Click here to close
Hello! We notice that you are using Internet Explorer, which is not supported by Xenbase and may cause the site to display incorrectly.
We suggest using a current version of Chrome,
FireFox, or Safari.
???displayArticle.abstract??? Limb regeneration is considered a form of limb redevelopment because of the molecular and morphological similarities. Forming a regeneration blastema is, in essence, creating a developing limb bud in an adult body. This reactivation of a developmental process in a mature body is worth studying. Xenopus laevis has a biphasic life cycle that involves distinct larval and adult stages. These distinct developmental stages are useful for investigating the reactivation of developmental processes in post-metamorphic frogs (froglets). In this study, we focused on the re-expression of a larval gene (krt62.L) during Xenopus froglet limb regeneration. Recently renamed krt62.L, this gene was known as the larval keratin (xlk) gene, which is specific to larval-tadpole stages. During limb regeneration in a froglet, krt62.L was re-expressed in a basal layer of blastemaepithelium, where adult-specific keratin (Krt12.6.S) expression was also observable. Nerves produce important regulatory factors for amphibian limb regeneration, and also play a role in blastema formation and maintenance. The effect of nerve function on krt62.L expression could be seen in the maintenance of krt62.L expression, but not in its induction. When an epidermis-stripped limb bud was grafted in a froglet blastema, the grafted limb bud could reach the digit-forming stage. This suggests that krt62.L-positive froglet blastemaepithelium is able to support the limb development process. These findings imply that the developmental process is locally reactivated in an postmetamorphic body during limb regeneration.
Fig. 1. krt62.L and fgf8 expression in froglet blastema. (AâC) Blastema in the early bud stage. (DâF) Blastema in the mid bud stage. (GâI) Blastema in the late bud stage. (JâL) Early spike stage. (MâO) Spike 2 months after amputation. (A, D, G, J, M) Alcian blue, eosin and Alizarin red staining. (B, E, H, K, N) fgf8 expression was visualized by in situ hybridization. (C, F, I, L, O) krt62.L expression was visualized by in situ hybridization. Scale bar in A and B1 = 1000 µm. Scale bar in B2 = 100 µm. Scale bar in E2 = 200 µm. Scale bar in H1 = 400 µm. A, D, G, J and M are the same magnification. B1, C1, E1, F1 and L1 are the same magnification. B2, C2, H2, I2, L2 and O2 are the same magnification. E2, F2 and N are the same magnification. H1, I1, K and O1 are the same magnification.
Fig. 2. Fgf8, krt62.L and Krt12.6.S expression in the froglet blastema. The middle bud blastema was sectioned. In situ hybridization (for Fgf8 or krt62.L) and immunofluorescence (for Krt12.6.S) were performed on an identical section. (A) Histological observation. BâG are the higher magnification views of the arrowed region in A. (BâD) krt62.L and Krt12.6.S expression. D is the merged image with the high magnification of B and C. Krt12.6.S color was changed using Photoshop for easier recognition. (EâG) fgf8 and Krt12.6.S expression. G is the merged image with the high magnification of E and F. Krt12.6.S color was changed by Photoshop for easier recognition. The dotted lines in D and G indicate the border of the blastemaepithelium. Scale bars in A, B and D are 500, 200 and 100 µm, respectively.
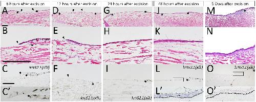
Fig. 3. Initial expression of krt62.L in wounded skin. Upper panels show histology, lower magnification. The middle panels show higher magnifications of the upper panels. The bottom row shows krt62.L expression. Câ², Lâ², and Oâ² show high magnification views of the boxed region in C, L and O, respectively. The dotted line indicates the border of the epithelium. krt62.L expression could be detected in the wound epithelium 48 h after wounding. Asterisks indicate the wound border determined by the thick dermal collagen layer. Arrowheads indicate the leading edge of migrating epithelium. Scale bars = 500 µm.
Fig. 4. Denervation effect on krt62.L expression. (A, C, E, G) Histology. (B, D, F, H) krt62.L expression. (A, B, E, F) Sham operated limbs (control). (C, D, G, H) Denervation procedure was performed 11 days after limb amputation. (C, D) The blastema was grown for 3 days after denervation. krt62.L expression domain expanded from the basal to the surface layer. (G, H) The blastema was grown for 7 days after denervation. krt62.L expression had almost vanished from the blastemaepithelium. Scale bar in A= 500 µm. Scale bar in B= 300 µm. Scale bar in Bâ²= 100 µm.
Fig. 5. krt62.L and fgf8 expression in denervated or inhibitor treated froglet blastema epithelium. krt62.L expression level was measured by quantitative RT-PCR. SU5402, an Fgf-signaling inhibitor, did not change the krt62.L expression level. The Fgf8 expression level decreased immediately after denervation and SU5402 treatment decreased Fgf8 expression level as effectively.
Fig. 6. Functionality of froglet blastemaepithelium for supporting limb development. (A) Schematic diagram of the experimental design. A developing limb bud was isolated from a st. 52 tadpole. Next, the epidermis was removed. The epidermis-stripped mesenchyme was grafted into a froglet blastema in the middle bud stage. To distinguish between host and graft cells, a transgenic Xenopus (H2B-GFP) was used as a graft. (B) Development of the grafted tissues in the regenerating froglet limb bud. The GFP positive graft was gradually patterned. (C) Phenotype of the grafted limb 1 month after surgery. (D) Skeletal pattern. (E) The section of the blastema containing the graft. The blastema was fixed and sectioned 5 days after the surgery. F and G are the higher magnifications of the adjacent section of the boxed region in E. (F) krt62.L expression was visualized by in situ hybridization. (G) The section shown in F was processed for immunofluorescence using anti-GFP antibody. GFP positive cells were derived from a graft. Scale bar in C and D = 1 mm. Scale bar in E = 500 µm. Scale bar in F= 100 µm.