XB-ART-58534
Elife
2021 Oct 13;10. doi: 10.7554/eLife.69288.
Show Gene links
Show Anatomy links
Tbx5 drives Aldh1a2 expression to regulate a RA-Hedgehog-Wnt gene regulatory network coordinating cardiopulmonary development.
Rankin SA, Steimle JD, Yang XH, Rydeen AB, Agarwal K, Chaturvedi P, Ikegami K, Herriges MJ, Moskowitz IP, Zorn AM.
???displayArticle.abstract???
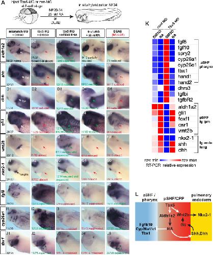
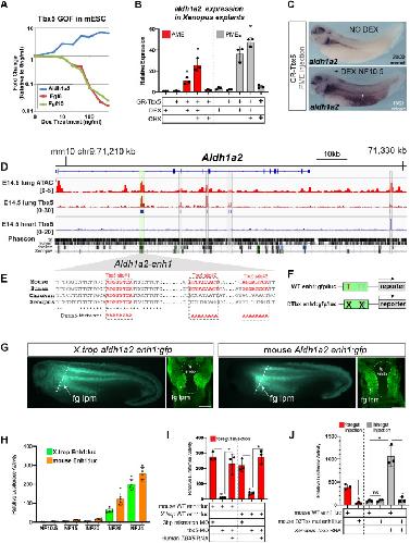
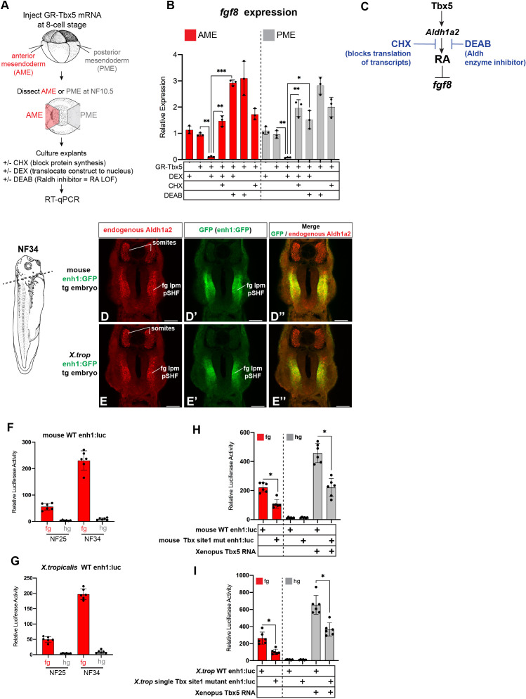
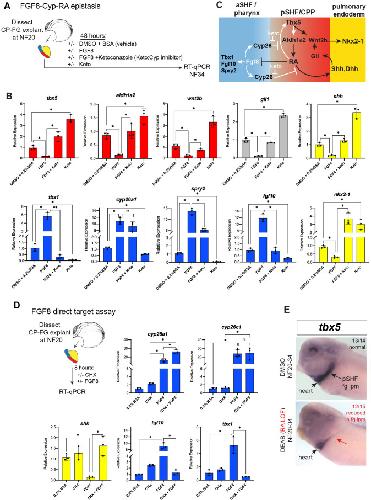
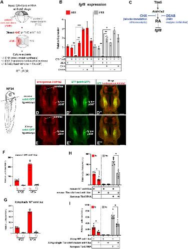
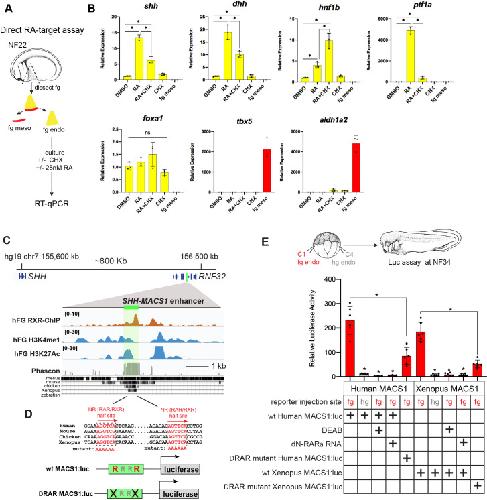
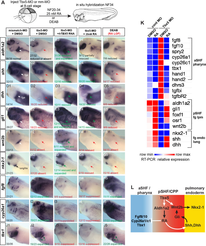
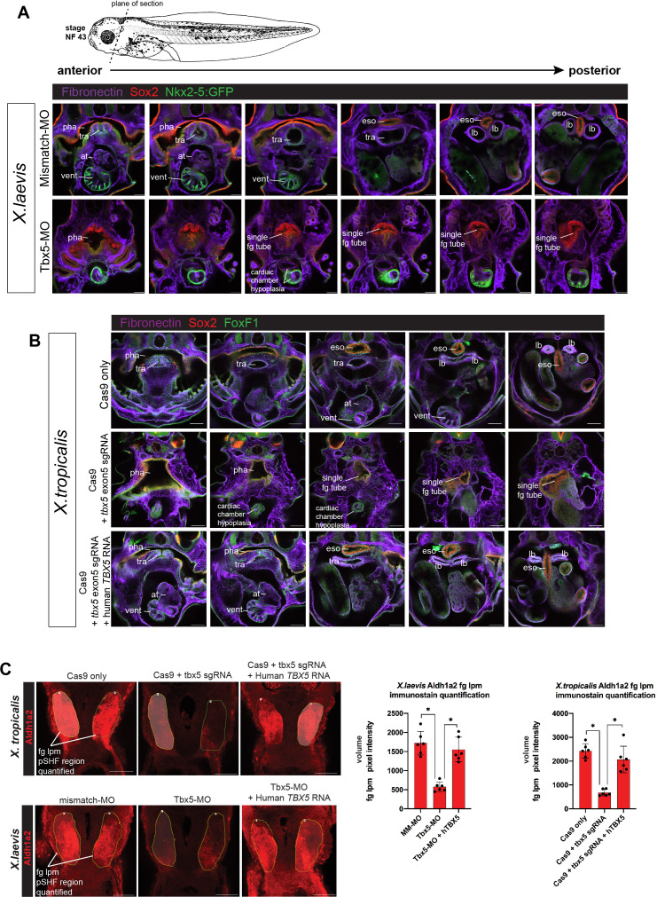
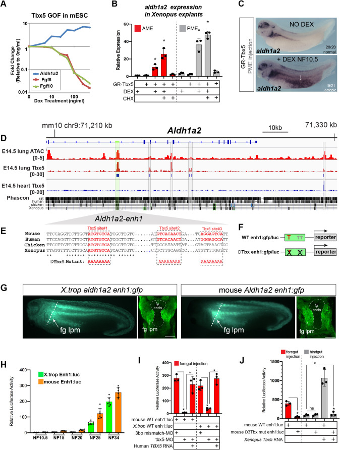
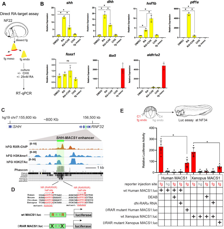
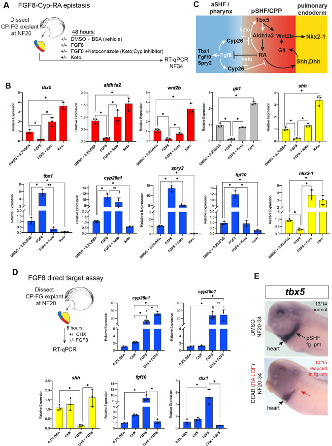
The gene regulatory networks that coordinate the development of the cardiac and pulmonary systems are essential for terrestrial life but poorly understood. The T-box transcription factor Tbx5 is critical for both pulmonary specification and heart development, but how these activities are mechanistically integrated remains unclear. Here using Xenopus and mouse embryos, we establish molecular links between Tbx5 and retinoic acid (RA) signaling in the mesoderm and between RA signaling and sonic hedgehog expression in the endoderm to unveil a conserved RA-Hedgehog-Wnt signaling cascade coordinating cardiopulmonary (CP) development. We demonstrate that Tbx5 directly maintains expression of aldh1a2, the RA-synthesizing enzyme, in the foregut lateral plate mesoderm via an evolutionarily conserved intronic enhancer. Tbx5 promotes posterior second heart field identity in a positive feedback loop with RA, antagonizing a Fgf8-Cyp regulatory module to restrict FGF activity to the anterior. We find that Tbx5/Aldh1a2-dependent RA signaling directly activates shh transcription in the adjacent foregut endoderm through a conserved MACS1 enhancer. Hedgehog signaling coordinates with Tbx5 in the mesoderm to activate expression of wnt2/2b, which induces pulmonary fate in the foregut endoderm. These results provide mechanistic insight into the interrelationship between heart and lung development informing CP evolution and birth defects.
???displayArticle.pubmedLink??? 34643182
???displayArticle.pmcLink??? PMC8555986
???displayArticle.link??? Elife
???displayArticle.grants??? [+]
P01HD093363 Eunice Kennedy Shriver National Institute of Child Health and Human Development, R01HL092153 NHLBI NIH HHS , R01HL124836 NHLBI NIH HHS , T32GM007183 NIGMS NIH HHS , T32HL007381 NHLBI NIH HHS , R01 HL124836 NHLBI NIH HHS , P01 HD093363 NICHD NIH HHS , T32 HL007381 NHLBI NIH HHS , T32 GM007183 NIGMS NIH HHS , R01 HL092153 NHLBI NIH HHS , F32 HL156465 NHLBI NIH HHS
Species referenced: Xenopus laevis
Genes referenced: acvr2a aldh1a2 atf3 bgn col1a2 col3a1 eng fgf10 fgf8 gdf10 gdf6 junb ltbp3 pcsk5 pcsk6 serpine1 shh smad7 sparc tbx5 tgfb1 tgfb1i1 tgfbr2 tgfbr3 timp3
???attribute.lit??? ???displayArticles.show???
References [+] :
Aggarwal,
Dissection of Tbx1 and Fgf interactions in mouse models of 22q11DS suggests functional redundancy.
2006, Pubmed
Aggarwal, Dissection of Tbx1 and Fgf interactions in mouse models of 22q11DS suggests functional redundancy. 2006, Pubmed
Allen, Bacteriophage phiC31 integrase mediated transgenesis in Xenopus laevis for protein expression at endogenous levels. 2009, Pubmed , Xenbase
Arora, Multiple roles and interactions of Tbx4 and Tbx5 in development of the respiratory system. 2012, Pubmed
Brown, Tbx5 and Tbx20 act synergistically to control vertebrate heart morphogenesis. 2005, Pubmed , Xenbase
Bruneau, A murine model of Holt-Oram syndrome defines roles of the T-box transcription factor Tbx5 in cardiogenesis and disease. 2001, Pubmed
Burnicka-Turek, Transcriptional Patterning of the Ventricular Cardiac Conduction System. 2020, Pubmed
Castillo, Insights into the organization of dorsal spinal cord pathways from an evolutionarily conserved raldh2 intronic enhancer. 2010, Pubmed
Chen, Inhibition of Tgf beta signaling by endogenous retinoic acid is essential for primary lung bud induction. 2007, Pubmed
Cunningham, Genomic Knockout of Two Presumed Forelimb Tbx5 Enhancers Reveals They Are Nonessential for Limb Development. 2018, Pubmed
Davis, The Encyclopedia of DNA elements (ENCODE): data portal update. 2018, Pubmed
De Bono, T-box genes and retinoic acid signaling regulate the segregation of arterial and venous pole progenitor cells in the murine second heart field. 2018, Pubmed
Deimling, Retinoic acid regulates anterior-posterior patterning within the lateral plate mesoderm of Xenopus. 2009, Pubmed , Xenbase
Deimling, Fgf is required to regulate anterior-posterior patterning in the Xenopus lateral plate mesoderm. 2011, Pubmed , Xenbase
de Soysa, Single-cell analysis of cardiogenesis reveals basis for organ-level developmental defects. 2019, Pubmed
diIorio, TALE-family homeodomain proteins regulate endodermal sonic hedgehog expression and pattern the anterior endoderm. 2007, Pubmed , Xenbase
Faial, Brachyury and SMAD signalling collaboratively orchestrate distinct mesoderm and endoderm gene regulatory networks in differentiating human embryonic stem cells. 2015, Pubmed
Feneck, The Role of Retinoic Acid in Establishing the Early Limb Bud. 2020, Pubmed
Genga, Single-Cell RNA-Sequencing-Based CRISPRi Screening Resolves Molecular Drivers of Early Human Endoderm Development. 2019, Pubmed
Gentsch, In vivo T-box transcription factor profiling reveals joint regulation of embryonic neuromesodermal bipotency. 2013, Pubmed , Xenbase
Goddeeris, Intracardiac septation requires hedgehog-dependent cellular contributions from outside the heart. 2008, Pubmed
Goss, Wnt2/2b and beta-catenin signaling are necessary and sufficient to specify lung progenitors in the foregut. 2009, Pubmed
Guris, Dose-dependent interaction of Tbx1 and Crkl and locally aberrant RA signaling in a model of del22q11 syndrome. 2006, Pubmed
Han, Single cell transcriptomics identifies a signaling network coordinating endoderm and mesoderm diversification during foregut organogenesis. 2020, Pubmed
Harris-Johnson, beta-Catenin promotes respiratory progenitor identity in mouse foregut. 2009, Pubmed
Hochgreb, A caudorostral wave of RALDH2 conveys anteroposterior information to the cardiac field. 2003, Pubmed
Hoffmann, sonic hedgehog is required in pulmonary endoderm for atrial septation. 2009, Pubmed
Hoffmann, Foxf genes integrate tbx5 and hedgehog pathways in the second heart field for cardiac septation. 2014, Pubmed
Horb, Tbx5 is essential for heart development. 1999, Pubmed , Xenbase
Horton, Endogenous distribution of retinoids during normal development and teratogenesis in the mouse embryo. 1995, Pubmed , Xenbase
Huang, C/EBP transcription factors mediate epicardial activation during heart development and injury. 2012, Pubmed
Janesick, ERF and ETV3L are retinoic acid-inducible repressors required for primary neurogenesis. 2013, Pubmed , Xenbase
Karimi, Xenbase: a genomic, epigenomic and transcriptomic model organism database. 2018, Pubmed , Xenbase
Kathiriya, Modeling Human TBX5 Haploinsufficiency Predicts Regulatory Networks for Congenital Heart Disease. 2021, Pubmed
Kattman, Stage-specific optimization of activin/nodal and BMP signaling promotes cardiac differentiation of mouse and human pluripotent stem cell lines. 2011, Pubmed
Kelly, Heart fields and cardiac morphogenesis. 2014, Pubmed
Kumar, Nuclear receptor corepressors Ncor1 and Ncor2 (Smrt) are required for retinoic acid-dependent repression of Fgf8 during somitogenesis. 2016, Pubmed
Langmead, Fast gapped-read alignment with Bowtie 2. 2012, Pubmed
Lee, FOXA2 Is Required for Enhancer Priming during Pancreatic Differentiation. 2019, Pubmed
Li, Holt-Oram syndrome is caused by mutations in TBX5, a member of the Brachyury (T) gene family. 1997, Pubmed
Li, The Sequence Alignment/Map format and SAMtools. 2009, Pubmed
Li, Retinoic acid regulates differentiation of the secondary heart field and TGFbeta-mediated outflow tract septation. 2010, Pubmed
Lin, Isl1 is upstream of sonic hedgehog in a pathway required for cardiac morphogenesis. 2006, Pubmed
Lohoff, Integration of spatial and single-cell transcriptomic data elucidates mouse organogenesis. 2022, Pubmed
Ma, Dysregulated endocardial TGFβ signaling and mesenchymal transformation result in heart outflow tract septation failure. 2016, Pubmed
Mesbah, Identification of a Tbx1/Tbx2/Tbx3 genetic pathway governing pharyngeal and arterial pole morphogenesis. 2012, Pubmed
Metzler, Enzymatic Metabolism of Vitamin A in Developing Vertebrate Embryos. 2016, Pubmed
Mic, Retinoid activation of retinoic acid receptor but not retinoid X receptor is sufficient to rescue lethal defect in retinoic acid synthesis. 2003, Pubmed
Minguillon, Hox genes regulate the onset of Tbx5 expression in the forelimb. 2012, Pubmed
Niederreither, Embryonic retinoic acid synthesis is essential for early mouse post-implantation development. 1999, Pubmed
Niederreither, Embryonic retinoic acid synthesis is essential for heart morphogenesis in the mouse. 2001, Pubmed
Nishimoto, RA Acts in a Coherent Feed-Forward Mechanism with Tbx5 to Control Limb Bud Induction and Initiation. 2015, Pubmed
Ogino, High-throughput transgenesis in Xenopus using I-SceI meganuclease. 2006, Pubmed , Xenbase
Pan, I-SceI meganuclease-mediated transgenesis in Xenopus. 2006, Pubmed , Xenbase
Peng, Coordination of heart and lung co-development by a multipotent cardiopulmonary progenitor. 2013, Pubmed
Penvose, Comprehensive study of nuclear receptor DNA binding provides a revised framework for understanding receptor specificity. 2019, Pubmed
Perl, Reiterative Mechanisms of Retinoic Acid Signaling during Vertebrate Heart Development. 2019, Pubmed
Rankin, Improved cre reporter transgenic Xenopus. 2009, Pubmed , Xenbase
Rankin, New doxycycline-inducible transgenic lines in Xenopus. 2011, Pubmed , Xenbase
Rankin, A Retinoic Acid-Hedgehog Cascade Coordinates Mesoderm-Inducing Signals and Endoderm Competence during Lung Specification. 2016, Pubmed , Xenbase
Rankin, Timing is everything: Reiterative Wnt, BMP and RA signaling regulate developmental competence during endoderm organogenesis. 2018, Pubmed , Xenbase
Rochais, Signaling pathways controlling second heart field development. 2009, Pubmed
Ryan, T-box genes and cardiac development. 2003, Pubmed
Ryckebusch, Retinoic acid deficiency alters second heart field formation. 2008, Pubmed
Ryckebüsch, Decreased levels of embryonic retinoic acid synthesis accelerate recovery from arterial growth delay in a mouse model of DiGeorge syndrome. 2010, Pubmed
Rydeen, Cyp26 Enzymes Facilitate Second Heart Field Progenitor Addition and Maintenance of Ventricular Integrity. 2016, Pubmed
Sagai, A cluster of three long-range enhancers directs regional Shh expression in the epithelial linings. 2009, Pubmed
Sagai, Evolution of Shh endoderm enhancers during morphological transition from ventral lungs to dorsal gas bladder. 2017, Pubmed
Sharpe, Retinoid receptors promote primary neurogenesis in Xenopus. 1997, Pubmed , Xenbase
Sheikh, Excessive versus physiologically relevant levels of retinoic acid in embryonic stem cell differentiation. 2014, Pubmed
Shiotsugu, Multiple points of interaction between retinoic acid and FGF signaling during embryonic axis formation. 2004, Pubmed , Xenbase
Sirbu, Retinoic acid controls heart anteroposterior patterning by down-regulating Isl1 through the Fgf8 pathway. 2008, Pubmed
Sirbu, Role of carotenoids and retinoids during heart development. 2020, Pubmed
Smemo, Regulatory variation in a TBX5 enhancer leads to isolated congenital heart disease. 2012, Pubmed
Stefanovic, Hox-dependent coordination of mouse cardiac progenitor cell patterning and differentiation. 2020, Pubmed
Steimle, TBX5: A Key Regulator of Heart Development. 2017, Pubmed
Steimle, Evolutionarily conserved Tbx5-Wnt2/2b pathway orchestrates cardiopulmonary development. 2018, Pubmed , Xenbase
Strate, Retinol dehydrogenase 10 is a feedback regulator of retinoic acid signalling during axis formation and patterning of the central nervous system. 2009, Pubmed , Xenbase
Subramanian, Gene set enrichment analysis: a knowledge-based approach for interpreting genome-wide expression profiles. 2005, Pubmed
Tamplin, Microarray analysis of Foxa2 mutant mouse embryos reveals novel gene expression and inductive roles for the gastrula organizer and its derivatives. 2008, Pubmed
Thorvaldsdóttir, Integrative Genomics Viewer (IGV): high-performance genomics data visualization and exploration. 2013, Pubmed
Tosic, Eomes and Brachyury control pluripotency exit and germ-layer segregation by changing the chromatin state. 2019, Pubmed
Tran, Wnt/beta-catenin signaling is involved in the induction and maintenance of primitive hematopoiesis in the vertebrate embryo. 2010, Pubmed , Xenbase
Tsukiji, A novel regulatory element for Shh expression in the lung and gut of mouse embryos. 2014, Pubmed
Vermot, Decreased embryonic retinoic acid synthesis results in a DiGeorge syndrome phenotype in newborn mice. 2003, Pubmed
Vinckier, LSD1-mediated enhancer silencing attenuates retinoic acid signalling during pancreatic endocrine cell development. 2020, Pubmed
Vitobello, Hox and Pbx factors control retinoic acid synthesis during hindbrain segmentation. 2011, Pubmed , Xenbase
Wang, Retinoic acid regulates morphogenesis and patterning of posterior foregut derivatives. 2006, Pubmed
Wang, Epigenetic priming of enhancers predicts developmental competence of hESC-derived endodermal lineage intermediates. 2015, Pubmed
Weirauch, Determination and inference of eukaryotic transcription factor sequence specificity. 2014, Pubmed
Xavier-Neto, Signaling through retinoic acid receptors in cardiac development: Doing the right things at the right times. 2015, Pubmed
Xie, Tbx5-hedgehog molecular networks are essential in the second heart field for atrial septation. 2012, Pubmed
Yu, xCyp26c Induced by Inhibition of BMP Signaling Is Involved in Anterior-Posterior Neural Patterning of Xenopus laevis. 2016, Pubmed , Xenbase
Zhang, Model-based analysis of ChIP-Seq (MACS). 2008, Pubmed
