|
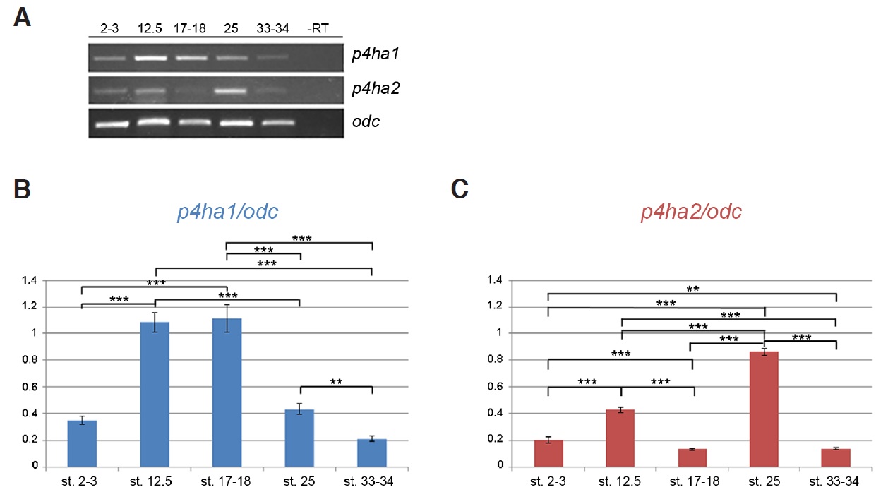
Fig. 1. RT-PCR analysis of p4ha1 and p4ha2 expression during
Xenopus development. (A) p4ha1 and p4ha2 expression
during embryonic development. cDNA derived from Xenopus
laevis embryos at different stages (indicated at the top of the panel)
was amplified using primers specific for p4ha1, p4ha2 and ornithine
decarboxylase gene (odc). For control reactions, reverse
transcriptase was omitted (–RT). (B,C) Histogram representing the
optical integrated density ratios between p4ha1 (B), p4ha2 (C) and
odc RT-PCR bands. (st.: stage). Significance: p-value<0.05: *;
p-value<0.01: **; p-value<0.001: ***. |
|
Fig. 2. Whole mount in situ
hybridization analysis of p4ha1
and p4ha2 during segmentation
and gastrulation. Stages
of embryos are indicated at the
bottom left corner of each panel
(st.: stage), while the analyzed
gene is indicated to the left of each
row. (A,C) Lateral view of stage
7 embryos; animal pole to the
top, vegetal pole to the bottom.
(Aâ, Câ) Sagittal sections of the
hybridized embryos shown in (A)
and (C), respectively; the insets
in (Aâ,Câ), indicated by the dashed
line square in each panel, show the
intracellular localization of the two
transcripts in animal blastomeres; white arrowheads indicate Hoechst-stained nuclei, white arrows point to the cytoplasmic perinuclear expression.
(B,D) Lateral view of stage 10 embryos; animal pole to the top, vegetal pole to the bottom. (Bâ,Dâ) Sagittal sections of the hybridized embryos shown
in (B,D), respectively; black arrows point to the blastopore lip; brackets indicate the dorsal involuting mesoderm. Scale bars, 250 mm. |
|
Fig. 3. Whole mount in situ hybridization analysis of p4ha1 and p4ha2 during neurulation. Stages of embryos are indicated at the bottom left
corner of each panel (st.: stage), while the analyzed gene is indicated to the left of each row (A-C, E-G) Frontal view (dorsal to the top) of hybridized
embryos at the indicated neurula stages. (D,H) Lateral view of hybridized stage 22 embryos; anterior is to the left. Black arrowhead in (B,F) indicate cement
gland primordium; red arrows in (D,F,G) indicate cardiac progenitors. Black arrows in (C) indicate the neural crests. Black arrows in (D,H) indicate
the posterior wall and the red arrowhead in (H) the proctodeum. Abbreviations: ba, branchial arches; e, eye. Scale bars, 250 mm. |
|
Fig. 4. Whole mount in situ hybridization analysis of p4ha1 and p4ha2 in tadpole embryos. Embryo stages (st.) are indicated at the bottom left
corner of each panel, while the analyzed gene is indicated at the top. (Aâ, Bâ, Câ, Dâ) magnified views of (A,B,C,D), respectively. In panels (A-Dâ) anterior is
to the left. Dashed lines in (C) point to the planes of the sections shown in (E-H). Dashed lines in (D) indicate the planes of the sections shown in (I-L).
Abbreviations: ba, branchial arches; bi, blood islands; e, eye; h, heart; le, lens; me, mesencephalon; n, notochord; ov, otic vesicle; pr, prosencephalon;
rh, rhombencephalon, s, somites; tt, tail tip. Scale bars in (A,B,C,D), 500 mm; in (Aâ, Bâ, Câ, Dâ), 250 mm; in (E-H, I-L), 200 mm. |
|
Fig. 5. Cryosections of stage 42 embryos hybridized with p4ha1 (A-D) and p4ha2 (E-H) probes. Black arrows in (A) indicate regions located dorsolaterally
with respect to the pharynx, labeled with p4ha1. Black arrows in (B,F) point to regions surrounding the internal gills, labeled with p4ha1 and
p4ha2. Abbreviations: Bi, blood islands; cm, cranial muscles; g, gill chamber; irc, infrarostral cartilage; le, lens; Mc, presumptive Meckelâs cartilage; me,
mesencephalon; n, notocord; ov, otic vesicle; ph, pharynx; pn, pronephros; re, retina; rh, rhomboencephalon; s, somites; sc, spinal cord. Scale bars in
(A,B,C,D,E,F,G,H) 200 mm; in (Aâ, Eâ) 50 mm. |