Click here to close
Hello! We notice that you are using Internet Explorer, which is not supported by Xenbase and may cause the site to display incorrectly.
We suggest using a current version of Chrome,
FireFox, or Safari.
Gen Comp Endocrinol
2020 Jun 01;292:113441. doi: 10.1016/j.ygcen.2020.113441.
Show Gene links
Show Anatomy links
Stem cell development involves divergent thyroid hormone receptor subtype expression and epigenetic modifications in the Xenopus metamorphosing intestine.
???displayArticle.abstract???
In the intestine during metamorphosis of the frog Xenopus laevis, most of the larval epithelial cells are induced to undergo apoptosis by thyroid hormone (TH), and under continued TH action, the remaining epithelial cells dedifferentiate into stem cells (SCs), which then newly generate an adult epithelium analogous to the mammalian intestinal epithelium. Previously, we have shown that the precursors of the SCs that exist in the larval epithelium as differentiated absorptive cells specifically express receptor tyrosine kinase-like orphan receptor 2 (Ror2). By using Ror2 as a marker, we have immunohistochemically shown here that these SC precursors, but not the larval epithelial cells destined to die by apoptosis, express TH receptor α (TRα). Upon initiation of TH-dependent remodeling, TRα expression remains restricted to the SCs as well as proliferating adult epithelial primordia derived from them. As intestinal folds form, TRα expression becomes localized in the trough of the folds where the SCs reside. In contrast, TRβ expression is transiently up-regulated in the entire intestine concomitantly with the increase of endogenous TH levels and is most highly expressed in the developing adult epithelial primordia. Moreover, we have shown here that global histone H4 acetylation is enhanced in the SC precursors and adult primordia including the SCs, while tri-methylation of histone H3 lysine 27 is lacking in those cells during metamorphosis. Our results strongly suggest distinct roles of TRα and TRβ in the intestinal larval-to-adult remodeling, involving distinctive epigenetic modifications in the SC lineage.
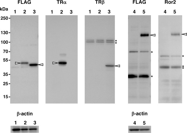
Fig. 1. The rabbit or mouse antibodies against human TRα, TRβ, and Ror2 cross-react with X. laevis TRα, TRβ, and Ror2 proteins, respectively. In vitro-translated (IVT) proteins (1. Non-template control, 2. FLAG-TRα, 3. FLAG-TRβ) and proteins extracted from X. laevis embryos (4. uninjected, 5. Ror2-FLAG mRNA-injected) were analyzed by Western blotting to detect the indicated peptide/protein. Arrowheads indicate the specific signals with the expected molecular weight. Asterisks indicate non-specific signals as they are also detected in the negative control. The mouse anti-human β-actin antibody was used for the loading control.
Fig. 2. Expression of TRα and TRβ mRNAs in the small intestine during metamorphosis. Total RNA was prepared from the intestine of X. laevis tadpoles at indicated developmental stages and was analyzed by qRT-PCR. Levels of TRα (A) and TRβ mRNAs (B) are shown relative to those of ribosomal protein L8 (rpL8.S) mRNA, with the values at stage 54 set to 1. Error bars represent the SEM (n = 3). The values were analyzed by ANOVA followed by Scheffe’s post hoc test, and the results are shown only for the adjacent developmental stages. Asterisks indicate that the mRNA levels are significantly different. **: P < 0.01, n.s.: not significant.
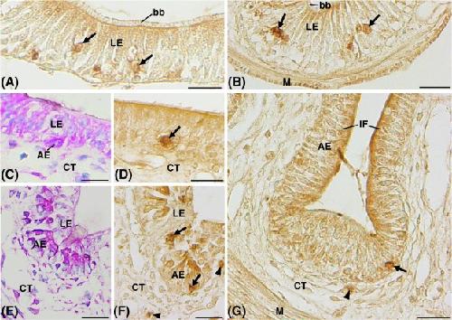
Fig. 3. Expression pattern of TRα in the small intestine during metamorphosis. Cross sections were immunostained with anti-TRα antibody (A, B, D, F, G) or stained with methyl green-pyronine (MG-P) (C, E). (A) Stage 54. (B) Stage 57. The larval epithelium (LE) is simple columnar. Some nuclei of absorptive epithelial cells possessing the brush border (bb) are positive for TRα (arrows in a and b). (C, D) Stage 60. Primordia of the adult epithelium (AE) stained strongly red with MG-P appear between the larval epithelium and the connective tissue (CT) (C), and their nuclei are positive for TRα (arrow in D). (E, F) Stage 61. Nuclei positive for TRα are detectable in the adult epithelial primordia (arrows in F) but not in the degenerating larval epithelium. Nuclei positive for TRα are detectable in the connective tissue (arrowheads in F). (G) Stage 66. Epithelial nuclei positive for TRα are mostly localized in the trough of newly-formed intestinal folds (IF) (arrow). Nuclei positive for TRα are also detectable in the connective tissue (arrowhead). M, muscle. Scale bars = 20 μm.
Fig. 4. Expression pattern of TRβ in the small intestine during metamorphosis. Cross sections were immunostained with anti-TRβ antibody. (A) Stage 54. The immunoreactivity for TRβ is very weak, if any, in the larval epithelium (LE). (B) Stage 57. Some nuclei of the larval epithelium are very weakly positive for TRβ. (C) Stage 60. The cytoplasm of the adult epithelial primordia (AE; dashed line) is highly positive for TRβ (arrow). (D) Stage 61. Most of the nuclei in the adult epithelial primordia (dashed lines) are positive for TRβ (arrows). In addition, some nuclei of the connective tissue (CT) are positive for TRβ (arrowheads). (E) Stage 66. Nuclei positive for TRβ are occasionally detectable in the entire adult epithelium and the connective tissue. M, muscle. Scale bars = 20 μm.
Fig. 5. TRα expression correlates with intestinal SC precursors and proliferating SCs expressing Ror2. Cross sections of the Tg intestine expressing GFP under the control of Ror2 promoter were double-immunostained with anti-GFP (A-D; green) and anti-Ror2 (A, B; red) or anti-TRα (C, D; red) antibodies followed by counterstaining with DAPI (A-D; blue). (A, C) Stage 57. Cells positive for GFP (arrows in A, C) in the larval epithelium (LE) are consistent with SC precursors expressing Ror2 (arrows in A), and their nuclei are positive for TRα (arrowheads in C). (B, D) Stage 61. Cells positive for GFP (arrows in B, D) are consistent with adult epithelial primordial cells positive for Ror2 (arrows in B), and some of their nuclei are positive for TRα (arrowheads in D). CT, connective tissue. Scale bars = 20 μm.
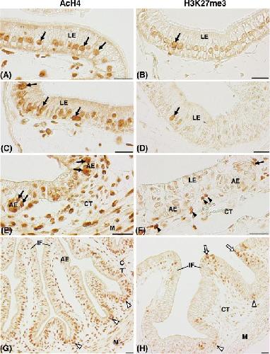
Fig. 6. Changes in global active AcH4 and repressive H3K27me3 levels in the small intestine during metamorphosis. Cross sections were immunostained with anti-AcH4 (A, C, E, G) and anti-H3K27me3 antibodies (B, D, F, H). (A, B) Stage 54. (C, D) Stage 57. Nuclei positive for AcH4 (arrows in A and C) and those for H3K27me3 (arrows in B and D) are randomly distributed in the larval epithelium (LE) with various degree of intensity, although nuclei positive for AcH4 are more numerous than those for H3K27me3. (E, F) Stage 61. Almost all of the nuclei in primordia of the adult epithelium (AE) are highly positive for AcH4 (arrows in E) but negative for H3K27me3 (F). In the connective tissue (CT), numerous nuclei are positive for AcH4 (E), whereas those positive for H3K27me3 are much fewer and mostly localized in the region surrounding the adult epithelial primordia (arrowheads in F). (G, H) Stage 66. Epithelial nuclei highly positive for AcH4 tend to be localized in the trough of the intestinal folds (IF) (arrowheads in G), whereas those for H3K27me3 are mostly localized in their tip (arrows in H) and trough (arrowheads in H). M, muscle. Scale bars = 20 μm.
Fig. 7. Active histone modifications in intestinal SC lineages expressing TRs. Cross sections of the Tg intestine were double-immunostained with anti-GFP (A-D: green) and anti-AcH4 (A, B; red) or anti-H3K27me3 antibodies (C, D; red) followed by counterstaining with DAPI (A-D; blue). (A, C) Stage 57. Cells expressing GFP (arrows in A, C) in the larval epithelium (LE), that is, SC precursors expressing TRα, are positive for AcH4 (arrowheads in A) but negative for H3K27me3 (arrowheads in C). (b, d) Stage 61. Adult epithelial primordia expressing GFP (arrows in B, D) are highly positive for AcH4 (arrowheads in B) but negative for H3K27me3 (arrowheads in D). CT, connective tissue. Scale bars = 20 μm.
Fig. 8. Schematic illustration showing correlations of TRα and TRβ expression with histone modifications in the SC lineage during the X. laevis intestinal remodeling. SC precursors (pre-SCs) that express Ror2 specifically express TRα. In the presence of low TH levels at stage 57, the SC precursors with liganded TRα show active (AcH4) histone marks. After their dedifferentiation into SCs at stage 60, the global AcH4 levels increase in adult epithelial primordia, which consists of the SCs and SC progeny and most highly express TRβ under the highest TH levels. In contrast, repressive H3K27me3 levels remain very low, if any, in the SC precursors and the adult epithelial primordia. At stage 66, both TRα expression and AcH4 marks are localized in the trough of intestinal folds where the SCs reside. On the other hand, H3K27me3 marks are localized in not only the trough but also the tip where epithelial cells undergo apoptosis. The levels are scored as ±, low; +, moderate; ⧺, high.