Click here to close
Hello! We notice that you are using Internet Explorer, which is not supported by Xenbase and may cause the site to display incorrectly.
We suggest using a current version of Chrome,
FireFox, or Safari.
???displayArticle.abstract???
The gastric secretory trefoil factor family (TFF) peptides xP1 and xP4 are the Xenopus laevis orthologs of mammalian TFF1 and TFF2, respectively. The aim of this study was to analyze the molecular forms of xP1 and xP4 in the X. laevis gastric mucosa by FPLC. xP1 mainly occurred in a monomeric low-molecular-mass form and only a minor subset is associated with the mucus fraction. The occurrence of monomeric xP1 is unexpected because of its odd number of cysteine residues. Probably a conserved acidic residue flanking Cys55 allows monomeric secretion. Furthermore, Cys55 is probably post-translationally modified. For the first time, we hypothesize that the free thiol of monomeric xP1-and probably also its mammalian ortholog TFF1-could have a protective scavenger function, e.g., for reactive oxygen/nitrogen species. In contrast, xP4 mainly occurs in a high-molecular-mass form and is non-covalently bound to a mucin similarly as TFF2. In vitro binding studies with radioactively labeled porcine TFF2 even showed binding to X. laevis gastric mucin. Thus, xP4 is expected to bind as a lectin to an evolutionary conserved sugar epitope of the X. laevis ortholog of mucin MUC6 creating a tight mucus barrier. Taken together, xP1 and xP4 appear to have different gastric protective functions.
Figure 1. Schematic representation of the (TFF) peptides xP1 and xP4 consisting of 55 and 207 amino acids, respectively. The conserved cysteine residues including disulfide bridges are shown in yellow. The N-glycosylation site in xP4.1 is indicated by a hexagon, which is missing in xP4.2.
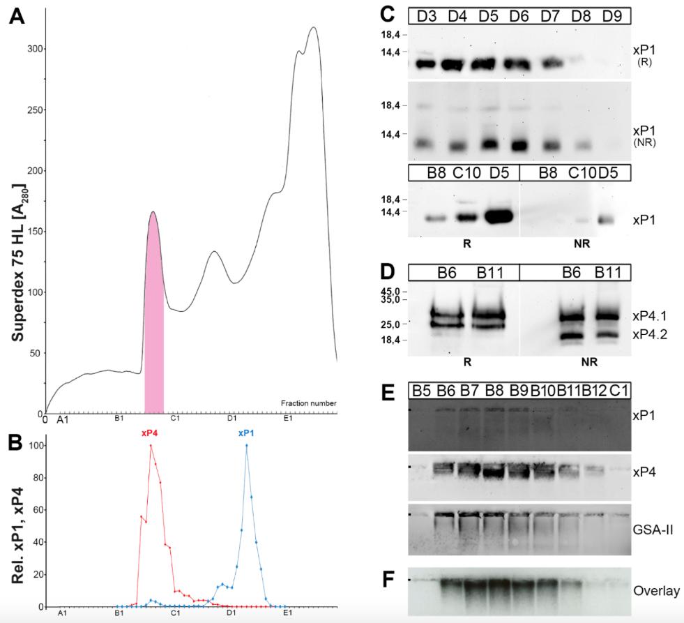
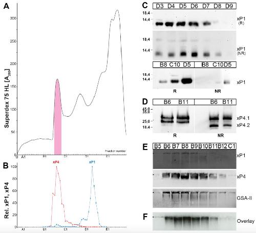
Figure 2. FPLC purification and analysis of xP1 and xP4 from a X. laevis gastric extract. (A) Elution profile after SEC on a Superdex 75 HL column as determined by absorbance at 280 nm (PAS-positive mucin fractions: pink). (B) Distribution of the relative xP1 (blue) and xP4 content (red) as determined by Western blot analysis under reducing conditions and semi-quantitative analysis of the typical 7k-and 25â30k double band intensities, respectively. (C) 15% SDS-PAGE and subsequent Western blot analysis of the low-molecular-mass fractions D3âD9 and the fractions B8/C10/D5, respectively. Samples were analyzed under reducing (R) and non-reducing conditions (NR), respectively, for their xP1 immunoreactivity. Molecular mass standard: left. (D) 15% SDS-PAGE and subsequent Western blot analysis of high-molecular-mass fractions B6/B11. Samples were analyzed under reducing (R) and non-reducing conditions (NR), respectively, for their xP4 immunoreactivity. The molecular mass standard is indicated on the left. (E) 1% AgGE and subsequent Western blot analysis of high-molecular-mass fractions B5âC1. Shown are reactivities for xP1, xP4, GSA-II and (F) the hybridization signals (autoradiography) obtained after incubating the blot with 125I-labeled porcine pancreatic TFF2 (overlay assay). The start is marked with a dot on the left.
Albert,
Human intestinal TFF3 forms disulfide-linked heteromers with the mucus-associated FCGBP protein and is released by hydrogen sulfide.
2010, Pubmed
Albert,
Human intestinal TFF3 forms disulfide-linked heteromers with the mucus-associated FCGBP protein and is released by hydrogen sulfide.
2010,
Pubmed Botzler,
Structure of the Xenopus laevis TFF-gene xP4.1, differentially expressed to its duplicated homolog xP4.2.
1999,
Pubmed
,
Xenbase Braga Emidio,
Trefoil Factor Family: Unresolved Questions and Clinical Perspectives.
2019,
Pubmed Clyne,
The Interaction of Helicobacter pylori with TFF1 and Its Role in Mediating the Tropism of the Bacteria Within the Stomach.
2019,
Pubmed Ebert,
Induction of TFF1 gene expression in pancreas overexpressing transforming growth factor alpha.
1999,
Pubmed Fox,
Accelerated progression of gastritis to dysplasia in the pyloric antrum of TFF2 -/- C57BL6 x Sv129 Helicobacter pylori-infected mice.
2007,
Pubmed Gilbert,
Molecular and cellular aspects of thiol-disulfide exchange.
1990,
Pubmed Grasberger,
Dual oxidases control release of hydrogen peroxide by the gastric epithelium to prevent Helicobacter felis infection and inflammation in mice.
2013,
Pubmed Hanisch,
Human gastric TFF2 peptide contains an N-linked fucosylated N,N'-diacetyllactosediamine (LacdiNAc) oligosaccharide.
2013,
Pubmed Hanisch,
Human trefoil factor 2 is a lectin that binds α-GlcNAc-capped mucin glycans with antibiotic activity against Helicobacter pylori.
2014,
Pubmed Hauser,
xP1 and xP4. P-domain peptides expressed in Xenopus laevis stomach mucosa.
1991,
Pubmed
,
Xenbase Hoffmann,
TFF2, a MUC6-binding lectin stabilizing the gastric mucus barrier and more (Review).
2015,
Pubmed Hoffmann,
The P-domain or trefoil motif: a role in renewal and pathology of mucous epithelia?
1993,
Pubmed Hoffmann,
Trefoil factor family (TFF) peptides: regulators of mucosal regeneration and repair, and more.
2004,
Pubmed Hoffmann,
Cell type specific expression of secretory TFF peptides: colocalization with mucins and synthesis in the brain.
2002,
Pubmed
,
Xenbase Ikuzawa,
Cloning and expression of xP1-L, a new marker gene for larval surface mucous cells of tadpole stomach in Xenopus laevis.
2007,
Pubmed
,
Xenbase Ishihara,
Peripheral alpha-linked N-acetylglucosamine on the carbohydrate moiety of mucin derived from mammalian gastric gland mucous cells: epitope recognized by a newly characterized monoclonal antibody.
1996,
Pubmed Jagla,
Differential expression of the TFF-peptides xP1 and xP4 in the gastrointestinal tract of Xenopus laevis.
1998,
Pubmed
,
Xenbase Jørgensen,
Pancreatic spasmolytic polypeptide (PSP): I. Preparation and initial chemical characterization of a new polypeptide from porcine pancreas.
1982,
Pubmed Karam,
Amplification and invasiveness of epithelial progenitors during gastric carcinogenesis in trefoil factor 1 knockout mice.
2008,
Pubmed Karam,
Trefoil factor 1 is required for the commitment programme of mouse oxyntic epithelial progenitors.
2004,
Pubmed Kawakubo,
Natural antibiotic function of a human gastric mucin against Helicobacter pylori infection.
2004,
Pubmed Kennett,
Mechanisms and consequences of oxidative damage to extracellular matrix.
2011,
Pubmed Kjellev,
Systemically administered trefoil factors are secreted into the gastric lumen and increase the viscosity of gastric contents.
2006,
Pubmed Kouznetsova,
Biosynthesis of gastrokine-2 in the human gastric mucosa: restricted spatial expression along the antral gland axis and differential interaction with TFF1, TFF2 and mucins.
2007,
Pubmed Kouznetsova,
Induced trefoil factor family 1 expression by trans-differentiating Clara cells in a murine asthma model.
2007,
Pubmed Lang,
Searching the Evolutionary Origin of Epithelial Mucus Protein Components-Mucins and FCGBP.
2016,
Pubmed
,
Xenbase Lefebvre,
Gastric mucosa abnormalities and tumorigenesis in mice lacking the pS2 trefoil protein.
1996,
Pubmed May,
The human two domain trefoil protein, TFF2, is glycosylated in vivo in the stomach.
2000,
Pubmed Nakayama,
Dual Roles of Gastric Gland Mucin-specific O-glycans in Prevention of Gastric Cancer.
2014,
Pubmed Oinuma,
Purification and immunohistochemistry of Griffonia simplicifolia agglutinin-II-binding mucus glycoprotein in rat stomach.
1994,
Pubmed Ota,
Co-localization of TFF2 with gland mucous cell mucin in gastric mucous cells and in extracellular mucous gel adherent to normal and damaged gastric mucosa.
2006,
Pubmed Poole,
The basics of thiols and cysteines in redox biology and chemistry.
2015,
Pubmed Reddy,
Formation of reversible disulfide bonds with the protein matrix of the endoplasmic reticulum correlates with the retention of unassembled Ig light chains.
1996,
Pubmed Reeves,
Helicobacter pylori lipopolysaccharide interacts with TFF1 in a pH-dependent manner.
2008,
Pubmed Ribieras,
The pS2/TFF1 trefoil factor, from basic research to clinical applications.
1998,
Pubmed Riemer,
Disulfide formation in the ER and mitochondria: two solutions to a common process.
2009,
Pubmed Rio,
Induction of pS2 and hSP genes as markers of mucosal ulceration of the digestive tract.
1991,
Pubmed Saukkonen,
Cyclooxygenase-2 expression and effect of celecoxib in gastric adenomas of trefoil factor 1-deficient mice.
2003,
Pubmed Schroeder,
Reduction of disulphide bonds unmasks potent antimicrobial activity of human β-defensin 1.
2011,
Pubmed Semple,
Dramatic diurnal variation in the concentration of the human trefoil peptide TFF2 in gastric juice.
2001,
Pubmed Session,
Genome evolution in the allotetraploid frog Xenopus laevis.
2016,
Pubmed
,
Xenbase Soutto,
Loss of Tff1 Promotes Pro-Inflammatory Phenotype with Increase in the Levels of RORγt+ T Lymphocytes and Il-17 in Mouse Gastric Neoplasia.
2017,
Pubmed Stürmer,
Porcine gastric TFF2 is a mucus constituent and differs from pancreatic TFF2.
2014,
Pubmed Stürmer,
Commercial Porcine Gastric Mucin Preparations, also Used as Artificial Saliva, are a Rich Source for the Lectin TFF2: In Vitro Binding Studies.
2018,
Pubmed Suzuki,
Roles of oxidative stress in stomach disorders.
2012,
Pubmed Thim,
Effect of trefoil factors on the viscoelastic properties of mucus gels.
2002,
Pubmed Thim,
Trefoil peptides: from structure to function.
1997,
Pubmed Tomasetto,
Pleiotropic effects of Trefoil Factor 1 deficiency.
2005,
Pubmed Torres,
Trefoil factor 1 (TFF1/pS2) deficiency activates the unfolded protein response.
2002,
Pubmed Westley,
Interaction between TFF1, a gastric tumor suppressor trefoil protein, and TFIZ1, a brichos domain-containing protein with homology to SP-C.
2005,
Pubmed Wright,
Epidermal growth factor (EGF/URO) induces expression of regulatory peptides in damaged human gastrointestinal tissues.
1990,
Pubmed Ying,
Thiol oxidation in signaling and response to stress: detection and quantification of physiological and pathophysiological thiol modifications.
2007,
Pubmed Znalesniak,
Transcriptional Responses in the Murine Spleen after Toxoplasma gondii Infection: Inflammasome and Mucus-Associated Genes.
2017,
Pubmed Znalesniak,
Increased Cerebral Tff1 Expression in Two Murine Models of Neuroinflammation.
2016,
Pubmed