Click here to close
Hello! We notice that you are using Internet Explorer, which is not supported by Xenbase and may cause the site to display incorrectly.
We suggest using a current version of Chrome,
FireFox, or Safari.
???displayArticle.abstract???
Proper cell-cell and cell-ECM interactions are vital for cell migration and patterning of the vertebrate embryo. MMPs and their inhibitors, RECK and TIMPs, are all differentially expressed during embryogenesis to regulate such ECM remodeling and cell interactions. MT1-MMP, RECK, and TIMP-2 are unique amongst other ECM-regulating proteins as they act in the pericellular space. Past studies have shown that RECK and TIMP-2 interact with MT1-MMP on the cell surface, thereby influencing cell behaviour as well as the microenvironment immediately surrounding the cells. We investigated the localization of RECK, TIMP-2, and MT1-MMP proteins throughout early X. laevis development using immunohistochemistry. We found that during neural tube formation, axis elongation, and organogenesis, RECK, TIMP-2, and MT1-MMP proteins show highly similar localization patterns, particularly in the ectoderm and in the dorsal-ventral differentiation of the neural tube. Our data suggests they function together during patterning events in early Xenopus development.
Fig. 1. Localization of RECK and MT1-MMP proteins during early X. laevis development. Immunohistochemistry was performed using Alexa Fluor 555-labeled anti-RECK (red) and Alexa Fluor 488-labeled anti MT1-MMP (green) antibodies on stage 17â38 embryos. Brightfield DIC images are shown on the left panels. Mono-colour images for RECK and MT1-MMP are presented individually. Colocalization of RECK and MT1-MMP (yellow) is indicated on the right panels. Dotted line in stage 28 merged image indicates overlapping signal within the middle of somites. Dashed line in stages 34 and 38 merged images indicates overlapping signal along the ventral neural tube. Scale barâ¯=â¯100 μm. Abbreviations: Eâ¯=â¯endoderm, Epâ¯=â¯epidermis, Dâ¯=â¯dorsal NT, DFâ¯=â¯dorsal fin, Nâ¯=â¯notochord, NCâ¯=â¯neural crest, NPâ¯=â¯neural plate, NTâ¯=â¯neural tube, Sâ¯=â¯somitic mesoderm, Vâ¯=â¯ventral NT.
Fig. 2. Localization of RECK and TIMP-2 proteins during early X. laevis development. Immunohistochemistry was performed using Alexa Fluor 488-labeled anti RECK (green) and Alexa Fluor 555-labeled anti-TIMP-2 (red) antibodies on stage 17â38 embryos. Brightfield DIC images are shown on the left panels. Mono-colour images for RECK and TIMP-2 are presented individually. Colocalization of RECK and TIMP-2 (yellow) is indicated on the right panels. Dotted line in stage 28 merged image indicates overlapping signal within the middle of somites. Dashed line in stages 34 and 38 merged images indicates overlapping signal along the ventral neural tube. Scale barâ¯=â¯100 μm. Abbreviations: Eâ¯=â¯endoderm, Epâ¯=â¯epidermis, Dâ¯=â¯dorsal NT, DFâ¯=â¯dorsal fin, Nâ¯=â¯notochord, NCâ¯=â¯neural crest, NPâ¯=â¯neural plate, NTâ¯=â¯neural tube, Sâ¯=â¯somitic mesoderm, Vâ¯=â¯ventral NT.
Fig. 3. Localization of TIMP-2 and MT1-MMP proteins during early X. laevis development. Immunohistochemistry was performed using Alexa Fluor 555-labeled anti-TIMP-2 (red) and Alexa Fluor 488-labeled anti MT1-MMP (green) antibodies on stage 17â38 embryos. Brightfield DIC images are shown on the left panels. Mono-colour images for TIMP-2 and MT1-MMP are presented individually. Colocalization of TIMP-2 and MT1-MMP (yellow) is indicated on the right panels. Dotted line in stage 28 merged image indicates overlapping signal within the middle of somites. Dashed line in stage 34 merged image indicates overlapping signal along the ventral neural tube. Scale barâ¯=â¯100 μm. Abbreviations: Eâ¯=â¯endoderm, Epâ¯=â¯epidermis, Dâ¯=â¯dorsal NT, DFâ¯=â¯dorsal fin, Nâ¯=â¯notochord, NCâ¯=â¯neural crest, NPâ¯=â¯neural plate, NTâ¯=â¯neural tube, Sâ¯=â¯somitic mesoderm, Vâ¯=â¯ventral NT.
Fig. 4. Localization of RECK, MT1-MMP, and TIMP-2 proteins in the anterior region of stage 38 X. laevis embryos. Immunohistochemistry was performed using Alexa Fluor 555-labeled anti-RECK and anti TIMP-2 (red) and Alexa Fluor 488-labeled anti-MT1-MMP and anti-RECK (green) antibodies on stage 38 embryos. Brightfield DIC images are shown on the left panels. Mono-colour images for RECK, MT1-MMP, and TIMP-2 are presented individually. Colocalization of RECK and MT1-MMP, RECK and TIMP-2, or TIMP-2 and MT1-MMP (yellow) is indicated on the right panels. Scale barâ¯=â¯100â¯Î¼m. Abbreviations: Eâ¯=â¯endoderm, NT=Neural tube.
Supplementary Fig. 1. Schematic diagram representing the location of the transverse sections on Xenopus embryos. Transverse sections (10 µm apart) were made in the mid anterior-posterior axis (as delineated by the boxes) of (a) neurulating embryos (stages 17 and 20) and (b) early/late tailbud embryos (stages 28, 34, and 38). (c) Transverse sections (10 µm apart) were made in the anterior head region (as delineated by the box) in late tailbud embryos (stage 38).
Supplementary Fig. 2 Immunohistochemistry was performed using only secondary antibodies (Alexa Fluor 555-labeled anti-mouse (red) and Alexa Fluor 488 anti-rabbit (red)) and costained with DAPI (blue) on stage 34 embryos to establish specificity in the experiment (right panels). Sections were also probed with both primary RECK antibodies used in these experiments (Alexa Fluor 555-labeled mouse anti-RECK (red) and Alexa Fluor 488 labeled rabbit anti-RECK (green)) and costained with DAPI (blue) to validate their specificity. Colocalization is indicated on the bottom right panel (yellow). Brightfield DIC images are shown on the left panels. (Please print in colour).
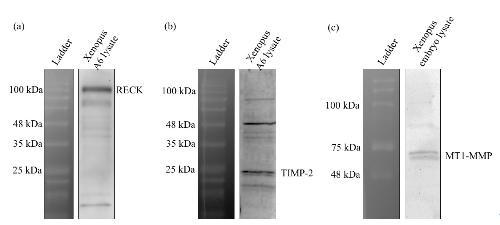
Supplementary Fig. 3 Validation of Antibodies: (a) A blot probed with human rabbit anti-RECK shows a specific band at the expected molecular weight (110 kDa) in Xenopus A6 cell lysate. (b) A blot probed with human mouse anti-TIMP-2 shows a specific band at the expected molecular weight (21 kDa) in Xenopus A6 cell lysate. (c) A blot probed with human rabbit anti-MT1-MMP shows a specific band at the expected molecular weight (65 kDa) in Xenopus whole embryo lysate