Click here to close
Hello! We notice that you are using Internet Explorer, which is not supported by Xenbase and may cause the site to display incorrectly.
We suggest using a current version of Chrome,
FireFox, or Safari.
???displayArticle.abstract???
BACKGROUND: Different types of regulation are utilized to produce a robust circadian clock, including regulation at the transcriptional, posttranscriptional, and translational levels. A screen for rhythmic messages that may be involved in such circadian control identified nocturnin, a novel gene that displays high-amplitude circadian expression in the Xenopus laevis retina, with peak mRNA levels in the early night. Expression of nocturnin mRNA is confined to the clock-containing photoreceptor cell layer within the retina.
RESULTS: In these studies, we show that nocturnin removes the poly(A) tail from a synthetic RNA substrate in a process known as deadenylation. Nocturnin nuclease activity is magnesium dependent, as the addition of EDTA or mutation of the residue predicted to bind magnesium disrupts deadenylation. Substrate preference studies show that nocturnin is an exonuclease that specifically degrades the 3' poly(A) tail. While nocturnin is rhythmically expressed in the cytoplasm of the retinal photoreceptor cells, the only other described vertebrate deadenylase, PARN, is constitutively present in most retinal cells, including the photoreceptors.
CONCLUSIONS: The distinct spatial and temporal expression of nocturnin and PARN suggests that there may be specific mRNA targets of each deadenylase. Since deadenylation regulates mRNA decay and/or translational silencing, we propose that nocturnin deadenylates clock-related transcripts in a novel mechanism for posttranscriptional regulation in the circadian clock or its outputs.
Figure 1.
Nocturnin Exhibits Deadenylase Activity In Vitro in a Magnesium-Dependent Manner
(A) A diagram of G52 DNA shows resulting constructs G52 A+ (189 nt) and G52 A(100)N(31) (217 nt) when linearized with BamHI and HindIII restriction enzymes, respectively. After restriction digests, radiolabeled runoff transcripts are generated from the SP6 promoter in the presence of [α-32P]-UTP. G52 A+ and G52 A(100)N(31) contain a 100 nucleotide poly(A) tail followed by either 3 or 31 non-adenylate sequence, respectively.
(B) Nocturnin deadenylates a synthetic mRNA substrate in a time-dependent, EDTA-sensitive manner. Purified nocturnin protein (GST-noc, 1 μg) was incubated with radiolabeled poly(A)+ G52 mRNA, and deadenylation was measured at time points up to 30 min (lanes 1â6). A decrease of activity was observed with the addition of EDTA (lane 7). Arrows indicate poly(A)+ and poly(A)â sizes, and estimated transcript size is based on comparison with a marker of 189 nt and 75 nt (M, lane 8) and an RNA ladder (not shown).
(C) HIS-PARN (0.08 μg) was tested by using the same assay conditions and serves as a positive control.
(D) Deadenylase activity was abolished when a point mutation was generated in the putative magnesium binding domain of nocturnin (E152A). Equal amounts of WT and E152A protein (1 μg) were added for direct comparison.
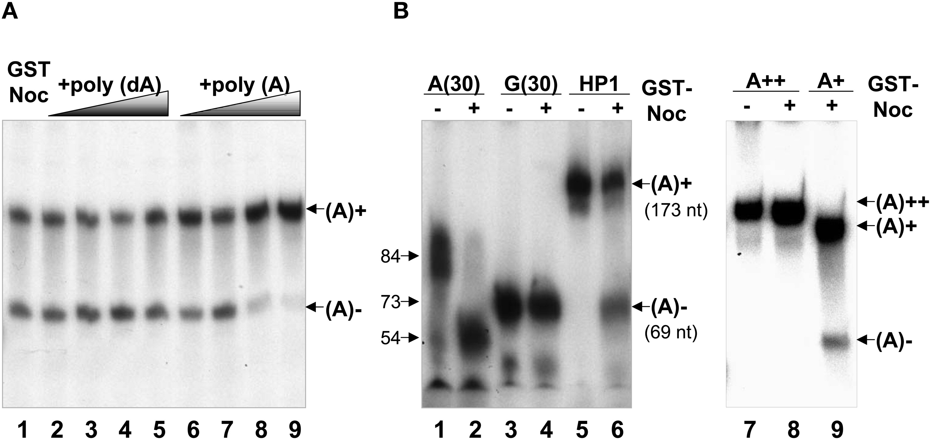
Figure 2.
Nocturnin Is an Exonuclease that Prefers Poly(A) as a Substrate
(A) The addition of poly(A), but not poly(dA), competed with nocturnin deadenylation of the G52 A+ substrate. Nonradiolabeled competitors were added in increasing amounts (0.001 μg, 0.01 μg, 0.1 μg, and 0.5 μg from left to right) to the deadenylase reaction containing 0.05 μg of a 50% slurry of GST-nocturnin bound to glutathione beads.
(B) Left panel: the 30 nucleotide poly(A) tail at the end of the 84 nucleotide L3(A30) RNA substrate is removed upon addition of nocturnin (compare lanes 1 and 2), while a 30 nucleotide tract of poly(G) at the end of the 73 nucleotide ML43(G30) substrate is not removed by nocturnin (lanes 3 and 4). The 173 nucleotide HP1 substrate, containing a poly(C)24 tract followed by a poly(A)100 tail and four non-A residues at the most distal end, is deadenylated by nocturnin to create a 69 nucleotide transcript lacking the poly(A) tail (lanes 5 and 6). Each reaction contains 0.05 μg of a 50% slurry of GST-nocturnin bound to glutathione beads. Sizes of the RNA substrates are based on comparison of predicted size to RNA markers. Right panel: deadenylation occurs only when the poly(A) tail is located at the end of the synthetic transcript. G52 substrate with 31 nucleotides after the poly(A) tail (G52 A(100)N(31), denoted A++ in this figure) and G52 A+ substrate were incubated with or without 0.4 μg of a 50% slurry of GST-nocturnin bound to glutathione beads, as indicated.
Figure 3.
Comparison of Nocturnin and PARN Protein Expression in the Retina
Western blot analysis was performed on Xenopus laevis retinal proteins collected at 4-hr intervals throughout the 24-hr day/night cycle.
(A) Using an affinity-purified antibody generated against nocturnin amino acids 51â69, we show that nocturnin is expressed with circadian rhythmicity in the retina, with peak levels at mid- to late night.
(B) PARN protein is expressed constitutively in the retina, with equivalent expression levels throughout the 24-hr cycle.
After nocturnin or PARN protein was examined, the blots were stripped and reprobed with an antibody that recognizes actin to control for equal loading (bottom panel). ZT refers to zeitgeber time; ZT 0 is the onset of light, and ZT 12 is lights-off in a 12 hr light/12 hr dark cycle.
Figure 4.
Nocturnin Is Expressed in the Cytoplasm of Rod and Cone Photoreceptor Cells
(A) Eyecups from Xenopus laevis collected at ZT 8 and ZT 22 were sectioned and stained with anti-noc 1â20 antibody. For each time point, nocturnin staining is shown in the first photo, and a merged image of nocturnin staining (red) and nuclei stained with Hoescht dye (blue) is shown in the second photo. Nocturnin staining is photoreceptor specific and is higher at ZT 22 than at ZT 8. Exposure times are the same for all sections for comparison. Faint fluorescence in the inner retina is not consistently seen and may be due to long exposure time. PR, photoreceptor cell body; OPL, outer plexiform layer; INL, inner nuclear layer.
(B) A slide incubated without primary antibody serves as a negative control.
Figure 5.
PARN Deadenylase Is Expressed at Constitutive Levels in Many Cells of the Retina
Immunostaining of retinal sections from ZT 8, 12, and 22 with PARN antibody shows that PARN is located in photoreceptor cells and many cells of the inner retina. Merged images of PARN staining (red) and nuclei stained with Hoescht dye (blue) are shown for each image. Brackets denote the photoreceptor cell layer (PR) and inner nuclear layer (INL), as indicated.