XB-ART-55848
Dev Biol
2019 Feb 01;4461:68-79. doi: 10.1016/j.ydbio.2018.12.003.
Show Gene links
Show Anatomy links
Six1 and Irx1 have reciprocal interactions during cranial placode and otic vesicle formation.
Sullivan CH, Majumdar HD, Neilson KM, Moody SA.
???displayArticle.abstract???
The specialized sensory organs of the vertebrate head are derived from thickened patches of cells in the ectoderm called cranial sensory placodes. The developmental program that generates these placodes and the genes that are expressed during the process have been studied extensively in a number of animals, yet very little is known about how these genes regulate one another. We previously found via a microarray screen that Six1, a known transcriptional regulator of cranial placode fate, up-regulates Irx1 in ectodermal explants. In this study, we investigated the transcriptional relationship between Six1 and Irx1 and found that they reciprocally regulate each other throughout cranial placode and otic vesicle formation. Although Irx1 expression precedes that of Six1 in the neural border zone, its continued and appropriately patterned expression in the pre-placodal region (PPR) and otic vesicle requires Six1. At early PPR stages, Six1 expands the Irx1 domain, but this activity subsides over time and changes to a predominantly repressive effect. Likewise, Irx1 initially expands Six1 expression in the PPR, but later represses it. We also found that Irx1 and Sox11, a known direct target of Six1, reciprocally affect each other. This work demonstrates that the interactions between Six1 and Irx1 are continuous during PPR and placode development and their transcriptional effects on one another change over developmental time.
???displayArticle.pubmedLink??? 30529252
???displayArticle.pmcLink??? PMC6349505
???displayArticle.link??? Dev Biol
???displayArticle.grants??? [+]
R01 DE022065 NIDCR NIH HHS, R01 DE026434 NIDCR NIH HHS, U54 HD090257 NICHD NIH HHS
Species referenced: Xenopus laevis
Genes referenced: cdknx ctrl eya1 fgf8 foxd3 irx1 myc neurod1 pax2 pax3 six1 sox11 sox2 sox3 sox9 tfap2a tubb2b tubb4b zic1 zic2 znrd2
GO keywords: otic placode formation [+]
???displayArticle.morpholinos??? six1 MO1 six1 MO2 sox11 MO2 Sox11 MO3
Phenotypes: Xla Wt + irx1(Fig. 10 A col 1) [+]
Xla Wt + irx1(Fig. 10 A col 2)
Xla Wt + irx1(Fig. 10 B col 1)
Xla Wt + irx1(Fig. 10 B col 2)
Xla Wt + irx1(Fig. 10 C Col 1)
Xla Wt + irx1(Fig. 10 C col 2)
Xla Wt + irx1(Fig. 10 C col 3)
Xla Wt + irx1(Fig. 6 A)
Xla Wt + irx1(Fig. 6 B)
Xla Wt + irx1(Fig. 6 D)
Xla Wt + irx1(Fig. 6 D)
Xla Wt + irx1(Fig. 7 A)
Xla Wt + irx1(Fig. 7 C)
Xla Wt + irx1(Fig. 8 A)
Xla Wt + irx1(Fig. 8 B)
Xla Wt + irx1(Fig. 8 C)
Xla Wt + irx1(Fig. 8 D)
Xla Wt + irx1(Fig. 8 E,F)
Xla Wt + irx1(Fig. 8 G,H,I)
Xla Wt + irx1(Fig. 9 C)
Xla Wt + irx1 (Fig 9 A. col. 1)
Xla Wt + irx1 (Fig. 9 A col. 2)
Xla Wt + irx1 + Six1 MO(Fig. 10 col 3)
Xla Wt + irx1 + Six1 MO(Fig. 10 D col 1)
Xla Wt + irx1 + Six1 MO(Fig. 10 D col 2)
Xla Wt + irx1-VP16(Fig. 5 A)
Xla Wt + irx1-VP16(Fig. 5 B)
Xla Wt + irx1-VP16(Fig. 5 C)
Xla Wt + irx1-VP16(Fig. 5 D)
Xla Wt + six1(Fig.3 A,B)
Xla Wt + six1(Fig. 3 E,F)
Xla Wt + six1(Fig, 3G, col.1)
Xla Wt + six1(fig. 3 G, col. 2)
Xla Wt + six1(Fig. 9 F col 1)
Xla Wt + six1(Fig. 9 F col 2)
Xla Wt + six1-EnR(Fig. 3 C,F)
Xla Wt + six1 + eya1(Fig. 3 A,B)
Xla Wt + six1 + eya1(Fig. 3 E,F)
Xla Wt + six1-GR + Dex (16)(Fig. 4)
Xla Wt + six1-GR + Dex (16)(Fig. 9 H)
Xla Wt + six1-GR + Dex (18)(Fig. 4)
Xla Wt + six1 MO(Fig. 2A)
Xla Wt + six1 MO(Fig.2B)
Xla Wt + six1 MO(Fig. 2C. col.2)
Xla Wt + six1-VP16(Fig. 3 D)
Xla Wt + Sox11(Fig. 9 J)
Xla Wt + Sox11(Fig. 9 K)
Xla Wt + Sox11 MO(Fig. 9 I)
Xla Wt + Tg(irx1-EnR-hGR) + ChX + Dex(Fig. 9 E)
Xtr Wt + six1 CRISPR(Fig. S1 D col 2)
Xla Wt + irx1(Fig. 10 B col 1)
Xla Wt + irx1(Fig. 10 B col 2)
Xla Wt + irx1(Fig. 10 C Col 1)
Xla Wt + irx1(Fig. 10 C col 2)
Xla Wt + irx1(Fig. 10 C col 3)
Xla Wt + irx1(Fig. 6 A)
Xla Wt + irx1(Fig. 6 B)
Xla Wt + irx1(Fig. 6 D)
Xla Wt + irx1(Fig. 6 D)
Xla Wt + irx1(Fig. 7 A)
Xla Wt + irx1(Fig. 7 C)
Xla Wt + irx1(Fig. 8 A)
Xla Wt + irx1(Fig. 8 B)
Xla Wt + irx1(Fig. 8 C)
Xla Wt + irx1(Fig. 8 D)
Xla Wt + irx1(Fig. 8 E,F)
Xla Wt + irx1(Fig. 8 G,H,I)
Xla Wt + irx1(Fig. 9 C)
Xla Wt + irx1 (Fig 9 A. col. 1)
Xla Wt + irx1 (Fig. 9 A col. 2)
Xla Wt + irx1 + Six1 MO(Fig. 10 col 3)
Xla Wt + irx1 + Six1 MO(Fig. 10 D col 1)
Xla Wt + irx1 + Six1 MO(Fig. 10 D col 2)
Xla Wt + irx1-VP16(Fig. 5 A)
Xla Wt + irx1-VP16(Fig. 5 B)
Xla Wt + irx1-VP16(Fig. 5 C)
Xla Wt + irx1-VP16(Fig. 5 D)
Xla Wt + six1(Fig.3 A,B)
Xla Wt + six1(Fig. 3 E,F)
Xla Wt + six1(Fig, 3G, col.1)
Xla Wt + six1(fig. 3 G, col. 2)
Xla Wt + six1(Fig. 9 F col 1)
Xla Wt + six1(Fig. 9 F col 2)
Xla Wt + six1-EnR(Fig. 3 C,F)
Xla Wt + six1 + eya1(Fig. 3 A,B)
Xla Wt + six1 + eya1(Fig. 3 E,F)
Xla Wt + six1-GR + Dex (16)(Fig. 4)
Xla Wt + six1-GR + Dex (16)(Fig. 9 H)
Xla Wt + six1-GR + Dex (18)(Fig. 4)
Xla Wt + six1 MO(Fig. 2A)
Xla Wt + six1 MO(Fig.2B)
Xla Wt + six1 MO(Fig. 2C. col.2)
Xla Wt + six1-VP16(Fig. 3 D)
Xla Wt + Sox11(Fig. 9 J)
Xla Wt + Sox11(Fig. 9 K)
Xla Wt + Sox11 MO(Fig. 9 I)
Xla Wt + Tg(irx1-EnR-hGR) + ChX + Dex(Fig. 9 E)
Xtr Wt + six1 CRISPR(Fig. S1 D col 2)
???attribute.lit??? ???displayArticles.show???
|
|
Fig. 1. Animal pole view of a 16-cell stage embryo with dorsal to the top. Nomenclature on the left side indicates blastomere names according to Hirose and Jacobson (1979). |
|
|
Fig. 2. Six1 is required for Irx1 expression in the PPR and otic vesicle. (A) Irx1 expression in the PPR (black arrows) is distinct on the control side (ctrl) but not detected on the MO-mediated knock-down (KD) side (red arrows). np, neural plate. (B) Irx1 expression in two placodes is smaller and fainter on the KD side (red arrows) compared to the control side (black arrows). nt, neural tube. (C) Irx1 expression in the control otic vesicle (left image) forms two distinct patches (black arrows), whereas the anterior patch often is undetectable on the KD side (red arrows). e, eye. A, B, anterior views; C, side views, all with dorsal to the top. Percentages are the frequencies of the phenotypes; numbers in parentheses are the sample sizes. |
|
|
Fig. 3. Increasing Six1 levels represses Irx1 expression. (A) Six1 or Six1+Eya1 mRNAs (right sides) reduce the size of the Irx1 expression domain in the PPR or placodes. Black arrows denote Irx1 PPR/placode expression on the control side; red arrows denote the same on the injected side, which also is indicated by the pink βGal lineage tracer. np, neural plate; nt, neural tube. (B) The percentage of embryos showing the same Irx1 phenotypes as in (A). *, indicates a significant increase (pâ<â0.05) in frequency comparing 800âpg to either 200âpg or 400âpg of Six1 mRNA. Co-expressing Six1â+Eya1 mRNAs does not significantly alter the frequency of the phenotype (pâ>â0.05). There were no significant differences between Six1 or Six1â+Eya1 mRNAs. Numbers above bars indicate the sample size. (C) The Six1 repressive construct (Six1EnR, 400âpg) also reduces Irx1 PPR expression (red arrow). (D) The Six1 activating construct (Six1VP16, 400âpg) broadens the Irx1 PPR domain (red arrow), as indicated by the red bar (compare to control width, black bar). (E) Six1 and Six1â+Eya1 mRNAs reduce Irx1 expression in the otic vesicle. Black arrows denote otic vesicle on control side, and red arrows denote it on injected side of same embryo. (F) The percentage of embryos that show the same phenotype as in (E) when injected with Six1, Six1â+Eya1 or Six1EnR mRNA. Numbers above bars indicate the sample size. There are no significant differences (pâ>â0.05) across the groups. (G) Six1 also reduces Sox9 and Pax2 expression in the otic vesicle. Black arrows denote otic vesicle on control side, and red arrows denote it on injected side of same embryo. A, C, D are anterior views, E, G are side views, all with dorsal to the top. |
|
|
Fig. 4. Early activation of Six1 broadens Irx1 PPR expression, whereas later activation reduces it. Embryos were injected with Six1-hGR mRNA (400âpg) and treated with Dexamethasone (Dex) at indicated stages. Those treated at st 14 or 16 were fixed at st 18â19 to analyze Irx1 PPR/placode expression. Those treated at st 18 were fixed at st 24â28 to analyze Irx1 otic expression. Each bar indicates the percentage of embryos in which Irx1 expression was either broader compared to control side (blue), reduced compared to control side (orange), or the same as control side (no change, NC, grey) of the same embryo. The data for injected embryos that were not exposed to Dex and fixed at st 18/19 are shown in the left-most bar (no Dex) to indicate the background leakiness of the construct. Each experimental group was significantly different from the no Dex group, and significantly different from each other (pâ<â0.05). Control, uninjected embryos treated with Dex rarely showed an asymmetry in Irx1 expression (Dex st 14: 7.7%, nâ=â52; Dex st 16: 5.3%, nâ=â19; Dex st 18: 4.8%, nâ=â21). |
|
|
Fig. 5. Irx1 is required for PPR and otic gene expression (A) Injecting a dominant-negative Irx1 construct (DN-Irx1) results in loss of Six1 PPR expression (red arrows) in every embryo. Black arrows denote normal expression on control (ctrl) side. (B) Injecting DN-Irx1 results in loss of Sox11 PPR expression (red arrows) in every embryo. Black arrows denote normal expression on control side. (C) Injecting DN-Irx1 results in loss of Six1 otic expression (red arrow) in every embryo. Black arrow denotes normal expression on control side. (D) Injecting DN-Irx1 results in loss of Pax2 otic expression (red arrow) in every embryo. Black arrow denotes normal expression on control side. A, B are anterior views; C, D are side views, all with dorsal to the top. np, neural plate; e, eye. |
|
|
Fig. 6. Increased Irx1 reduces PPR and otic gene expression. (A) Increasing Irx1 by mRNA injection (right side) reduced the size of the Six1 expression domain in the PPR. Black arrows denote Six1 expression on the control side; red arrow denotes the reduced domain on the injected side. (B) Increased Irx1 reduced the size of the Eya1 expression domain in the PPR. (C) The percentage of embryos that showed the same phenotype as in A and B when injected with Irx1 mRNA. Irx1â800âpg caused the Six1 phenotype significantly more frequently (*, pâ<â0.05) than Irx1â200âpg. There were no significant differences across Irx1 mRNA doses for Eya1 (pâ>â0.05). Numbers above the bars indicate sample size. (D) Increased Irx1 reduced the size of the Sox9 and Pax2 domains in the otic vesicle (red arrows) compared to control side of same embryo (black arrows). (E) Embryos were injected with Irx1-EnR-hGR mRNA (400âpg) and treated with Dexamethasone (Dex) at indicated stages. Analyses of Six1 expression were performed as described in Fig. 4. Each experimental group was significantly different from the no Dex group, and significantly different from each other (pâ<â0.05). Control, uninjected embryos treated with Dex did not show an asymmetry in Six1 expression (Dex st 14: 0%, nâ=â25; Dex st 16: 0%, nâ=â15; Dex st 18: 0%, nâ=â25). A, B are anterior views; D are side views, all with dorsal to the top. |
|
|
Fig. 7. Irx1 may affect PPR gene expression by downregulating Fgf. (A) When Irx1 mRNA (400âpg) was injected into animal blastomeres, an open blastopore phenotype (arrows) was observed at closed neural tube stages. Dorsal view, anterior (a) to the top, posterior (p) to the bottom. (B) The frequency of this phenotype depended upon the cell injected (see Fig. 1 for blastomere nomenclature). (C) Irx1 mRNA (400âpg) injection reduced the size of the Fgf8 expression domain in the PPR. Black arrows denote Fgf8 expression in the PPR on the control side; red arrows denote the reduced domain on the injected side. (D) In the majority of embryos co-injected with Irx1 plus cFgfr1 mRNAs, Six1 expression was restored (76.7%, nâ=â60). Black arrows denote control side; red arrows denote injected side. C, D are anterior views, dorsal to the top. |
|
|
Fig. 8. Increased Irx1 alters BZ and NC gene expression. (A) Increased Irx1 expands the width of the Pax3 domain (red bar) compared to control side (black bar). (B) Increased Irx1 expands the width of the Zic1 neural crest domain (red bar) compared to control side (black bar). (C) Increased Irx1 expands the width of the Zic2 neural crest domain (red bar) compared to control side (black bar). (D) Increased Irx1 extends the anterior-posterior extent of the Tfap2α neural crest domain (between red arrows) compared to control side (between black arrows). (E) Increased Irx1 either expands (left embryo) or reduces (right embryo) the Foxd3 domain. inj, injected side; ctrl, control side. (F) Percentages of embryos showing reduced (orange), expanded (blue) or no change (NC, grey) of Foxd3 domains after injection of different doses of Irx1 mRNA. The frequencies of the Foxd3 phenotypes were not significantly different between 200âpg and 400âpg, but 800âpg caused reduction of Foxd3 at a significantly higher frequency (*, pâ<â0.05). (G) Increased Irx1 reduced the Sox9 neural crest domain (red arrows) compared to control side (black arrows). It also reduced the size of the Sox9-expressing otic placode (outlined in green). (H) Percentages of embryos showing reduced (orange), expanded (blue) or no change (NC, grey) in Sox9 neural crest (NC) domains after injection of different doses of Irx1 mRNA. These phenotypes were not significantly different across the doses (pâ>â0.05). (I) Percentages of embryos showing reduced (orange), expanded (blue) or no change (NC, grey) in Sox9 otic placode expression after injection of different doses of Irx1 mRNA. These phenotypes were not significantly different across the doses (pâ>â0.05). All embryos are anterior views with dorsal to the top. Numbers in brackets above bars are sample sizes. |
|
|
Fig. 9. Increased Irx1 alters placode gene expression. (A) A low dose (200âpg) of Irx1 mRNA expanded the Sox11 PPR domain (between the red arrows) compared to control side (between the black arrows); in contrast, a higher dose (400âpg) reduced it. nt, neural tube. (B) Percentages of embryos showing reduced (orange), expanded (blue) or no change (NC, grey) in Sox11 PPR domain after injection of different doses of Irx1 mRNA. There was no difference between 400âpg and 800âpg (pâ>â0.05). (C) 800âpg of Irx1 mRNA expanded the Sox11 PPR domain (between the red arrows) in a minority of cases (see B), but in a majority of cases it also caused ectopic Sox11 expression in the lateral ectoderm (outlined by red dashes). (D) Percentages of embryos showing reduced (orange), expanded (blue) or no change (NC, grey) in Sox11 PPR domain after activation of Irx1-EnR-hGR at st 14 or st 16. Analyses were performed as described in Fig. 4. Each experimental group was significantly different from the no Dex group, but not significantly different from each other (pâ>â0.05). Control, uninjected embryos treated with Dex did not show an asymmetry in Sox11 expression (Dex st 14: 0%, nâ=â14; Dex st 16: 4.5%, nâ=â22). (E) Two examples showing that treatment of Irx1-EnR-hGR injected embryos with Chx 40âmin before st 14 Dex treatment resulted in ectopic Sox11 expression throughout the lateral ectoderm (red arrows) compared to discrete PPR expression (between black arrows) and neural plate (np) expression on control side. (F) A low dose (200âpg) of Six1 mRNA expanded the Sox11 PPR domain (between red arrows) compared to control side (between the black arrows), whereas a high dose (800âpg) reduced it. (G) Percentages of embryos showing reduced (orange), expanded (blue) or no change (NC, grey) in Sox11 PPR domain after injection of different doses of Six1 mRNA. 800âpg showed a significantly different frequency compared to 200âpg (*, pâ<â0.05), but not 400âpg. (H) Percentages of embryos showing reduced (orange), expanded (blue) or no change (NC, grey) in Sox11 PPR domain after activation of Six1-hGR at st 14 or st 16. Analyses were performed as described in Fig. 4. Each experimental group was significantly different from the no Dex group, but not significantly different from each other (pâ>â0.05). Control, uninjected embryos treated with Dex did not show an asymmetry in Sox11 expression (Dex st 14: 0%, nâ=â14; Dex st 16: 4.5%, nâ=â22). (I) Irx1 expression in two placodes (black arrows) is distinct on the control side but nearly undetected on the Sox11-MO injected side (red arrows) in nearly half of embryos. (J) Increasing Sox11 prevents Irx1 expression from resolving into distinct placodes, indicated on the control side by black arrows. It remains broad and faint (between red arrows), as is typical of an earlier stage PPR. (K) Increasing Sox11 reduces Irx1 otic expression (red arrow) compared to control side (black arrow) of same embryo. e, eye; nt, neural tube. A, E, F, I, and J are anterior views; C is an anterior-lateral view; K are lateral views; all with dorsal to the top. |
|
|
Fig. 10. Increased Irx1 reduces neural stem and neural differentiation genes in placodes. (A) Left: increased Irx1 reduced the Sox2 placode domain (red arrow) compared to control side (between black arrows) in the majority of cases. Right: expression was expanded in the lateral ectoderm along the cranial neural border in some cases. (B) Left: increased Irx1 reduced the Sox3 placode domain (red arrow) compared to control side (between black arrows) in the majority of cases. Right: expression was expanded in the lateral ectoderm along the cranial neural border in some cases. (C) Increased Irx1 reduced p27, NeuroD and Tubb2 in their placode domains (red arrows) compared to control side (black arrows). (D) Increased Irx1 also reduced these three genes in embryos in Six1 morphants. Black arrows denote control sides; red arrows denote injected sides. np, neural plate; nt, neural tube. All embryos are anterior views with dorsal to the top. |
|
|
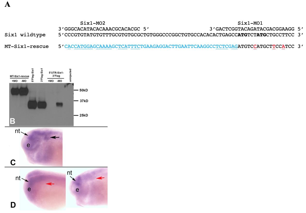
Fig. S1. (A) Sequences of the two antisense morpholino oligonucleotides (Six1-MO1, Six1-MO2) used to knock down Six1 translation, aligned with the sequences of the endogenous, wild type Six1 mRNA and the 5â Myc-tagged (MT) rescue mRNA. MT-Six1-rescue mRNA contains 6 Myc-tags (proximal sequence in light blue font) 5â to the two ATG start codons (bold in wildtype Six1). It also contains three mutated nucleotides in the Six1 ORF (red font) that do not change the amino acid code. Underlined are those nucleotides in the MT-Six1-rescue mRNA that are not complementary to either MO. (B) Validation of efficacy and specificity of Six1-MOs. Expression of the MT-Six1-rescue mRNA is high when injected alone into oocytes (-MO), and its expression is unaffected by previous injection with Six1-MO1+MO2 (+MO). Expression of an mRNA that contains the native Six1 5âUTR and a 3âFlag tag (5âUTR-Six1-3âFlag) is high when injected alone into oocytes (-MO), but translation is prevented in oocytes previously injected with Six1-MO1+MO2 (+MO). Expression of 5âFlag-Six1 and 3âFlag Six1mRNAs in injected oocytes also are shown. Uninjected lane = control oocyte lysates. (C) Uninjected Xenopus tropicalis embryo from same clutch as those shown in (D) showing normal Irx1 expression in the neural tube (nt) and otocyst (black arrow). e, eye (D) Six1 F0 mutants created by CRIPSR-Cas9 injections show normal Irx1 expression in the neural tube (nt), but loss of expression in the otic vesicle (red arrows). These Xenopus tropicalis embryos were created by microinjecting Cas9 protein plus sgRNAs, designed by the National Xenopus Resource and demonstrated by them to efficiently cause N-terminal Six1 mutations, into the fertilized egg during the 2017 Xenopus Genome Editing Workshop. |
References [+] :
Ahrens,
Tissues and signals involved in the induction of placodal Six1 expression in Xenopus laevis.
2005, Pubmed,
Xenbase
Ahrens, Tissues and signals involved in the induction of placodal Six1 expression in Xenopus laevis. 2005, Pubmed , Xenbase
Amaya, Expression of a dominant negative mutant of the FGF receptor disrupts mesoderm formation in Xenopus embryos. 1991, Pubmed , Xenbase
Anderson, The Drosophila Wilms׳ Tumor 1-Associating Protein (WTAP) homolog is required for eye development. 2014, Pubmed
Ando, Slc12a2 is a direct target of two closely related homeobox proteins, Six1 and Six4. 2005, Pubmed
Bosse, Identification of the vertebrate Iroquois homeobox gene family with overlapping expression during early development of the nervous system. 1997, Pubmed
Brugmann, Six1 promotes a placodal fate within the lateral neurogenic ectoderm by functioning as both a transcriptional activator and repressor. 2004, Pubmed , Xenbase
Buckingham, Gene regulatory networks and transcriptional mechanisms that control myogenesis. 2014, Pubmed
Chai, Transcriptional activation of the SALL1 by the human SIX1 homeodomain during kidney development. 2006, Pubmed
Chen, Cross-species functional analyses reveal shared and separate roles for Sox11 in frog primary neurogenesis and mouse cortical neuronal differentiation. 2016, Pubmed
Cheng, Identification and expression of zebrafish Iroquois homeobox gene irx1. 2001, Pubmed , Xenbase
David, Xenopus Eya1 demarcates all neurogenic placodes as well as migrating hypaxial muscle precursors. 2001, Pubmed , Xenbase
de la Calle-Mustienes, Xiro homeoproteins coordinate cell cycle exit and primary neuron formation by upregulating neuronal-fate repressors and downregulating the cell-cycle inhibitor XGadd45-gamma. 2002, Pubmed , Xenbase
Dincer, Specification of functional cranial placode derivatives from human pluripotent stem cells. 2013, Pubmed
Ellis, SOX2, a persistent marker for multipotential neural stem cells derived from embryonic stem cells, the embryo or the adult. 2004, Pubmed
Fujimoto, Homeoproteins Six1 and Six4 regulate male sex determination and mouse gonadal development. 2013, Pubmed
Glavic, Xiro-1 controls mesoderm patterning by repressing bmp-4 expression in the Spemann organizer. 2001, Pubmed , Xenbase
Glavic, Role of BMP signaling and the homeoprotein Iroquois in the specification of the cranial placodal field. 2004, Pubmed , Xenbase
Gómez-Skarmeta, Iroquois genes: genomic organization and function in vertebrate neural development. 2002, Pubmed
Gómez-Skarmeta, The Wnt-activated Xiro1 gene encodes a repressor that is essential for neural development and downregulates Bmp4. 2001, Pubmed , Xenbase
Gómez-Skarmeta, Xiro, a Xenopus homolog of the Drosophila Iroquois complex genes, controls development at the neural plate. 1998, Pubmed , Xenbase
Grocott, The peripheral sensory nervous system in the vertebrate head: a gene regulatory perspective. 2012, Pubmed
Groves, Setting appropriate boundaries: fate, patterning and competence at the neural plate border. 2014, Pubmed , Xenbase
Hintze, Cell interactions, signals and transcriptional hierarchy governing placode progenitor induction. 2017, Pubmed
Hirose, Clonal organization of the central nervous system of the frog. I. Clones stemming from individual blastomeres of the 16-cell and earlier stages. 1979, Pubmed , Xenbase
Hong, The activity of Pax3 and Zic1 regulates three distinct cell fates at the neural plate border. 2007, Pubmed , Xenbase
Ikeda, Molecular interaction and synergistic activation of a promoter by Six, Eya, and Dach proteins mediated through CREB binding protein. 2002, Pubmed
Jusiak, Genome-wide DNA binding pattern of the homeodomain transcription factor Sine oculis (So) in the developing eye of Drosophila melanogaster. 2014, Pubmed
Kerner, Evolutionary history of the iroquois/Irx genes in metazoans. 2009, Pubmed
Klein, The first cleavage furrow demarcates the dorsal-ventral axis in Xenopus embryos. 1987, Pubmed , Xenbase
Kolm, Efficient hormone-inducible protein function in Xenopus laevis. 1995, Pubmed , Xenbase
Kurth, Establishment of mesodermal gene expression patterns in early Xenopus embryos: the role of repression. 2005, Pubmed , Xenbase
Leung, Differential BMP signaling controls formation and differentiation of multipotent preplacodal ectoderm progenitors from human embryonic stem cells. 2013, Pubmed
Li, Expression of ventral diencephalon-enriched genes in zebrafish. 2010, Pubmed
Litsiou, A balance of FGF, BMP and WNT signalling positions the future placode territory in the head. 2005, Pubmed
Maharana, A gene regulatory network underlying the formation of pre-placodal ectoderm in Xenopus laevis. 2018, Pubmed , Xenbase
Matsuo-Takasaki, An essential role of Xenopus Foxi1a for ventral specification of the cephalic ectoderm during gastrulation. 2005, Pubmed , Xenbase
Mattioni, Regulation of protein activities by fusion to steroid binding domains. 1994, Pubmed
Miyata, Regional differences of proteins in isolated cells of early embryos of Xenopus laevis. 1987, Pubmed , Xenbase
Moody, Cell lineage analysis in Xenopus embryos. 2000, Pubmed , Xenbase
Moody, Fates of the blastomeres of the 16-cell stage Xenopus embryo. 1987, Pubmed , Xenbase
Moody, Transcriptional regulation of cranial sensory placode development. 2015, Pubmed
Neilson, Pa2G4 is a novel Six1 co-factor that is required for neural crest and otic development. 2017, Pubmed , Xenbase
Neilson, Ligand-independent activation of fibroblast growth factor receptors by point mutations in the extracellular, transmembrane, and kinase domains. 1996, Pubmed , Xenbase
Pandur, Xenopus Six1 gene is expressed in neurogenic cranial placodes and maintained in the differentiating lateral lines. 2000, Pubmed , Xenbase
Park, Long-term consequences of Sox9 depletion on inner ear development. 2010, Pubmed , Xenbase
Patthey, The evolutionary history of vertebrate cranial placodes--I: cell type evolution. 2014, Pubmed , Xenbase
Plouhinec, A molecular atlas of the developing ectoderm defines neural, neural crest, placode, and nonneural progenitor identity in vertebrates. 2017, Pubmed , Xenbase
Riddiford, Dissecting the pre-placodal transcriptome to reveal presumptive direct targets of Six1 and Eya1 in cranial placodes. 2016, Pubmed , Xenbase
Saint-Jeannet, Establishing the pre-placodal region and breaking it into placodes with distinct identities. 2014, Pubmed , Xenbase
Schlosser, Induction and specification of cranial placodes. 2006, Pubmed , Xenbase
Schlosser, Making senses development of vertebrate cranial placodes. 2010, Pubmed , Xenbase
Schlosser, Eya1 and Six1 promote neurogenesis in the cranial placodes in a SoxB1-dependent fashion. 2008, Pubmed , Xenbase
Schlosser, Molecular anatomy of placode development in Xenopus laevis. 2004, Pubmed , Xenbase
Silver, Functional dissection of eyes absent reveals new modes of regulation within the retinal determination gene network. 2003, Pubmed
Streit, The preplacodal region: an ectodermal domain with multipotential progenitors that contribute to sense organs and cranial sensory ganglia. 2007, Pubmed
Streit, Early development of the cranial sensory nervous system: from a common field to individual placodes. 2004, Pubmed
Sullivan, foxD5a, a Xenopus winged helix gene, maintains an immature neural ectoderm via transcriptional repression that is dependent on the C-terminal domain. 2001, Pubmed , Xenbase
Tchieu, A Modular Platform for Differentiation of Human PSCs into All Major Ectodermal Lineages. 2017, Pubmed
Trevers, Neural induction by the node and placode induction by head mesoderm share an initial state resembling neural plate border and ES cells. 2018, Pubmed
Yan, A transcriptional chain linking eye specification to terminal determination of cone cells in the Drosophila eye. 2003, Pubmed
Yan, Microarray identification of novel genes downstream of Six1, a critical factor in cranial placode, somite, and kidney development. 2015, Pubmed , Xenbase
Yan, foxD5 plays a critical upstream role in regulating neural ectodermal fate and the onset of neural differentiation. 2009, Pubmed , Xenbase
Zaghloul, Alterations of rx1 and pax6 expression levels at neural plate stages differentially affect the production of retinal cell types and maintenance of retinal stem cell qualities. 2007, Pubmed , Xenbase
Zhang, Direct control of neurogenesis by selector factors in the fly eye: regulation of atonal by Ey and So. 2006, Pubmed
