Click here to close Hello! We notice that you are using Internet Explorer, which is not supported by Xenbase and may cause the site to display incorrectly. We suggest using a current version of Chrome, FireFox, or Safari.
XB-ART-58618
Biochem Biophys Res Commun 2021 Jul 23;563:31-39. doi: 10.1016/j.bbrc.2021.05.043.
Show Gene links Show Anatomy links

A catenin of the plakophilin-subfamily, Pkp3, responds to canonical-Wnt pathway components and signals.

Hong JY, Zapata J, Blackburn A, Baumert R, Bae SM, Ji H, Nam HJ, Miller RK, McCrea PD.


???displayArticle.abstract???
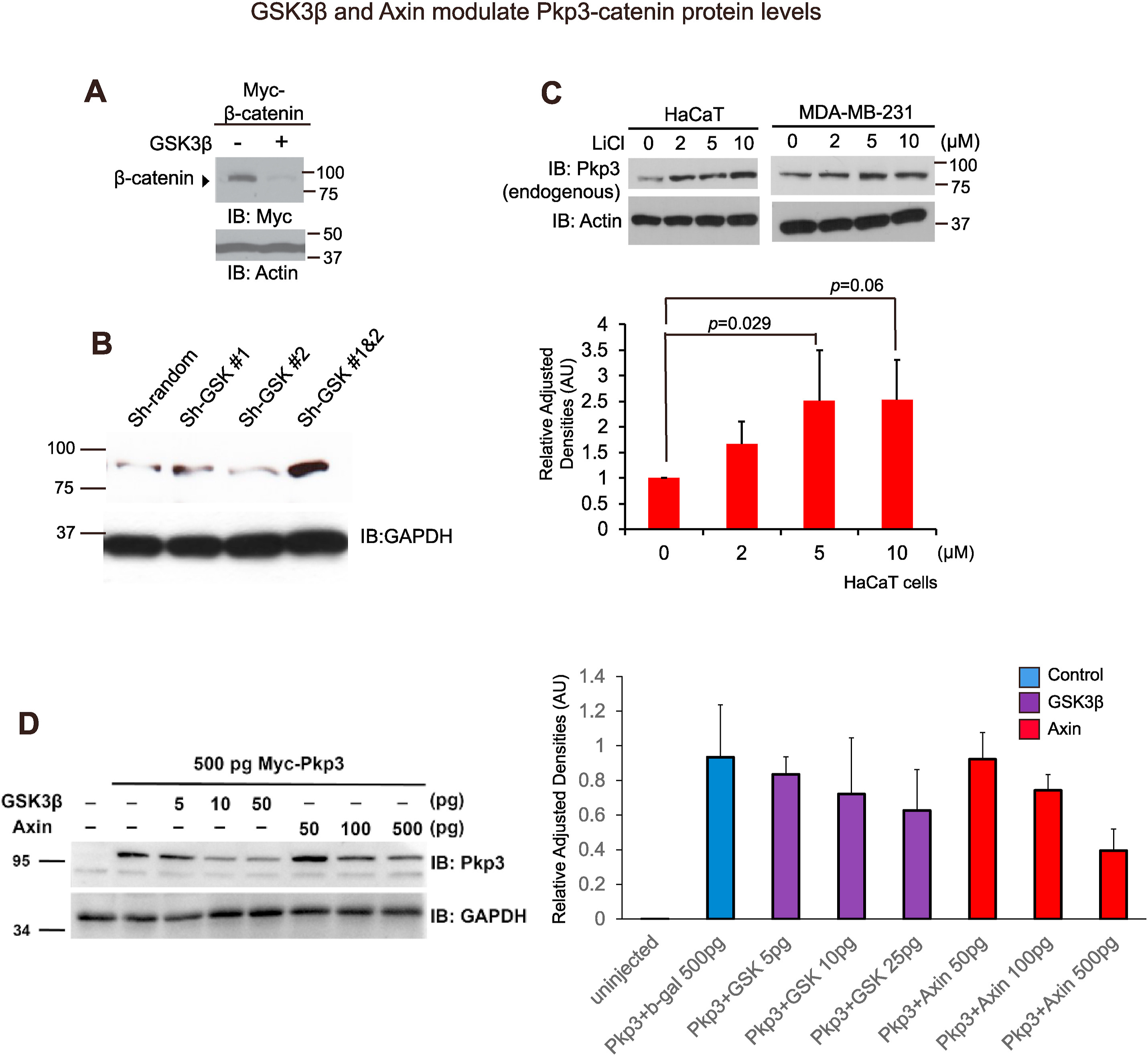
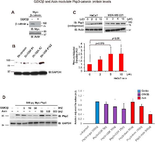
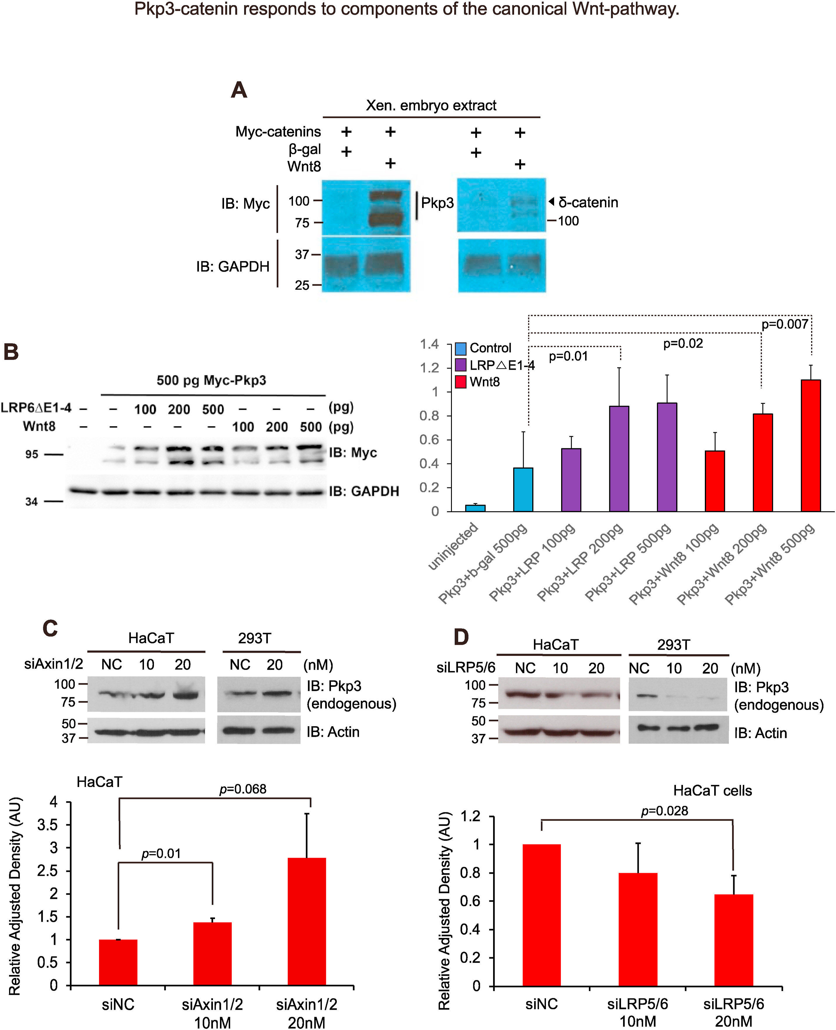
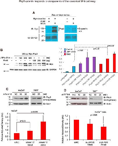
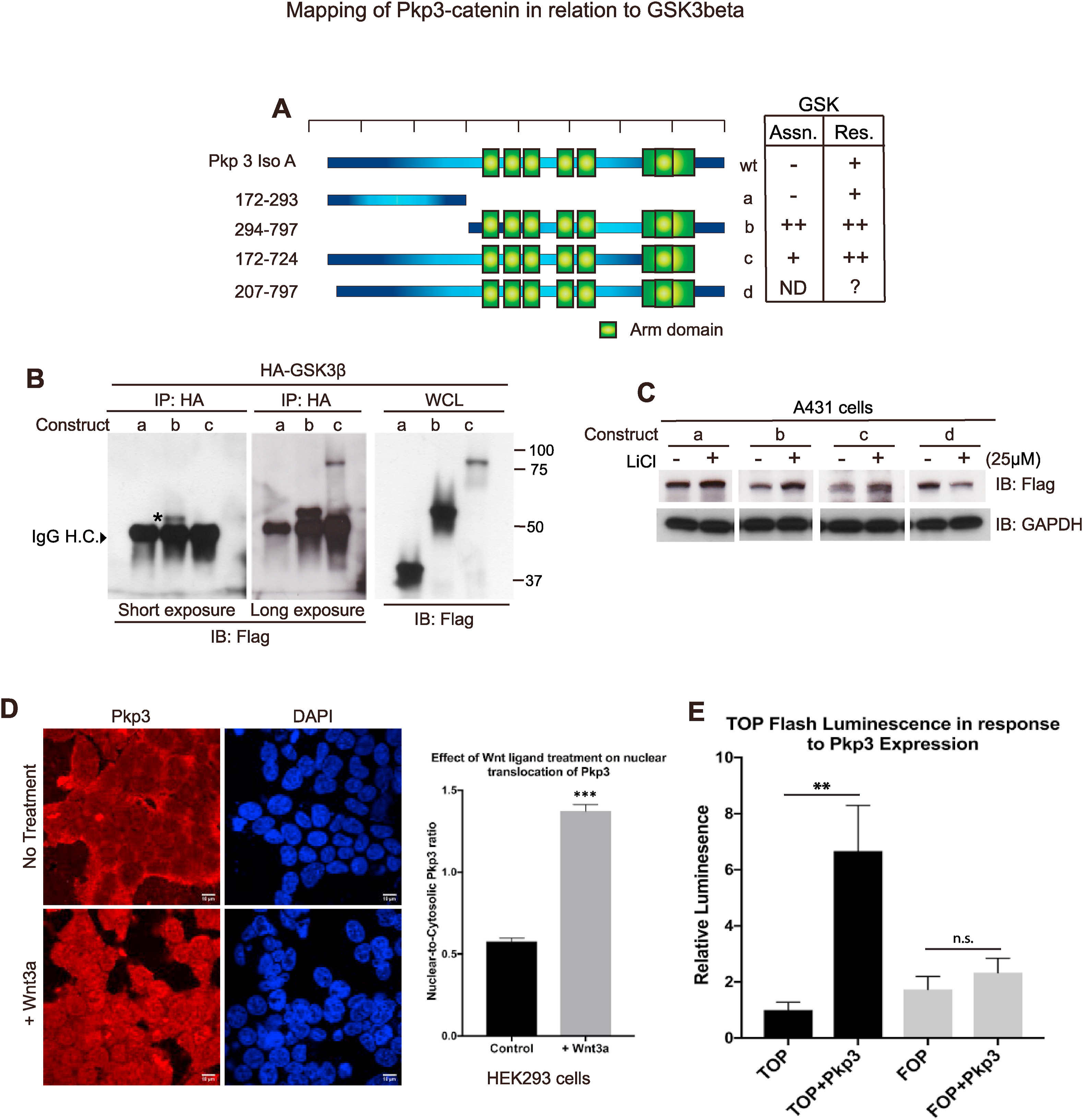
Vertebrate beta-catenin plays a key role as a transducer of canonical-Wnt signals. We earlier reported that, similar to beta-catenin, the cytoplasmic signaling pool of p120-catenin-isoform1 is stabilized in response to canonical-Wnt signals. To obtain a yet broader view of the Wnt-pathway's impact upon catenin proteins, we focused upon plakophilin3 (plakophilin-3; Pkp3) as a representative of the plakophilin-catenin subfamily. Promoting tissue integrity, the plakophilins assist in linking desmosomal cadherins to intermediate filaments at desmosome junctions, and in common with other catenins they perform additional functions including in the nucleus. In this report, we test whether canonical-Wnt pathway components modulate Pkp3 protein levels. We find that in common with beta-catenin and p120-catenin-isoform1, Pkp3 is stabilized in the presence of a Wnt-ligand or a dominant-active form of the LRP6 receptor. Pkp3's levels are conversely lowered upon expressing destruction-complex components such as GSK3β and Axin, and in further likeness to beta-catenin and p120-isoform1, Pkp3 associates with GSK3beta and Axin. Finally, we note that Pkp3-catenin trans-localizes into the nucleus in response to Wnt-ligand and its exogenous expression stimulates an accepted Wnt reporter. These findings fit an expanded model where context-dependent Wnt-signals or pathway components modulate Pkp3-catenin levels. Future studies will be needed to assess potential gene regulatory, cell adhesive, or cytoskeletal effects.

???displayArticle.pubmedLink??? 34058472
???displayArticle.pmcLink??? PMC8252864
???displayArticle.link??? Biochem Biophys Res Commun
???displayArticle.grants??? [+]

Species referenced: Xenopus laevis
Genes referenced: axin1 ctnnd1 gsk3b isyna1 lrp5 lrp6 myc pkp3 wnt3a wnt8a
GO keywords: Wnt signaling pathway [+]
???displayArticle.antibodies??? HA Ab7 Myc Ab3 Pkp3 Ab2


???attribute.lit??? ???displayArticles.show???
References [+] :
Anastasiadis, Inhibition of RhoA by p120 catenin. 2000, Pubmed