XB-ART-55413
Sci Rep
2017 Feb 02;7:41519. doi: 10.1038/srep41519.
Show Gene links
Show Anatomy links
MISTIC-fusion proteins as antigens for high quality membrane protein antibodies.
Alves NS, Astrinidis SA, Eisenhardt N, Sieverding C, Redolfi J, Lorenz M, Weberruss M, Moreno-Andrés D, Antonin W.
???displayArticle.abstract???
Lack of high-quality antibodies against transmembrane proteins is a widely recognized hindrance in biomedical and cell biological research. Here we present a robust pipeline for the generation of polyclonal antibodies employing full-length membrane proteins as immunogens to overcome this "antibody bottleneck". We express transmembrane proteins fused to a MISTIC fragment that enhances expression of eukaryotic membrane proteins in E. coli. Purified membrane proteins are used as immunogen for rabbit injection employing standard immunizing protocols. The raised antibodies against membrane proteins of the endoplasmic reticulum and the nuclear envelope, which we use as test cases, function in a wide range of applications and are superior to ones produced against soluble domains as immunogens.
???displayArticle.pubmedLink??? 28148968
???displayArticle.pmcLink??? PMC5288655
???displayArticle.link??? Sci Rep
Species referenced: Xenopus laevis
Genes referenced: canx ndc1 nup210 sun1 sun2
???attribute.lit??? ???displayArticles.show???
|
|
Figure 1. Antisera against full-length POM33 outperform antisera generated against a soluble fragment.(a) Schematic representation of POM33. Predicted transmembrane regions are indicated in black, the lipid bilayer in yellow. (b) 10âμg, 3âμg and 1âμg of a total membrane fraction from Xenopus egg extracts were separated on a 12% SDS-PAGE and analyzed by western blotting using antisera against full-length POM33 (antiserum A and B) in a 1:10,000 dilution and antisera against the C-terminal domain (antiserum C and D) in a 1:1,000 dilution. Molecular size markers as well as the position of POM33 are indicated. Please note that for this analysis the blot membrane was after transfer divided into four parts, which were separately incubated with the indicated antisera. For blot analysis by ECL the parts were realigned and imaged as a whole. (c) POM33 was immunprecipitated from a solubilized total membrane fraction from Xenopus egg extracts using antisera against full-length POM33 (antiserum A and B) and antisera against the C-terminal domain (antiserum C and D). Antibody bound proteins were eluated with SDS sample buffer and separated together with 10% and 30% of the corresponding starting material on a 12% SDS-PAGE. After western blotting samples were analyzed with α-POM33 antiserum B. (d) Immunofluorescence detection of POM33. Xenopus S3 cells were fixed with 2% paraformaldehyde and stained with α-POM33 antisera A and B. Samples were co-stained with the nuclear pore complex (NPC) marker mAB414 and DAPI and analyzed by confocal microscopy. Bars: 5âμm. |
|
|
Figure 2. Characterization of antisera against the nuclear pore complex transmembrane protein NDC1.(a) 10âμg and 3âμg of a total membrane fraction from Xenopus egg extracts were separated on a 8% SDS-PAGE and analyzed by western blotting using antisera against full-length NDC1 (aa 1â660, antiserum A), against the N-terminal part of NDC1 which contains all six predicted transmembrane regions (aa 1â301, antiserum B and C) and against a C-terminal domain (aa 361â521, antiserum D and E, described in ref. 22). All antisera were used in a 1:1,000 dilution. Molecular size markers as well as the position of NDC1 are indicated. (b) NDC1 was immunprecipitated from a solubilized total membrane fraction from Xenopus egg extracts using antisera against full-length NDC1 (antiserum A), against the N-terminal part of NDC1 (antiserum B and C) and against a C-terminal domain (antiserum D and E). Antibody bound proteins were eluated with SDS sample buffer and separated together with 30% and 10% of the corresponding starting material on a 8% SDS-PAGE. After western blotting samples were analyzed with α-NDC1 antiserum A. Molecular size markers as well as the position of NDC1 and the detected IgG heavy chains (hc) are indicated. |
|
|
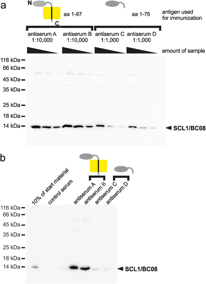
Figure 3. Characterization of antisera against the type II inner nuclear membrane protein SCL1/BC08.(a) 10âμg, 3âμg and 1âμg of a total membrane fraction from Xenopus egg extracts were separated on a 15% SDS-PAGE and analyzed by western blotting using antisera against full-length SCL1/BC08 (aa 1â97, antiserum A and B) in a 1:10,000 dilution and antisera against the nucleoplasmic domain (aa 1â76, antiserum C and D) in a 1:1,000 dilution. Molecular size markers as well as the position of SCL1/BC08 are indicated. (b) SCL1/BC08 was immunprecipitated from a solubilized total membrane fraction from Xenopus egg extracts using antisera against full-length SCL1/BC08 (antiserum A and B) and antisera against the nucleoplasmic domain (antiserum C and D). Antibody bound proteins were eluated with SDS sample buffer and separated together with 30% and 100% of the corresponding starting material on a 15% SDS-PAGE. After western blotting samples were analyzed with α- SCL1/BC08 antiserum A. |
|
|
Figure 4. Characterization of Calnexin antisera.(a) Schematic representation of Calnexin. The transmembrane region is indicated in black, the lipid bilayer in yellow. (b) 10âμg, 3âμg and 1âμg of a total membrane fraction from Xenopus egg extracts were separated on a 8% SDS-PAGE and analyzed by western blotting using antisera against a Calnexin fragment including its transmembrane region (aa 485â611, antiserum A and B) in a 1:10,000 dilution and antisera against the C-terminal cytoplasmic domain (aa 516â611 antiserum C and D) in a 1:1,000 dilution. Molecular size markers as well as the position of Calnexin are indicated. (c) Calnexin was immunprecipitated from a solubilized total membrane fraction from Xenopus egg extracts using antisera against a Calnexin fragment including its transmembrane region (antiserum A and B) and antisera against the C-terminal domain (antiserum C and D). Antibody bound proteins were eluated with SDS sample buffer and separated together with 10% and 30% of the corresponding starting material on a 8% SDS-PAGE. After western blotting samples were analyzed with α-Calnexin antiserum A. (d) Immunofluorescence detection of Calnexin. Xenopus S3 cells were fixed with 2% paraformaldehyde and stained with antiserum A. Samples were co-stained with the nuclear pore complex (NPC) marker mAB414 and DAPI and analyzed by confocal microscopy. Bar: 5âμm. |
|
|
Figure 5. MISTIC-fusion proteins are efficient antigens for production of antibodies against membrane proteins.(a) Two antisera generated against Xenopus full-length brambleberry (BMB), two antisera against SUN1 and one antiserum against full-length Nurim were analyzed by western blotting in a 1:1000 dilution. 3âμg of a total membrane fraction from Xenopus egg extracts were separated on 12% (for BMB and Nurim) or 8% SDS-PAGEs (for SUN1). Molecular size markers as well as the position of respective proteins are indicated. Cropped images showing the whole respective lanes are shown. (b) BMB and SUN1 were immunprecipitated from a solubilized total membrane fraction from Xenopus egg extracts using antisera described in (a). Antibody bound proteins were eluated with SDS sample buffer, separated on a 12% (BMB) or 8% SDS-PAGE and analyzed with BMB serum 1 or SUN1 serum 1, respectively. Molecular size markers as well as the position of respective proteins (arrow head) and the IgG heavy chain (*) are indicated. Cropped images showing the whole respective lanes are shown. (c) Immunofluorescence detection of SUN1 and SUN2. Xenopus S3 cells were fixed with 2% PFA and stained with two antisera against SUN1 (as in a) and full-length Xenopus SUN2. Samples were co-stained with the nuclear pore complex (NPC) marker mAB414 and DAPI and analyzed by confocal microscopy. Bars: 5âμm. |
|
|
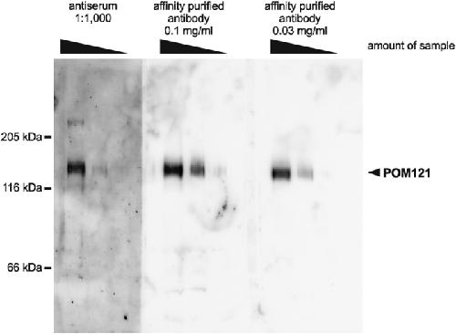
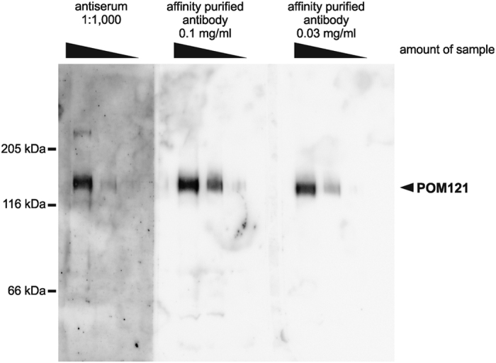
Figure 6. Antisera raised against MISTIC-fusion proteins can be efficiently affinity purified.An antiserum raised against a MISTIC-fusion with the full-length transmembrane nucleoporin POM121 was affinity purified using the MISTIC-POM121 protein coupled to Affigel 10 matrix as bait. The unpurified antiserum (at a 1:1,000 dilution) as well as the affinity purified antibodies (at a 0.1âmg/ml and 0.03âmg/ml dilution) were tested by western blotting after 6% SDS-PAGE of 10âμg, 3âμg and 1âμg of a total membrane fraction from Xenopus egg extracts. Molecular size markers as well as the position of POM121 are indicated. |
|
|
Figure 7. Antibodies raised against full-length POM121 and NDC1 inhibit nuclear reformation.(a) Xenopus egg extract membranes were preincubated with control or α-POM121, α-NDC1 or α-GP210 IgG, respectively, and used in nuclear assembly reactions. Membranes were stained with DiIC18 (red) and chromatin with DAPI (blue) and samples analyzed by confocal microscopy. As previously reported for antibodies against soluble domains of POM121 and NDC12230, also antibodies against full-length POM121 and NDC1 but not GP210 block formation of a closed nuclear envelope around sperm chromatin. (b) 100 randomly chosen chromatin substrates per reaction from samples from (a) were analyzed for closed nuclear envelope formation. The average of three independent experiments are shown, individual data points are indicated. |
References [+] :
Abrams,
Dynamic assembly of brambleberry mediates nuclear envelope fusion during early development.
2012, Pubmed
Abrams, Dynamic assembly of brambleberry mediates nuclear envelope fusion during early development. 2012, Pubmed
Andréll, Overexpression of membrane proteins in mammalian cells for structural studies. 2013, Pubmed
Antonin, The integral membrane nucleoporin pom121 functionally links nuclear pore complex assembly and nuclear envelope formation. 2005, Pubmed , Xenbase
Arolas, Expression and purification of integral membrane metallopeptidase HtpX. 2014, Pubmed
Bernaudat, Heterologous expression of membrane proteins: choosing the appropriate host. 2011, Pubmed
Blain, The functionally active Mistic-fused histidine kinase receptor, EnvZ. 2010, Pubmed
Chadrin, Pom33, a novel transmembrane nucleoporin required for proper nuclear pore complex distribution. 2010, Pubmed
Davis, Identification and characterization of a nuclear pore complex protein. 1986, Pubmed
Deniaud, Expression of a chloroplast ATP/ADP transporter in E. coli membranes: behind the Mistic strategy. 2011, Pubmed
Doucet, Cell cycle-dependent differences in nuclear pore complex assembly in metazoa. 2010, Pubmed , Xenbase
Dvir, Bacterial expression of a eukaryotic membrane protein in fusion to various Mistic orthologs. 2009, Pubmed
Eisenhardt, Xenopus in vitro assays to analyze the function of transmembrane nucleoporins and targeting of inner nuclear membrane proteins. 2014, Pubmed , Xenbase
Emmerstorfer, Overexpression of membrane proteins from higher eukaryotes in yeasts. 2014, Pubmed
Goulas, The pCri System: a vector collection for recombinant protein expression and purification. 2014, Pubmed
Hallberg, An integral membrane protein of the pore membrane domain of the nuclear envelope contains a nucleoporin-like region. 1993, Pubmed
Hamakubo, Generation of antibodies against membrane proteins. 2014, Pubmed
Hennig, Viruses and the nuclear envelope. 2015, Pubmed
Henrich, Membrane protein production in Escherichia coli cell-free lysates. 2015, Pubmed
Junge, Large-scale production of functional membrane proteins. 2008, Pubmed
Kefala, Application of Mistic to improving the expression and membrane integration of histidine kinase receptors from Escherichia coli. 2007, Pubmed
Lander, Initial sequencing and analysis of the human genome. 2001, Pubmed
Lau, Topology of yeast Ndc1p: predictions for the human NDC1/NET3 homologue. 2006, Pubmed
Mansfeld, The conserved transmembrane nucleoporin NDC1 is required for nuclear pore complex assembly in vertebrate cells. 2006, Pubmed , Xenbase
Marx, Finding the right antibody for the job. 2013, Pubmed
Nekrasova, A new hybrid protein for production of recombinant bacteriorhodopsin in Escherichia coli. 2010, Pubmed
Petrovskaya, Expression of G-protein coupled receptors in Escherichia coli for structural studies. 2010, Pubmed
Rolls, A visual screen of a GFP-fusion library identifies a new type of nuclear envelope membrane protein. 1999, Pubmed
Roosild, NMR structure of Mistic, a membrane-integrating protein for membrane protein expression. 2005, Pubmed
Roosild, Characterization of the family of Mistic homologues. 2006, Pubmed
Schlegel, Bacterial-based membrane protein production. 2014, Pubmed
Sosa, Structural insights into LINC complexes. 2013, Pubmed
Stavru, NDC1: a crucial membrane-integral nucleoporin of metazoan nuclear pore complexes. 2006, Pubmed
Uhlén, Proteomics. Tissue-based map of the human proteome. 2015, Pubmed
Ulbert, Direct membrane protein-DNA interactions required early in nuclear envelope assembly. 2006, Pubmed , Xenbase
von Heijne, The membrane protein universe: what's out there and why bother? 2007, Pubmed
Worman, Nuclear membrane diversity: underlying tissue-specific pathologies in disease? 2015, Pubmed
Yildirim, Drug-target network. 2007, Pubmed
