|
FIGURE 1.
Erlectin is a novel protein related to oligosaccharide-processing proteins. A, amino acid sequence of Erlectin. Highlighted in red are peptides identified by LC-MS/MS. B, Erlectin homology tree and matrix showing amino acid identity between indicated species. C, structure of Erlectin and comparison with domain relatives (adapted from SMART). Erlectin contains a signal peptide and two MRH domains (PRKCSH by SMART/InterPro, indicated as D1, D2). The scheme shows a comparison of all four human proteins containing an MRH domain. Also shown is an alignment of a conserved region of the MRH domains, with conserved residues labeled in black and gray. A point mutation in a conserved residue (G106S, arrow)of GNPTAG leads to a lysosomal storage disease (28). hu, human; mo, mouse; ch, chicken; X.t., X. tropicalis; D.r., D. rerio; C.i., C. intestinalis; S.p., S. purpuratus; D.m., D. melanogaster; PRKCSH, β-subunit of glucosidase II. |
|
FIGURE 2.
Erlectin specifically binds to Krm2. A-C, in vitro binding assays with the indicated recombinant proteins. IPs were performed with anti-V5 antibody and analyzed by SDS-PAGE and Western blotting. Upper two panels, protein expression; lower two panels, IPs. A, flag-Erlectin binds Krm2ΔTMC-V5 (lane 1, bottom) but not V5-Dkk3 (lane 2, bottom). B, reverse CoIP of flag-Krm2ΔTMC by V5-Erlectin (lane 1, bottom). C, myc-LRP6ΔTMC does not bind V5-Erlectin (lane 1, bottom) and V5-Dkk3 (lane 2, bottom). |
|
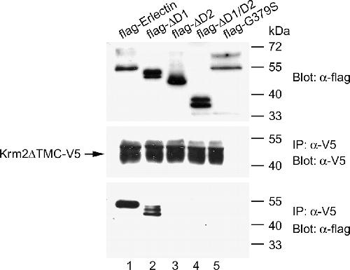
FIGURE 3.
MRH domain 2 of Erlectin mediates binding to Krm2.Invitrobindingassaywith flag-Erlectin constructs as indicated. IPs were performed with anti-V5 antibody and analyzed by SDS-PAGE and Western blotting. Top panel, protein expression; lower two panels, IPs. |
|
FIGURE 4.
The interaction between Krm2 and Erlectin requires the kringle domain and is N-glycan-dependent. A, scheme of mkrm2 deletion constructs used. SP, signal peptide; KR, kringle domain; TM, transmembrane domain. B, the kringle domain of Krm2 mediates Erlectin binding. HEK293T cells were transfected with the indicated mkrm2 deletion constructs or empty vector pCS2 (top) and subjected to IP with anti-V5 antibody (middle). All IPs were then incubated with recombinant flag-Erlectin (bottom), and bound protein was analyzed by SDS-PAGE and Western blotting. Upper two panels, protein expression; lower two panels, IPs. C, binding of Erlectin to Krm2 is N-glycan-dependent. Recombinant Krm2δTMC-V5 was deglycosylated with N-glycosidase F (lane 2) and then subjected to in vitro binding with recombinant flag-Erlectin using anti-V5 antibody. Bound flag-Erlectin was analyzed as in B. Upper two panels, protein expression; lower two panels, IPs. |
|
FIGURE 5.
Erlectin is a member of the endoplasmic reticulum synexpression group. The expression pattern of erlectin during Xenopus development was analyzed by RT-PCR (A) and in situ hybridization (C, E, G, I) at the indicated stages. A, expression of erlectin was analyzed by RT-PCR at the indicated stages. Histone H4 was used for normalization. C, blastula stage embryo (stage 8) showing erlectin expression in the animal hemisphere. E, during neurula stages erlectin is expressed in the notochord. The embryo was sagittally cut, anterior (a) toward the left; (p), posterior. F and G, anterior view of late neurula stage embryos showing expression of XAG and erlectin, respectively. I, tailbud stage (stage 28). The inset shows the same embryo in anterior view. H, expression of the KDEL receptor, member of the ER synexpression group (12). B and D, control hybridizations using sense riboprobe. Cg, cement gland; hg, hatching gland; no, notochord; ov, otic vesicle; pn, pronephros. |
|
FIGURE 6.
Erlectin is localized in the endoplasmic reticulum. A, confocal immunofluorescent images of HeLa cells transfected with erlectin-HA (A, B, C). ER was labeled by cotransfection of cells with EYFP-ER (A′), and trans-Golgi and endosomes were visualized by staining with anti-TGN38 (B′) and anti-EEA1 (C′), respectively. Bar indicates 10 μm. D, protease protection assay. Microsomal membranes from HEK293T cells transfected with erlectin-HA were subjected to Proteinase K (PK) digestion in the presence or absence of Triton X-100 (TX-100). Proteins were analyzed by SDS-PAGE and Western blotting (WB). E, HEK293T cells were transfected with erlectin-HA. Equal proportions of cell lysate and conditioned medium were analyzed by SDS-PAGE and Western blotting. |
|
FIGURE 7.
Erlectin inhibits accumulation of Krm2 at the cell surface. Cotransfections in HEK293T cells in 12-well plates and SDS-PAGE/Western blot analysis of whole cell lysates are shown. In all panels 5 ng of krm2-V5 or ΔKR-V5, 100 ng (+) or 200 ng (++)of flag-erlectin, 200 ng of Lrp6, and 2.5 ng of GFP were used as indicated. A, Erlectin affects protein expression of Krm2. B, Erlectin does not affect expression of ΔKR-V5. C, the upper band of Krm2 is sensitive to N-glycosidase F but not Endo H treatment. D, Erlectin reduces cell surface levels of Krm2. After cell surface biotinylation, cell lysates were immunoprecipitated with anti-V5 antibody, subjected to Western blot analysis and probed with streptavidin (Streptav.)-horseradish peroxidase to detect plasma membrane Krm2 and anti-V5 antibodies to detect total Krm2 (upper two panels). The cytoplasmic protein NME1 is not biotinylated (lower two panels). E, Erlectin does not affect expression of LRP6. |
|
FIGURE 8.
Erlectin antisense morpholino oligonucleotide injection induces head and axial defects in Xenopus embryos. A, homology tree of erlectin alleles in Xenopus laevis (X.l.) and tropicalis. Also shown is an alignment of nucleotide sequences around the ATG (red), which are targeted by two morpholinos as indicated. B, morpholino 1 (MO1) and morpholino 2 (MO2)-injected embryos show similar phenotypes. X.l. and X. tropicalis embryos were injected with 30 ng and 10 ng of MO1 and 60 ng and 20 ng of MO2, respectively. Control embryos were injected with control morpholino at an amount corresponding to the highest amount of erlectin MO used. C, histological analysis of MO1 injected X.l. embryos. Note that notochord (no) and somites (so) are reduced, and the brain (br) and heart (he) are virtually absent. Cg, cement gland, fo, foregut. D, statistical overview of one representative MO injection experiment. Shown is the percentage of embryos with the indicated phenotype. n, total number of embryos. E, early anterior neural markers are not affected by injection of MO1. 10 ng of MO1 or control MO were injected at 8-cell stage with β-galactosidase (lineage tracer) into one dorsal animal blastomere. Embryos were harvested at stage 20 and processed for in situ hybridization. The red dye indicates lacZ staining on the injected side. |
|
SF1 Erlectin does not bind to full length LRP6 nor to Dkk1 |
|
erlec1 (endoplasmic reticulum lectin 1) gene expression in Xenopus laevis embryo, assayed via in situ hybridization, NF stage 8, animal view. |
|
erlec1 (endoplasmic reticulum lectin 1) gene expression in Xenopus laevis embryo, assayed via in situ hybridization, NF stage 24, anterior view, dorsal up. |
|
erlec1 (endoplasmic reticulum lectin 1) gene expression in Xenopus laevis embryo, assayed via in situ hybridization, NF stage 28, lateral view, anterior left, dorsal up. |