Click here to close
Hello! We notice that you are using Internet Explorer, which is not supported by Xenbase and may cause the site to display incorrectly.
We suggest using a current version of Chrome,
FireFox, or Safari.
???displayArticle.abstract???
Crosstalk of signaling pathways play crucial roles in cell proliferation, cell differentiation, and cell fate determination for development. In the case of ventx1.1 in Xenopus embryos, both BMP-4/Smad-1 and FGF/Xbra signaling induce the expression of neural repressor ventx1.1. However, the details of how these two pathways interact and lead to neural inhibition by ventx1.1 remain largely unknown. In the present study, Xbra directly bound to the ventx1.1 promoter region and inhibited neurogenesis in a Ventx1.1-dependent manner. Furthermore, Smad-1 and Xbra physically interacted and regulated ventx1.1 transcription in a synergistic fashion. Xbra and Smad-1 interaction cooperatively enhanced the binding of an interacting partner within the ventx1.1 promoter and maximum cooperation was achieved in presence of intact DNA binding sites for both Smad-1 and Xbra. Collectively, BMP-4/Smad-1 and FGF/Xbra signal crosstalk cooperate to activate the transcription of neural repressor ventx1.1 in Xenopus embryos. This suggests that the crosstalk between BMP-4 and FGF signaling negatively regulates early neurogenesis by synergistic activation of ventx1.1 in Xenopus embryos.
NRF-2016R1D1A1B02008770 National Research Foundation of Korea (NRF), NRF-2016M3A9B8914057 National Research Foundation of Korea (NRF), HRF-201410-017 Hallym University (Hallym)
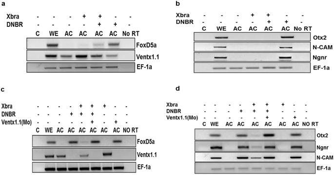
Figure 1.Ectopic expression of Xbra inhibits neurogenesis in a Ventx1.1-dependent manner in animal cap explants of Xenopus. Ventx1.1 MOs (1âng) were injected either with or without DNBR and Xbra mRNA at the 1-cell stage and dissected the animal cap at the stage 8. The dissected animal caps were harvested until stages 11 and 24 in L-15 culture medium. The relative gene expressions were analyzed by RT-PCR. (a,b) Xbra increases ventx1.1 expression and reduces the expression of early and late neural genes, including that of FoxD5a, N-CAM, Ngnr, and Otx2 while DNBR reduces ventx1.1 expression and induces the expression of neural genes, FoxD5a, N-CAM, Ngnr, and Otx2. (c,d) ventx1.1 MOs reduces ventx1.1 expression and increases the expression of neural genes, including for FoxD5a, N-CAM, Ngnr, and Otx2. C: PCR reaction without adding cDNA while No RT means PCR reaction without added reverse transcriptase.
Figure 2. Identification of Xbra response elements (XbRE) within the ventx1.1 promoter region. Different serially-deleted ventx1.1 promoter constructs were co-injected either with or without DN-Xbra or Xbra at the 1-cell stage and grown until stage 11 in 30% MMR to measure the relative promoter activity at the stage 11. (a) ventx1.1 (−2525) promoter injected either with or without DN-Xbra. (b) ventx1.1 (−2525) promoter injected either with or without Xbra. (c,d) Serially-deleted promoter constructs of ventx1.1 injected either with or without Xbra. (e) ventx1.1 (−103) promoter construct injected either with or without Xbra in a dose-dependent manner. (f) Putative Xbra binding consensus was mutated by site-directed mutagenesis within ventx1.1 (−103) promoter constructs. (g) XbRE-mutated ventx1.1 (−103) mXbRE and ventx1.1 (−103) promoter constructs injected either with or without Xbra. (h) ventx1.1 (−103) promoter construct injected either with or without FoxD5b. (i,j) A ChIP-PCR assay was performed with anti-Myc antibody during gastrula. All ChIP bindings were measured by PCR using specific primers. ventx1.1 (−103) promoter DNA was used as a positive control while Xvent2 coding region primers were used as a negative control for all the ChIP-PCR experiments. All the relative promoter activity data are shown as mean ± SE. The ChIP-PCR band intensities were quantified using a densitometer.
Figure 3. Xbra and Smad-1 synergistically regulate ventx1.1 transcription. Different ventx1.1 promoter constructs were co-injected either with or without Smad-1 and with Xbra, either in combination or separately, at the 1-cell stage and grown until stage 11 to measure the relative promoter activity. (a,b) ventx1.1 (−103 and −180) injected with Xbra and Smad-1, in combination or separately. (c) XbRE-mutated ventx1.1 (−103) mXbRE and ventx1.1 (−103) injected with Xbra and Smad-1, in combination or separately, in separate groups. (d) XbRE and BRE were mutated by site-directed mutagenesis in different ventx1.1 (−180) promoter constructs. (e) XbRE-mutated ventx1.1 (−180) mXbRE injected either with or without Xbra and Smad-1, in combination or separately. (f) BRE-mutated ventx1.1 (−180) mBRE injected either with or without Xbra and Smad-1, in combination or separately. (g) The doubly mutated ventx1.1 (−180) m(BRE + XbRE) injected either with or without Xbra and Smad-1, in combination or separately. (h,i) Flag-Smad-1, Flag-Smad-1 (3SD), and Flag-Smad-1 (3SA) constructs were co-injected with Myc-Xbra and immunoprecipitation was performed with an anti-Flag antibody. (j) ventx1.1 (−180) injected either with or without Myc-Xbra, Flag-Smad-1, and Flag-Smad-1 (3SA) constructs in different groups, in combination or separately. All relative promoter activity data are shown as mean ± SE.
Figure 4. Xbra enhances Smad-1 binding affinity on its cis-acting element (BRE) within the ventx1.1 promoter. To perform ChIP-PCR assays, mRNA was co-injected either with or without Smad-1 at the 1-cell stage and harvested the embryos until stage 11 in 30% MMR. (a,b) The ChIP-PCR assay was performed with the anti-Myc antibody. (c,d) The ChIP-PCR assay performed with the anti-Flag antibody at the stage 11. All bindings were measured by PCR method using specific primers. ventx1.1 (−103 and −180) promoter DNA served as positive control. The ChIP-PCR band intensity was quantified using a densitometer.
Figure 5. The putative model of Xbra-Smad-1-mediated synergistic regulation of ventx1.1 transcriptional activation and neurogenesis inhibition in VMZ during early Xenopus development. The putative synergistic transcriptional activation of ventx1.1 (−180) promoter is regulated by the physical interaction of Smad-1 and Xbra in Xenopus embryos. BMP-4/Smad-1 and FGF/Xbra mediate a crosstalk in VMZ, inhibiting neurogenesis in a Ventx1.1-dependent manner during embryonic development of Xenopus.
Supplementary Figure 1. Physical interaction of Smad-1 and Xbra uniquely regulates ventx1.1 transcription activation, but not that of Xvent2, in the Xvent family. We co-injected the Xvent2 promoter region construct with Xbra and Smad-1, in combination or separately, at the 1-cell stage and dissected the animal cap of injected embryos at stage 8. Dissected animal caps were also harvested in L-15 culture media until stage 11, followed by RT-PCR and reporter gene assay of the samples. (a) Xvent2 (-1031) promoter region injected with Xbra and Smad-1, in combination or separately. (b) Embryos were co-injected with Xbra and Smad-1, separately or in combination to perform the RT-PCR at the stage 11. All relative promoter activity experiments were performed in triplicate. All relative promoter activity data are shown as mean ± SE.
Supplementary Figure 2a. Chromosomal localization of ventx gene synteny in human, dog, chicken, and Xenopus genomes. Ventx synteny is evolutionarily conserved in human (H. sapiens), dog (C. familiaris), chicken (G. Gallus), and frog (X. laevis) genomes while Ventx synteny has been lost in rat (R. norvegicus) and mouse (M. musculus) genomes.
Supplementary Figure 2b. Putative Smad-1 (BRE) and Xbra (XbRE) binding response elements might be evolutionarily conserved in the promoter region of ventx1.1s (Xenopus) and VENTX (human). Putative BRE and XbRE may be evolutionarily conserved within the proximal promoter region of ventx1.1s and ventx1.2 (Xvent1) in Xenopus as well as in VENTX for human. Violet color indicates complementary binding site for Xbra within the promoter of Ventx.
Ault,
A novel homeobox gene PV.1 mediates induction of ventral mesoderm in Xenopus embryos.
1996, Pubmed,
Xenbase
Ault,
A novel homeobox gene PV.1 mediates induction of ventral mesoderm in Xenopus embryos.
1996,
Pubmed
,
Xenbase Casey,
Bix4 is activated directly by VegT and mediates endoderm formation in Xenopus development.
1999,
Pubmed
,
Xenbase Casey,
The T-box transcription factor Brachyury regulates expression of eFGF through binding to a non-palindromic response element.
1998,
Pubmed
,
Xenbase Dale,
A gradient of BMP activity specifies dorsal-ventral fates in early Xenopus embryos.
1999,
Pubmed
,
Xenbase Delaune,
Neural induction in Xenopus requires early FGF signalling in addition to BMP inhibition.
2005,
Pubmed
,
Xenbase Faial,
Brachyury and SMAD signalling collaboratively orchestrate distinct mesoderm and endoderm gene regulatory networks in differentiating human embryonic stem cells.
2015,
Pubmed Gamse,
Vertebrate anteroposterior patterning: the Xenopus neurectoderm as a paradigm.
2000,
Pubmed
,
Xenbase Gentsch,
In vivo T-box transcription factor profiling reveals joint regulation of embryonic neuromesodermal bipotency.
2013,
Pubmed
,
Xenbase Haramoto,
Insulin-like factor regulates neural induction through an IGF1 receptor-independent mechanism.
2015,
Pubmed
,
Xenbase Hwang,
Antimorphic PV.1 causes secondary axis by inducing ectopic organizer.
2002,
Pubmed
,
Xenbase Hwang,
Active repression of organizer genes by C-terminal domain of PV.1.
2003,
Pubmed
,
Xenbase Kim,
Mesoderm induction by heterodimeric AP-1 (c-Jun and c-Fos) and its involvement in mesoderm formation through the embryonic fibroblast growth factor/Xbra autocatalytic loop during the early development of Xenopus embryos.
1998,
Pubmed
,
Xenbase Kusch,
Brachyury proteins regulate target genes through modular binding sites in a cooperative fashion.
2002,
Pubmed
,
Xenbase Lee,
The role of heterodimeric AP-1 protein comprised of JunD and c-Fos proteins in hematopoiesis.
2012,
Pubmed
,
Xenbase Lee,
Inhibition of FGF signaling converts dorsal mesoderm to ventral mesoderm in early Xenopus embryos.
2011,
Pubmed
,
Xenbase Lee,
Direct response elements of BMP within the PV.1A promoter are essential for its transcriptional regulation during early Xenopus development.
2011,
Pubmed
,
Xenbase Marcellini,
When Brachyury meets Smad1: the evolution of bilateral symmetry during gastrulation.
2006,
Pubmed Messenger,
Functional specificity of the Xenopus T-domain protein Brachyury is conferred by its ability to interact with Smad1.
2005,
Pubmed
,
Xenbase Mullen,
Master transcription factors determine cell-type-specific responses to TGF-β signaling.
2011,
Pubmed Pera,
Integration of IGF, FGF, and anti-BMP signals via Smad1 phosphorylation in neural induction.
2003,
Pubmed
,
Xenbase Rao,
Conversion of a mesodermalizing molecule, the Xenopus Brachyury gene, into a neuralizing factor.
1994,
Pubmed
,
Xenbase Rawat,
The vent-like homeobox gene VENTX promotes human myeloid differentiation and is highly expressed in acute myeloid leukemia.
2010,
Pubmed
,
Xenbase Rogers,
Neural induction and factors that stabilize a neural fate.
2009,
Pubmed
,
Xenbase Rogers,
Sox3 expression is maintained by FGF signaling and restricted to the neural plate by Vent proteins in the Xenopus embryo.
2008,
Pubmed
,
Xenbase Tada,
Bix1, a direct target of Xenopus T-box genes, causes formation of ventral mesoderm and endoderm.
1998,
Pubmed
,
Xenbase Taylor,
Tcf- and Vent-binding sites regulate neural-specific geminin expression in the gastrula embryo.
2006,
Pubmed
,
Xenbase Trompouki,
Lineage regulators direct BMP and Wnt pathways to cell-specific programs during differentiation and regeneration.
2011,
Pubmed Tsankov,
Transcription factor binding dynamics during human ES cell differentiation.
2015,
Pubmed Yang,
GATA2 Inhibition Sensitizes Acute Myeloid Leukemia Cells to Chemotherapy.
2017,
Pubmed Yoon,
PV.1 induced by FGF-Xbra functions as a repressor of neurogenesis in Xenopus embryos.
2014,
Pubmed
,
Xenbase Yoon,
PV.1 suppresses the expression of FoxD5b during neural induction in Xenopus embryos.
2014,
Pubmed
,
Xenbase Zhong,
The dynamics of vertebrate homeobox gene evolution: gain and loss of genes in mouse and human lineages.
2011,
Pubmed