Click here to close
Hello! We notice that you are using Internet Explorer, which is not supported by Xenbase and may cause the site to display incorrectly.
We suggest using a current version of Chrome,
FireFox, or Safari.
???displayArticle.abstract???
Insect olfactory sensing is crucial for finding food, mating, and oviposition preference. Odorant receptors (ORs) play a central role in the transmission of odorant signals into the environment by the peripheral olfactory system. Therefore, the identification and functional study of ORs are essential to better understand olfactory mechanisms in insects. OR studies on Diptera insects are primarily performed on Drosophila and mosquitoes, but few studies have been reported in Tephritidae. In this study, we examined three candidate ORs (BminOR3, BminOR12, and BminOR16) from Bactrocera minax. Our analysis of tissue expression revealed that the three BminORs were expressed in the antennae, with no difference between the male and female. In in vitro heterologous expression system of Xenopus oocytes. BminOR3/BminOrco responded strongly to 1-octen-3-ol, BminOR12/BminOrco responded to eight compounds [methyl salicylate, benzaldehyde, (Z)-3-hexenyl acetate, butyl acrylate, butyl propionate, 1-octanol, (S)-(+)-carvone and benzyl alcohol], and BminOR16/BminOrco slightly responded to undecanol. Our results concluded that BminOR3, BimOR12, and BminOR16 could play an important role in host-finding and oviposition positioning in B. minax.
FIGURE 1. Phylogenetic analysis of the three candidate ORs with candidate ORs from Dipteran. Bmin, B. minax; Csty, C. stygia; Mdom, M. domestica; Dmel, D. melanogaster; Bdor, B. dorsalis. The clade in green indicates the Orco co-receptor gene clade and the one in yellow is the pheromone receptor gene clade. The three BminORs are in red.
FIGURE 2. Alignment of the amino acid sequence of BminOR3, BminOR12, and BminOR16.
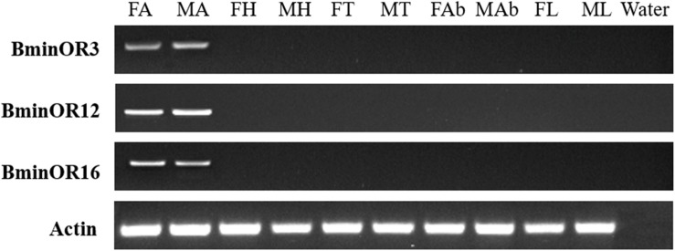
FIGURE 3. Expression profiles of BminOR3, BminOR12, and BminOR16 in different tissues of male and female B. minax. FA, female antennae; MA, male antennae; FH, female heads (without antennae); MH, male heads (without antennae); FT, female thoraxes; MT, male thoraxes; FAb, female abdomens; MAb, male abdomens; FL, female legs; ML, male legs.
FIGURE 4. Responses of Xenopus oocytes with co-expressed BminOR3/BminOrco to stimulation with volatile compounds. (A) Inward current responses of BminOR3/BminOrco Xenopus oocytes in response to 10–4 M of the volatile compounds. (B) BminOR3/BminOrco Xenopus oocytes stimulated with a range of 1-octen-3-ol concentrations. (C) Response profile of BminOR3/BminOrco Xenopus oocytes. Error bars indicate SEM (n = 6) (T-test, P < 0.05). (D) Dose-response curve of BminOR3/BminOrco Xenopus oocytes to 1-octen-3-ol. 1-Octen-3-ol EC50 = 3.467 × 10–7 M. Error bars indicates SEM (n = 6).
FIGURE 5. Responses of Xenopus oocytes with co-expressed BminOR12/BminOrco and BminOR16/BminOrco to stimulation with volatile compounds. Inward current responses of BminOR12/BminOrco (A) and BminOR16/BminOrco (C)
Xenopus oocytes in response to 10–4 M of the volatile compounds. Response profile of BminOR12/BminOrco (B) and BminOR16/BminOrco (D)
Xenopus oocytes. Error bars indicate SEM (n = 6) (T-test, P < 0.05).
Alagarmalai,
Identification of host attractants for the ethiopian fruit fly, Dacus ciliatus loew.
2009, Pubmed
Alagarmalai,
Identification of host attractants for the ethiopian fruit fly, Dacus ciliatus loew.
2009,
Pubmed Benton,
Atypical membrane topology and heteromeric function of Drosophila odorant receptors in vivo.
2006,
Pubmed Bruce,
Insect host location: a volatile situation.
2005,
Pubmed Cao,
Identification of candidate olfactory genes in Chilo suppressalis by antennal transcriptome analysis.
2014,
Pubmed Carey,
Odorant reception in the malaria mosquito Anopheles gambiae.
2010,
Pubmed Clyne,
A novel family of divergent seven-transmembrane proteins: candidate odorant receptors in Drosophila.
1999,
Pubmed de Fouchier,
Functional evolution of Lepidoptera olfactory receptors revealed by deorphanization of a moth repertoire.
2017,
Pubmed Di,
Design of larval chemical attractants based on odorant response spectra of odorant receptors in the cotton bollworm.
2017,
Pubmed Dorji,
Seasonal phenology of Bactrocera minax (Diptera: Tephritidae) in western Bhutan.
2006,
Pubmed Drew,
Attractiveness of various combinations of colors and shapes to females and males of Bactrocera minax (Diptera: Tephritidae) in a commercial mandarin grove in Bhutan.
2006,
Pubmed Fox,
Candidate odorant receptors from the malaria vector mosquito Anopheles gambiae and evidence of down-regulation in response to blood feeding.
2001,
Pubmed Gadenne,
Plasticity in Insect Olfaction: To Smell or Not to Smell?
2016,
Pubmed Gao,
Identification of candidate Drosophila olfactory receptors from genomic DNA sequence.
1999,
Pubmed Hansson,
Evolution of insect olfaction.
2011,
Pubmed Krieger,
A divergent gene family encoding candidate olfactory receptors of the moth Heliothis virescens.
2002,
Pubmed Kurtovic,
A single class of olfactory neurons mediates behavioural responses to a Drosophila sex pheromone.
2007,
Pubmed Leal,
Odorant reception in insects: roles of receptors, binding proteins, and degrading enzymes.
2013,
Pubmed Leitch,
Chemosensory genes identified in the antennal transcriptome of the blowfly Calliphora stygia.
2015,
Pubmed Liu,
Candidate olfaction genes identified within the Helicoverpa armigera Antennal Transcriptome.
2012,
Pubmed Lu,
Odor coding in the maxillary palp of the malaria vector mosquito Anopheles gambiae.
2007,
Pubmed Rasgado,
Olfactory response of the Mexican fruit fly (Diptera: Tephritidae) to Citrus aurantium volatiles.
2009,
Pubmed Robertson,
The chemoreceptor superfamily in the honey bee, Apis mellifera: expansion of the odorant, but not gustatory, receptor family.
2006,
Pubmed Scott,
Genome of the house fly, Musca domestica L., a global vector of diseases with adaptations to a septic environment.
2014,
Pubmed Shepherd,
Discrimination of molecular signals by the olfactory receptor neuron.
1994,
Pubmed Song,
First Contact to Odors: Our Current Knowledge about Odorant Receptor.
2008,
Pubmed Tanaka,
Highly selective tuning of a silkworm olfactory receptor to a key mulberry leaf volatile.
2009,
Pubmed
,
Xenbase Vosshall,
A spatial map of olfactory receptor expression in the Drosophila antenna.
1999,
Pubmed Wang,
Functional characterization of pheromone receptors in the tobacco budworm Heliothis virescens.
2011,
Pubmed Wang,
Molecular basis of odor coding in the malaria vector mosquito Anopheles gambiae.
2010,
Pubmed
,
Xenbase Wanner,
A honey bee odorant receptor for the queen substance 9-oxo-2-decenoic acid.
2007,
Pubmed
,
Xenbase Wicher,
Olfactory signaling in insects.
2015,
Pubmed Wilson,
Early events in olfactory processing.
2006,
Pubmed Wistrand,
A general model of G protein-coupled receptor sequences and its application to detect remote homologs.
2006,
Pubmed Zhang,
Functional Analysis of MsepOR13 in the Oriental Armyworm Mythimna separata (Walker).
2019,
Pubmed Zhang,
A Female-Biased Odorant Receptor from Apolygus lucorum (Meyer-Dür) Tuned to Some Plant Odors.
2016,
Pubmed
,
Xenbase Zwiebel,
Olfactory regulation of mosquito-host interactions.
2004,
Pubmed