Click here to close
Hello! We notice that you are using Internet Explorer, which is not supported by Xenbase and may cause the site to display incorrectly.
We suggest using a current version of Chrome,
FireFox, or Safari.
Int J Mol Sci
2020 Mar 31;217:. doi: 10.3390/ijms21072400.
Show Gene links
Show Anatomy links
Trefoil Factor Family (TFF) Modules Are Characteristic Constituents of Separate Mucin Complexes in the Xenopus laevis Integumentary Mucus: In Vitro Binding Studies with FIM-A.1.
???displayArticle.abstract???
The skin of the frog Xenopus laeevis is protected from microbial infections by a mucus barrier that contains frog integumentary mucins (FIM)-A.1, FIM-B.1, and FIM-C.1. These gel-forming mucins are synthesized in mucous glands consisting of ordinary mucous cells and one or more cone cells at the gland base. FIM-A.1 and FIM-C.1 are unique because their cysteine-rich domains belong to the trefoil factor family (TFF). Furthermore, FIM-A.1 is unusually short (about 400 amino acid residues). In contrast, FIM-B.1 contains cysteine-rich von Willebrand D (vWD) domains. Here, we separate skin extracts by the use of size exclusion chromatography and analyze the distribution of FIM-A.1 and FIM-C.1. Two mucin complexes were detected, i.e., a high-molecular-mass Complex I, which contains FIM-C.1 and little FIM-A.1, whereas Complex II is of lower molecular mass and contains the bulk of FIM-A.1. We purified FIM-A.1 by a combination of size-exclusion chromatography (SEC) and anion-exchange chromatography and performed first in vitro binding studies with radioactively labeled FIM-A.1. Binding of 125I-labeled FIM-A.1 to the high-molecular-mass Complex I was observed. We hypothesize that the presence of FIM-A.1 in Complex I is likely due to lectin interactions, e.g., with FIM-C.1, creating a complex mucus network.
Figure 1. Schematic structure of a mucous gland from X. laevis skin (A) as well as the integumentary mucins FIM-A.1 and FIM-C.1 (B). (A) The postulated migration of ordinary mucous cells towards the base of the gland during self-renewal is indicated by arrows. Also shown are the different types of secretory granules in ordinary mucous and cone cells, respectively. (B) The TFF domains in FIMs are shown in green, highly O-glycosylated regions typical of mucins are indicated by hexagons, and a potential N-glycosylation site is indicated with a square. The arrow in FIM-A.1 represents the cleavage site in the precursor by signal peptidase.
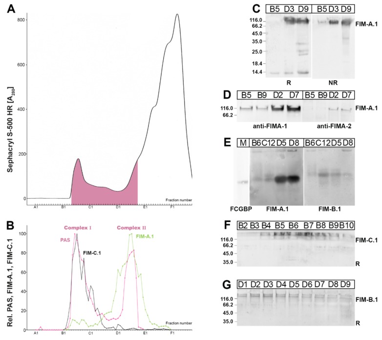
Figure 2. FPLC purification and analysis of FIM-A.1 and FIM-C.1 from a ventral X. laevis skin extract. (A) Elution profile after SEC on an S-500 column as determined by absorbance at 280 nm (PAS-positive mucin fractions: pink). (B) Distribution of the relative FIM-A.1 (green) and FIM-C.1 content (black) as determined by Western blot analysis under reducing conditions and semi-quantitative analysis of the characteristic ⥠116,000 band (antiserum anti-FIMA-1) or the â« 116,000 smear (antiserum anti-FIMC-1). The mucin content was semi-quantitatively analyzed using the PAS reaction (pink; Complexes I and II are marked). (C) 15% SDS-PAGE under reducing (R) or non-reducing (NR) conditions and subsequent Western blot analysis of the fractions B5, D3, and B9 using anti-FIMA-1. Molecular mass standard: left. (D) 15% SDS-PAGE under reducing conditions of the fractions B5, B9, D2, and D7 and Western blot analysis using antiserum anti-FIMA-1 or anti-FIMA-2. (E) 1% AgGE of the fractions B6, C12, D5, and D8 and Western blot analysis using anti-FIMA-1 or anti-FIMB-1. Molecular mass standard (M): FCGBP from human colonic mucus. (F) 15% SDS-PAGE of fractions B2âB10 under reducing conditions and Western blot analysis using anti-FIMC-1. (G) 15% SDS-PAGE under reducing conditions of fractions D1âD9 and Western blot analysis using anti-FIMB-1.
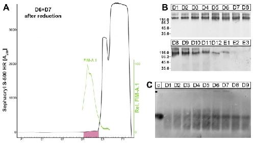
Figure 3. Analysis of X. laevis FIM-A.1 by SEC after reduction. Fractions D6 + D7 (1.5 mL each) from SEC of Figure 2 were reduced in boiling 4.7% β-mercaptoethanol/0.1% SDS and separated immediately thereafter by SEC on an S-500 column. (A) Elution profile as determined by absorbance at 280 nm (PAS-positive mucin fractions: pink). Relative FIM-A.1 content (green), as determined by Western blot analysis under reducing conditions and semi-quantitative analysis of the characteristic ≥ 116,000 band (anti-FIMA-1). (B) 15% SDS-PAGE under non-reducing conditions and Western blot analysis of fractions D1–E3 using anti-FIMA-1. (C) 1% AgGE of fractions D1–D9 and Western blot analysis using anti-FIMA-1; for comparison (C): fraction D7 from Figure 2 (S-500 before reduction).
Figure 4. Purification of X. laevis FIM-A.1 by SEC and anion-exchange chromatography. (A) Fractions D4 + D5 (1 mL each) from the SEC of Figure 2 were separated by anion-exchange chromatography on Resource Q6. Elution profile as determined by absorbance at 280 nm (PAS-positive mucin fractions: pink). (B) 15% SDS-PAGE of fractions B9–C3 under reducing conditions and Western blot analysis using anti-FIMA-1. (C) 15% SDS-PAGE of fractions B9–C2 under non-reducing conditions and silver staining. For comparison, Western blot analysis of fraction C1 using anti-FIMA-1. (D) Separation of fractions D8 + D9 analogous as described in (A). (E) Western blot analysis of fractions B10–C4 using anti-FIMA-1. (F) Silver staining of fractions B10–C1 and Western blot analysis of fraction C1 using anti-FIMA-1.
Figure 5. In vitro binding of 125I-labeled FIM-A.1 with mucin fractions from X. laevis skin (overlay assay). FIM-A.1 was purified from X. laevis skin via SEC (from Figure 2) followed by anion-exchange chromatography of fractions D4 + D5 (see Figure 4A). Then, fraction B11 containing purified FIM-A.1 (Figure 4A) was labeled with 125I. 1% AgGE of fractions B1âC10 after SEC from Figure 2 and hybridization of the blot with 125I-FIM-A.1 (autoradiography). The start and the dye bromophenol blue (BPB) are marked on the left. For comparison, FIM-A.1 was detected on the same blot by immunostaining with anti-FIMA-1 (WB, Western blot; C9).
Albert,
Human intestinal TFF3 forms disulfide-linked heteromers with the mucus-associated FCGBP protein and is released by hydrogen sulfide.
2010, Pubmed
Albert,
Human intestinal TFF3 forms disulfide-linked heteromers with the mucus-associated FCGBP protein and is released by hydrogen sulfide.
2010,
Pubmed Bevins,
Peptides from frog skin.
1990,
Pubmed
,
Xenbase Braga Emidio,
Trefoil Factor Family: Unresolved Questions and Clinical Perspectives.
2019,
Pubmed Dubaissi,
Functional characterization of the mucus barrier on the Xenopus tropicalis skin surface.
2018,
Pubmed
,
Xenbase Engelhardt,
Coupled secretion of chloride and mucus in skin of Xenopus laevis: possible role for CFTR.
1994,
Pubmed
,
Xenbase Flucher,
Skin peptides in Xenopus laevis: morphological requirements for precursor processing in developing and regenerating granular skin glands.
1986,
Pubmed
,
Xenbase Gustafsson,
Bicarbonate and functional CFTR channel are required for proper mucin secretion and link cystic fibrosis with its mucus phenotype.
2012,
Pubmed Hanisch,
Human gastric TFF2 peptide contains an N-linked fucosylated N,N'-diacetyllactosediamine (LacdiNAc) oligosaccharide.
2013,
Pubmed Hauser,
P-domains as shuffled cysteine-rich modules in integumentary mucin C.1 (FIM-C.1) from Xenopus laevis. Polydispersity and genetic polymorphism.
1992,
Pubmed
,
Xenbase Hauser,
Expression of spasmolysin (FIM-A.1): an integumentary mucin from Xenopus laevis.
1990,
Pubmed
,
Xenbase Hauser,
xP2, a new member of the P-domain peptide family of potential growth factors, is synthesized in Xenopus laevis skin.
1992,
Pubmed
,
Xenbase Heuer,
Different Forms of TFF2, A Lectin of the Human Gastric Mucus Barrier: In Vitro Binding Studies.
2019,
Pubmed Hoffmann,
Biosynthesis of caerulein in the skin of Xenopus laevis: partial sequences of precursors as deduced from cDNA clones.
1983,
Pubmed
,
Xenbase Hoffmann,
Biosynthesis and molecular architecture of gel-forming mucins: implications from an amphibian model system.
1995,
Pubmed Hoffmann,
Biosynthesis of frog skin mucins: cysteine-rich shuffled modules, polydispersities and genetic polymorphism.
1993,
Pubmed
,
Xenbase Hoffmann,
A novel peptide designated PYLa and its precursor as predicted from cloned mRNA of Xenopus laevis skin.
1983,
Pubmed
,
Xenbase Hoffmann,
A new repetitive protein from Xenopus laevis skin highly homologous to pancreatic spasmolytic polypeptide.
1988,
Pubmed
,
Xenbase Hoffmann,
TFF2, a MUC6-binding lectin stabilizing the gastric mucus barrier and more (Review).
2015,
Pubmed Hoffmann,
Trefoil factor family (TFF) peptides: regulators of mucosal regeneration and repair, and more.
2004,
Pubmed Hoffmann,
Cell type specific expression of secretory TFF peptides: colocalization with mucins and synthesis in the brain.
2002,
Pubmed
,
Xenbase Hoffmann,
Current Status on Stem Cells and Cancers of the Gastric Epithelium.
2015,
Pubmed Hoffmann,
The P-domain or trefoil motif: a role in renewal and pathology of mucous epithelia?
1993,
Pubmed Joba,
Similarities of integumentary mucin B.1 from Xenopus laevis and prepro-von Willebrand factor at their amino-terminal regions.
1997,
Pubmed
,
Xenbase Johansson,
The gastrointestinal mucus system in health and disease.
2013,
Pubmed Kjellev,
The trefoil factor family - small peptides with multiple functionalities.
2009,
Pubmed Kouznetsova,
Self-renewal of the human gastric epithelium: new insights from expression profiling using laser microdissection.
2011,
Pubmed Lang,
Gel-forming mucins appeared early in metazoan evolution.
2007,
Pubmed
,
Xenbase Liu,
A novel non-lens betagamma-crystallin and trefoil factor complex from amphibian skin and its functional implications.
2008,
Pubmed Marschal,
Sequence and specificity of a soluble lactose-binding lectin from Xenopus laevis skin.
1992,
Pubmed
,
Xenbase Perez-Vilar,
Reevaluating gel-forming mucins' roles in cystic fibrosis lung disease.
2004,
Pubmed Perez-Vilar,
The structure and assembly of secreted mucins.
1999,
Pubmed Probst,
An integumentary mucin (FIM-B.1) from Xenopus laevis homologous with von Willebrand factor.
1990,
Pubmed
,
Xenbase Probst,
The polymorphic integumentary mucin B.1 from Xenopus laevis contains the short consensus repeat.
1992,
Pubmed
,
Xenbase Ramsey,
Immune defenses against Batrachochytrium dendrobatidis, a fungus linked to global amphibian declines, in the South African clawed frog, Xenopus laevis.
2010,
Pubmed
,
Xenbase Reeves,
Helicobacter pylori lipopolysaccharide interacts with TFF1 in a pH-dependent manner.
2008,
Pubmed Schumacher,
Molecular anatomy of a skin gland: histochemical and biochemical investigations on the mucous glands of Xenopus laevis.
1994,
Pubmed
,
Xenbase Shoji,
Characterization of the Xenopus galectin family. Three structurally different types as in mammals and regulated expression during embryogenesis.
2003,
Pubmed
,
Xenbase Stürmer,
The TFF Peptides xP1 and xP4 Appear in Distinctive Forms in the Xenopus laevis Gastric Mucosa: Indications for Different Protective Functions.
2019,
Pubmed
,
Xenbase Stürmer,
Porcine gastric TFF2 is a mucus constituent and differs from pancreatic TFF2.
2014,
Pubmed Stürmer,
Commercial Porcine Gastric Mucin Preparations, also Used as Artificial Saliva, are a Rich Source for the Lectin TFF2: In Vitro Binding Studies.
2018,
Pubmed Thornton,
Quantitation of mucus glycoproteins blotted onto nitrocellulose membranes.
1989,
Pubmed