Click here to close
Hello! We notice that you are using Internet Explorer, which is not supported by Xenbase and may cause the site to display incorrectly.
We suggest using a current version of Chrome,
FireFox, or Safari.
Biochem Biophys Res Commun
2018 Nov 17;5061:108-113. doi: 10.1016/j.bbrc.2018.10.064.
Show Gene links
Show Anatomy links
Mitotic entry drives replisome disassembly at stalled replication forks.
Hashimoto Y, Tanaka H.
???displayArticle.abstract???
The disassembly of eukaryotic replisome during replication termination is mediated by CRL-dependent poly-ubiquitylation of Mcm7 and p97 segregase. The replisome also disassembles at stalled or collapsed replication forks under certain stress conditions, but the underlying mechanism is poorly understood. Here, we discovered a novel pathway driving stepwise disassembly of the replisome at stalled replication forks after forced entry into M-phase using Xenopus egg extracts. This pathway was dependent on M-CDK activity and K48- and K63-linked poly-ubiquitylation but not on CRL and p97, which is different from known pathways. Furthermore, this pathway could not disassemble converged replisomes whose Mcm7 subunit had been poly-ubiquitylated without p97. These results suggest that there is a distinctive pathway for replisome disassembly when stalled replication forks persist into M-phase.
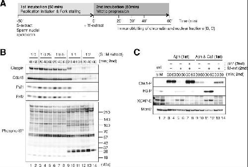
Fig. 1. Mitotic entry drives replisome disassembly at stalled replication forks. (A) Schematic diagram of experimental design. Sperm nuclei (5000/μL) were incubated for 60â¯min in S-phase egg extract (S-extract) with 10â¯Î¼g/mL aphidicolin followed by addition of M-phase egg extract (M-extract) and incubation for up to 60â¯min. (B) Chromatin fractions (from 1â¯Ãâ¯105 nuclei) were isolated at the indicated time and subjected to immunoblotting to examine chromatin binding of replisome factors and the phosphorylation status at Ser-Pro sequences of chromatin-bound proteins after adding M-extract to 20â¯Î¼L of S-extract at the indicated ratio (0, 5, 10, 20, and 40â¯Î¼L). (C) The nuclear fractions (1â¯Ãâ¯105 nuclei) were isolated at the indicated time and subjected to immunoblotting to examine the phosphorylation of Chk1 (Ser344) and Histone H3 (Ser10). An equal 0.5â¯Î¼L volume of S-phase and M-phase extract was loaded for comparison (lane 1, 2).
Fig. 2. Both K48- and K63-linked poly-ubiquitylation is required for mitotic replisome disassembly. (A) The requirement of CDK, ubiquitylation, SUMOylation, and proteasome activity for mitotic replisome disassembly. The same experiment as in Fig. 1B (S:Mâ¯=â¯1:1) was performed in the presence or absence of 140â¯Î¼g/mL His-p27 (27), 0.215â¯Î¼g/mL Ub-VS (VS), 400â¯Î¼g/mL GST-Ubc9-DN (DN), and 150â¯Î¼M MG132 as indicated. An equal 0.5â¯Î¼L volume of S- and M-phase extract (ext, S and M) was loaded for comparison (lane 1, 2). (B) Analysis of the ubiquitin chain required for mitotic replisome disassembly. The same experiment as in Fig. 2A was performed in the presence or absence of His-p27 (27), Ub-VS (VS), wild-type Ub (WT), and a series of Ub mutants (K0, K11R, K48R, K63R, K48/63R, K11, K48, K63). Wild-type and mutated Ubs were added at 400â¯Î¼g/mL. (C) The same experiments as in (B) were repeated three times and the signal intensities of Claspin, Cdc45, and Psf2 were quantified. The value of lane 1 (no addition of M-extract) as a control was set to 100%, and the relative average value of lane 2â13 was shown in the graphs. Error bars; ± S.D.
Fig. 3. Replisome disassembly in M-phase is mechanistically distinct from that of replication termination in S-phase. (A) Sperm nuclei (5000/μL) were incubated in 20â¯Î¼L of S-phase extract for the indicated time in the presence or absence of NMS-873 (NMS, 100â¯Î¼M), ICRF-193 (ICRF, 100â¯Î¼M), or aphidicolin (Aph, 10â¯Î¼g/mL). A small amount (0.5â¯Î¼L) of extract (S-ext, lane 1) and the isolated chromatin fractions (lane 2â13) were subjected to immunoblotting. (B) The same experiment as in Fig. 2A was performed in the presence or absence of His-p27 (27, 140 μg/mL), BI2536 (BI, 10 μM), NMS-873 (N, 100 μM), or MLN-4924 (M* 5 μM, M** 10 μM). Asterisk, non-specific band. (C) The same experiment as in (A) was performed with MLN-4924 (M* 5 μM, M** 10 μM) or NMS-873 (N, 100 μM) supplemented as indicated. The chromatin fractions were isolated after a 100 min incubation and subjected to immunoblotting. (D) A similar experiment as in Fig. 2A was performed with NMS-873 (N, 100â¯Î¼M), aphidicolin (Aph, 10â¯Î¼g/mL), or His-p27 (27, 140â¯Î¼g/mL) supplemented as indicated. The incubation times were 80â¯min in the 1st and 70â¯min in the 2nd incubations.