Click here to close
Hello! We notice that you are using Internet Explorer, which is not supported by Xenbase and may cause the site to display incorrectly.
We suggest using a current version of Chrome,
FireFox, or Safari.
???displayArticle.abstract???
Activin, a member of the transforming growth factor (TGF-β) superfamily, induces mesoderm, endoderm and neuro-ectoderm formation in Xenopus embryos. Despite several previous studies, the complicated gene regulatory network and genes involved in this induction await more elaboration. We identified expression of various fibroblast growth factor (FGF) genes in activin/smad2 treated animal cap explants (AC) of Xenopus embryos. Activin/smad2 increased fgf3/8 expression, which was reduced by co-injection of dominant negative activin receptor (DNAR) and dominant negative Fgf receptor (DNFR). Interestingly, activin/smad2 also increased expression of dual specificity phosphatase 1 (dusp1) which has been known to inhibit Fgf signaling. Dusp1 overexpression in dorsal marginal zone caused gastrulation defect and decreased Jnk/Erk phosphorylation as well as Smad1 linker region phosphorylation. Dusp1 decreased neural and organizer gene expression with increasing of endodermal and ventral gene expression in smad2 treated AC, indicating that dusp1 modulates germ layer specification. Dusp1 decreased neural gene expression in fgf8 treated AC, suggesting that Erk and/or Jnk phosphorylation may be involved in fgf8 induced neural induction. In addition, dusp1 decreased the reporter gene activities of activin response element (ARE) and increased it for bmp response element (BRE), indicating that dusp1 modulates two opposite morphogen signaling of dorsal (activin/Smad2) and ventral (bmp/Smad1) tracks, acting to fine tune the Fgf/Erk pathway.
Figure 1. Ectopic expression of Activin, Smad2, and Fgfs in AC. All mRNAs (1â ng/embryo) were injected at the one-cell stage. The animal-caps were dissected at stage 8 and experiments were performed at stage 11 of Xenopus embryos. (AâC) DNAR and DNFR were injected separately and animal caps (AC) were dissected. ACs were treated with activin (25â ng/ml). The relative gene expressions were analyzed by RT-PCR and immunoprecipitation for pan Erk and pErk. (DâE) The AC were treated with activin. The specific gene expressions were analyzed by Microarray Affymetrix Xenopus Genome Gene Chip and RT-PCR of selected ESTs. (F) Stage-dependent spatial/ temporal expression of selected ESTs in whole embryos. (GâH) Fgf8a, Fgf8b and Smad2 were injected separately for RNA-Seq analysis and RT-PCR in AC.
Figure 2. Overexpression of dusp1 mimics the DNFR function. (A) Dusp1 mRNA (3 ng/embryo) was injected at the 4 cell stage in dorsal half and harvested at stage 15 to identify the morphological change as compared to that of control (uninjected whole embryos). (B) Dusp1 (3 ng/embryo) was injected and harvested at stage 11-11.5. Immunoprecipitation was performed with pJnk, pErk, pSmad1C (c-terminal), pSmad1L (Linker region), pSmad2C (c-terminal) and α-tubulin was included as a control (α-tubulin being a housekeeping protein).
Figure 3. Dusp1 inhibits Smad2 mediated dorsal mesoderm (organizer) in AC. (AâC) Smad2 mRNA (1â ng/embryo) was injected separately or co-injected with dusp1 (3â ng/embryo) at the one-cell stage, followed by dissection of the AC (AC) and harvested at stage 11-11.5. Relative gene expression was analyzed by RT-PCR. (C) BCI 10â µM (Dusp inhibitor) and DMSO as control, treated at stage 8.
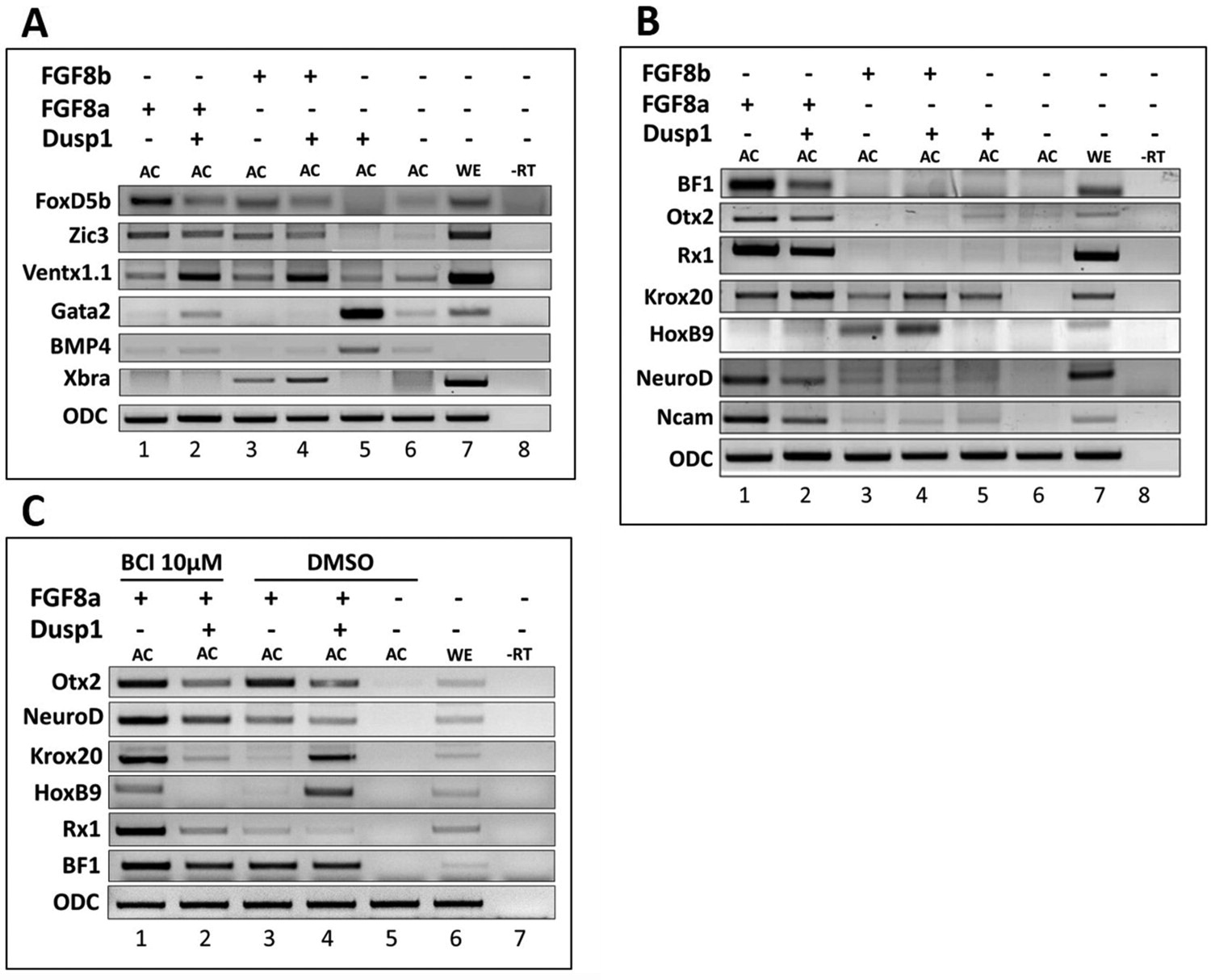
Figure 4. Dusp1 inhibits Fgf8 induced neural induction and modulates anterior-posterior patterning of neural tissue formation. (AâC) Fgf8a and fgf8b mRNA (1â ng/embryo) were injected separately or co-injected with dusp1 (3â ng/embryo) at the one-cell stage, followed by dissection of the AC (AC) at stage 8 and harvested at stage 11 and 24. RT-PCR was performed to examine the expression of target genes to compare with the control (uninjected AC), (C) BCI (Dusp1 inhibitor, 10â µM and DMSO as control) treatment at stage 8.
Figure 5. Dusp1 regulates reporter activities of ARE, BRE and SCL promoter constructs. (A and B) The reporter ARE construct (40 pg/embryo) was injected with or without dusp1 (3â ng/embryo) at the one-cell stage and the embryos were grown until stage 11 and 18 for the relative reporter activity. (C) The reporter BRE construct (40 pg/embryo) was injected with or without dusp1 (3â ng/embryo) and/or fgf8b (1â ng/embryo) or together (with or without treatment with BCI and U0126) and the embryos at stage 11 to measure the relative reporter activity. (D) SCL promoter (40 pg/embryo) was injected with or without dusp1 (3â ng/embryo) at stage 11 to measure the relative promoter activity. The data are shown as meanâ±âS.E. of the values from at least three independent experiments. Differences were considered significant at Pâ<â0.05.
Figure 6. Schematic model: Dusp1 converts activin/Smad2 mediated neuro-ectoderm and dorsal mesoderm to ventralmesoderm and endoderm in AC of Xenopus embryos.
Asashima,
Mesodermal induction in early amphibian embryos by activin A (erythroid differentiation factor).
1990, Pubmed,
Xenbase
Asashima,
Mesodermal induction in early amphibian embryos by activin A (erythroid differentiation factor).
1990,
Pubmed
,
Xenbase Brown,
Transcriptional profiling of endogenous germ layer precursor cells identifies dusp4 as an essential gene in zebrafish endoderm specification.
2008,
Pubmed Christen,
FGF-8 is associated with anteroposterior patterning and limb regeneration in Xenopus.
1997,
Pubmed
,
Xenbase Cornell,
Activin-mediated mesoderm induction requires FGF.
1994,
Pubmed
,
Xenbase Dyson,
Activin signalling has a necessary function in Xenopus early development.
1997,
Pubmed
,
Xenbase Feng,
Specificity and versatility in tgf-beta signaling through Smads.
2005,
Pubmed Gurdon,
Direct and continuous assessment by cells of their position in a morphogen gradient.
1995,
Pubmed Heldin,
Role of Smads in TGFβ signaling.
2012,
Pubmed Holm,
Noncanonical TGFβ signaling contributes to aortic aneurysm progression in Marfan syndrome mice.
2011,
Pubmed Huang,
DUSPs, to MAP kinases and beyond.
2012,
Pubmed Isaacs,
eFGF regulates Xbra expression during Xenopus gastrulation.
1994,
Pubmed
,
Xenbase Keyse,
Dual-specificity MAP kinase phosphatases (MKPs) and cancer.
2008,
Pubmed Kimelman,
Synergistic induction of mesoderm by FGF and TGF-beta and the identification of an mRNA coding for FGF in the early Xenopus embryo.
1987,
Pubmed
,
Xenbase Kiyono,
Autophagy is activated by TGF-beta and potentiates TGF-beta-mediated growth inhibition in human hepatocellular carcinoma cells.
2009,
Pubmed Kroll,
Transgenic Xenopus embryos from sperm nuclear transplantations reveal FGF signaling requirements during gastrulation.
1996,
Pubmed
,
Xenbase Kumar,
Xbra and Smad-1 cooperate to activate the transcription of neural repressor ventx1.1 in Xenopus embryos.
2018,
Pubmed
,
Xenbase Lee,
The role of heterodimeric AP-1 protein comprised of JunD and c-Fos proteins in hematopoiesis.
2012,
Pubmed
,
Xenbase Lee,
Inhibition of FGF signaling converts dorsal mesoderm to ventral mesoderm in early Xenopus embryos.
2011,
Pubmed
,
Xenbase Luo,
Signaling Cross Talk between TGF-β/Smad and Other Signaling Pathways.
2017,
Pubmed Massagué,
TGFβ signalling in context.
2012,
Pubmed McDowell,
Activin has direct long-range signalling activity and can form a concentration gradient by diffusion.
1997,
Pubmed
,
Xenbase Piepenburg,
Activin redux: specification of mesodermal pattern in Xenopus by graded concentrations of endogenous activin B.
2004,
Pubmed
,
Xenbase Ramkissoon,
Targeted Inhibition of the Dual Specificity Phosphatases DUSP1 and DUSP6 Suppress MPNST Growth via JNK.
2019,
Pubmed Rodríguez-Martínez,
Activin and TGF-β effects on brain development and neural stem cells.
2012,
Pubmed Schulte-Merker,
Mesoderm formation in response to Brachyury requires FGF signalling.
1995,
Pubmed
,
Xenbase Shen,
Role of DUSP1/MKP1 in tumorigenesis, tumor progression and therapy.
2016,
Pubmed Slack,
Mesoderm induction by fibroblast growth factor in early Xenopus development.
1990,
Pubmed
,
Xenbase Smith,
Identification of a potent Xenopus mesoderm-inducing factor as a homologue of activin A.
1990,
Pubmed
,
Xenbase Xu,
Ectodermal Smad4 and p38 MAPK are functionally redundant in mediating TGF-beta/BMP signaling during tooth and palate development.
2008,
Pubmed