Click here to close Hello! We notice that you are using Internet Explorer, which is not supported by Xenbase and may cause the site to display incorrectly. We suggest using a current version of Chrome, FireFox, or Safari.
XB-ART-57575
Sci Rep 2020 Nov 26;101:20715. doi: 10.1038/s41598-020-77817-1.
Show Gene links Show Anatomy links

Thyroid hormone-induced expression of Foxl1 in subepithelial fibroblasts correlates with adult stem cell development during Xenopus intestinal remodeling.



???displayArticle.abstract???
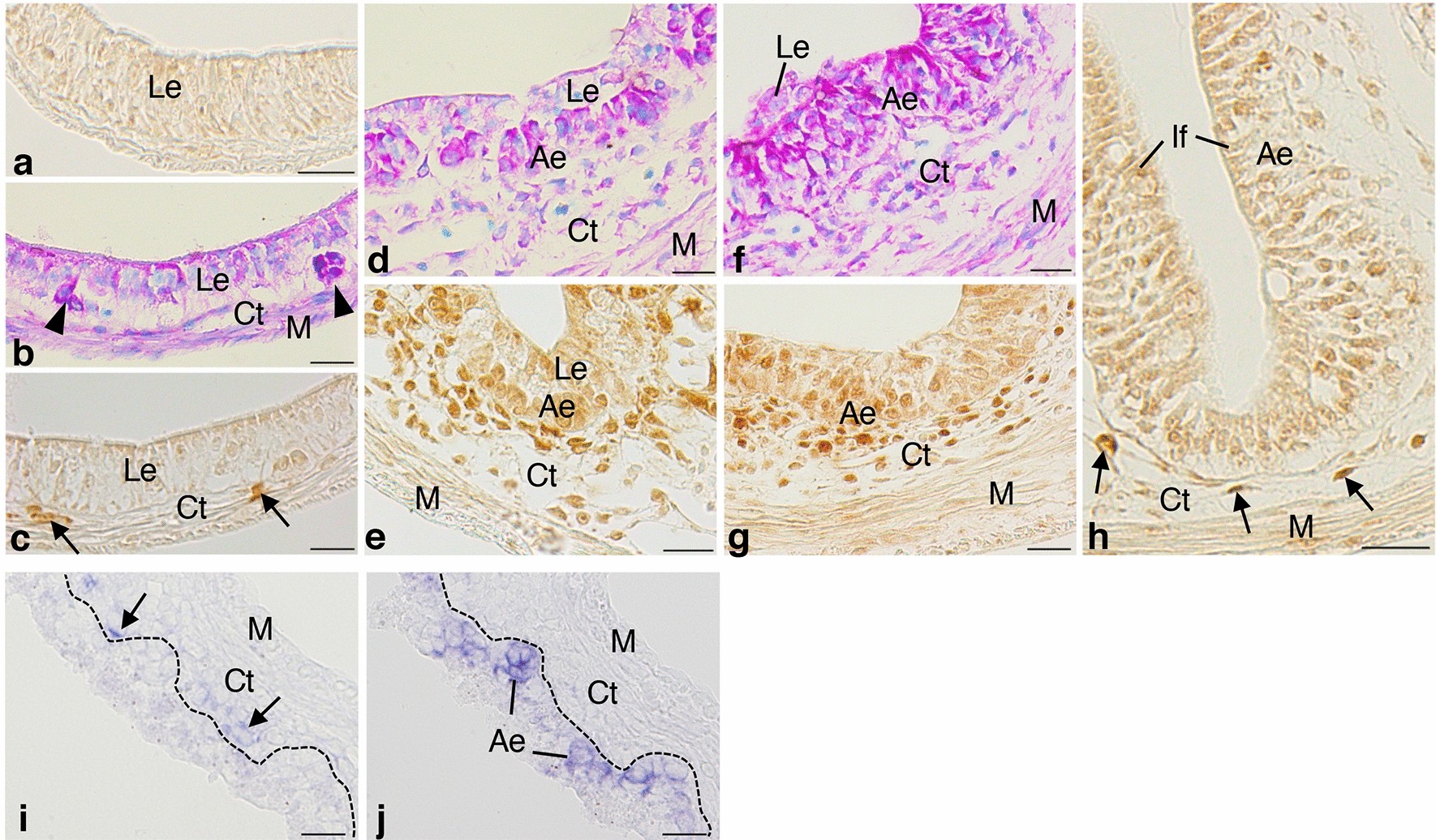
In the Xenopus laevis intestine during metamorphosis, stem cells appear and generate the adult epithelium analogous to the mammalian one. We have previously shown that connective tissue cells surrounding the epithelium are essential for the stem cell development. To clarify whether such cells correspond to mammalian Foxl1-expressing mesenchymal cells, which have recently been shown to be a critical component of intestinal stem cell niche, we here examined the expression profile of Foxl1 in the X. laevis intestine by using RT-PCR and immunohistochemistry. Foxl1 expression was transiently upregulated only in connective tissue cells during the early period of metamorphic climax and was the highest just beneath the proliferating stem/progenitor cells. In addition, electron microscopic analysis showed that these subepithelial cells are ultrastructurally identified as telocytes like the mammalian Foxl1-expressing cells. Furthermore, we experimentally showed that Foxl1 expression is indirectly upregulated by thyroid hormone (TH) through Shh signaling and that TH organ-autonomously induces the Foxl1-expressing cells concomitantly with appearance of the stem cells in the tadpole intestine in vitro. The present results suggest that intestinal niche cells expressing Foxl1 are evolutionally conserved among terrestrial vertebrates and can be induced by TH/Shh signaling during amphibian metamorphosis for stem cell development.

???displayArticle.pubmedLink??? 33244068
???displayArticle.pmcLink??? PMC7693326
???displayArticle.link??? Sci Rep
???displayArticle.grants??? [+]

Genes referenced: bmp4 cd44 fabp2 foxl1 gli1 lgr5 msi1 myc ptch1 rpl8 sag shh sp6 wnt2b wnt5a
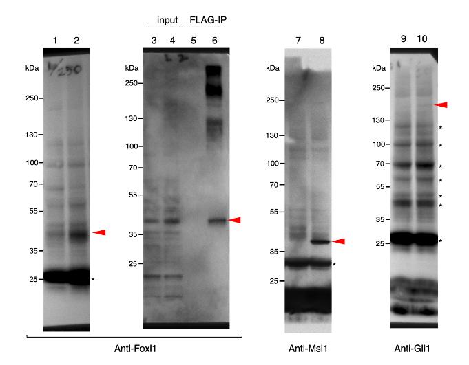
???displayArticle.antibodies??? Foxl1 Ab1 Gli1 Ab2 Msi1 Ab3


???attribute.lit??? ???displayArticles.show???
References [+] :
Aoki, Foxl1-expressing mesenchymal cells constitute the intestinal stem cell niche. 2016, Pubmed