XB-ART-59237
J Biol Chem
2022 Jul 28;2987:101992. doi: 10.1016/j.jbc.2022.101992.
Show Gene links
Show Anatomy links
Delineation of a minimal topoisomerase II binding protein 1 for regulated activation of ATR at DNA double-strand breaks.
Ruis K, Huynh O, Montales K, Barr NA, Michael WM.
???displayArticle.abstract???
Topoisomerase II Binding Protein 1 (TOPBP1) is an important activator of the DNA damage response kinase Ataxia Telangiectasia and Rad3-related (ATR), although the mechanism by which this activation occurs is not yet known. TOPBP1 contains nine copies of the BRCA1 C-terminal repeat (BRCT) motif, which allows protein-protein and protein-DNA interactions. TOPBP1 also contains an ATR activation domain (AAD), which physically interacts with ATR and its partner ATR-interacting protein (ATRIP) in a manner that stimulates ATR kinase activity. It is unclear which of TOPBP1's nine BRCT domains participate in the reaction, as well as the individual roles played by these relevant BRCT domains. To address this knowledge gap, here, we delineated a minimal TOPBP1 that can activate ATR at DNA double-strand breaks in a regulated manner. We named this minimal TOPBP1 "Junior" and we show that Junior is composed of just three regions: BRCT0-2, the AAD, and BRCT7 & 8. We further defined the individual functions of these three regions by showing that BRCT0-2 is required for recruitment to DNA double-strand breaks and is dispensable thereafter, and that BRCT7 & 8 is dispensable for recruitment but essential to allow the AAD to multimerize and activate ATR. The delineation of TOPBP1 Junior creates a leaner, simplified, and better understood TOPBP1 and provides insight into the mechanism of ATR activation.
???displayArticle.pubmedLink??? 35490781
???displayArticle.pmcLink??? PMC9257406
???displayArticle.link??? J Biol Chem
???displayArticle.grants??? [+]
R01 GM122887 NIGMS NIH HHS
Species referenced: Xenopus laevis
Genes referenced: atr brca1 chek1 lgals4.2 myc topbp1
???attribute.lit??? ???displayArticles.show???
|
|
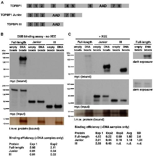
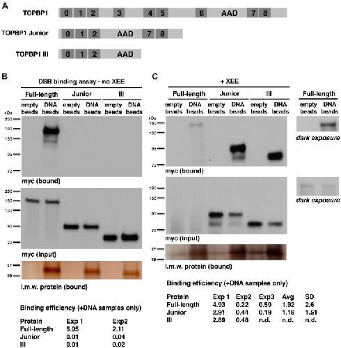
Figure 1. Deletion analysis of TOPBP1 recruitment to DSBs. A, schematic summarizing the TOPBP1 proteins that were tested for binding to DSBs. The proteins are referred to by the letters A-E, at left, and also shown are the amino acid residues corresponding to each. B, schematic summarizing the DSB-binding assay. C, a representative experiment testing the ability of TOPBP1 deletion mutants to bind DSBs in XEE is shown. IVTT-expressed and myc-tagged proteins were mixed with XEE at 1 part IVTT lysate (5 μl) to 4 parts XEE (20 μl). DSB beads (600 fm of 5kb dsDNA in a volume of 5 μl) were then added and the samples were incubated at room temperature for 30 min. The beads were then isolated back out of the extract, washed, and probed for occupancy of the indicated TOPBP1 deletion mutant. Panel âmyc boundâ refers to material that was bound to the DSB beads and the signal represents 20% of the total bound material. Panel âmyc inputâ refers to a sample of the total extract taken prior to addition of the DSB beads, and the signal represents 0.5% of the total amount present in the reaction. Panel âlow molecular weight protein boundâ is a silver-stained gel showing low molecular weight protein, likely histone, that bind DNA beads and not empty beads. This is used as a control for equal isolation of the DSB beads across the sample set. The experiment shown is representative of two independently performed replicates. DSBs, DNA double-strand breaks; IVTT, in vitro transcription and translation; TOPBP1, Topoisomerase II binding protein 1; XEE, Xenopus egg extract. |
|
|
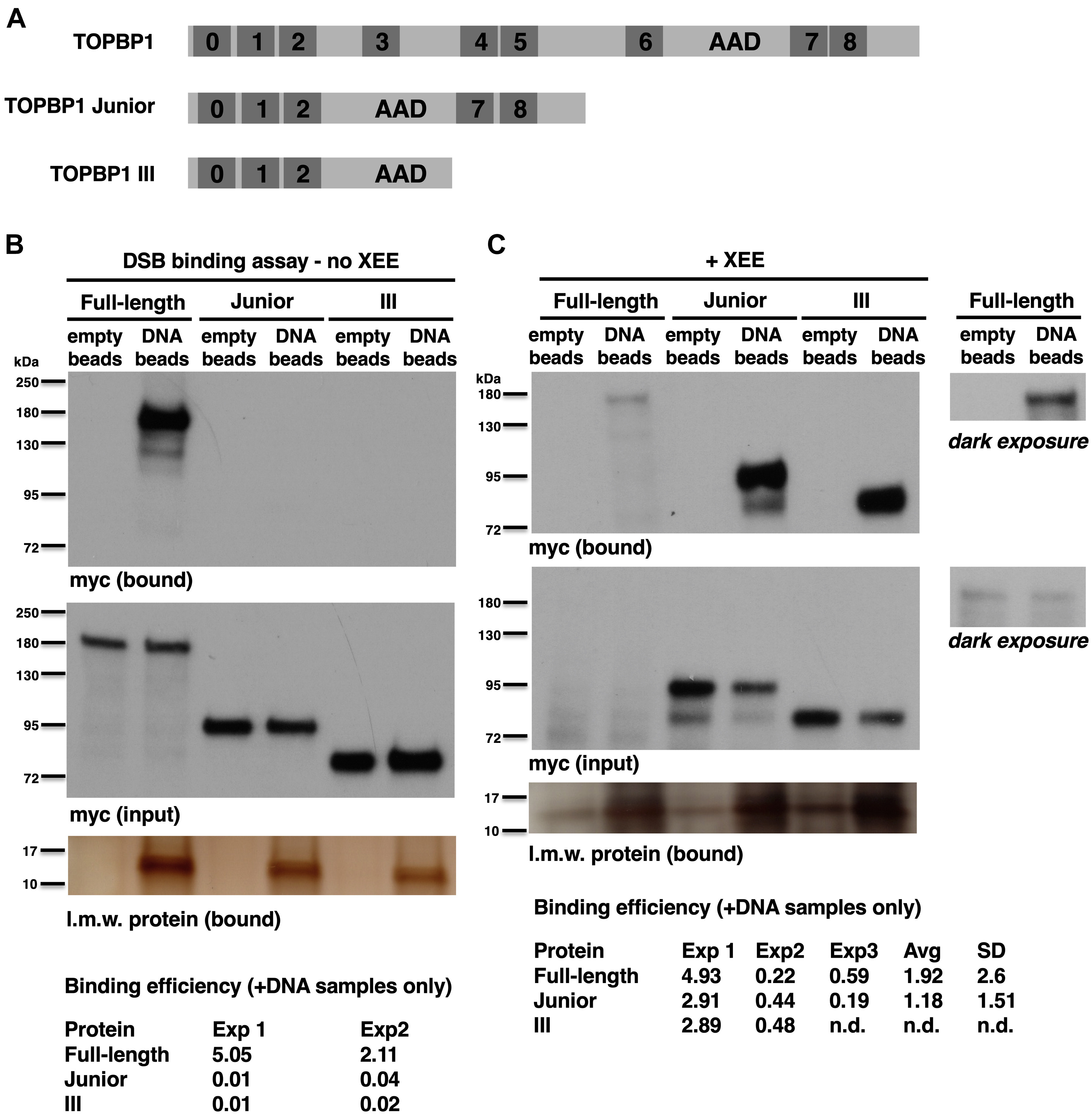
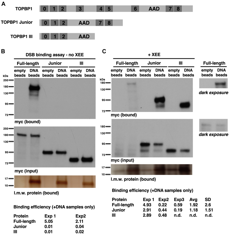
Figure 2. Smaller, synthetic forms of TOPBP1 require the presence of XEE to bind DSBs. A, schematic showing the two synthetic forms of TOPBP1 that were used for DNA- and DSB-binding analysis. B, representative experiment testing the ability of the indicated TOPBP1 derivatives to bind dsDNA is shown. There is no XEE in this experiment. Twenty microliters of IVTT lysate expressing the indicated protein was incubated with 600 fmols of 5kb dsDNA immobilized on streptavidin beads (5 μl volume of beads). After 30 min, the beads were isolated, washed, and probed for occupancy of the target protein by virtue of the myc epitope tag. âEmpty beadsâ refers to streptavidin beads lacking DNA. Panel âmyc boundâ refers to material that was bound to the DSB beads, and the signal represents 20% of the bound material. Panel âmyc inputâ refers to a sample of the total lysate taken prior to addition of the DSB beads, and the signal represents 0.5% of the total amount present in the reaction. The experiment shown is representative of two independently performed replicates. C, a representative experiment testing the ability of the indicated TOPBP1 derivatives to bind DSBs in the presence of XEE is shown. This was performed exactly as described in Figure 1C. Because the expression of full-length TOPBP1 was weaker than either Junior or III, we included a set of panels showing a darker exposure of the blot, so that the signals for full-length TOPBP1 are easier to see. The experiment shown is representative of three independently performed replicates comparing the binding of full-length TOPBP1 to Junior and two replicates comparing full-length TOPBP1 to Junior and III. AVG refers to average and SD refers to standard deviation. DSBs, DNA double-strand breaks; IVTT, in vitro transcription and translation; TOPBP1, Topoisomerase II binding protein 1; XEE, Xenopus egg extract. |
|
|
|
|
|
|
|
|
|
|
|
Figure 6. Summary and a model for Junior-mediated activation of ATR. A, a schematic summarizing how the different regions of TOPBP1 contribute to ATR activation at DSBs. B, a model for why Junior, but not III, can activate ATR. Please see text for details. ATR, ataxia telangiectasia and Rad3-related; DSBs, DNA double-strand breaks; TOPBP1, Topoisomerase II binding protein 1. |
|
|
Figure 1. Deletion analysis of TOPBP1 recruitment to DSBs.A, schematic summarizing the TOPBP1 proteins that were tested for binding to DSBs. The proteins are referred to by the letters A-E, at left, and also shown are the amino acid residues corresponding to each. B, schematic summarizing the DSB-binding assay. C, a representative experiment testing the ability of TOPBP1 deletion mutants to bind DSBs in XEE is shown. IVTT-expressed and myc-tagged proteins were mixed with XEE at 1 part IVTT lysate (5 μl) to 4 parts XEE (20 μl). DSB beads (600 fm of 5kb dsDNA in a volume of 5 μl) were then added and the samples were incubated at room temperature for 30 min. The beads were then isolated back out of the extract, washed, and probed for occupancy of the indicated TOPBP1 deletion mutant. Panel “myc bound” refers to material that was bound to the DSB beads and the signal represents 20% of the total bound material. Panel “myc input” refers to a sample of the total extract taken prior to addition of the DSB beads, and the signal represents 0.5% of the total amount present in the reaction. Panel “low molecular weight protein bound” is a silver-stained gel showing low molecular weight protein, likely histone, that bind DNA beads and not empty beads. This is used as a control for equal isolation of the DSB beads across the sample set. The experiment shown is representative of two independently performed replicates. DSBs, DNA double-strand breaks; IVTT, in vitro transcription and translation; TOPBP1, Topoisomerase II binding protein 1; XEE, Xenopus egg extract. |
|
|
Figure 2. Smaller, synthetic forms of TOPBP1 require the presence of XEE to bind DSBs.A, schematic showing the two synthetic forms of TOPBP1 that were used for DNA- and DSB-binding analysis. B, representative experiment testing the ability of the indicated TOPBP1 derivatives to bind dsDNA is shown. There is no XEE in this experiment. Twenty microliters of IVTT lysate expressing the indicated protein was incubated with 600 fmols of 5kb dsDNA immobilized on streptavidin beads (5 μl volume of beads). After 30 min, the beads were isolated, washed, and probed for occupancy of the target protein by virtue of the myc epitope tag. “Empty beads” refers to streptavidin beads lacking DNA. Panel “myc bound” refers to material that was bound to the DSB beads, and the signal represents 20% of the bound material. Panel “myc input” refers to a sample of the total lysate taken prior to addition of the DSB beads, and the signal represents 0.5% of the total amount present in the reaction. The experiment shown is representative of two independently performed replicates. C, a representative experiment testing the ability of the indicated TOPBP1 derivatives to bind DSBs in the presence of XEE is shown. This was performed exactly as described in Figure 1C. Because the expression of full-length TOPBP1 was weaker than either Junior or III, we included a set of panels showing a darker exposure of the blot, so that the signals for full-length TOPBP1 are easier to see. The experiment shown is representative of three independently performed replicates comparing the binding of full-length TOPBP1 to Junior and two replicates comparing full-length TOPBP1 to Junior and III. AVG refers to average and SD refers to standard deviation. DSBs, DNA double-strand breaks; IVTT, in vitro transcription and translation; TOPBP1, Topoisomerase II binding protein 1; XEE, Xenopus egg extract. |
|
|
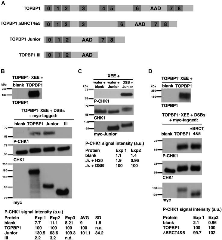
Figure 3. A minimal TOPBP1 for regulated activation of ATR.A, schematic showing the synthetic forms of TOPBP1 that were used for DMAX assays. B, a representative experiment testing the ability of the indicated TOPBP1 derivatives to activate ATR. XEE was depleted of endogenous TOPBP1 and supplemented with either unprogrammed IVTT lysate (blank), or IVTT lysates programmed to produce myc-tagged forms of full-length TOPBP1, TOPBP1 Junior, or TOPBP1 III. For each sample, 20 μl of TOPBP1-depleted XEE was combined with 2.5 μl of IVTT lysate. The panel on the left shows the blank and full-length TOPBP1 samples probed with an antibody recognizing TOPBP1; this demonstrates that all detectable endogenous TOPBP1 was removed from the XEE. The panels on the right show the results of the DMAX assay. All samples received “lambda DSBs”, which is phage lambda DNA digested with the EcoRI restriction enzyme and added at a concentration of 20 ng/μl (see Experimental procedures). After a 30-min incubation, samples were recovered and probed by Western blotting for the indicated proteins. Shown below the blot is quantification of the P-CHK1 signal across multiple replicates. AVG stands for average and SD refers to standard deviation. The experiment shown is representative of three independently performed replicates comparing full-length TOPBP1 to Junior and two replicates comparing full-length TOPBP1 to Junior and III. C, a representative experiment testing the requirement for DSBs in TOPBP1 Junior-mediated activation of ATR. XEE (not depleted, 20 μl) was combined with 4 μl of the indicated IVTT lysate and then lambda DSBs were optionally added at 20 ng/μl. After a 30-min incubation, samples were recovered and probed by Western blotting for the indicated proteins. The experiment shown is representative of two independently performed replicates. D, a representative experiment examining the ability of the ΔBRCT4&5 mutant to activate ATR is shown. The experiment was performed exactly as described for Part B, above. The experiment shown is representative of two independently performed replicates. ATR, ataxia telangiectasia and Rad3-related; DSBs, DNA double-strand breaks; DMAX, DSB-mediated ATR activation in Xenopus; IVTT, in vitro transcription and translation; TOPBP1, Topoisomerase II binding protein 1; XEE, Xenopus egg extract. |
|
|
Figure 4. Replacement of BRCT0-2 with a heterologous DNA-binding domain allows ATR activation.A, schematic showing the forms of TOPBP1 that were used for DSB-binding and DMAX assays. B, schematic showing the 5kb dsDNA “DSB” used for DSB-binding and DMAX assays. Five copies of the UAS are present, positioned in the center of the molecule. C, a representative experiment testing the ability of IVTT-produced TOPBP1 Junior, or the GAL4 derivative, to bind the 5XUAS-containing DSB is shown. The experiment was performed exactly as in Figure 1C. For the Western blot, we probed the samples with an antibody raised against the BRCT7&8 domains of Xenopus TOPBP1 (see (20)). This antibody, termed HU142, thus recognizes the two IVTT-produced proteins as well as the endogenous TOPBP1. We note that the blot labeled “input” shows that all three proteins of interest were present at similar levels in the total extract. We show two different exposures of the DSB-bound samples because of the intensity disparity between the GAL4 signal and TOPBP1/TOPBP1 Junior signals. The experiment shown is representative of two independently performed replicates. D, a representative experiment comparing the ability of TOPBP1 Junior and the GAL4 derivative to activate ATR is shown. The experiment was performed exactly as in Figure 3B, with the exception that we also included a sample of undepleted XEE, so that the efficiency of ATR activation by the two test proteins could be compared to that promoted by endogenous TOPBP1. The experiment shown is representative of two independently performed replicates. E, a representative experiment asking if the GAL4 derivative still requires DSBs to activate ATR. The experiment was performed exactly as in Figure 3C. The experiment shown is representative of two independently performed replicates. DSBs, DNA double-strand breaks; ATR, ataxia telangiectasia and Rad3-related; BRCT, BRCA1 C-terminal repeat; DMAX, DSB-mediated ATR activation in Xenopus; IVTT, in vitro transcription and translation; TOPBP1, Topoisomerase II binding protein 1; UAS, upstream activator sequence; XEE, Xenopus egg extract. |
|
|
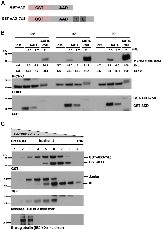
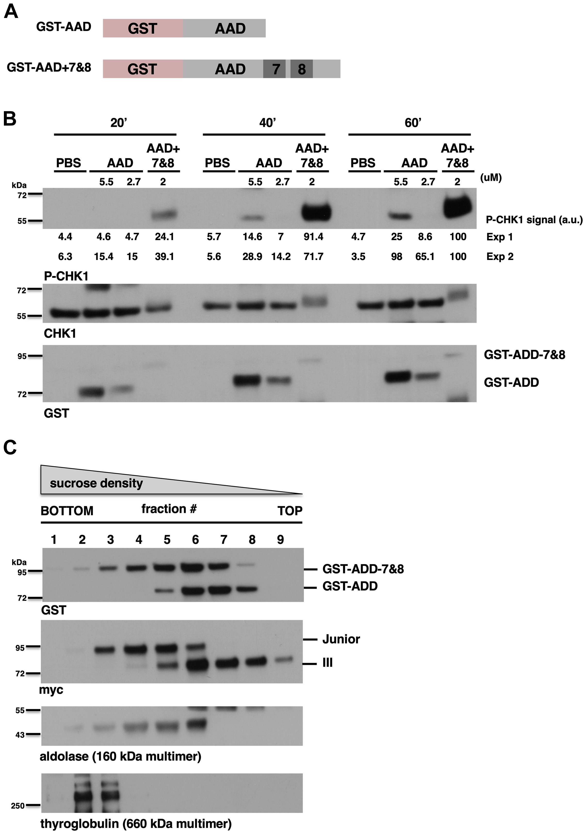
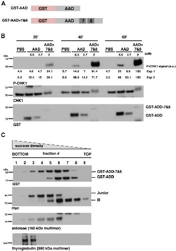
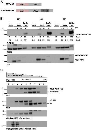
Figure 5. Addition of BRCT7&8 to the AAD allows for more efficient activation of ATR.A, schematic showing the different GST fusion proteins that were used for ATR activation assays. B, a representative experiment testing the indicated GST fusions for ATR activation is shown. The indicated GST fusions were added to XEE at the indicated concentrations. Incubation was carried out for the indicated time and then the samples were processed for Western blotting and probed for the indicated proteins. The lanes-labeled “PBS” refer to samples that received PBS instead of a GST fusion protein. The experiment shown is representative of two independently performed replicates. C, Western blots of sucrose gradient fractions. Each gradient was divided into nine fractions, with fraction #1 representing the top and fraction #9 the bottom of the gradients. Proteins sediment within the gradient based on their molecular mass, with the higher molecular mass proteins sedimenting at the bottom. In the blots, we see that GST-AAD-BRCT7&8 sediments at a lower position than does GST-AAD, indicative of a higher molecular mass. We also see the same pattern when TOPBP1 Junior and III are compared. The experiment shown is representative of two independently performed replicates. AAD, ATR activation domain; ATR, ataxia telangiectasia and Rad3-related; BRCT, BRCA1 C-terminal repeat; TOPBP1, Topoisomerase II binding protein 1; XEE, Xenopus egg extract. |
|
|
Figure 6. Summary and a model for Junior-mediated activation of ATR.A, a schematic summarizing how the different regions of TOPBP1 contribute to ATR activation at DSBs. B, a model for why Junior, but not III, can activate ATR. Please see text for details. ATR, ataxia telangiectasia and Rad3-related; DSBs, DNA double-strand breaks; TOPBP1, Topoisomerase II binding protein 1. |
References [+] :
Bagge,
Functions of TopBP1 in preserving genome integrity during mitosis.
2021, Pubmed
Bagge, Functions of TopBP1 in preserving genome integrity during mitosis. 2021, Pubmed
Bigot, Phosphorylation-mediated interactions with TOPBP1 couple 53BP1 and 9-1-1 to control the G1 DNA damage checkpoint. 2019, Pubmed
Blackford, TopBP1 interacts with BLM to maintain genome stability but is dispensable for preventing BLM degradation. 2015, Pubmed
Choi, Reconstitution of a human ATR-mediated checkpoint response to damaged DNA. 2007, Pubmed
Choi, Reconstitution of RPA-covered single-stranded DNA-activated ATR-Chk1 signaling. 2010, Pubmed
Choi, Mdc1 modulates the interaction between TopBP1 and the MRN complex during DNA damage checkpoint responses. 2016, Pubmed , Xenbase
Choi, Cooperative activation of the ATR checkpoint kinase by TopBP1 and damaged DNA. 2009, Pubmed
Day, BRCT domains of the DNA damage checkpoint proteins TOPBP1/Rad4 display distinct specificities for phosphopeptide ligands. 2018, Pubmed
Delacroix, The Rad9-Hus1-Rad1 (9-1-1) clamp activates checkpoint signaling via TopBP1. 2007, Pubmed
Duursma, A role for the MRN complex in ATR activation via TOPBP1 recruitment. 2013, Pubmed , Xenbase
Frattini, TopBP1 assembles nuclear condensates to switch on ATR signaling. 2021, Pubmed
Gerloff, BRCT domains: A little more than kin, and less than kind. 2012, Pubmed
Gong, BACH1/FANCJ acts with TopBP1 and participates early in DNA replication checkpoint control. 2010, Pubmed
Hashimoto, The phosphorylated C-terminal domain of Xenopus Cut5 directly mediates ATR-dependent activation of Chk1. 2006, Pubmed , Xenbase
Kim, Biochemical analysis of TOPBP1 oligomerization. 2020, Pubmed , Xenbase
Kumagai, Treslin collaborates with TopBP1 in triggering the initiation of DNA replication. 2010, Pubmed , Xenbase
Kumagai, TopBP1 activates the ATR-ATRIP complex. 2006, Pubmed , Xenbase
Lee, The Rad9-Hus1-Rad1 checkpoint clamp regulates interaction of TopBP1 with ATR. 2007, Pubmed , Xenbase
Lee, Rad17 plays a central role in establishment of the interaction between TopBP1 and the Rad9-Hus1-Rad1 complex at stalled replication forks. 2010, Pubmed , Xenbase
Leimbacher, MDC1 Interacts with TOPBP1 to Maintain Chromosomal Stability during Mitosis. 2019, Pubmed
Liu, ATR autophosphorylation as a molecular switch for checkpoint activation. 2011, Pubmed
Lupardus, Phosphorylation of Xenopus Rad1 and Hus1 defines a readout for ATR activation that is independent of Claspin and the Rad9 carboxy terminus. 2006, Pubmed , Xenbase
Michael, Activation of the DNA replication checkpoint through RNA synthesis by primase. 2000, Pubmed , Xenbase
Montales, Structure-function analysis of TOPBP1's role in ATR signaling using the DSB-mediated ATR activation in Xenopus egg extracts (DMAX) system. 2021, Pubmed , Xenbase
Mooser, Treacle controls the nucleolar response to rDNA breaks via TOPBP1 recruitment and ATR activation. 2020, Pubmed
Nam, Thr-1989 phosphorylation is a marker of active ataxia telangiectasia-mutated and Rad3-related (ATR) kinase. 2011, Pubmed
Niedzwiedz, Activating ATR, the devil's in the dETAA1l. 2016, Pubmed
Ohashi, Interaction between Rad9-Hus1-Rad1 and TopBP1 activates ATR-ATRIP and promotes TopBP1 recruitment to sites of UV-damage. 2014, Pubmed
Peterson, Activation of DSB processing requires phosphorylation of CtIP by ATR. 2013, Pubmed , Xenbase
Ramírez-Lugo, CtIP interacts with TopBP1 and Nbs1 in the response to double-stranded DNA breaks (DSBs) in Xenopus egg extracts. 2011, Pubmed , Xenbase
Reinhardt, Phospho-Ser/Thr-binding domains: navigating the cell cycle and DNA damage response. 2013, Pubmed
Saldivar, The essential kinase ATR: ensuring faithful duplication of a challenging genome. 2017, Pubmed
Smythe, Systems for the study of nuclear assembly, DNA replication, and nuclear breakdown in Xenopus laevis egg extracts. 1991, Pubmed , Xenbase
Thada, Common motifs in ETAA1 and TOPBP1 required for ATR kinase activation. 2019, Pubmed
Thada, ATR activation is regulated by dimerization of ATR activating proteins. 2021, Pubmed
Van, Continued primer synthesis at stalled replication forks contributes to checkpoint activation. 2010, Pubmed , Xenbase
Van Hatten, The Xenopus Xmus101 protein is required for the recruitment of Cdc45 to origins of DNA replication. 2002, Pubmed , Xenbase
Wan, Multi-BRCT scaffolds use distinct strategies to support genome maintenance. 2016, Pubmed
Wang, 3.9 Å structure of the yeast Mec1-Ddc2 complex, a homolog of human ATR-ATRIP. 2017, Pubmed
Wardlaw, TopBP1: A BRCT-scaffold protein functioning in multiple cellular pathways. 2014, Pubmed
Waterman, Checkpoint Responses to DNA Double-Strand Breaks. 2020, Pubmed
Williams, Roles of ATM and ATR in DNA double strand breaks and replication stress. 2021, Pubmed
Williams, Structures and regulations of ATM and ATR, master kinases in genome integrity. 2020, Pubmed
Yamane, Conserved BRCT regions of TopBP1 and of the tumor suppressor BRCA1 bind strand breaks and termini of DNA. 1999, Pubmed
Yan, Direct requirement for Xmus101 in ATR-mediated phosphorylation of Claspin bound Chk1 during checkpoint signaling. 2006, Pubmed , Xenbase
Yan, TopBP1 and DNA polymerase-alpha directly recruit the 9-1-1 complex to stalled DNA replication forks. 2009, Pubmed , Xenbase
Yoo, The Mre11-Rad50-Nbs1 complex mediates activation of TopBP1 by ATM. 2009, Pubmed , Xenbase
Yoo, Ataxia-telangiectasia mutated (ATM)-dependent activation of ATR occurs through phosphorylation of TopBP1 by ATM. 2007, Pubmed , Xenbase
