Click here to close
Hello! We notice that you are using Internet Explorer, which is not supported by Xenbase and may cause the site to display incorrectly.
We suggest using a current version of Chrome,
FireFox, or Safari.
Semin Cell Dev Biol
2020 Apr 01;100:109-121. doi: 10.1016/j.semcdb.2019.11.014.
Show Gene links
Show Anatomy links
Insights regarding skin regeneration in non-amniote vertebrates: Skin regeneration without scar formation and potential step-up to a higher level of regeneration.
Abe G, Hayashi T, Yoshida K, Yoshida T, Kudoh H, Sakamoto J, Konishi A, Kamei Y, Takeuchi T, Tamura K, Yokoyama H.
???displayArticle.abstract??? Skin wounds are among the most common injuries in animals and humans. Vertebrate skin is composed of an epidermis and dermis. After a deepskin injury in mammals, the wound heals, but the dermis cannot regenerate. Instead, collagenous scar tissue forms to fill the gap in the dermis, but the scar does not function like the dermis and often causes disfiguration. In contrast, in non-amniote vertebrates, including fish and amphibians, the dermis and skin derivatives are regenerated after a deepskin injury, without a recognizable scar remaining. Furthermore, skin regeneration can be compared with a higher level of organ regeneration represented by limb regeneration in these non-amniotes, as fish, anuran amphibians (frogs and toads), and urodele amphibians (newts and salamanders) have a high capacity for organ regeneration. Comparative studies of skin regeneration together with limb or other organ regeneration could reveal how skin regeneration is stepped up to a higher level of regeneration. The long history of regenerative biology research has revealed that fish, anurans, and urodeles have their own strengths as models for regeneration studies, and excellent model organisms of these non-amniote vertebrates that are suitable for molecular genetic studies are now available. Here, we summarize the advantages of fish, anurans, and urodeles for skin regeneration studies with special reference to three model organisms: zebrafish (Danio rerio), African clawed frog (Xenopus laevis), and Iberian ribbed newt (Pleurodele waltl). All three of these animals quickly cover skin wounds with the epidermis (wound epidermis formation) and regenerate the dermis and skin derivatives as adults. The availability of whole genome sequences, transgenesis, and genome editing with these models enables cell lineage tracing and the use of human disease models in skin regeneration phenomena, for example. Zebrafish present particular advantages in genetics research (e.g., human disease model and Cre-loxP system). Amphibians (X. laevis and P. waltl) have a skin structure (keratinized epidermis) common with humans, and skin regeneration in these animals can be stepped up to limb regeneration, a higher level of regeneration.
Fig. 1. Skin structures of fish and amphibians.
Illustrations represent the skin of an adult (metamorphosed) fish or amphibian.
A. Common structures of vertebrate skin. The dermis is thicker than the epidermis.
B. In teleosts, the epidermis is exclusively composed of living cells and does not contain a keratinized (enucleated) cell layer. Mucous cells are located in the epidermal layer. The dermal scales are covered by the epidermis. The scales are located in the upper dermis (light color), not in the lower dermis (dark color).
C. In amphibians, the skin has a single keratinized layer (stratum corneum) along the surface of the epidermis. Mucous glands and granular glands are located in the dermis. e, epidermis; d, dermis; h, hypodermal tissues; bm, basement membrane. Panels B and C are modifications of Figs. 7 and 8 in Schempp et al. [17].
Fig. 2. Scar-forming skin wound healing in an adult mammal.
A. Hemostasis/inflammation phase. In mammals, the upper epidermal layers are keratinized and enucleated. When both the epidermis and dermis are injured, a fibrin clot fills the damaged area and traps platelets. Then neutrophils and macrophages invade the clot.
B. Proliferation phase. Fibroblasts migrate from outside of the wound to the wound and proliferate. The clot is replaced with granulation tissue that contains a capillary network, fibroblasts, and ECM newly formed by the fibroblasts. As the newly formed capillaries make this tissue granular in appearance, it is called ‘granulation tissue’. The wound surface is gradually covered by migratory epidermal cells.
C. Maturation phase. Granulation tissue is replaced with scar tissue, which is composed primarily of excessive amounts of collagen. Fibroblasts and capillaries are rarely found in scar tissue.
e, epidermis; d, dermis; h, hypodermal tissues; m, macrophage; n, neutrophil; p, platelet.
Fig. 3. Skin regeneration in adult zebrafish.
A. A full-thickness excisional wound on the left side of an adult zebrafish at 0 h post wounding (hpw). A skin wound was introduced by removal of the epidermis and dermis layers and the underlying hypodermal tissues. As a result, the underlying muscle tissues were denuded.
A’. Schematic drawing of a cross-section of the wound region.
B-E. Enlarged view of the original wound site corresponding to the rectangle in A. Illustrations in B to E show schematic drawings of the cross-section of the wound region at each time point. Epidermal cells entirely covered the wound site within 12 hpw (B). At 3 days post wounding (dpw), granulation tissue was formed, and neovascularization had occurred (C). The granulation tissue was reduced, and reconstitution of lost scales began at 7 dpw (D). The skin tissues, including scales and pigment cells, were regenerated by 28 dpw (E).
(A) Bar =1 mm; (B) bar =100 μm. Photographs in B to E are at the same magnification. All five samples exhibited consistent results. Illustrations were modified from Richardson [69].
Fig. 4. Skin regeneration and GFP labeling of subcutaneous cells using IR-LEGO in a X. laevis froglet.
A. Skin regeneration process. Illustrations represent dorsal trunk skin 0 h (left), 4 days (middle), and 1 month (right) after full-thickness excisional wounding. e, epidermis; d, dermis; h, hypodermal tissues.
B. Example of a skin wound immediately after excision. Upper panel shows the location of the skin wound on a wild-type froglet. Lower panel shows the same skin wound at high magnification.
C. Immediately after the same skin excision as that shown in B had been made, denuded subcutaneous tissues in the hsp70-gfp Tg froglet were irradiated using an infrared laser.
D. Two-photon 3D imaging data of gene induction in the same sample. Image stacks were acquired from the dashed square in (C). 3D intravital imaging. Z-projection of an xy image stack is shown in the upper panel. A representative xz image (lower panel) was acquired along the dotted line in the upper panel. Subcutaneous cells at approximately 100 μm in depth were labeled with GFP. White arrowheads indicate the surface of the denuded subcutaneous tissues. Vertical bar =100 μm. White arrows indicate cells GFP-labeled using IR-LEGO. Black arrowheads indicate the four corners of the skin wound. (B-upper) bar =10 mm; (B-lower) bar =1 mm; (C) bar =500 μm.
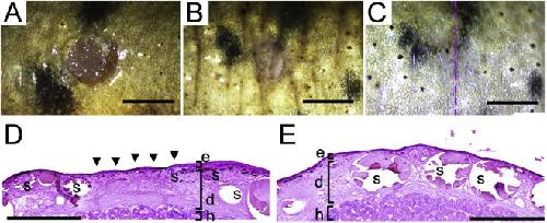
Fig. 5. Skin regeneration in a P. waltl adult.
Tail skin of a P. waltl newt at 0 h (A), 2 weeks (B), and 4 weeks (C) after full-thickness excisional wounding. Hematoxylin and eosin (HE) staining of a section of regenerating skin 4 weeks after wounding (D, bracket), and intact skin (E). B and C show the same wound. The dashed line in C indicates a plane of the section shown in D. Scale bars indicate 2 mm in A–C and 400 μm in D and E.
D and E show cross-sections. The dashed line in C indicates a plane of the section in D. Secretion glands were well developed in the intact skin (E). In the central area of regenerating skin (indicated by arrowheads in D), the secretion glands were small and undeveloped at 4 weeks after wounding. e, epidermis; d, dermis; h, hypodermal tissues; s, secretion glands.
Fig. 6. Summary of the advantages of fish, anurans, and urodeles as models for skin regeneration studies.