, A cell-signaling network temporally resolves specific versus promiscuous phosphorylation. 2015, Pubmed
Karaïskou, MPF amplification in Xenopus oocyte extracts depends on a two-step activation of cdc25 phosphatase. 1998, Pubmed , Xenbase
Kettenbach, Quantitative phosphoproteomics identifies substrates and functional modules of Aurora and Polo-like kinase activities in mitotic cells. 2011, Pubmed
Kim, Anillin Phosphorylation Controls Timely Membrane Association and Successful Cytokinesis. 2017, Pubmed
Kim, Multisite M-phase phosphorylation of Xenopus Wee1A. 2005, Pubmed , Xenbase
King, A 20S complex containing CDC27 and CDC16 catalyzes the mitosis-specific conjugation of ubiquitin to cyclin B. 1995, Pubmed , Xenbase
Kinoshita, Phosphate-binding tag, a new tool to visualize phosphorylated proteins. 2006, Pubmed
Kõivomägi, Multisite phosphorylation networks as signal processors for Cdk1. 2013, Pubmed
Kosako, Requirement for the MAP kinase kinase/MAP kinase cascade in Xenopus oocyte maturation. 1994, Pubmed , Xenbase
Kosako, cDNA cloning of MAP kinase kinase reveals kinase cascade pathways in yeasts to vertebrates. 1993, Pubmed , Xenbase
Kraft, Mitotic regulation of the human anaphase-promoting complex by phosphorylation. 2003, Pubmed
Kuang, At least two kinases phosphorylate the MPM-2 epitope during Xenopus oocyte maturation. 1993, Pubmed , Xenbase
Kuang, cdc25 is one of the MPM-2 antigens involved in the activation of maturation-promoting factor. 1994, Pubmed , Xenbase
Kuang, Multiple forms of maturation-promoting factor in unfertilized Xenopus eggs. 1991, Pubmed , Xenbase
Kuang, A novel M phase-specific H1 kinase recognized by the mitosis-specific monoclonal antibody MPM-2. 1991, Pubmed , Xenbase
Kuang, Mitosis-specific monoclonal antibody MPM-2 inhibits Xenopus oocyte maturation and depletes maturation-promoting activity. 1989, Pubmed , Xenbase
Kumagai, The cdc25 protein controls tyrosine dephosphorylation of the cdc2 protein in a cell-free system. 1991, Pubmed , Xenbase
Kumagai, Regulation of the cdc25 protein during the cell cycle in Xenopus extracts. 1992, Pubmed , Xenbase
Kumagai, Purification and molecular cloning of Plx1, a Cdc25-regulatory kinase from Xenopus egg extracts. 1996, Pubmed , Xenbase
Laurell, Phosphorylation of Nup98 by multiple kinases is crucial for NPC disassembly during mitotic entry. 2011, Pubmed
Lee, Determination of protein phosphorylation by polyacrylamide gel electrophoresis. 2019, Pubmed
Lee, INH, a negative regulator of MPF, is a form of protein phosphatase 2A. 1991, Pubmed , Xenbase
Lohka, Induction of nuclear envelope breakdown, chromosome condensation, and spindle formation in cell-free extracts. 1985, Pubmed , Xenbase
Macaulay, Differential mitotic phosphorylation of proteins of the nuclear pore complex. 1995, Pubmed , Xenbase
Maller, The pathway of MAP kinase mediation of CSF arrest in Xenopus oocytes. 2001, Pubmed , Xenbase
Masson, Binding of E-MAP-115 to microtubules is regulated by cell cycle-dependent phosphorylation. 1995, Pubmed
McGrath, Cks confers specificity to phosphorylation-dependent CDK signaling pathways. 2013, Pubmed
Meijer, Biochemical and cellular effects of roscovitine, a potent and selective inhibitor of the cyclin-dependent kinases cdc2, cdk2 and cdk5. 1997, Pubmed , Xenbase
Mochida, Regulated activity of PP2A-B55 delta is crucial for controlling entry into and exit from mitosis in Xenopus egg extracts. 2009, Pubmed , Xenbase
Mochida, Greatwall phosphorylates an inhibitor of protein phosphatase 2A that is essential for mitosis. 2010, Pubmed , Xenbase
Monzo, Clues to CD2-associated protein involvement in cytokinesis. 2005, Pubmed
Mueller, Cell cycle regulation of a Xenopus Wee1-like kinase. 1995, Pubmed , Xenbase
Mueller, Myt1: a membrane-associated inhibitory kinase that phosphorylates Cdc2 on both threonine-14 and tyrosine-15. 1995, Pubmed , Xenbase
Murray, Cyclin synthesis drives the early embryonic cell cycle. 1989, Pubmed , Xenbase
Murray, The role of cyclin synthesis and degradation in the control of maturation promoting factor activity. 1989, Pubmed , Xenbase
Nebreda, The c-mos proto-oncogene protein kinase turns on and maintains the activity of MAP kinase, but not MPF, in cell-free extracts of Xenopus oocytes and eggs. 1993, Pubmed , Xenbase
Nigg, The substrates of the cdc2 kinase. 1991, Pubmed
Oates, D²P²: database of disordered protein predictions. 2013, Pubmed
Olsen, Quantitative phosphoproteomics reveals widespread full phosphorylation site occupancy during mitosis. 2010, Pubmed
Ookata, MAP4 is the in vivo substrate for CDC2 kinase in HeLa cells: identification of an M-phase specific and a cell cycle-independent phosphorylation site in MAP4. 1997, Pubmed
Palmer, A link between MAP kinase and p34(cdc2)/cyclin B during oocyte maturation: p90(rsk) phosphorylates and inactivates the p34(cdc2) inhibitory kinase Myt1. 1998, Pubmed , Xenbase
Patel, Mitotic phosphorylation of SUN1 loosens its connection with the nuclear lamina while the LINC complex remains intact. 2014, Pubmed
Patra, Xe-p9, a Xenopus Suc1/Cks homolog, has multiple essential roles in cell cycle control. 1996, Pubmed , Xenbase
Patra, Xe-p9, a Xenopus Suc1/Cks protein, is essential for the Cdc2-dependent phosphorylation of the anaphase- promoting complex at mitosis. 1998, Pubmed , Xenbase
Patra, The xenopus Suc1/Cks protein promotes the phosphorylation of G(2)/M regulators. 1999, Pubmed , Xenbase
Perdiguero, Xp38gamma/SAPK3 promotes meiotic G(2)/M transition in Xenopus oocytes and activates Cdc25C. 2003, Pubmed , Xenbase
Peters, Identification of BIME as a subunit of the anaphase-promoting complex. 1996, Pubmed , Xenbase
Qian, Activated polo-like kinase Plx1 is required at multiple points during mitosis in Xenopus laevis. 1998, Pubmed , Xenbase
Qian, Mitotic effects of a constitutively active mutant of the Xenopus polo-like kinase Plx1. 1999, Pubmed , Xenbase
Rouse, A novel kinase cascade triggered by stress and heat shock that stimulates MAPKAP kinase-2 and phosphorylation of the small heat shock proteins. 1994, Pubmed , Xenbase
Ruiz, Meiotic inactivation of Xenopus Myt1 by CDK/XRINGO, but not CDK/cyclin, via site-specific phosphorylation. 2008, Pubmed , Xenbase
Schorderet-Slatkine, Action of progesterone and related steroids on oocyte maturation in Xenopus laevis. An in vitro study. 1972, Pubmed , Xenbase
Shen, The essential mitotic peptidyl-prolyl isomerase Pin1 binds and regulates mitosis-specific phosphoproteins. 1998, Pubmed , Xenbase
Shiina, Mutations at phosphorylation sites of Xenopus microtubule-associated protein 4 affect its microtubule-binding ability and chromosome movement during mitosis. 1999, Pubmed , Xenbase
Sparks, Phosphorylation of NUMA occurs during nuclear breakdown and not mitotic spindle assembly. 1995, Pubmed
Stukenberg, Pin1 acts catalytically to promote a conformational change in Cdc25. 2001, Pubmed , Xenbase
Stukenberg, Systematic identification of mitotic phosphoproteins. 1997, Pubmed , Xenbase
Tang, Two distinct mechanisms for negative regulation of the Wee1 protein kinase. 1993, Pubmed , Xenbase
Tipton, GTSE1 regulates spindle microtubule dynamics to control Aurora B kinase and Kif4A chromokinesin on chromosome arms. 2017, Pubmed
Trunnell, Ultrasensitivity in the Regulation of Cdc25C by Cdk1. 2011, Pubmed , Xenbase
van Zon, The APC/C recruits cyclin B1-Cdk1-Cks in prometaphase before D box recognition to control mitotic exit. 2010, Pubmed
Vigneron, Characterization of the mechanisms controlling Greatwall activity. 2011, Pubmed , Xenbase
Vigneron, Cyclin A-cdk1-Dependent Phosphorylation of Bora Is the Triggering Factor Promoting Mitotic Entry. 2018, Pubmed , Xenbase
Voets, MASTL is the human orthologue of Greatwall kinase that facilitates mitotic entry, anaphase and cytokinesis. 2010, Pubmed , Xenbase
Wang, Regulation of Cdc25C by ERK-MAP kinases during the G2/M transition. 2007, Pubmed , Xenbase
Wang, Direct roles of the signaling kinase RSK2 in Cdc25C activation during Xenopus oocyte maturation. 2010, Pubmed , Xenbase
Watanabe, Regulation of the human WEE1Hu CDK tyrosine 15-kinase during the cell cycle. 1995, Pubmed
Wu, Dissecting the M phase-specific phosphorylation of serine-proline or threonine-proline motifs. 2010, Pubmed , Xenbase
Wu, Partial purification and characterization of the maturation-promoting factor from eggs of Xenopus laevis. 1980, Pubmed , Xenbase
Yaffe, Sequence-specific and phosphorylation-dependent proline isomerization: a potential mitotic regulatory mechanism. 1997, Pubmed
Yamashiro, Mutant Caldesmon lacking cdc2 phosphorylation sites delays M-phase entry and inhibits cytokinesis. 2001, Pubmed , Xenbase
Yu, Greatwall kinase participates in the Cdc2 autoregulatory loop in Xenopus egg extracts. 2006, Pubmed , Xenbase
Yue, Mos mediates the mitotic activation of p42 MAPK in Xenopus egg extracts. 2004, Pubmed , Xenbase
Zhao, Roles of Greatwall kinase in the regulation of cdc25 phosphatase. 2008, Pubmed , Xenbase
