XB-ART-56270
PLoS Biol
2019 Sep 01;179:e3000437. doi: 10.1371/journal.pbio.3000437.
Show Gene links
Show Anatomy links
Conservation and divergence of protein pathways in the vertebrate heart.
???displayArticle.abstract???
Heart disease is the leading cause of death in the western world. Attaining a mechanistic understanding of human heart development and homeostasis and the molecular basis of associated disease states relies on the use of animal models. Here, we present the cardiac proteomes of 4 model vertebrates with dual circulatory systems: the pig (Sus scrofa), the mouse (Mus musculus), and 2 frogs (Xenopus laevis and Xenopus tropicalis). Determination of which proteins and protein pathways are conserved and which have diverged within these species will aid in our ability to choose the appropriate models for determining protein function and to model human disease. We uncover mammalian- and amphibian-specific, as well as species-specific, enriched proteins and protein pathways. Among these, we find and validate an enrichment in cell-cycle-associated proteins within Xenopus laevis. To further investigate functional units within cardiac proteomes, we develop a computational approach to profile the abundance of protein complexes across species. Finally, we demonstrate the utility of these data sets for predicting appropriate model systems for studying given cardiac conditions by testing the role of Kielin/chordin-like protein (Kcp), a protein found as enriched in frog hearts compared to mammals. We establish that germ-line mutations in Kcp in Xenopus lead to valve defects and, ultimately, cardiac failure and death. Thus, integrating these findings with data on proteins responsible for cardiac disease should lead to the development of refined, species-specific models for protein function and disease states.
???displayArticle.pubmedLink??? 31490923
???displayArticle.pmcLink??? PMC6750614
???displayArticle.link??? PLoS Biol
???displayArticle.grants??? [+]
Species referenced: Xenopus Xenopus tropicalis
Genes referenced: agpat2 akt2 banf1 bmp2 bscl2 cadm1 cadm2 cadm3 cadm4 cbl cenpv creld1 csnk2a1 csnk2a2 csnk2b egfr eml4 erh fbn1 fga fgb fgg gpaa1 hcfc1 ids ik il6st itgav itgb5 kcp lif lifr lpin1 mapk1 mapre1 mcts1 micos13 mre11 mvp nbn nelfa nelfb nelfcd nelfe nup107 nup133 nup160 nup54 nup62 nup98 ogt parp3 pcna pds5a pex1 pex26 pex6 pfdn1 pfdn2 pfdn5 pigk pigs pigt pigu plaur ppm1a ppp1r12a prkaa2 prkab2 prmt1 psmb1 psmb3 psmd6 rad50 rae1 ranbp1 rbbp7 rbfox2 rbm20 sec13 sh3glb1 sh3kbp1 smc3 snx18 sumo1 tpr trak1 trak2 tubg1 uba2 ube2l3 vbp1 vps11 vps16 vps18 vps33a xrcc5 xrcc6 ywhae
Lines/Strains:
???displayArticle.disOnts??? arrhythmogenic right ventricular cardiomyopathy [+]
Brugada syndrome
atrioventricular septal defect
atrial fibrillation
Holt-Oram syndrome
left ventricular noncompaction
catecholaminergic polymorphic ventricular tachycardia
heart disease
hypertrophic cardiomyopathy
dilated cardiomyopathy
congenital heart disease
supravalvular aortic stenosis
long QT syndrome
mitral valve prolapse
???displayArticle.omims??? HOLT-ORAM SYNDROME; HOS [+]
PATENT DUCTUS ARTERIOSUS AND BICUSPID AORTIC VALVE WITH HAND ANOMALIES
VENTRICULAR TACHYCARDIA, CATECHOLAMINERGIC POLYMORPHIC, 4; CPVT4
Phenotypes: Xla.Tg(actc1:GFP){Mohun} + kcp TALEN(Fig. 6 H) [+]
Xla Wt + bmp2(Fig S22 C)
Xla Wt + kcp(Fig S22 B)
Xla Wt + kcp + bmp2(Fig. S22 D)
Xla Wt + kcp TALEN(Fig. 6 D)
Xla Wt + kcp TALEN(Fig. 6 E c2)
Xla Wt + kcp TALEN(Fig. 6 FG)
Xla Wt + kcp(Fig S22 B)
Xla Wt + kcp + bmp2(Fig. S22 D)
Xla Wt + kcp TALEN(Fig. 6 D)
Xla Wt + kcp TALEN(Fig. 6 E c2)
Xla Wt + kcp TALEN(Fig. 6 FG)
???attribute.lit??? ???displayArticles.show???
|
|
Fig 1. Workflow for investigating multispecies cardiac proteomes. (A) Heart tissue from M. musculus, S. scrofa, X. laevis, and X. tropicalis was collected and subjected to differential protein extraction as detailed. The resulting 3 extracts were fractionated by SDS-PAGE. (B) Number of proteins identified in the 5 gel fractions for each extract (extract 1â3 from panel A) per species. These numbers include proteins found in 2 or more extracts. (C) PCA of MS1 proteome data demonstrates that the mammalian samples separate from each other and the Xenopus samples but the Xenopus samples maintain a tight association. (D) Data analysis workflow. (E) Identified proteins were mapped to human accession numbers using Blast2GO. (F) The shared proteins in all species represent a core cardiac proteome that is enriched for a variety of pathways. Shown here in a tree map are the top 10 most enriched (adjusted p ⤠0.05) GO biological process terms; box size scales with enrichment significance of the terms. (G) Examples of proteins detected in subsets of the species analyzed. See S8 Table for numerical data underlying figure. GO, Gene Ontology; Kcp, Kielin/chordin-like protein; LC-MS/MS, liquid chromatography coupled with tandem mass spectrometry;MS1, precursor ion. |
|
|
Fig 2. Evolutionary comparison of protein complexes. (A) Proteins detected in this study were mapped to known human protein complexes listed in CORUM. (B) A complex score was calculated from the MS1 peak area of individual protein components of each complex. These complexes were then clustered into 6 clusters and analyzed further. (C–F) Individual clusters are plotted along with example protein complexes, demonstrating the underlying abundance data that drove the complex clustering. (G) Three representative complexes for each cluster are listed. See S9 Table for numerical data underlying figure. CORUM, Comprehensive Resource of Mammalian Protein Complexes. |
|
|
Fig 3. GSEA reveals the increased relative abundance in cell-cycle proteins in Xenopus laevis. (A) Pairwise GSEA was carried out between X. laevis and the 3 other species, revealing an enrichment (adjusted p ≤ 0.05) in cell cycle related proteins in X. laevis. (B) All proteins found in any enriched cell cycle related category by GSEA were clustered using k means (k = 4). Relative protein abundance is shown. The proteins found in cluster 3 were further analyzed in Cytoscape and grouped by function to show the interrelated nature of the proteins enriched in this cluster. See S13 Table and S14 Table for numerical data underlying figure. GSEA, Gene Set Enrichment Analyses. |
|
|
Fig 4. Validation of cell-cycle enrichment in X. laevis using targeted MS. (A) Workflow of target protein and peptide selection for PRM MSâbased validation. (B) Mean protein abundance with SEM in each species by PRM assay is shown. The data were grouped by functional classes for visualization. For all proteins in (B), Xenopus laevis was significantly (p ⤠0.05) higher than at least one other species. Shown to the right of each graph are examples of the most enriched proteins in each functional class (**p ⤠0.01, ***p ⤠0.001, ****p ⤠0.0001). See S16 Table for numerical data underlying figure. DDA, data dependent analysis; MS, mass spectrometry; PRM, parallel reaction monitoring. |
|
|
Fig 5. Association of cardiac protein abundance and model system for selected proteins with known roles in human cardiac disease. A diagram of detected proteins with links to human heart disease reported in the KEGG database was created in Cytoscape showing relative protein abundance data across the 4 species examined here, as well as known proteinâprotein interactions between these heart diseaseârelated proteins. See S8 Table for numerical data underlying figure. AFib, atrial fibrillation; ARVC, arrhythmogenic right ventricular cardiomyopathy; AVSD, atrioventricular septal defect; BAV, bicuspid aortic valve; BRS, brugada syndrome; CPVT, catecholaminergic polymorphic ventricular tachycardia; DCM, dilated cardiomyopathy; HCM, hypertrophic cardiomyopathy; LQTS, long QT syndrome; LVNC, left ventricular noncompaction; MVP, mitral valve prolapse; SVAS, congenital supravalvar aortic stenosis. |
|
|
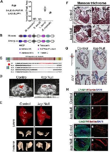
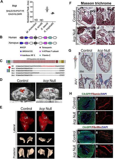
Fig 6. Kcp is essential for heart development and survival in X. laevis. (A) PRM quantification of peptides specific for Kcp confirms that Kcp is enriched in Xenopus. (B) Human and Xenopus show chromosomal synteny as revealed by Metazome. KCP is indicated in black. Upstream and downstream genes are colored as indicated. (C) Schematic of Kcp showing relative position of TALEN-induced mutations and bottom predicted protein generated by TALEN mutagenesis. (D) Stiol images of ultrasound Doppler of living wild type and Kcpδexon2/ δexon2 at Stage 64 positioned with dorsal top, ventral bottom of image. Blood flow shown in red. (E) Contrast-enhanced CT imaging of wild-type and Kcpδexon2/ δexon2 hearts (Stage 64) with AVV highlighted in white, bottom panels show lateral and posterior views showing thicker and misshapen AVV in Kcpδexon2/ δexon2 hearts verses control. (F) The AVV are detached from the muscular walls in Kcp mutants. Transverse sections through Masson trichrome stained Stage 64 control hearts (heterozygous) at low (upper left panel) and high (upper right panel) magnification focused on the AVV. Similar sections through a Kcp null froglet in at low (lower left panel) and high (lower right panel) magnification. Note in lower left panel an enlarged AVV in the outer valve leaflet detaching from the muscle wall. (G) Histology of wild-type and Kcpδexon2/ δexon2 hearts with Alcian Blue staining shows massive accumulation of collagen (blue) in AVV. a* Denotes position of AVV. (H) AVVs in kcp null hearts show a decrease in Filamin A and a concomitant increase in Fibrilin in the outer valve leaflet. (1â8) Immunochemistry of Cardiac-Actin:GFP (marking cardiomyocytes with GFP) froglets stained for Filamin (red), and DAPI (blue) in (1 and 2) heterozygous controls and (3 and 4) Kcp null. (5 and 6) Immunochemistry of Cardiac-Actin:GFP (marking cardiomyocytes with GFP) froglets stained for Fibrillin (red) and DAPI (blue) in (5 and 6) heterozygous controls and (7 and 8) Kcp null. See S16 Table for numerical data underlying figure. a, atria; avv, atrioventricular valve; GFP, green fluorescent protein; Kcp, Kielin/chordin-like protein; PRM, parallel reaction monitoring; TALEN, transcription activator-like effector nuclease; v, ventricle. |
|
|
S1 Fig. Impact of combined search on identifications. (A) The number of sequences present in the FASTA databases for each species varied, with mouse having the most depth. (B) Percent of proteins identified from the 5 searched species in the 4 species analyzed by MS. See S1 Table for numerical data underlying figure. MS, mass spectrometry |
|
|
S2 Fig. The combined database search approach yielded an increase in IDs. Percent of (A) proteins and (B) peptides identified uniquely in either a species-specific (blue bars) or combined species (gray bars) search. Orange bars represent proteins and peptides found in both search modes. (C) Table of values from (B). See S2 Table for numerical data underlying figure. ID, Identification. |
|
|
S3 Fig. Total proteins identified. (A) M. musculus, (B) S. scrofa, (C) X. laevis, and (D) X. tropicalis. |
|
|
S4 Fig. Examination of extract subproteomes. GO cellular component terms and p-value enrichments are shown for terms enriched in each extract. GO, Gene Ontology. |
|
|
S5 Fig. Number of proteins identified in each replicate by species. See S5 Table for numerical data underlying figure. |
|
|
S6 Fig. Assessment of tryptic peptide frequency across species. (A) The distribution of theoretical tryptic peptides present in the FASTA databases used in this study was significantly different between all species (p < 0.0001). (B) However, no significant difference in the distribution of theoretical tryptic peptides was observed across the 4 species for the proteins analyzed in this data set. Whiskers show 1 to 99 percentile. See S7 Table for numerical data underlying figure. |
|
|
S7 Fig. Multiscatter plot of median-normalized precursor values across the 4 species. The 2 Xenopus species exhibit the greatest degree of similarity. |
|
|
S8 Fig. PCA analysis of proteins identified in each extract from each species. See S3 Table for numerical data underlying figure. PCA, principal component analysis. |
|
|
S9 Fig. All identified proteins that could be mapped to human entries. The data in Fig 1E includes quantified proteins only. This schematic also includes any identified but not quantified proteins. |
|
|
S10 Fig. Tree map of significantly enriched GO biological process terms in the core cardiac proteome. This is an extended version of Fig 1F that includes all enriched GO terms. The size of the box correlates to the significance of enrichment for that term with larger box sizes being more significant. GO, Gene Ontology. |
|
|
S11 Fig. Workflow for protein complex abundance analysis related to Fig 2. |
|
|
S12 Fig. Individual clusters 3 (A) and 5 (B) from the protein complex clustering in Fig 2 are shown and the top 3 complexes from each cluster are listed (C). See S9 Table for numerical data underlying figure. |
|
|
S13 Fig. Treemap of GO terms associated with protein complexes that have minimal variation across species. GO, Gene Ontology. |
|
|
S14 Fig. BioSNAP complex clustering. (A) The 8 clusters resulting from mapping the 4 species data set to cardiac complex information in BioSNAP are shown. One of the top GO terms for each cluster is show in blue. (B) Comparison of BioSNAP and CORUM complex analysis. Top enriched GO terms for each unique set of proteins are listed. See S10 Table for numerical data underlying figure. CORUM, Comprehensive Resource of Mammalian Protein Complexes; GO, Gene Ontology. |
|
|
S15 Fig. Analysis of differential abundance of shared cardiac proteins. (A) The 1,770 proteins that are shared across all 4 species were clustered using k means with k = 6 revealing clusters driven by higher protein expression in one or more species. (B) Each of the clusters from the heat map were analyzed for overrepresentation of GO biological process terms and the p-values of the significantly enriched terms were shown in a heat map. See S8 Table and S11 Table for numerical data underlying figure. GO, Gene Ontology. |
|
|
S16 Fig. Analysis of species unique proteins. (A) The proteins uniquely identified in the mammalian and Xenopus species were used to examine evolutionary driven protein expression differences in these organisms using ClueGO (B) Proteins found uniquely in one species only were combined with the cluster of proteins that were more highly expressed in that species and analyzed for overrepresentation of GO biological process terms. The p-values of the significantly enriched terms are shown in a heat map. See S12 Table for numerical data underlying figure. GO, Gene Ontology. |
|
|
S17 Fig. Cell cycle GO enrichments in every pairwise comparison with X. laevis. (A) M. musculus/X. laevis; (B) S. scrofa/X. laevis; (C) X. tropicalis/X. laevis. See S13 Table and S14 Table for numerical data underlying figure. GO, Gene Ontology. |
|
|
S18 Fig. Gene duplication corrected cell-cycle analysis. Data from Fig 3 were reproduced here with correction for gene duplication in X. laevis. Similar trends were observed as before. See S15 Table for numerical data underlying figure. |
|
|
S21 Fig. Sequence alignment of Kcp across species. Kcp protein sequences from mouse, human, X. laevis, X. tropicalis, and pig were aligned to examine sequence conservation. Highlighted in dark blue are residues conserved among all 5 species, medium blue shows conservation in 4 species, and light blue depicts sequence conservation in 3 species. Kcp, Kielin/chordin-like protein. |
|
|
Fig. S22 Kcp augments BMP signaling. (A) Control embryos; mock injected. (B) Embryos injected with 500 pg Kcp mRNA. Embryos display protrusions (red arrows). (C) Embryos injected with 500 pg Bmp2 mRNA. Embryos displaying partial double axis (red arrows). (D) Embryos injected with 500 pg Kcp mRNA + 500 pg Bmp2 mRNA. Embryos displaying partial double axis, posterior truncations, edema. (E) Graph of the classes of phenotypic abnormalities in wild-type embryos verses those injected with Kcp alone, BMP2 alone, or BMP2 + Kcp. Results from 2 independent biological replicates with total number of embryos scored under each heading. See S17 Table for numerical data underlying figure. BMP, bone morphogenetic protein; Kcp, Kielin/chordin-like protein. |
References [+] :
Bagwan,
Comprehensive Quantification of the Modified Proteome Reveals Oxidative Heart Damage in Mitochondrial Heteroplasmy.
2018, Pubmed
Bagwan, Comprehensive Quantification of the Modified Proteome Reveals Oxidative Heart Damage in Mitochondrial Heteroplasmy. 2018, Pubmed
Bamshad, Mutations in human TBX3 alter limb, apocrine and genital development in ulnar-mammary syndrome. 1997, Pubmed
Bartlett, Lessons from the lily pad: Using Xenopus to understand heart disease. 2008, Pubmed , Xenbase
Bartlett, Characterization of embryonic cardiac pacemaker and atrioventricular conduction physiology in Xenopus laevis using noninvasive imaging. 2004, Pubmed , Xenbase
Bartlett, Echocardiographic assessment of cardiac morphology and function in Xenopus. 2010, Pubmed , Xenbase
Bindea, ClueGO: a Cytoscape plug-in to decipher functionally grouped gene ontology and pathway annotation networks. 2009, Pubmed
Blum, Xenopus: An Undervalued Model Organism to Study and Model Human Genetic Disease. 2018, Pubmed , Xenbase
Boskovski, The heterotaxy gene GALNT11 glycosylates Notch to orchestrate cilia type and laterality. 2013, Pubmed , Xenbase
Brown, Tbx5 and Tbx20 act synergistically to control vertebrate heart morphogenesis. 2005, Pubmed , Xenbase
Bruneau, A murine model of Holt-Oram syndrome defines roles of the T-box transcription factor Tbx5 in cardiogenesis and disease. 2001, Pubmed
Burkhard, On the Evolution of the Cardiac Pacemaker. 2017, Pubmed
Cai, T-box genes coordinate regional rates of proliferation and regional specification during cardiogenesis. 2005, Pubmed
Camacho, Large Mammalian Animal Models of Heart Disease. 2016, Pubmed
Cermak, Efficient design and assembly of custom TALEN and other TAL effector-based constructs for DNA targeting. 2011, Pubmed
Charpentier, A distinct mechanism of vascular lumen formation in Xenopus requires EGFL7. 2015, Pubmed , Xenbase
Conlon, Interference with brachyury function inhibits convergent extension, causes apoptosis, and reveals separate requirements in the FGF and activin signalling pathways. 1999, Pubmed , Xenbase
Daugherty, Recommendation on Design, Execution, and Reporting of Animal Atherosclerosis Studies: A Scientific Statement From the American Heart Association. 2017, Pubmed
Daugherty, Recommendation on Design, Execution, and Reporting of Animal Atherosclerosis Studies: A Scientific Statement From the American Heart Association. 2017, Pubmed
Del Viso, Congenital Heart Disease Genetics Uncovers Context-Dependent Organization and Function of Nucleoporins at Cilia. 2016, Pubmed , Xenbase
Deniz, CRISPR/Cas9 F0 Screening of Congenital Heart Disease Genes in Xenopus tropicalis. 2018, Pubmed , Xenbase
Deutsch, The ProteomeXchange consortium in 2017: supporting the cultural change in proteomics public data deposition. 2017, Pubmed
Dolk, The prevalence of congenital anomalies in Europe. 2010, Pubmed
Doll, Region and cell-type resolved quantitative proteomic map of the human heart. 2017, Pubmed
Dorr, Casz1 is required for cardiomyocyte G1-to-S phase progression during mammalian cardiac development. 2015, Pubmed
Duncan, Xenopus as a model organism for birth defects-Congenital heart disease and heterotaxy. 2016, Pubmed , Xenbase
Foster, Integrated Omic Analysis of a Guinea Pig Model of Heart Failure and Sudden Cardiac Death. 2016, Pubmed
Garfinkel, An interspecies heart-to-heart: Using Xenopus to uncover the genetic basis of congenital heart disease. 2017, Pubmed , Xenbase
Gessert, Comparative gene expression analysis and fate mapping studies suggest an early segregation of cardiogenic lineages in Xenopus laevis. 2009, Pubmed , Xenbase
Go, Executive summary: heart disease and stroke statistics--2013 update: a report from the American Heart Association. 2013, Pubmed
Gonzalez, The TOR Signaling Pathway in Spatial and Temporal Control of Cell Size and Growth. 2017, Pubmed
Götz, High-throughput functional annotation and data mining with the Blast2GO suite. 2008, Pubmed
Greco, The Biochemical Evolution of Protein Complexes. 2016, Pubmed
Griffin, RAPGEF5 Regulates Nuclear Translocation of β-Catenin. 2018, Pubmed , Xenbase
Hahn, A geographically-diverse collection of 418 human gut microbiome pathway genome databases. 2017, Pubmed
Hearse, The protection of the ischemic myocardium: surgical success v clinical failure? 1988, Pubmed
Hearse, Experimental models for the study of cardiovascular function and disease. 2000, Pubmed
Hearse, Metabolic and flow correlates of myocardial ischaemia. 1983, Pubmed
Hempel, A Matter of the Heart: The African Clawed Frog Xenopus as a Model for Studying Vertebrate Cardiogenesis and Congenital Heart Defects. 2016, Pubmed , Xenbase
Heron, Deaths: final data for 2006. 2009, Pubmed
Horb, Tbx5 is essential for heart development. 1999, Pubmed , Xenbase
Houser, Animal models of heart failure: a scientific statement from the American Heart Association. 2012, Pubmed
Hwang, Efficient genome editing in zebrafish using a CRISPR-Cas system. 2013, Pubmed
Kaltenbrun, Xenopus: An emerging model for studying congenital heart disease. 2011, Pubmed , Xenbase
Kennedy, Formation of a TBX20-CASZ1 protein complex is protective against dilated cardiomyopathy and critical for cardiac homeostasis. 2017, Pubmed
Kimura, Molecular genetics and pathogenesis of cardiomyopathy. 2016, Pubmed
Kirk, Mutations in cardiac T-box factor gene TBX20 are associated with diverse cardiac pathologies, including defects of septation and valvulogenesis and cardiomyopathy. 2007, Pubmed
Kooij, Identification of cardiac myofilament protein isoforms using multiple mass spectrometry based approaches. 2014, Pubmed
Kooij, Sizing up models of heart failure: Proteomics from flies to humans. 2014, Pubmed
Kulkarni, WDR5 Stabilizes Actin Architecture to Promote Multiciliated Cell Formation. 2018, Pubmed , Xenbase
Kulkarni, WDR5 regulates left-right patterning via chromatin-dependent and -independent functions. 2018, Pubmed , Xenbase
Kuyumcu-Martinez, Rebuilding a broken heart: lessons from developmental and regenerative biology. 2016, Pubmed
Larson, Depressed pacemaker activity of sinoatrial node myocytes contributes to the age-dependent decline in maximum heart rate. 2013, Pubmed
Latinkić, Distinct enhancers regulate skeletal and cardiac muscle-specific expression programs of the cardiac alpha-actin gene in Xenopus embryos. 2002, Pubmed , Xenbase
Li, Holt-Oram syndrome is caused by mutations in TBX5, a member of the Brachyury (T) gene family. 1997, Pubmed
Liao, Cardiac regeneration in Xenopus tropicalis and Xenopus laevis: discrepancies and problems. 2018, Pubmed , Xenbase
Liao, Heart regeneration in adult Xenopus tropicalis after apical resection. 2017, Pubmed , Xenbase
Lin, The cysteine-rich domain protein KCP is a suppressor of transforming growth factor beta/activin signaling in renal epithelia. 2006, Pubmed
Lin, Kielin/chordin-like protein, a novel enhancer of BMP signaling, attenuates renal fibrotic disease. 2005, Pubmed , Xenbase
Lu, Proteomic analysis of human fetal atria and ventricle. 2014, Pubmed
Marshall, Stage-dependent cardiac regeneration in Xenopus is regulated by thyroid hormone availability. 2019, Pubmed , Xenbase
Marshall, Persistent fibrosis, hypertrophy and sarcomere disorganisation after endoscopy-guided heart resection in adult Xenopus. 2017, Pubmed , Xenbase
Marshall, Is adult cardiac regeneration absent in Xenopus laevis yet present in Xenopus tropicalis? 2018, Pubmed , Xenbase
Matsui, Xenopus kielin: A dorsalizing factor containing multiple chordin-type repeats secreted from the embryonic midline. 2000, Pubmed , Xenbase
Metscher, MicroCT for developmental biology: a versatile tool for high-contrast 3D imaging at histological resolutions. 2009, Pubmed
Mi, PANTHER version 10: expanded protein families and functions, and analysis tools. 2016, Pubmed
Mohun, The origins of cardiac tissue in the amphibian, Xenopus laevis. 2003, Pubmed , Xenbase
Montagner, Monitoring Smad Activity In Vivo Using the Xenopus Model System. 2016, Pubmed , Xenbase
Moser, BMPER, a novel endothelial cell precursor-derived protein, antagonizes bone morphogenetic protein signaling and endothelial cell differentiation. 2003, Pubmed , Xenbase
Mozaffarian, Heart disease and stroke statistics--2015 update: a report from the American Heart Association. 2015, Pubmed
Musunuru, Functional Assays to Screen and Dissect Genomic Hits: Doubling Down on the National Investment in Genomic Research. 2018, Pubmed
Nishigori, Multiomics approach to identify novel biomarkers for dilated cardiomyopathy: Proteome and transcriptome analyses of 4C30 dilated cardiomyopathy mouse model. 2016, Pubmed
Oikonomopoulos, Pluripotent Stem Cell-Derived Cardiomyocytes as a Platform for Cell Therapy Applications: Progress and Hurdles for Clinical Translation. 2018, Pubmed
Poss, Advances in understanding tissue regenerative capacity and mechanisms in animals. 2010, Pubmed
Ruepp, CORUM: the comprehensive resource of mammalian protein complexes--2009. 2010, Pubmed
Sauls, Increased Infiltration of Extra-Cardiac Cells in Myxomatous Valve Disease. 2015, Pubmed
Sauls, Initiating Events in Direct Cardiomyocyte Reprogramming. 2018, Pubmed
Session, Genome evolution in the allotetraploid frog Xenopus laevis. 2016, Pubmed , Xenbase
Shannon, Cytoscape: a software environment for integrated models of biomolecular interaction networks. 2003, Pubmed
Sharma, Panorama Public: A Public Repository for Quantitative Data Sets Processed in Skyline. 2018, Pubmed
Steimle, Evolutionarily conserved Tbx5-Wnt2/2b pathway orchestrates cardiopulmonary development. 2018, Pubmed , Xenbase
Stennard, Murine T-box transcription factor Tbx20 acts as a repressor during heart development, and is essential for adult heart integrity, function and adaptation. 2005, Pubmed
Supek, REVIGO summarizes and visualizes long lists of gene ontology terms. 2011, Pubmed
Tan, Unravelling the proteome of degenerative human mitral valves. 2015, Pubmed
Tandon, Tcf21 regulates the specification and maturation of proepicardial cells. 2013, Pubmed , Xenbase
Tandon, Expanding the genetic toolkit in Xenopus: Approaches and opportunities for human disease modeling. 2017, Pubmed , Xenbase
Tsang, Large animal models of cardiovascular disease. 2016, Pubmed
Tyanova, The Perseus computational platform for comprehensive analysis of (prote)omics data. 2016, Pubmed
Waldron, The Cardiac TBX5 Interactome Reveals a Chromatin Remodeling Network Essential for Cardiac Septation. 2016, Pubmed
Wallingford, Preparation of fixed Xenopus embryos for confocal imaging. 2010, Pubmed , Xenbase
Wan, Panorama of ancient metazoan macromolecular complexes. 2015, Pubmed
Wessel, A method for the quantitative recovery of protein in dilute solution in the presence of detergents and lipids. 1984, Pubmed
Wierer, Compartment-resolved Proteomic Analysis of Mouse Aorta during Atherosclerotic Plaque Formation Reveals Osteoclast-specific Protein Expression. 2018, Pubmed
Wiśniewski, A "proteomic ruler" for protein copy number and concentration estimation without spike-in standards. 2014, Pubmed
Wu, Developmental Mechanisms of Aortic Valve Malformation and Disease. 2017, Pubmed
Wu, A human functional protein interaction network and its application to cancer data analysis. 2010, Pubmed
