Click here to close
Hello! We notice that you are using Internet Explorer, which is not supported by Xenbase and may cause the site to display incorrectly.
We suggest using a current version of Chrome,
FireFox, or Safari.
Impacts of the synthetic androgen Trenbolone on gonad differentiation and development - comparisons between three deeply diverged anuran families.
Rozenblut-Kościsty B, Ogielska M, Hahn J, Kleemann D, Kossakowski R, Tamschick S, Schöning V, Krüger A, Lutz I, Lymberakis P, Kloas W, Stöck M.
???displayArticle.abstract???
Using a recently developed approach for testing endocrine disruptive chemicals (EDCs) in amphibians, comprising synchronized tadpole exposure plus genetic and histological sexing of metamorphs in a flow-through-system, we tested the effects of 17β-Trenbolone (Tb), a widely used growth promoter in cattle farming, in three deeply diverged anuran families: the amphibian model species Xenopus laevis (Pipidae) and the non-models Bufo(tes) viridis (Bufonidae) and Hyla arborea (Hylidae). Trenbolone was applied in three environmentally and/or physiologically relevant concentrations (0.027 µg/L (10-10 M), 0.27 µg/L (10-9 M), 2.7 µg/L (10-8 M)). In none of the species, Tb caused sex reversals or masculinization of gonads but had negative species-specific impacts on gonad morphology and differentiation after the completion of metamorphosis, independently of genetic sex. In H. arborea and B. viridis, mounting Tb-concentration correlated positively with anatomical abnormalities at 27 µg/L (10-9 M) and 2.7 µg/L (10-8 M), occurring in X. laevis only at the highest Tb concentration. Despite anatomical aberrations, histologically all gonadal tissues differentiated seemingly normally when examined at the histological level but at various rates. Tb-concentration caused various species-specific mortalities (low in Xenopus, uncertain in Bufo). Our data suggest that deep phylogenetic divergence modifies EDC-vulnerability, as previously demonstrated for Bisphenol A (BPA) and Ethinylestradiol (EE2).
Figure 1. Monitoring of concentrations of trenbolone. (a) Recovery of Trenbolone in stock solutions; (b) recovery of Trenbolone in tanks. Note that in (b) in week 5, due to a technical issue during samples processing, data for 10−10 M are missing. Nominal Tb-concentrations in tanks (b) comprised (0.027 µg/L (10−10 M, red), 0.27 µg/L (10−9 M, green), 2.7 µg/L (10−8 M, violet). Controls were free of Tb, apart from one measurement in study week (0.05 ng/L in one tank); see text for technical details on measurements.
Figure 2. Mortality of tadpoles and metamorphs under three Trenbolone concentrations in percent. Xl: Xenopus laevis, Ha: Hyla arborea, Bv: Bufo viridis, *significant difference between control and treatment group within the same species (2-sided Chi2-tests, p < 0.05).
Figure 3. Photographs of anatomically normal and small gonads of Hyla arborea. (a) Normal ovary (control), (b) shortened ovary (10â8), (c) normal testis (control), (d) small testis (10â9). Scale bars represent 1âmm, fb â fat body, o â ovary, t â testis.
Figure 4. Photographs of anatomically normal and small gonads of Bufo viridis. (a) Normal ovary (control), (b) shortened ovary (10â8âM), (c) normal testis (control), (d) small testis (10â9âM). Scale bars represent 1âmm; the red dotted line marks the boundary between Bidder's organ and the gonad. Bo â Bidderâs organ (occurring only in bufonid gonads), fb â fat body, o â ovary, t â testis.
Figure 5. Photographs of fragmented (discontinuous) (a) ovary (10â8) and (b) testis (10â9) of Bufo viridis, (c) ovary in Hyla arborea (10â9) and (d) ovary in Xenopus laevis (10â8). Scale bars represent 1âmm. Note mesovarium indicated by white arrow head, Bo â Bidderâs organ (occurring only in bufonid gonads), fb â fat body, k â kidney, o â all parts of the ovary are marked, t â testis.
Figure 6. Frequency of discontinuous gonads of Xenopus laevis (Xl), Hyla arborea (Ha), and Bufo viridis (Bv) after treatment with three concentrations of Trenbolone. *Significant difference between control and treatment group within the same species (2-sided Chi2-tests, p < 0.05).
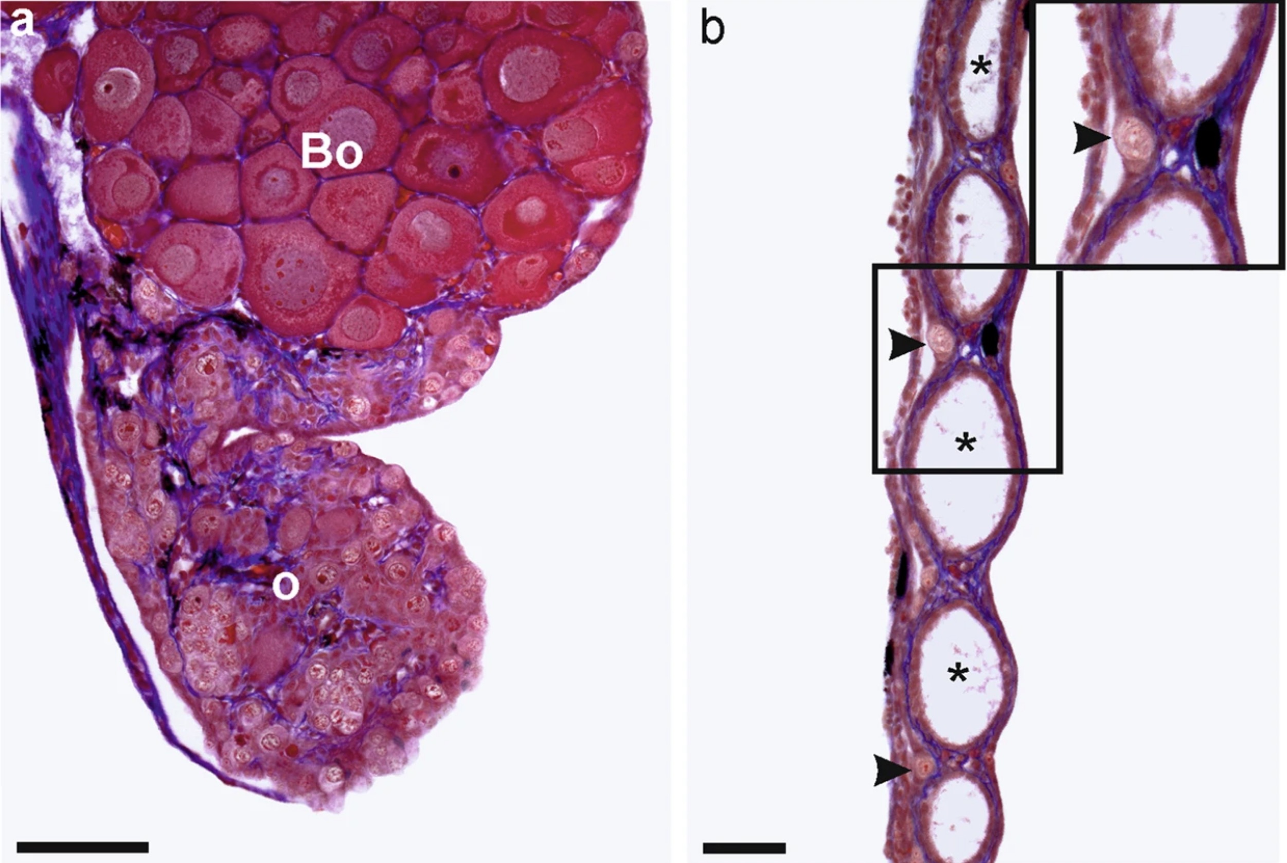
Figure 7. Histological sections of sterile ovary in (a) Bufo viridis (10â8) and (b) Xenopus laevis (10â9). Visible intense degeneration of germ cells in B. viridis ovary â o. Scale bars represent 100âµm. Bo â Bidderâs organ (characteristic of bufonid gonads), *ovarian cavity, arrow heads â single oogonia in ovary cortex.
Figure 8. Anatomical photographs of doubled Bidderâs organ (Bo) in (a) ovary (10â10) and (b) testis (10â10) of Bufo viridis. Scale bars represent 1âmm, fb â fat body, o â ovary, t â testis.
Figure 9. Histological sections of degenerated Bidderâs organ (Bo) in (a) ovary (10â10) and (b) testis (10â10) of Bufo viridis. Scale bars represent 100âµm, o â ovary, t â testis.
Figure 10. Frequency of impaired gonads of Xenopus laevis (Xl), Hyla arborea (Ha), and Bufo viridis (Bv) after treatment in various concentrations of Trenbolone. *Significant difference between control and treatment group within the same species (2-sided Chi2-tests, p < 0.05).
Ankley,
Effects of the androgenic growth promoter 17-beta-trenbolone on fecundity and reproductive endocrinology of the fathead minnow.
2003, Pubmed
Ankley,
Effects of the androgenic growth promoter 17-beta-trenbolone on fecundity and reproductive endocrinology of the fathead minnow.
2003,
Pubmed Bartelt-Hunt,
Effect of growth promotants on the occurrence of endogenous and synthetic steroid hormones on feedlot soils and in runoff from beef cattle feeding operations.
2012,
Pubmed Blake,
Characterization of the androgen-sensitive MDA-kb2 cell line for assessing complex environmental mixtures.
2010,
Pubmed Carr,
Response of larval Xenopus laevis to atrazine: assessment of growth, metamorphosis, and gonadal and laryngeal morphology.
2003,
Pubmed
,
Xenbase Cevasco,
Endocrine disrupting chemicals (EDC) with (anti)estrogenic and (anti)androgenic modes of action affecting reproductive biology of Xenopus laevis: II. Effects on gonad histomorphology.
2008,
Pubmed
,
Xenbase Coady,
Effects of atrazine on metamorphosis, growth, and gonadal development in the green frog (Rana clamitans).
2004,
Pubmed Crisp,
Environmental endocrine disruption: an effects assessment and analysis.
1998,
Pubmed Dadzie,
Compensatory hypertrophy of the remaining ovary and the effects of methallibure in the unilaterally ovariectomized Tilapia aurea.
1976,
Pubmed Daszak,
Emerging infectious diseases of wildlife--threats to biodiversity and human health.
2000,
Pubmed DEB,
HISTOCHEMICAL STUDIES ON THE NATURE OF BIDDER'S ORGAN IN TOAD (BUFO MELANOSTICTUS).
1963,
Pubmed de Bruin,
Ovarian aging in two species of long-lived rockfish, Sebastes aleutianus and S. alutus.
2004,
Pubmed Durhan,
Identification of metabolites of trenbolone acetate in androgenic runoff from a beef feedlot.
2006,
Pubmed Finch,
Effects of 17α-trenbolone and melengestrol acetate on Xenopus laevis growth, development, and survival.
2013,
Pubmed
,
Xenbase Grier,
Germinal epithelium, folliculogenesis, and postovulatory follicles in ovaries of rainbow trout, Oncorhynchus mykiss (Walbaum, 1792) (Teleostei, protacanthopterygii, salmoniformes).
2007,
Pubmed Haczkiewicz,
Gonadal sex differentiation in frogs: how testes become shorter than ovaries.
2013,
Pubmed Haselman,
Development of the Larval Amphibian Growth and Development Assay: effects of chronic 4-tert-octylphenol or 17β-trenbolone exposure in Xenopus laevis from embryo to juvenile.
2016,
Pubmed
,
Xenbase Hayes,
Characterization of atrazine-induced gonadal malformations in African clawed frogs (Xenopus laevis) and comparisons with effects of an androgen antagonist (cyproterone acetate) and exogenous estrogen (17beta-estradiol): Support for the demasculinization/feminization hypothesis.
2006,
Pubmed
,
Xenbase Jalabert,
Particularities of reproduction and oogenesis in teleost fish compared to mammals.
2005,
Pubmed Jensen,
Effects of the feedlot contaminant 17alpha-trenbolone on reproductive endocrinology of the fathead minnow.
2006,
Pubmed Khan,
Estrogens and synthetic androgens in manure slurry from trenbolone acetate/estradiol implanted cattle and in waste-receiving lagoons used for irrigation.
2012,
Pubmed Kloas,
Amphibians as a model to study endocrine disruptors: II. Estrogenic activity of environmental chemicals in vitro and in vivo.
1999,
Pubmed
,
Xenbase Kloas,
Amphibians as a model for the study of endocrine disruptors.
2002,
Pubmed
,
Xenbase Kolok,
The environmental impact of growth-promoting compounds employed by the United States beef cattle industry: history, current knowledge, and future directions.
2008,
Pubmed Levy,
Bisphenol A induces feminization in Xenopus laevis tadpoles.
2004,
Pubmed
,
Xenbase Li,
Low concentrations of 17β-trenbolone induce female-to-male reversal and mortality in the frog Pelophylax nigromaculatus.
2015,
Pubmed Liu,
Fate and occurrence of steroids in swine and dairy cattle farms with different farming scales and wastes disposal systems.
2012,
Pubmed Lorenz,
The synthetic gestagen levonorgestrel impairs metamorphosis in Xenopus laevis by disruption of the thyroid system.
2011,
Pubmed
,
Xenbase Lutz,
Development, standardization and refinement of procedures for evaluating effects of endocrine active compounds on development and sexual differentiation of Xenopus laevis.
2008,
Pubmed
,
Xenbase Nakamura,
Ovarian germline stem cells in the teleost fish, medaka (Oryzias latipes).
2011,
Pubmed Neumann,
Pharmacological and endocrinological studies on anabolic agents.
1976,
Pubmed Ogielska,
A stockpile of ova in the grass frog Rana temporaria is established once for the life span. Do ovaries in amphibians and in mammals follow the same evolutionary strategy?
2013,
Pubmed Ogielska,
Pattern and rate of ovary differentiation with reference to somatic development in anuran amphibians.
2004,
Pubmed
,
Xenbase Okada,
Differential display analysis of gene expression in female-to-male sex-reversing gonads of the frog Rana rugosa.
2008,
Pubmed Olmstead,
Trenbolone causes mortality and altered sexual differentiation in Xenopus tropicalis during larval development.
2012,
Pubmed
,
Xenbase Orn,
Comparison of vitellogenin induction, sex ratio, and gonad morphology between zebrafish and Japanese medaka after exposure to 17alpha-ethinylestradiol and 17beta-trenbolone.
2006,
Pubmed Orton,
Do hormone-modulating chemicals impact on reproduction and development of wild amphibians?
2015,
Pubmed
,
Xenbase Phuge,
Sex hormones alter sex ratios in the Indian skipper frog, Euphlyctis cyanophlyctis: Determining sensitive stages for gonadal sex reversal.
2015,
Pubmed Piprek,
Differential effects of testosterone and 17β-estradiol on gonadal development in five anuran species.
2012,
Pubmed
,
Xenbase Piprek,
Bidder's organ--structure, development and function.
2014,
Pubmed Piprek,
Early Development of the Gonads: Origin and Differentiation of the Somatic Cells of the Genital Ridges.
2016,
Pubmed Reznick,
The evolution of senescence and post-reproductive lifespan in guppies (Poecilia reticulata).
2006,
Pubmed Reznick,
Effect of extrinsic mortality on the evolution of senescence in guppies.
2004,
Pubmed Robertson,
Androgen directs sexual differentiation of laryngeal innervation in developing Xenopus laevis.
1994,
Pubmed
,
Xenbase Robinson,
Reproductive effects on freshwater fish exposed to 17α-trenbolone and 17α-estradiol.
2017,
Pubmed Rosenkilde,
What mechanisms control neoteny and regulate induced metamorphosis in urodeles?
1996,
Pubmed Saidapur,
Effect of sex steroids on gonadal differentiation and sex reversal in the frog, Rana curtipes.
2001,
Pubmed Schiffer,
The fate of trenbolone acetate and melengestrol acetate after application as growth promoters in cattle: environmental studies.
2001,
Pubmed Seki,
Comparison of response to 17 beta-estradiol and 17 beta-trenbolone among three small fish species.
2006,
Pubmed Sone,
Effects of an androgenic growth promoter 17beta-trenbolone on masculinization of Mosquitofish (Gambusia affinis affinis).
2005,
Pubmed Stuart,
Status and trends of amphibian declines and extinctions worldwide.
2004,
Pubmed Tamschick,
The plasticizer bisphenol A affects somatic and sexual development, but differently in pipid, hylid and bufonid anurans.
2016,
Pubmed
,
Xenbase Tamschick,
Sex chromosome conservation, DMRT1 phylogeny and gonad morphology in diploid Palearctic green toads (Bufo viridis subgroup).
2014,
Pubmed
,
Xenbase Tamschick,
Impaired gonadal and somatic development corroborate vulnerability differences to the synthetic estrogen ethinylestradiol among deeply diverged anuran lineages.
2016,
Pubmed
,
Xenbase Tamschick,
Sex reversal assessments reveal different vulnerability to endocrine disruption between deeply diverged anuran lineages.
2016,
Pubmed
,
Xenbase Tomkins,
Exposure to an agricultural contaminant, 17β-trenbolone, impairs female mate choice in a freshwater fish.
2016,
Pubmed Tompsett,
Effects of exposure to 17α-ethynylestradiol during larval development on growth, sexual differentiation, and abundances of transcripts in the liver of the wood frog (Lithobates sylvaticus).
2013,
Pubmed Urbatzka,
Luteinizing hormone, follicle stimulating hormone, and gonadotropin releasing hormone mRNA expression of Xenopus laevis in response to endocrine disrupting compounds affecting reproductive biology.
2006,
Pubmed
,
Xenbase Urbatzka,
Endocrine disrupters with (anti)estrogenic and (anti)androgenic modes of action affecting reproductive biology of Xenopus laevis: I. Effects on sex steroid levels and biomarker expression.
2007,
Pubmed
,
Xenbase van der Merwe,
Stability of zeranol, nandrolone and trenbolone in bovine urine.
1994,
Pubmed Villalpando,
Determination of the sensitive stages for gonadal sex-reversal in Xenopus laevis tadpoles.
1990,
Pubmed
,
Xenbase Ziková,
Endocrine disruption by environmental gestagens in amphibians - A short review supported by new in vitro data using gonads of Xenopus laevis.
2017,
Pubmed
,
Xenbase