Click here to close Hello! We notice that you are using Internet Explorer, which is not supported by Xenbase and may cause the site to display incorrectly. We suggest using a current version of Chrome, FireFox, or Safari.
XB-ART-55714
Biochem Biophys Res Commun 2019 Mar 26;5111:111-116. doi: 10.1016/j.bbrc.2019.02.045.
Show Gene links Show Anatomy links

Multi-site phosphorylation controls the neurogenic and myogenic activity of E47.

Hardwick LJA, Davies JD, Philpott A.


???displayArticle.abstract???
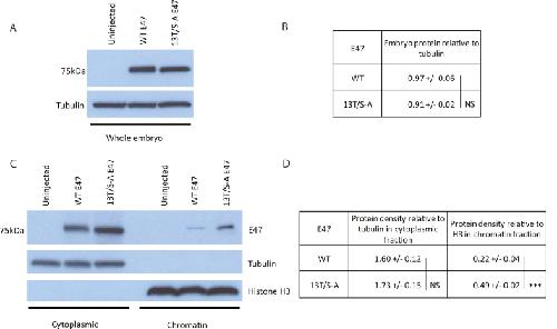
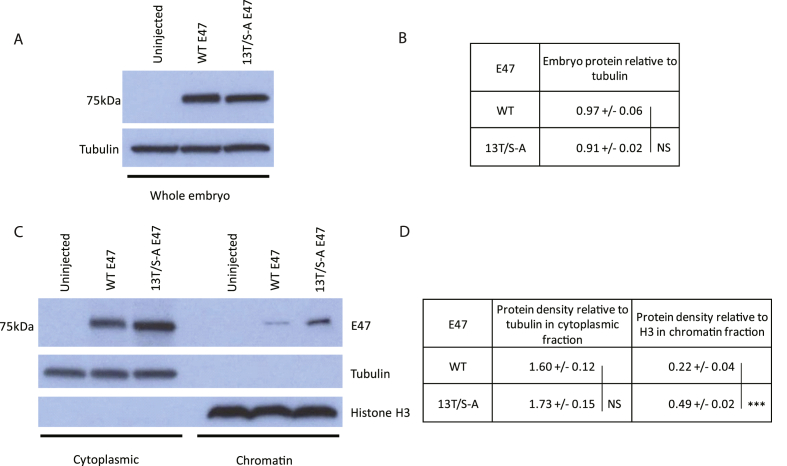
The superfamily of basic-Helix-Loop-Helix (bHLH) transcription factors influence cell fate in all three embryonic germ layers, and the tissue-specific class II factors have received prominent attention for their potent ability to direct differentiation during development and in cellular reprogramming. The activity of many class II bHLH proteins driving differentiation, and the inhibitory class VI bHLH factor Hes1, is controlled by phosphorylation on multiple sites by Cyclin-dependent kinases (Cdks). As class II proteins are generally thought to be active through hetero-dimerisation with the ubiquitously expressed class I E proteins, regulation of class I transcription factors such as E47 may influence the activity of multiple tissue-specific bHLH proteins. Using differentiation of nerve and muscle in Xenopus frog embryos as a model system, we set out to explore whether with the ubiquitously expressed class I E protein E47 that hetero-dimerises with Class II bHLHs to control their activity, is also regulated by multi-site phosphorylation. We demonstrate that E47 can be readily phosphorylated by Cdks on multiple sites in vitro, while ectopically-expressed E47 exists in multiple phosphorylated forms in Xenopus embryos. Preventing multi-site phosphorylation using a phospho-mutant version of E47 enhances the neurogenic and myogenic activity of three different class II bHLH reprogramming factors, and also when E47 acts in hetero-dimerisation with endogenous proteins. Mechanistically, unlike phospho-regulation of class II bHLH factors, we find that preventing phosphorylation of E47 increases the amount of chromatin-bound E47 protein but without affecting its overall protein stability. Thus, multi-site phosphorylation is a conserved regulatory mechanism across the bHLH superfamily that can be manipulated to enhance cellular differentiation.

???displayArticle.pubmedLink??? 30773262
???displayArticle.pmcLink??? PMC6405440
???displayArticle.link??? Biochem Biophys Res Commun
???displayArticle.grants??? [+]

Species referenced: Xenopus laevis
Genes referenced: ascl1 hes1 myod1 neurog2 sox2


???attribute.lit??? ???displayArticles.show???
References [+] :
Ali, Cell cycle-regulated multi-site phosphorylation of Neurogenin 2 coordinates cell cycling with differentiation during neurogenesis. 2011, Pubmed, Xenbase