Click here to close
Hello! We notice that you are using Internet Explorer, which is not supported by Xenbase and may cause the site to display incorrectly.
We suggest using a current version of Chrome,
FireFox, or Safari.
Front Physiol
2019 Jan 01;10:134. doi: 10.3389/fphys.2019.00134.
Show Gene links
Show Anatomy links
The Frog Xenopus as a Model to Study Joubert Syndrome: The Case of a Human Patient With Compound Heterozygous Variants in PIBF1.
Ott T, Kaufmann L, Granzow M, Hinderhofer K, Bartram CR, Theiß S, Seitz A, Paramasivam N, Schulz A, Moog U, Blum M, Evers CM.
???displayArticle.abstract???
Joubert syndrome (JS) is a congenital autosomal-recessive or-in rare cases-X-linked inherited disease. The diagnostic hallmark of the so-called molar tooth sign describes the morphological manifestation of the mid- and hind-brain in axial brain scans. Affected individuals show delayed development, intellectual disability, ataxia, hyperpnea, sleep apnea, abnormal eye, and tongue movements as well as hypotonia. At the cellular level, JS is associated with the compromised biogenesis of sensory cilia, which identifies JS as a member of the large group of ciliopathies. Here we report on the identification of novel compound heterozygous variants (p.Y503C and p.Q485*) in the centrosomal gene PIBF1 in a patient with JS via trio whole exome sequencing. We have studied the underlying disease mechanism in the frog Xenopus, which offers fast assessment of cilia functions in a number of embryological contexts. Morpholino oligomer (MO) mediated knockdown of the orthologous Xenopus pibf1 gene resulted in defective mucociliary clearance in the larval epidermis, due to reduced cilia numbers and motility on multiciliated cells. To functionally assess patient alleles, mutations were analyzed in the larval skin: the p.Q485* nonsense mutation resulted in a disturbed localization of PIBF1 to the ciliary base. This mutant failed to rescue the ciliation phenotype following knockdown of endogenous pibf1. In contrast, the missense variant p.Y503C resulted in attenuated rescue capacity compared to the wild type allele. Based on these results, we conclude that in the case of this patient, JS is the result of a pathogenic combination of an amorphic and a hypomorphic PIBF1 allele. Our study underscores the versatility of the Xenopus model to study ciliopathies such as JS in a rapid and cost-effective manner, which should render this animal model attractive for future studies of human ciliopathies.
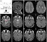
Figure 1. Pedigree and MRI scans. (A) Pedigree of patient family. Black symbol, affected individual; White symbols, unaffected individuals. (B–H) MR imaging of the patient at age 2 years and 6 months. Sagittal (B) and axial (C–H) images showed polymicrogyria in the parietal and temporal region (C,D) and hypoplasia of vermis cerebellum (B,E–H). Axial MR images of cerebellum and brainstem (E–H) showed a mild “molar tooth sign” (marked with white arrows in F–H) due to a deep interpeduncular fossa, prominent and elongated superior cerebellar peduncles and a hypoplastic cerebellar vermis. (I–L) Corresponding MR images of a healthy control
Figure 2. PIBF1 protein conservation and domain structure. (A) Sanger sequencing of PIBF1 from RT-PCR product of the patient mRNA extracted from blood. Black arrow heads indicate position of mutations. (B) Conservation of amino acid sequences between human, mouse, Xenopus, and zebrafish PIBF1. (C) Putative domain structure. JS and microcephaly (MC) mutations are indicated as red bars. For details see text. *Novel mutations identified in this study.
Figure 3. Embryonic pibf1 expression correlates with ciliated tissues. Embryos of defined stages were analyzed for pibf1 mRNA by whole-mount in situ hybridization using a digoxigenin-labeled antisense probe. (A) Maternal transcripts in the animal hemisphere of the 4-cell embryo. (B) Expression in the involuting marginal zone tissue of the early gastrulaembryo. (C) Staining of pibf1 in the axial and paraxial mesoderm at early neurula stages. (D) Pibf1 signals in skin MCCs and axial/paraxial mesoderm. (E) Expression in the otic vesicle at stage 25. (FâH) Expression pattern in tadpoles, including the head region, somites, and nephrostomes. Histological section of the eye (Hâ²) revealed signals in the retina as well as the inner nuclear cell layer. Planes of histological sections in (Bâ²,Dâ²,Eâ²,Fâ²,Hâ²) are indicated in the respective panels. an, animal; a, anterior; d, dorsal; DL, dorsal lip; INL, inner nuclear layer; l, left; neph, nephrostomes; no, notochord; nt, neural tube; ov, otic vesicle; p, posterior; r, right; re, retina; som, somite; v, ventral; veg, vegetal.
Figure 4. Pibf1 localization to MCC basal bodies is attenuated in nonsense JS variant. (AâC) Localization of the endogenous Pibf1 protein, using an anti-PIBF1 antibody (A) and co-staining with Centrin 1 (B) and Hoechst 33342 to highlight the nucleus (C). (DâF) An EGFP-PIBF1 fusion protein recapitulates the staining of the endogenous protein. (GâI) Unaltered expression of the missense allele Y503C. (JâL) Attenuated basal body localization of the truncated Q485* variant of PIBF1. Arrowheads mark protein aggregates observed upon overexpression of EGFP fusion
Figure 5. Loss of Pibf1 protein in pibf1 morphant Xenopus skin MCCs. Basal body staining of Pibf1 (AâC) was lost in TBMO injected specimen (DâF). Tjp1 immunofluorescence was used to mark cell boundaries (B,C,E,F). Fluorescent dextrane (green) was co-injected as lineage tracer to control targeting of injections (E,F). Arrowheads highlight MCCcilia in WT embryo.
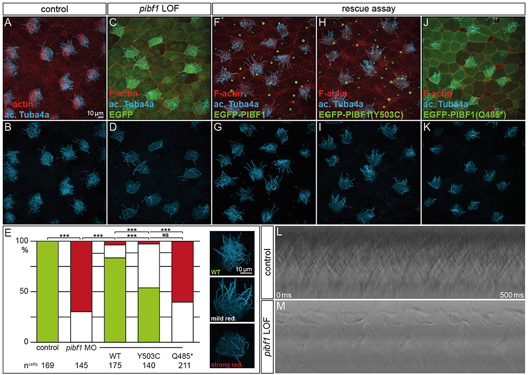
Figure 6. Rescue of morphant MCC ciliation is lost with mutant PIBF1 alleles. (AâE) MCC ciliation in WT embryos was lost in pibf1 TBMO-injected specimens. (EâG) Rescue of ciliation upon co-injection of TBMO and EGFP-PIBF1. (E,H,I) Attenuated rescue in embryos co-injected with missense PIBF1 allele. (E,J,K) Defective rescue upon co-injection of the nonsense PIBF1 allele. (E) Quantification of results. (L,M) Kymographs representing ciliary beating in WT and TBMO-injected stage 30 larval skin MCCs. ***Very highly significant, p < 0.01.
pibf1 (progesterone immunomodulatory binding factor 1) gene expression in Xenopus laevis embryo, assayed via in situ hybridization, NF stage 3, horizontal view, animal up.
pibf1 (progesterone immunomodulatory binding factor 1) gene expression in Xenopus laevis embryo, assayed via in situ hybridization, NF stage 30, lateral view, anteriorleft, dorsal up.
Adzhubei,
A method and server for predicting damaging missense mutations.
2010, Pubmed
Adzhubei,
A method and server for predicting damaging missense mutations.
2010,
Pubmed Bachmann-Gagescu,
Joubert syndrome: a model for untangling recessive disorders with extreme genetic heterogeneity.
2015,
Pubmed Barker,
Meckel-Gruber syndrome and the role of primary cilia in kidney, skeleton, and central nervous system development.
2014,
Pubmed Belo,
Cerberus-like is a secreted factor with neutralizing activity expressed in the anterior primitive endoderm of the mouse gastrula.
1997,
Pubmed
,
Xenbase Blum,
Xenopus: An Undervalued Model Organism to Study and Model Human Genetic Disease.
2018,
Pubmed
,
Xenbase Boycott,
International Cooperation to Enable the Diagnosis of All Rare Genetic Diseases.
2017,
Pubmed Brancati,
MKS3/TMEM67 mutations are a major cause of COACH Syndrome, a Joubert Syndrome related disorder with liver involvement.
2009,
Pubmed Brooks,
Multiciliated cells.
2014,
Pubmed Choi,
Predicting the functional effect of amino acid substitutions and indels.
2012,
Pubmed Chun,
Identification of deleterious mutations within three human genomes.
2009,
Pubmed Cohen,
Evidence that exposure to progesterone alone is a sufficient stimulus to cause a precipitous rise in the immunomodulatory protein the progesterone induced blocking factor (PIBF).
2016,
Pubmed Delous,
The ciliary gene RPGRIP1L is mutated in cerebello-oculo-renal syndrome (Joubert syndrome type B) and Meckel syndrome.
2007,
Pubmed Desai,
Impacts of variants of uncertain significance on parental perceptions of children after prenatal chromosome microarray testing.
2018,
Pubmed Doherty,
Joubert syndrome: insights into brain development, cilium biology, and complex disease.
2009,
Pubmed Dubaissi,
Embryonic frog epidermis: a model for the study of cell-cell interactions in the development of mucociliary disease.
2011,
Pubmed
,
Xenbase Duncan,
Xenopus as a model organism for birth defects-Congenital heart disease and heterotaxy.
2016,
Pubmed
,
Xenbase Edvardson,
Joubert syndrome 2 (JBTS2) in Ashkenazi Jews is associated with a TMEM216 mutation.
2010,
Pubmed Evers,
Impact of clinical exomes in neurodevelopmental and neurometabolic disorders.
2017,
Pubmed Fagerberg,
Analysis of the human tissue-specific expression by genome-wide integration of transcriptomics and antibody-based proteomics.
2014,
Pubmed Franco,
Update on oral-facial-digital syndromes (OFDS).
2016,
Pubmed Getwan,
Toolbox in a tadpole: Xenopus for kidney research.
2017,
Pubmed
,
Xenbase González-Arenas,
Progesterone-induced blocking factor is hormonally regulated in human astrocytoma cells, and increases their growth through the IL-4R/JAK1/STAT6 pathway.
2014,
Pubmed Gupta,
A Dynamic Protein Interaction Landscape of the Human Centrosome-Cilium Interface.
2015,
Pubmed Gutiérrez-Rodríguez,
Proliferative and Invasive Effects of Progesterone-Induced Blocking Factor in Human Glioblastoma Cells.
2017,
Pubmed Hebbar,
A biallelic 36-bp insertion in PIBF1 is associated with Joubert syndrome.
2018,
Pubmed Huang,
TMEM237 is mutated in individuals with a Joubert syndrome related disorder and expands the role of the TMEM family at the ciliary transition zone.
2011,
Pubmed Hudić,
Maternal serum progesterone-induced blocking factor (PIBF) in the prediction of preterm birth.
2015,
Pubmed Hudić,
Lower Urinary and Serum Progesterone-Induced Blocking Factor in Women with Preterm Birth.
2016,
Pubmed Iannicelli,
Novel TMEM67 mutations and genotype-phenotype correlates in meckelin-related ciliopathies.
2010,
Pubmed Johnston,
Compound heterozygous alterations in intraflagellar transport protein CLUAP1 in a child with a novel Joubert and oral-facial-digital overlap syndrome.
2017,
Pubmed
,
Xenbase Khanna,
RPGR-ORF15, which is mutated in retinitis pigmentosa, associates with SMC1, SMC3, and microtubule transport proteins.
2005,
Pubmed Kim,
The pericentriolar satellite protein CEP90 is crucial for integrity of the mitotic spindle pole.
2011,
Pubmed Kim,
CEP90 is required for the assembly and centrosomal accumulation of centriolar satellites, which is essential for primary cilia formation.
2012,
Pubmed Kircher,
A general framework for estimating the relative pathogenicity of human genetic variants.
2014,
Pubmed Knopp,
Syndromic ciliopathies: From single gene to multi gene analysis by SNP arrays and next generation sequencing.
2015,
Pubmed Kodani,
Centriolar satellites assemble centrosomal microcephaly proteins to recruit CDK2 and promote centriole duplication.
2015,
Pubmed Kroes,
Joubert syndrome: genotyping a Northern European patient cohort.
2016,
Pubmed Kurian,
Gaps in Incorporating Germline Genetic Testing Into Treatment Decision-Making for Early-Stage Breast Cancer.
2017,
Pubmed Lachmann,
PIBF (progesterone induced blocking factor) is overexpressed in highly proliferating cells and associated with the centrosome.
2004,
Pubmed Leitch,
Hypomorphic mutations in syndromic encephalocele genes are associated with Bardet-Biedl syndrome.
2008,
Pubmed Lek,
Analysis of protein-coding genetic variation in 60,706 humans.
2016,
Pubmed Liu,
dbNSFP v2.0: a database of human non-synonymous SNVs and their functional predictions and annotations.
2013,
Pubmed Malicdan,
Mutations in human homologue of chicken talpid3 gene (KIAA0586) cause a hybrid ciliopathy with overlapping features of Jeune and Joubert syndromes.
2015,
Pubmed Maria,
"Joubert syndrome" revisited: key ocular motor signs with magnetic resonance imaging correlation.
1997,
Pubmed Maria,
Molar tooth sign in Joubert syndrome: clinical, radiologic, and pathologic significance.
1999,
Pubmed Miller,
A simple salting out procedure for extracting DNA from human nucleated cells.
1988,
Pubmed Moody,
Cell lineage analysis in Xenopus embryos.
2000,
Pubmed
,
Xenbase Mougou-Zerelli,
CC2D2A mutations in Meckel and Joubert syndromes indicate a genotype-phenotype correlation.
2009,
Pubmed Ng,
SIFT: Predicting amino acid changes that affect protein function.
2003,
Pubmed Park,
Dishevelled controls apical docking and planar polarization of basal bodies in ciliated epithelial cells.
2008,
Pubmed
,
Xenbase Polgar,
Molecular cloning and immunologic characterization of a novel cDNA coding for progesterone-induced blocking factor.
2003,
Pubmed Reva,
Predicting the functional impact of protein mutations: application to cancer genomics.
2011,
Pubmed Richards,
Standards and guidelines for the interpretation of sequence variants: a joint consensus recommendation of the American College of Medical Genetics and Genomics and the Association for Molecular Pathology.
2015,
Pubmed Romani,
Mutations in B9D1 and MKS1 cause mild Joubert syndrome: expanding the genetic overlap with the lethal ciliopathy Meckel syndrome.
2014,
Pubmed Romani,
Joubert syndrome: congenital cerebellar ataxia with the molar tooth.
2013,
Pubmed Roosing,
Mutations in CEP120 cause Joubert syndrome as well as complex ciliopathy phenotypes.
2016,
Pubmed Saunier,
Nephronophthisis.
2005,
Pubmed Schwarz,
MutationTaster evaluates disease-causing potential of sequence alterations.
2010,
Pubmed Shaheen,
Mutations in CSPP1, encoding a core centrosomal protein, cause a range of ciliopathy phenotypes in humans.
2014,
Pubmed Shaheen,
Identification of a novel MKS locus defined by TMEM107 mutation.
2015,
Pubmed Shihab,
Predicting the functional, molecular, and phenotypic consequences of amino acid substitutions using hidden Markov models.
2013,
Pubmed Slaats,
MKS1 regulates ciliary INPP5E levels in Joubert syndrome.
2016,
Pubmed Spassky,
Primary cilia are required for cerebellar development and Shh-dependent expansion of progenitor pool.
2008,
Pubmed Srour,
Joubert Syndrome in French Canadians and Identification of Mutations in CEP104.
2015,
Pubmed Srour,
Mutations in C5ORF42 cause Joubert syndrome in the French Canadian population.
2012,
Pubmed Srour,
Mutations in TMEM231 cause Joubert syndrome in French Canadians.
2012,
Pubmed Tallila,
Mutation spectrum of Meckel syndrome genes: one group of syndromes or several distinct groups?
2009,
Pubmed Thomas,
TCTN3 mutations cause Mohr-Majewski syndrome.
2012,
Pubmed Tuz,
Mutations in CSPP1 cause primary cilia abnormalities and Joubert syndrome with or without Jeune asphyxiating thoracic dystrophy.
2014,
Pubmed Valente,
Mutations in TMEM216 perturb ciliogenesis and cause Joubert, Meckel and related syndromes.
2010,
Pubmed Vladar,
Molecular characterization of centriole assembly in ciliated epithelial cells.
2007,
Pubmed Walentek,
A novel serotonin-secreting cell type regulates ciliary motility in the mucociliary epidermis of Xenopus tadpoles.
2014,
Pubmed
,
Xenbase Wang,
ANNOVAR: functional annotation of genetic variants from high-throughput sequencing data.
2010,
Pubmed Wheway,
An siRNA-based functional genomics screen for the identification of regulators of ciliogenesis and ciliopathy genes.
2015,
Pubmed Wright,
Making new genetic diagnoses with old data: iterative reanalysis and reporting from genome-wide data in 1,133 families with developmental disorders.
2018,
Pubmed Yachie,
Pooled-matrix protein interaction screens using Barcode Fusion Genetics.
2016,
Pubmed Zaghloul,
Mechanistic insights into Bardet-Biedl syndrome, a model ciliopathy.
2009,
Pubmed Zhao,
The Cep63 paralogue Deup1 enables massive de novo centriole biogenesis for vertebrate multiciliogenesis.
2013,
Pubmed
,
Xenbase