Click here to close
Hello! We notice that you are using Internet Explorer, which is not supported by Xenbase and may cause the site to display incorrectly.
We suggest using a current version of Chrome,
FireFox, or Safari.
Gen Comp Endocrinol
2018 Jul 01;263:62-71. doi: 10.1016/j.ygcen.2018.04.008.
Show Gene links
Show Anatomy links
Developmental expression profiles and thyroidal regulation of cytokines during metamorphosis in the amphibian Xenopus laevis.
Gallant MJ, Hogan NS.
???displayArticle.abstract???
Early life-stages of amphibians rely on the innate immune system for defense against pathogens. While thyroid hormones (TH) are critical for metamorphosis and later development of the adaptive immune system, the role of TH in innate immune system development is less clear. An integral part of the innate immune response are pro-inflammatory cytokines - effector molecules that allow communication between components of the immune system. The objective of this study was to characterize the expression of key pro-inflammatory cytokines, tumor necrosis factor-α (TNFα), interleukin-1β (IL-1β) and interferon-γ (IFN-γ), throughout amphibian development and determine the impacts of thyroidal modulation on their expression. Xenopus laevis were sampled at various stages of development encompassing early embryogenesis to late prometamorphosis and cytokine expression was measured by real-time PCR. Expression of TNFα and IL-1β were transient over development, increasing with developmental stage, while IFN-γ remained relatively stable. Functionally athyroid, premetamorphic tadpoles were exposed to thyroxine (0.5 and 2 μg/L) or sodium perchlorate (125 and 500 μg/L) for seven days. Tadpoles demonstrated characteristic responses of advanced development with thyroxine exposure and delayed development (although to a lesser extent) and increased thyroid gland area and follicular cell height with sodium perchlorate exposure. Exposure to thyroxine for two days resulted in decreased expression of IL-1β in tadpole trunks. Sodium perchlorate had negligible effects on cytokine expression. Overall, these results demonstrate that cytokine transcript levels vary with stage of tadpole development but that their ontogenic regulation is not likely exclusively influenced by thyroid status. Understanding the direct and indirect effects of altered hormone status may provide insight into potential mechanisms of altered immune function during amphibian development.
Fig. 1. Developmental profiles of cytokines (A) TNFα, (B) IL-1β and (C) IFN-γ during X. laevis embryogenesis and larval development. Transcript levels were measured in whole embryos and larvae (trunks) from NF stage 9 to NF stage 56. Data were normalized to the geometric mean of EF1α and 18S rRNA and expressed relative to NF stage 9. Bars represent the mean ± SEM (n = 6–8). Different letters indicate statistically significant differences between stages (one-way ANOVA, Tukey’s post-hoc test, p < 0.05). The scales of the y-axis vary between graphs.
Fig. 2. Frequency distribution of developmental stage of X. laevis tadpoles following exposure to thyroxine for (A) 2 d and (B) 7 d. Data were analyzed using the Jonckheere-Terpstra test. Different letters indicate statistically significant differences between treatments and vertical lines represent the median value in each treatment.
Fig. 3. Effects of thyroxine (T4) exposure on the expression of cytokines in premetamorphic X. laevis. Tadpoles were exposed to low (0.5 μg/L) or high (2 μg/L) T4 and sampled at 2 d and 7 d of exposure. Effects of T4 on TNFα (A, D), IL-1β (B, E) IFN-γ (C, F) are presented. Data were normalized to the geometric mean of GAPDH and EF1α and expressed relative to the water control group. Bars represent the mean ± SEM (n = 6–8) and asterisk indicate statistically significant differences compared to control (p < 0.05, one-way ANOVA, Dunnett’s post-hoc test). Squares represent NF stage of development (Median ± IQR) for the sub-set of individuals specifically processed for gene expression analysis.
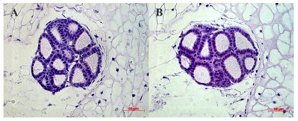
Fig. 4. Representative thyroid glands of X. laevis tadpoles exposed for 7â¯days to (A) solvent control and (B) high concentration (2â¯Î¼g/L) of thyroxine (T4) at 40à magnification.
Fig. 5. Frequency distribution of developmental stage of X. laevis tadpoles following exposure to sodium perchlorate for (A) 2 d and (B) 7 d. Data were analyzed using the Jonckheere-Terpstra test. Vertical lines represent the median value in each treatment.
Fig. 6. Effects of sodium perchlorate exposure on the expression of cytokines in premetamorphic X. laevis. Tadpoles were exposed to low (125 μg/L) or high (500 μg/L) sodium perchlorate and sampled at 2 and 7 d of exposure. Effects of sodium perchlorate on TNFα (A, D), IL-1β (B, E) IFN-γ (C, F) are presented. Data were normalized to the geometric mean of GAPDH and EF1α and expressed relative to control group. Bars represent the mean ± SEM (n = 6–8) and asterisk indicate statistically significant differences compared to control (p < 0.05, one-way ANOVA, Dunnett’s post-hoc test). Squares represent NF stage of development (median ± IQR) for the sub-set of individuals specifically processed for gene expression analysis.
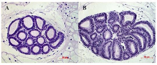
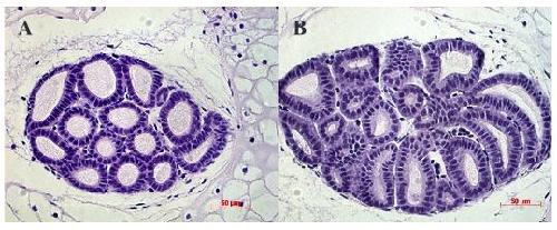
Fig. 7. Histopathology of thyroid glands of X. laevis tadpoles exposed for 7â¯days to (A) control and (B) high concentration (500â¯Î¼g/L) sodium perchlorate at 40à magnification.