|
Fig. 1. Temporal expression analysis of Polr3g and Polr3gL expression during Xenopus tropicalis development. (A) RT-PCR analysis of Polr3g and Polr3gL mRNA expression across a stage series of X.tropicalis development. 28S rRNA was used as an endogenous control. (B) Western blotting of protein extracts from a stage series of X.tropicalis embros using an antibody generated against X.tropicalis Polr3g. GAPDH was used as a loading control. (C) Meta analysis of RNA-Seq data for Polr3g and Polr3gL across Xenopus development carried out by Owens et al. (2016) and deposited online via Xenbase.org. |
|
Fig. 2. Expression of Polr3g in Xenopus tropicalis embryos. Expression analysis of Polr3g Xenopus tropicalis at NF stage 20. (A) Lateral view of NF St20 embryo analysed by in situ hybridization for Polr3g; expression in the somites is indicated; anterior is to the left. (B) qRT-PCR for Polr3g expression in the early tailbud (NF St23). Head, Ventral and Dorsal sections were dissected and RNA extracted for qPCR. Ct values were normalised to the gene Dicer. All expression values were calculated relative to somite expression. One-way ANOVA statistical analysis was carried out on relative expression of each section for each gene (*) represents the level of significance. (C) Dorsal view of NF St20 embryo analysed by in situ hybridization for Polr3g; a cross-section through the embryo shown in (D) is indicated; anterior is to the left. (D) Cross section of embryo shown in (C) shows specific expression of Polr3g in somites at NF St20. |
|
Fig. 3. Expression of Polr3gL in Xenopus tropicalis embryos. Expression analysis of Polr3gL Xenopus tropicalis at NF stage 20. (A) Lateral view of NF St20 embryo analysed by in situ hybridization for Polr3gL; expression in the anterior neural tube (nt), otic vesicle (ov), and branchial arches (ba) is indicated; anterior is to the left. (B) qRT-PCR for Polr3gL expression in the early tailbud (NF St23). Head, Ventral and Dorsal sections were dissected and RNA extracted for qPCR. Ct values were normalised to the gene Dicer. All expression values were calculated relative to somite expression. One-way ANOVA statistical analysis was carried out on relative expression of each section for each gene (*) represents the level of significance. (C) Lateral view of NF St28 embryo analysed by in situ hybridization for Polr3gL; expression in the otic vesicle (ov), and branchial arches (ba), blood island (bi), and posterior somites is indicated. A cross-section through the embryo shown in (D) is indicated; anterior is to the left. (D) Cross section of embryo shown in (C) shows specific expression of Polr3g in posterior somites at NF St28. |
|
Fig. 4. Changes in tRNA expression in response to Polr3g overexpression. Expression fold change summary of tRNA isoacceptor families in X.tropicalis NF Stage 9 whole embryos injected with 2ng Polr3g mRNA compared to control uninjected stage 9 embryos across 3 biological replicates. Signal data was processed using GeneSpring to determine normalised signal values for each probe within each array, and a normalised intensity reading by comparing probes across the arrays; these values were used to determine expression fold changes for each biological replicate to give an average fold change for each probe across the three replicates. Control and Polr3g injected mean expressions for each of the 5 probes designed per isoacceptor family were then analysed using paired t-tests to determine statistical significance of the change in expression for each anticodon isoacceptor family. To account for multiple comparisons, Bonferroni Correction was applied. (A) Summary chart of fold changes for isoacceptor families with raw signals of >10. Orange indicates significantly up-regulated transcription, blue indicates significantly down-regulated transcription, and pink indicates no significant change in expression. SEM is presented as error bars and * indicates the level of statistical significance. (B) Summary chart of fold changes for other Pol III target genes with raw signals of >10. (C) Summary chart of fold changes for mRNAs upregulated in Polr3g overexpression samples. |
|
Fig. 5. Overexpression of Polr3g compared to that of Polr3gL in Xenopus tropicalis embryos. (A) 2ng of mRNA coding for HA-tagged Polr3g and Polr3gL was injected into both blastomeres of X.tropicalis embryos at the 2-cell stage and embryos were allowed to develop until NF Stage 25. Western blot analysis of injected and control embryos for detection of HA-tag expression shows equal levels of protein expression in injected embryos. GAPDH was used as a loading control. (B) Dorsal regions were dissected to enrich for myogenic tissue at this stage of development (labelled here by in situ hybridization for MyoD). (C) Expression fold change summary of tRNA isoacceptor families in X.tropicalis NF Stage 25 dorsal sections injected with 2ng Polr3g mRNA versus control uninjected across 3 biological replicates. (D) Expression fold change summary of tRNA isoacceptor families in X.tropicalis NF Stage 25 dorsal sections injected with 2ng Polr3gL mRNA versus control uninjected across 3 biological replicates. Orange indicates up-regulated transcription, blue indicates down-regulated transcription, and pink indicates no change in expression. SEM is presented as error bars and * indicates the level of statistical significance between control and injected samples after Bonferroni Correction. (E) Scatterplot comparing normalised expression of tRNA isoacceptor families in embryos overexpressing Polr3g compared to those overexpressing Polr3gL. Solid line indicates no expression difference. Dashed lines indicate 2 fold change in expression. Polr3g values are on the X-axis and Polr3gL values are on the Y-axis. (F) Expression fold change summary of selected contractile proteins in X.tropicalis NF Stage 25 dorsal sections injected with 2ng of Polr3g (orange) or Polr3gL (blue) mRNA versus control uninjected across 3 biological replicates. SEM is presented as error bars and * indicates the level of statistical significance between control and injected samples after Bonferroni Correction. |
|
Fig. 6. Downregulation of Pol III activity in a myogenic explant model. Overexpression of Fgf4 â+ âWnt8 in NF Stage 25 X.tropicalis animal explants results in a downregulation of RNA Polymerase III transcripts and an upregulation of mRNAs associated with myogenic differentiation. Expression fold change summary of X.tropicalis NF Stage 25 animal cap explants dissected from embryos injected with 5pg Fgf4 and 50pg Wnt8 mRNA compared to explants taken from control uninjected embryos across 3 biological replicates. Only RNAs with raw signal intensities of >10 were included in the analyses. (A) RNA Polymerase III target genes (significantly altered tRNA isoacceptor families are in blue, other significantly altered RNA Polymerase III targets are shown in red). (B) Contractile protein gene expression is highly upregulated (note the log scale). (C) Expression of the Myogenic Regulatory Factor (MRF) genes is also upregulated in Fgf4 â+ âWnt8 explants. (D) Selected genes associated with pluripotency and cell cycle regulators are differentially affected in Fgf4 â+ âWnt8 explants. (E) Overexpression of Fgf4 â+ âWnt8 in NF Stage 25 animal cap explants results in downregulation of some genes coding for proteins associated with RNA Polymerase III core transcription machinery. Pink in all panels indicates no significant change in expression, while blue is significantly down and orange is significantly up. SEM is presented as error bars and * indicates the level of statistical significance between control and injected samples after Bonferroni Correction. |
|
Fig. 7. Polr3g overexpression restricts myogenic differentiation in an explant model of myogenesis without eliciting any recovery of tRNA expression, qRT-PCR analysis of RNA extracted from explants injected with either Fgf4 â+ âWnt8, or Fgf4+ Wnt8 â+ âPolr3g and cultured to stage 25. (A) Analysis shows a significant decrease in tRNA isoacceptors for iMethionineCAT, TyrosineGTA and AlanineAGC in both experimental groups as compared to uninjected control explants at stage 25. Pair-wise t-tests were carried out for each tRNA's mean relative expression comparing the mean Ct values normalised to control gene Dicer, for the three biological replicates, between the uninjected controls and the experimental groups. Error bars represent SEM. (B) qPCR analysis shows high increase in differentiation specific mRNAs actc1, act3 and myh4 activated by myogenic inducing factors FGF4+Wnt8. The mean relative expression of two biological replicates was plotted (muscle gene expression is not detectable in un-induced animal caps). Mean fold changes of 3306 (actc1), 249,870 (act3) and 96,436 (myh4) were found in Fgf4/Wnt8 samples and set to 1.0; these were reduced to 14%, 7% and 15% of this level, respectively, when Polr3g was co-expressed. Error bars represent SEM. |
|
Supplemental Figure 1 Expression of PolR3G during Xenopus tropicalis development. (A-D) In situ hybridisation of X.tropicalis stage series for Polr3G. Embryos were collected at cleavage (4-cell) (A-A*), late neural (St18) (B-B*), early tailbud (St23) (C-C*) and late tailbud (D) stages. e=eye psm=pre-segmented mesoderm; pn=pronephros, s=somites. |
|
Supplemental Figure 2 Expression of PolR3GL during Xenopus tropicalis development. (A-C) In situ hybridisation of X.tropicalis stage series for Polr3gL. Embryos were collected at cleavage (8-cell) (A-A*), late neural (St18) (B-B*), early tailbud (St23) (C-C*) stages. Arrow heads in B and B* indicate neural plate. Arrowheads in C and C* are branchial arches and neural tube; lpm = lateral plate mesoderm. |
|
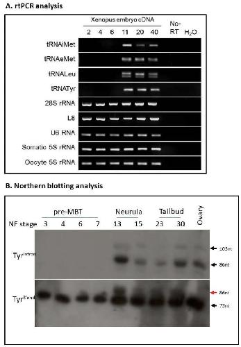
Supplemental Figure 3 3A RT-PCR analysis of tRNA transcription for selected families of tRNAs Tyr (GTA), Leu (CAA), iMet and eMet (CAT) at pre-MBT stages 2-6 and post MBT stages 20, 40. The RNA polymerase III target U6 RNA was also included as another Polymerase III transcriptional target and the gene Dicer was included as a normalisation control. RT-PCR shows a failure to detect tRNA prior to the activation of zygotic transcription; new transcripts are detected. 3B Northern analysis of tRNA Total RNA was extracted from 10 X. tropicalis embryos at the indicated developmental stage. RNA was run on a 6% Acrylamide/Urea gel and transferred to nitrocellulose. Probes were 22nt oligos end-labelled with P32. Northern blotting confirms the presence of mature tRNAs (73nt) in Xenopus embryos throughout early development using a probe against the 3âend of the mature transcript. The activation of new tRNA transcripts is detected using a probe against the intron revealing bands at 103nt and 86nt that are unprocessed tRNA transcripts. tRNA Tyr intron sequence: ACCTAAGGATTGCTGTATCACACC; tRNA Tyr 3â sequence: TCCTTCGAGCCGGAATTGAACCAG. |
|
Supplemental Figure 4 Correlation of tRNA isoacceptor expression levels with codon usage of mRNA Correlation plots for tRNA expression versus codon usage using Spearman correlation coefficient for (A) control embryos at NF Stage 9 = 0.175; and (B) dorsal sections at Stage 25 = 0.343. Each data point indicates a tRNA isoacceptor family expressed above threshold levels in the microarray. Isoacceptor families encoding the same amino acid are the same colour. Data points were included for all three biological replicates. In A codon usage is calculated from all expressed mRNAS while in B codon usage is calculated using only mRNAs coding for contractile proteins. Correlation value in A indicates a weak positive linear relationship, while in B there is a moderate positive relationship. |
|
Supplemental Figure 5 Transcription of tRNAs is downregulated in differentiating dorsal regions at NF stage 25 compared to undifferentiated stage 9 embryos. Expression fold change summary of tRNA isoacceptor familes with expression values of >10 in control NF stage 25 dorsal regions compared with control NF stage 9 embryos. Normalised expression values across 3 biological replicates were averaged and analysed by paired t-test. SEM is presented as error bars and * indicates the level of statistical significance after an adjusted p value is calculated by Bonferroni Correction. |