XB-ART-55873
J Cell Biol
2019 Jun 03;2186:2021-2034. doi: 10.1083/jcb.201901152.
Show Gene links
Show Anatomy links
Peroxisome protein import recapitulated in Xenopus egg extracts.
Romano FB, Blok NB, Rapoport TA.
???displayArticle.abstract???
Peroxisomes import their luminal proteins from the cytosol. Most substrates contain a C-terminal Ser-Lys-Leu (SKL) sequence that is recognized by the receptor Pex5. Pex5 binds to peroxisomes via a docking complex containing Pex14, and recycles back into the cytosol following its mono-ubiquitination at a conserved Cys residue. The mechanism of peroxisome protein import remains incompletely understood. Here, we developed an in vitro import system based on Xenopus egg extracts. Import is dependent on the SKL motif in the substrate and on the presence of Pex5 and Pex14, and is sustained by ATP hydrolysis. A protein lacking an SKL sequence can be coimported, providing strong evidence for import of a folded protein. The conserved cysteine in Pex5 is not essential for import or to clear import sites for subsequent rounds of translocation. This new in vitro assay will be useful for further dissecting the mechanism of peroxisome protein import.
???displayArticle.pubmedLink??? 30971414
???displayArticle.pmcLink??? PMC6548129
???displayArticle.link??? J Cell Biol
???displayArticle.grants??? [+]
T32 GM007753 NIGMS NIH HHS
Species referenced: Xenopus laevis
Genes referenced: pex5
???attribute.lit??? ???displayArticles.show???
|
|
Figure 1. Peroxisome targeting of SKL-containing fluorescent proteins in Xenopus egg extracts. (A) Cleared egg extract was incubated with 0.9 µM purified mCherry-SKL for 1 h at 18°C. The formation of bright puncta was visualized with a spinning-disk confocal microscope. (B) As in A, but with mCherry lacking the SKL targeting sequence. (C) As in A, but in the presence of a synthetic peptide (300 µM) with a C-terminal SKL sequence. (D) As in C, but with a peptide containing a scrambled import signal at its C terminus (KLS). (E) Cleared egg extract was incubated with 0.6 µM purified mScarlet-SKL for 5 h at 18°C. The sample was subjected to flotation in a discontinuous sucrose gradient. Fractions were collected and analyzed with a fluorescence microscope. Shown is the bottom fraction containing nonimported substrate. (F) As in E, but for the top fraction, containing peroxisome-associated substrate. (G) Quantification of the number of fluorescent peroxisome foci in the different fractions of the sucrose gradient. Shown are the mean and standard deviation from >40 images of two different experiments. (H) All fractions of the sucrose gradient were analyzed by SDS-PAGE, followed by immunoblotting with antibodies against the peroxisome membrane protein Pex14. Bars, 5 µm. |
|
|
Figure 2. Peroxisome protein import in Xenopus egg extract. (A) mScarlet-SKL (0.6 µM) was added at time point zero to cleared Xenopus egg extract. Where indicated, 5 or 10 mM ATPγS was added 20 min before substrate. The samples were immediately mounted on PEG-passivated glass coverslips and imaged at the indicated time points, using a spinning-disk confocal microscope. The mean fluorescence of peroxisomes was determined from >10 images using an automated image analysis script. Shown are the combined data of two different experiments (>20 images per time point), each normalized to the final time point of the control. For each time point, the mean and the standard deviation of the mean are given. (B) Cleared extract was incubated with 0.5 µM GFP-SKL for 1 h at 20â23°C and imaged with a spinning-disk confocal microscope. (C) As in B but at the end of the incubation, 0.75 µM GFP-fluorescence quenching nanobodies (Kirchhofer et al., 2010) were added for â¼15 min before imaging. (D) Quantification of the mean peroxisome fluorescence in B and C of two separate import reactions. Shown are the mean and standard deviation of >20 images. (E) As in B, but with GFP lacking the SKL sequence. (F) As in C, but with GFP lacking the SKL sequence. (G) Quantification of the total fluorescence in E and F of two separate import reactions. Shown are the mean and standard deviation of >20 images. (H) mScarlet-SKL (0.6 µM) was incubated with cleared egg extract for 1 h at 18°C. The membranes were sedimented twice by centrifugation and resuspension in buffer. The sample was imaged directly in a confocal microscope. (I) As in H, but the sample was subjected to three freezeâthaw cycles before imaging. (J) GFP-SKL (0.4 µM) was incubated with crude extract for 1 h and imaged. (K) As in J, but 0.1% Triton X-100 was added before imaging. Bars, 10 µM. |
|
|
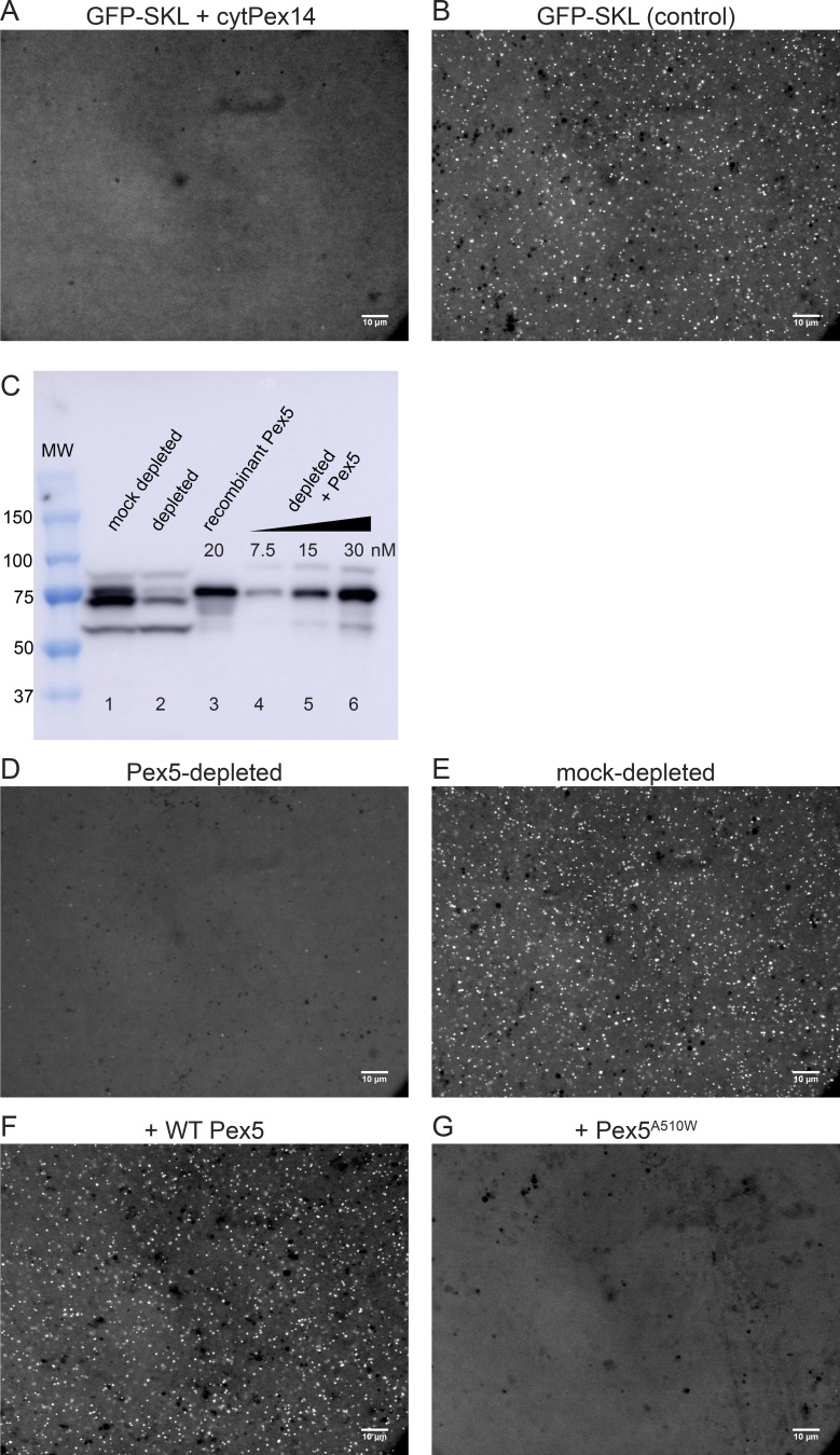
Figure 3. Protein targeting to peroxisomes depends on Pex5 and Pex14. (A) Cleared Xenopus egg extract was incubated for 1 h at 18°C with 0.5 µM GFP-SKL in the presence of 6 µM of a cytosolic fragment of the peroxisome docking protein Pex14 (cytPex14). The sample was imaged with a spinning-disk confocal microscope. (B) As in A, but without adding cytPex14. (C) Egg extract was incubated with beads containing immobilized cytPex14 and subjected to SDS-PAGE, followed by immunoblotting with Pex5 antibodies (lane 2). A control was done with beads lacking cytPex14 (lane 1; mock depletion). Purified, recombinant Pex5 was analyzed either without added extract (lane 3) or after addition of different amounts to depleted extract (lanes 4â6). MW, molecular weight. (D) Pex5-depleted extract was incubated for 1 h at 18°C with 0.5 µM GFP-SKL and imaged with a spinning-disk confocal microscope. (E) As in D, but with mock-depleted extract. (F) As in D, but in the presence of 1 µM purified Pex5. (G) As in F, but with 1 µM purified Pex5A510W, a Pex5 mutant defective in SKL binding. All experiments were performed at least three times. Bars, 10 µm. |
|
|
Figure 4. Peroxisome targeting in Pex5-depleted and -replenished egg extract. (A) Cleared Xenopus egg extract was incubated with beads containing immobilized, affinity-purified antibodies to Pex5. The depleted extract was subjected to SDS-PAGE, followed by immunoblotting with Pex5 antibodies (lane 2). A control was done with beads lacking Pex5 antibodies (lane 1; mock depletion). In lane 3, 30 nM purified, recombinant Pex5 was added to the depleted extract. (B) Pex5-depleted extract was incubated with 0.6 µM mScarlet-SKL for 1 h at 18°C and imaged with a spinning-disk confocal microscope. (C) As in B, but with mock-depleted extract. (D) As in B, but in the presence of 0.5 µM purified Pex5. (E) As in D, but with additionally added 6 µM cytPex14. (F) As in D, but with 0.5 µM purified Pex5A510W, a Pex5 mutant defective in SKL binding. These experiments were performed twice. Bars, 10 µm. |
|
|
Figure 5. Kinetics of Pex5 binding and peroxisome protein import. (A) mScarlet-SKL (0.6 µM) and fluorescently labeled Pex5 (Pex5Alexa488; 0.15 µM) were added at time point zero to cleared Xenopus egg extract. The sample was mounted on a PEG-passivated glass chamber and imaged over time using a spinning-disk confocal microscope. The red (mScarlet-SKL) and green (Pex5Alexa-488) emission channels were imaged simultaneously. Shown are the combined data of two different experiments (>20 images per time point), each normalized to the final time point of the control. For each time point, the mean and the standard deviation of the mean are given. (B) Images taken at 140 min sequentially in the two channels. The foci partially overlap (compare foci inside the oval). Overlap is not perfect because the peroxisomes are moving. Bars, 10 µm. |
|
|
Figure 6. Peroxisome protein import with Cys11 mutations in Pex5. (A) Xenopus cleared egg extract was mock-depleted with beads, as in Fig. 3, and incubated with 0.6 µM mScarlet-SKL for 1 h at 20â23°C. The sample was imaged with a spinning-disk confocal microscope. (B) As in A, but with an extract depleted of Pex5 with beads containing affinity-purified Pex5 antibodies (see Fig. 3). (C) As in B, but with 1 µM WT Pex5 added. (D) As in B, but with 1 µM Pex5A510W, defective in SKL binding. (E) As in B, but with 1 µM Pex5C11A. (F) As in B, but with 1 µM Pex5C11R. (G) As in B, but with 1 µM Pex5C11K. (H) Quantification of the end-point fluorescence in peroxisomes, using automated image analysis. Shown are the combined data of two parallel experiments (>20 images). The mean and standard deviation of the mean are given. (I) WT Pex5 or the indicated Cys11 mutants were added at 1 µM to cleared, un-depleted extract. The samples were imaged at the indicated time points with a spinning-disk confocal microscope, and the mean fluorescence per peroxisome was determined by automated image analysis. Shown are the combined data of two experiments done on different days (>20 images per time point), each normalized to the final time point of the brightest sample. For each time point, the mean and the standard deviation of the mean are given. Bars, 10 µm. |
|
|
Figure 7. Transport of a folded protein into peroxisomes. (A) mCherry-SKL (40 µM) was preincubated with mCherry-nanobodies labeled with Alexa Fluor 488 (nanobodyAlexa488; 40 µM) for 20 min at 20â23°C. The complex was added at 0.9 µM final concentration to cleared Xenopus egg extract. The sample was incubated for 2 h at 18°C and imaged with a spinning-disk confocal microscope for mCherry fluorescence. (B) The same field shown in A was imaged for nanobodyAlexa488 fluorescence. The foci in A and B overlap (compare foci in ovals). (C) As in A, but Alexa Fluor 488-fluorescenceâquenching antibodies (0.5 µM) were added after the import reaction. (D) The same field as in C was analyzed for Alexa Fluor 488 fluorescence. The foci in C and D overlap (compare foci in ovals). (E) Quantification of the experiments in AâD. Shown are the combined data of two parallel experiments in the absence or presence of the quenching antibodies (>20 images per condition). The fluorescence in each channel observed in the presence of quencher was normalized relative to the mean fluorescence in the absence of quencher. The mean and standard deviation of the mean are given. (F) As in A, but with mCherry lacking SKL. (G) The same field shown in F was imaged for nanobodyAlexa488 fluorescence. (H) As in F, but Alexa Fluor 488-fluorescenceâquenching antibodies (0.5 µM) were added after the import reaction. (I) The same field as in H was analyzed for Alexa Fluor 488 fluorescence. (J) Quantification of the experiments in FâI. Shown are the combined data of two parallel experiments in the absence or presence of the quenching antibodies (>20 images per condition). The fluorescence in each channel observed in the presence of quencher was normalized relative to the mean fluorescence in the absence of quencher. The mean and standard deviation of the mean are given. (K) Kinetics of the accumulation of mCherry-SKL and nanobodyAlexa488 in peroxisomes. The fluorescence in both channels was quantitated at the indicated time points by automated image analysis. Shown are the mean and standard deviation of the combined data of two parallel experiments (>20 images per time point). Bars, 5 µm. |
References [+] :
Agrawal,
De novo peroxisome biogenesis: Evolving concepts and conundrums.
2016, Pubmed
Agrawal, De novo peroxisome biogenesis: Evolving concepts and conundrums. 2016, Pubmed
Albertini, Pex14p, a peroxisomal membrane protein binding both receptors of the two PTS-dependent import pathways. 1997, Pubmed
Baldridge, Autoubiquitination of the Hrd1 Ligase Triggers Protein Retrotranslocation in ERAD. 2016, Pubmed
Braverman, An isoform of pex5p, the human PTS1 receptor, is required for the import of PTS2 proteins into peroxisomes. 1998, Pubmed
Braverman, Functions of plasmalogen lipids in health and disease. 2012, Pubmed
Braverman, Peroxisome biogenesis disorders: Biological, clinical and pathophysiological perspectives. 2013, Pubmed
Brocard, The tetratricopeptide repeat-domain of the PAS10 protein of Saccharomyces cerevisiae is essential for binding the peroxisomal targeting signal-SKL. 1994, Pubmed
Brul, Kinetics of the assembly of peroxisomes after fusion of complementary cell lines from patients with the cerebro-hepato-renal (Zellweger) syndrome and related disorders. 1988, Pubmed
Carvalho, Ubiquitination of mammalian Pex5p, the peroxisomal import receptor. 2007, Pubmed
Desai, The use of Xenopus egg extracts to study mitotic spindle assembly and function in vitro. 1999, Pubmed , Xenbase
Elgersma, Analysis of the carboxyl-terminal peroxisomal targeting signal 1 in a homologous context in Saccharomyces cerevisiae. 1996, Pubmed
Erdmann, Identification of Pex13p a peroxisomal membrane receptor for the PTS1 recognition factor. 1996, Pubmed
Fujiki, Post-translational import of fatty acyl-CoA oxidase and catalase into peroxisomes of rat liver in vitro. 1985, Pubmed
Fujiki, Peroxisome biogenesis and human peroxisome-deficiency disorders. 2016, Pubmed
Gatto, Peroxisomal targeting signal-1 recognition by the TPR domains of human PEX5. 2000, Pubmed
Glover, Saccharomyces cerevisiae peroxisomal thiolase is imported as a dimer. 1994, Pubmed
Gould, A conserved tripeptide sorts proteins to peroxisomes. 1989, Pubmed
Gould, Pex13p is an SH3 protein of the peroxisome membrane and a docking factor for the predominantly cytoplasmic PTs1 receptor. 1996, Pubmed
Hettema, Evolving models for peroxisome biogenesis. 2014, Pubmed
Kirchhofer, Modulation of protein properties in living cells using nanobodies. 2010, Pubmed
Léon, Uniqueness of the mechanism of protein import into the peroxisome matrix: transport of folded, co-factor-bound and oligomeric proteins by shuttling receptors. 2006, Pubmed
McCollum, The pas8 mutant of Pichia pastoris exhibits the peroxisomal protein import deficiencies of Zellweger syndrome cells--the PAS8 protein binds to the COOH-terminal tripeptide peroxisomal targeting signal, and is a member of the TPR protein family. 1993, Pubmed
McNew, An oligomeric protein is imported into peroxisomes in vivo. 1994, Pubmed
Neuberger, Motif refinement of the peroxisomal targeting signal 1 and evaluation of taxon-specific differences. 2003, Pubmed
Neufeld, Structural basis for competitive interactions of Pex14 with the import receptors Pex5 and Pex19. 2009, Pubmed
Okumoto, Peroxisomal Membrane and Matrix Protein Import Using a Semi-Intact Mammalian Cell System. 2017, Pubmed
Okumoto, Cysteine ubiquitination of PTS1 receptor Pex5p regulates Pex5p recycling. 2011, Pubmed
Otera, Peroxisome targeting signal type 1 (PTS1) receptor is involved in import of both PTS1 and PTS2: studies with PEX5-defective CHO cell mutants. 1998, Pubmed
Platta, Functional role of the AAA peroxins in dislocation of the cycling PTS1 receptor back to the cytosol. 2005, Pubmed
Platta, Ubiquitination of the peroxisomal import receptor Pex5p is required for its recycling. 2007, Pubmed
Ramasamy, The glove-like structure of the conserved membrane protein TatC provides insight into signal sequence recognition in twin-arginine translocation. 2013, Pubmed
Rodrigues, A cell-free organelle-based in vitro system for studying the peroxisomal protein import machinery. 2016, Pubmed
Rodriguez, Structural model for the protein-translocating element of the twin-arginine transport system. 2013, Pubmed
Rollauer, Structure of the TatC core of the twin-arginine protein transport system. 2012, Pubmed
Smith, Peroxisomes take shape. 2013, Pubmed
Takagi, High-quality frozen extracts of Xenopus laevis eggs reveal size-dependent control of metaphase spindle micromechanics. 2017, Pubmed , Xenbase
Van der Leij, PAS10 is a tetratricopeptide-repeat protein that is essential for the import of most matrix proteins into peroxisomes of Saccharomyces cerevisiae. 1993, Pubmed
Walton, Transport of microinjected proteins into peroxisomes of mammalian cells: inability of Zellweger cell lines to import proteins with the SKL tripeptide peroxisomal targeting signal. 1992, Pubmed
Walton, Import of stably folded proteins into peroxisomes. 1995, Pubmed
Wanders, Metabolic functions of peroxisomes in health and disease. 2014, Pubmed
Wang, Endoplasmic Reticulum Network Formation with Xenopus Egg Extracts. 2019, Pubmed , Xenbase
Waterham, Human disorders of peroxisome metabolism and biogenesis. 2016, Pubmed
Wendland, Cytosol-dependent peroxisomal protein import in a permeabilized cell system. 1993, Pubmed
Williams, A conserved cysteine is essential for Pex4p-dependent ubiquitination of the peroxisomal import receptor Pex5p. 2007, Pubmed
Wühr, Deep proteomics of the Xenopus laevis egg using an mRNA-derived reference database. 2014, Pubmed , Xenbase
Yin, Site-specific protein labeling by Sfp phosphopantetheinyl transferase. 2006, Pubmed
