XB-ART-54095
Nucleic Acids Res
2017 Nov 16;4520:11766-11781. doi: 10.1093/nar/gkx830.
Show Gene links
Show Anatomy links
Dna2 initiates resection at clean DNA double-strand breaks.
Paudyal SC, Li S, Yan H, Hunter T, You Z.
???displayArticle.abstract???
Nucleolytic resection of DNA double-strand breaks (DSBs) is essential for both checkpoint activation and homology-mediated repair; however, the precise mechanism of resection, especially the initiation step, remains incompletely understood. Resection of blocked ends with protein or chemical adducts is believed to be initiated by the MRN complex in conjunction with CtIP through internal cleavage of the 5' strand DNA. However, it is not clear whether resection of clean DSBs with free ends is also initiated by the same mechanism. Using the Xenopus nuclear extract system, here we show that the Dna2 nuclease directly initiates the resection of clean DSBs by cleaving the 5' strand DNA ∼10-20 nucleotides away from the ends. In the absence of Dna2, MRN together with CtIP mediate an alternative resection initiation pathway where the nuclease activity of MRN apparently directly cleaves the 5' strand DNA at more distal sites. MRN also facilitates resection initiation by promoting the recruitment of Dna2 and CtIP to the DNA substrate. The ssDNA-binding protein RPA promotes both Dna2- and CtIP-MRN-dependent resection initiation, but a RPA mutant can distinguish between these pathways. Our results strongly suggest that resection of blocked and clean DSBs is initiated via distinct mechanisms.
???displayArticle.pubmedLink??? 28981724
???displayArticle.pmcLink??? PMC5714177
???displayArticle.link??? Nucleic Acids Res
???displayArticle.grants??? [+]
R01 GM098535 NIGMS NIH HHS
Species referenced: Xenopus laevis
Genes referenced: blm dna2 exo1 mre11 nbn nts pcna rbbp8 recql4 rpa1 wrn
???attribute.lit??? ???displayArticles.show???
|
|
Figure 1. Dna2 initiates the resection of clean DSB ends via cleavage of 5′ strand DNA. (A) A one-end 5′ 32P-labeled 2 kb DNA fragment (red star, 32P; purple circle, biotin) was incubated in NPE at room temperature. Reactions were terminated at the indicated times and resection products were resolved on a 16% polyacrylamide-urea gel. The top band represents the original DNA substrate that was ‘trapped’ in the loading wells of the gel. (B) Effects of Dna2 depletion on the resection of the radiolabeled DNA substrate depicted in (A) in the extract. (C) Purified recombinant Flag-Dna2(WT), Flag-Dna2(D278A) and Flag-Dna2(K655E) expressed in insect cells. (D) Comparison of the flap endonuclease activity of Flag-Dna2(WT), Flag-Dna2(K655E) and Flag-Dna2(D278A) towards a dsDNA substrate with a 5′ ssDNA flap in vitro. (E) Rescue of short 5′ endocleavage products in the Dna2-depleted extract by recombinant Flag-Dna2(WT) protein. (F) Comparison of the ability of recombinant Flag-Dna2(WT), Flag-Dna2(K655E) and Flag-Dna2(D278A) in restoring resection initiation in the Dna2-depleted extract. |
|
|
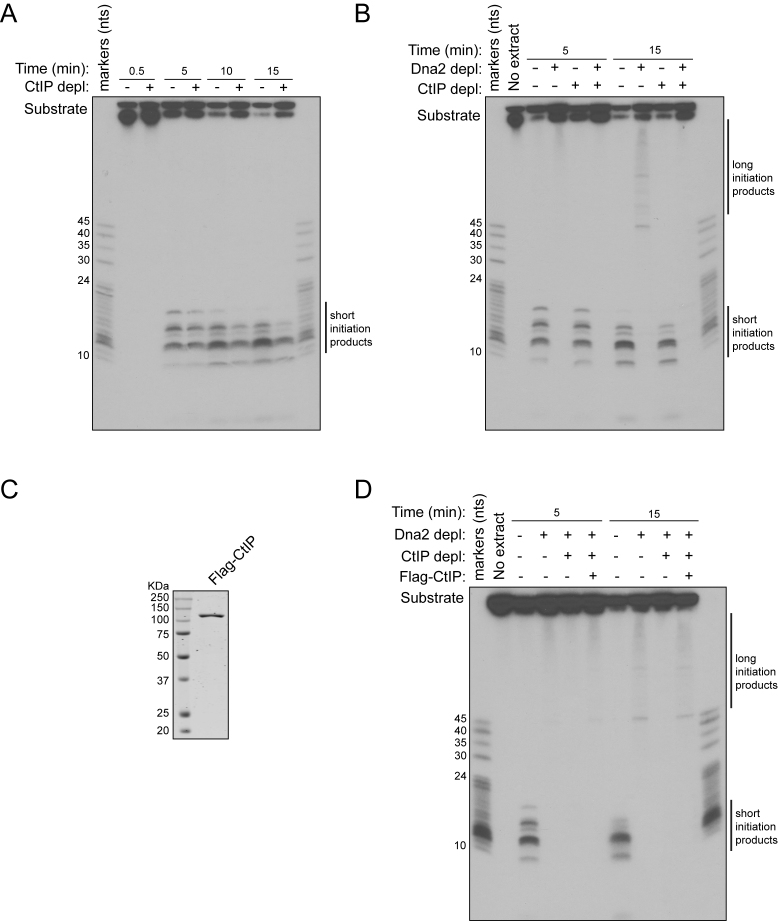
Figure 2. In the absence of Dna2, resection of clean DSBs is initiated through cleavage of 5′ strand DNA at more distal sites in a CtIP-dependent manner. (A) Effects of CtIP depletion on the initiation of resection of a 5′ radiolabeled clean DSB. (B) Effects of CtIP depletion on the generation of long endocleavage products in the Dna2-depleted extract. (C) Purified recombinant Flag-CtIP expressed in insect cells. (D) Rescue of long endocleavage products in the extract depleted of both Dna2 and CtIP by recombinant Flag-CtIP. |
|
|
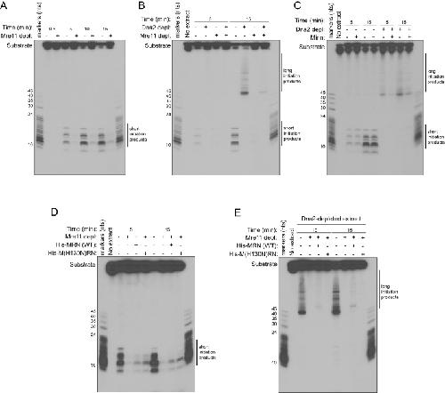
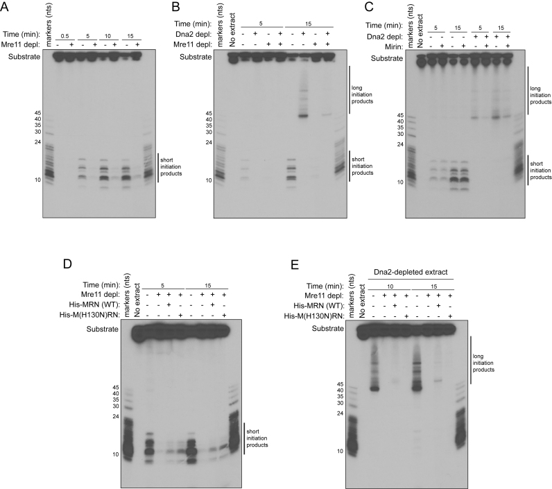
Figure 3. The nuclease activity of MRN is important for the CtIP-dependent pathway, but apparently not for the Dna2-dependent pathway. (A) Effects of Mre11 depletion on the generation of short resection initiation products in the extract. (B) Effects of Mre11 depletion on the generation of long resection initiation products in the Dna2-depleted extract. (C) Effects of Mirin on the generation of short and long resection initiation products in the extract. (D) Comparison of the ability of recombinant MRN(WT) and M(H130N)RN to rescue short resection initiation products in the Mre11-depleted extract. (E) Comparison of the ability of recombinant MRN(WT) and M(H130N)RN to rescue long resection initiation products in the extract depleted of both Dna2 and Mre11. |
|
|
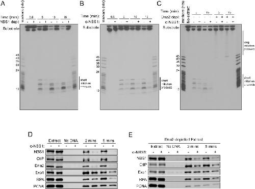
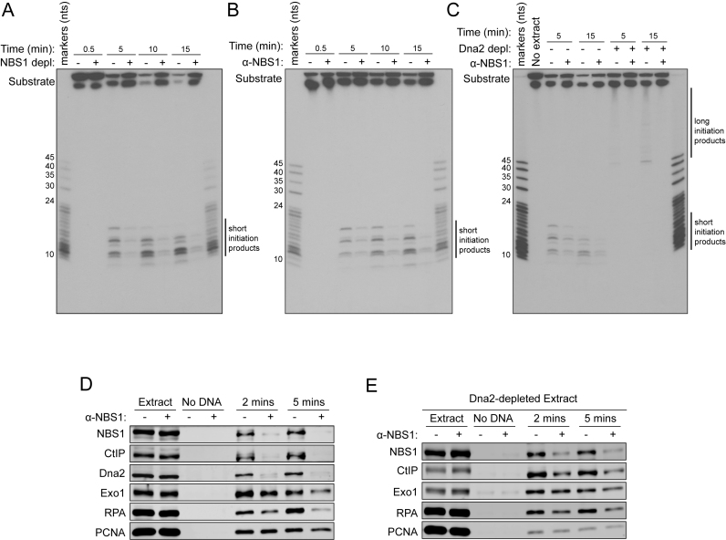
Figure 4. MRN promotes the recruitment of Dna2 and CtIP to DNA substrate to initiate resection. (A) Effects of NBS1 depletion on the generation of short resection initiation products in the extract. (B) Effects of NBS1 inhibitory antibodies on the generation of short resection initiation products in the extract. (C) Effects of NBS1 inhibitory antibodies on the generation of long resection initiation products in the Dna2-depleted extract. (D) Effects of NBS1 inhibitory antibodies on the binding of NBS1, CtIP, Dna2, Exo1, RPA and PCNA to the DNA substrate in the extract. (E) Effects of NBS1 inhibitory antibodies on the binding of NBS1, CtIP, Exo1, RPA and PCNA to the DNA substrate in the Dna2-depleted extract. |
|
|
Figure 5. RPA plays a key role in resection initiation by both the Dna2- and CtIP-dependent pathways. (A) Effects of RPA depletion on the generation of short resection initiation products in the extract. (B) Effects of RPA depletion on the generation of long resection initiation products in the Dna2-depleted extract. (C) Purified recombinant Flag-Dna2(WT) and Flag-Dna2(27–1053) expressed in insect cells. (D) Comparison of the flap endonuclease activity of Flag-Dna2(WT) and Flag-Dna2(27–1053) in vitro. (E) Co-immunoprecipitation of RPA with Flag-Dna2(WT) and Flag-Dna2(27–1053) added to the extract. (F) Comparison of the ability of Flag-Dna2(WT) and Flag-Dna2(27–1053) to rescue short resection initiation products in the Dna2-depleted extract. (G) Effects of RPA depletion on the binding of NBS1, CtIP, Dna2, Exo1 and PCNA to the DNA substrate in the extract. (H) Effects of RPA depletion on the binding of NBS1, CtIP, Exo1 and PCNA to the DNA substrate in the Dna2-depleted extract. (I) Comparison of the ability of RPA(WT) and RPA(1NΔ) to rescue short resection initiation products in the RPA-depleted extract. (J) Comparison of the ability of RPA(WT) and RPA(1NΔ) to rescue long resection initiation products in the extract depleted of both Dna2 and RPA. |
|
|
Figure 6. A model for resection initiation at clean or blocked DSBs. DNA end resection at a blocked DSB with protein or chemical adducts (denoted by pink rectangle) is initiated through endocleavage by the MRN nuclease in conjunction with CtIP, with the nuclease activity of MRN being responsible for the cleavage. By contrast, resection initiation at a clean DSB with free DNA ends is initiated by Dna2, which cleaves the 5â² strand DNA â¼10â20 nts away from the end. The MRN complex promotes this step by facilitating the recruitment of Dna2 to the DNA end. In the absence of Dna2, CtIPâMRN mediate an alternative pathway of resection initiation, with the endonuclease activity of MRN cleaving the 5â² strand DNA â¥45 nts away from the end. Both Dna2 and CtIPâMRN pathways of resection initiation apparently require DNA helicases such as WRN, BLM, RECQL4 and likely Dna2, which unwind DNA ends to generate ssDNA for cleavages. The ssDNA-binding protein RPA binds the resulting ssDNA and promotes resection initiation by both pathways. Dna2-mediated end cleavage requires the direct interaction between Dna2 and the N-terminus of RPA1 in the RPA complex, but this domain of RPA1 is dispensable for the CtIPâMRN pathway of resection initiation. |
References [+] :
Abraham,
Cell cycle checkpoint signaling through the ATM and ATR kinases.
2001, Pubmed
Abraham, Cell cycle checkpoint signaling through the ATM and ATR kinases. 2001, Pubmed
Anand, Phosphorylated CtIP Functions as a Co-factor of the MRE11-RAD50-NBS1 Endonuclease in DNA End Resection. 2016, Pubmed
Aparicio, MRN, CtIP, and BRCA1 mediate repair of topoisomerase II-DNA adducts. 2016, Pubmed , Xenbase
Balakrishnan, Dna2 exhibits a unique strand end-dependent helicase function. 2010, Pubmed
Bernstein, At loose ends: resecting a double-strand break. 2009, Pubmed
Branzei, Regulation of DNA repair throughout the cell cycle. 2008, Pubmed
Broderick, EXD2 promotes homologous recombination by facilitating DNA end resection. 2016, Pubmed
Budd, A yeast gene required for DNA replication encodes a protein with homology to DNA helicases. 1995, Pubmed
Cannavo, Sae2 promotes dsDNA endonuclease activity within Mre11-Rad50-Xrs2 to resect DNA breaks. 2014, Pubmed
Cannavo, Relationship of DNA degradation by Saccharomyces cerevisiae exonuclease 1 and its stimulation by RPA and Mre11-Rad50-Xrs2 to DNA end resection. 2013, Pubmed
Cejka, DNA End Resection: Nucleases Team Up with the Right Partners to Initiate Homologous Recombination. 2015, Pubmed
Cejka, DNA end resection by Dna2-Sgs1-RPA and its stimulation by Top3-Rmi1 and Mre11-Rad50-Xrs2. 2010, Pubmed
Chen, PCNA promotes processive DNA end resection by Exo1. 2013, Pubmed , Xenbase
Chen, RPA coordinates DNA end resection and prevents formation of DNA hairpins. 2013, Pubmed
Chen, 14-3-3 proteins restrain the Exo1 nuclease to prevent overresection. 2015, Pubmed , Xenbase
Cheruiyot, Poly(ADP-ribose)-binding promotes Exo1 damage recruitment and suppresses its nuclease activities. 2015, Pubmed , Xenbase
Chin, C. elegans mre-11 is required for meiotic recombination and DNA repair but is dispensable for the meiotic G(2) DNA damage checkpoint. 2001, Pubmed
Ciccia, The DNA damage response: making it safe to play with knives. 2010, Pubmed
Cimprich, ATR: an essential regulator of genome integrity. 2008, Pubmed
Clerici, Mec1/ATR regulates the generation of single-stranded DNA that attenuates Tel1/ATM signaling at DNA ends. 2014, Pubmed
Clerici, The Saccharomyces cerevisiae Sae2 protein promotes resection and bridging of double strand break ends. 2005, Pubmed
Daley, Multifaceted role of the Topo IIIα-RMI1-RMI2 complex and DNA2 in the BLM-dependent pathway of DNA break end resection. 2014, Pubmed
Daley, Biochemical mechanism of DSB end resection and its regulation. 2015, Pubmed
Deng, Multiple endonucleases function to repair covalent topoisomerase I complexes in Saccharomyces cerevisiae. 2005, Pubmed
Deng, RPA antagonizes microhomology-mediated repair of DNA double-strand breaks. 2014, Pubmed
Deshpande, Nbs1 Converts the Human Mre11/Rad50 Nuclease Complex into an Endo/Exonuclease Machine Specific for Protein-DNA Adducts. 2016, Pubmed
Dupré, A forward chemical genetic screen reveals an inhibitor of the Mre11-Rad50-Nbs1 complex. 2008, Pubmed , Xenbase
Duxin, Okazaki fragment processing-independent role for human Dna2 enzyme during DNA replication. 2012, Pubmed
Garcia, Bidirectional resection of DNA double-strand breaks by Mre11 and Exo1. 2011, Pubmed
Garner, Studying the DNA damage response using in vitro model systems. 2009, Pubmed , Xenbase
Gravel, DNA helicases Sgs1 and BLM promote DNA double-strand break resection. 2008, Pubmed
Hartsuiker, Distinct requirements for the Rad32(Mre11) nuclease and Ctp1(CtIP) in the removal of covalently bound topoisomerase I and II from DNA. 2009, Pubmed
Hartsuiker, Ctp1CtIP and Rad32Mre11 nuclease activity are required for Rec12Spo11 removal, but Rec12Spo11 removal is dispensable for other MRN-dependent meiotic functions. 2009, Pubmed
Hoa, Mre11 Is Essential for the Removal of Lethal Topoisomerase 2 Covalent Cleavage Complexes. 2016, Pubmed
Huertas, DNA resection in eukaryotes: deciding how to fix the break. 2010, Pubmed
Imamura, The human Bloom syndrome gene suppresses the DNA replication and repair defects of yeast dna2 mutants. 2003, Pubmed
Ivanov, Mutations in XRS2 and RAD50 delay but do not prevent mating-type switching in Saccharomyces cerevisiae. 1994, Pubmed
Jackson, The DNA-damage response in human biology and disease. 2009, Pubmed
Kass, Collaboration and competition between DNA double-strand break repair pathways. 2010, Pubmed
Kim, A guide to genome engineering with programmable nucleases. 2014, Pubmed
Kim, Isolation of human Dna2 endonuclease and characterization of its enzymatic properties. 2006, Pubmed
Lam, Mechanism and regulation of meiotic recombination initiation. 2014, Pubmed
Langerak, Release of Ku and MRN from DNA ends by Mre11 nuclease activity and Ctp1 is required for homologous recombination repair of double-strand breaks. 2011, Pubmed
Lee, The RAD2 domain of human exonuclease 1 exhibits 5' to 3' exonuclease and flap structure-specific endonuclease activities. 1999, Pubmed
Lengsfeld, Sae2 is an endonuclease that processes hairpin DNA cooperatively with the Mre11/Rad50/Xrs2 complex. 2007, Pubmed
Levikova, Nuclease activity of Saccharomyces cerevisiae Dna2 inhibits its potent DNA helicase activity. 2013, Pubmed
Levikova, The motor activity of DNA2 functions as an ssDNA translocase to promote DNA end resection. 2017, Pubmed
Liao, Analysis of MRE11's function in the 5'-->3' processing of DNA double-strand breaks. 2012, Pubmed , Xenbase
Liao, The structure of ends determines the pathway choice and Mre11 nuclease dependency of DNA double-strand break repair. 2016, Pubmed , Xenbase
Liao, Identification of the Xenopus DNA2 protein as a major nuclease for the 5'->3' strand-specific processing of DNA ends. 2008, Pubmed , Xenbase
Limbo, Ctp1 is a cell-cycle-regulated protein that functions with Mre11 complex to control double-strand break repair by homologous recombination. 2007, Pubmed
Lin, Mammalian DNA2 helicase/nuclease cleaves G-quadruplex DNA and is required for telomere integrity. 2013, Pubmed
Liu, Identification of the Xenopus laevis homolog of Saccharomyces cerevisiae DNA2 and its role in DNA replication. 2000, Pubmed , Xenbase
Llorente, The Mre11 nuclease is not required for 5' to 3' resection at multiple HO-induced double-strand breaks. 2004, Pubmed
Lu, RECQL4 Promotes DNA End Resection in Repair of DNA Double-Strand Breaks. 2016, Pubmed
Lupardus, Analyzing the ATR-mediated checkpoint using Xenopus egg extracts. 2007, Pubmed , Xenbase
Makharashvili, Catalytic and noncatalytic roles of the CtIP endonuclease in double-strand break end resection. 2014, Pubmed
Masuda-Sasa, Biochemical analysis of human Dna2. 2006, Pubmed
Mehta, Sources of DNA double-strand breaks and models of recombinational DNA repair. 2014, Pubmed
Miller, A novel role of the Dna2 translocase function in DNA break resection. 2017, Pubmed
Mimitou, DNA end resection: many nucleases make light work. 2009, Pubmed
Mimitou, Sae2, Exo1 and Sgs1 collaborate in DNA double-strand break processing. 2008, Pubmed
Moreau, The nuclease activity of Mre11 is required for meiosis but not for mating type switching, end joining, or telomere maintenance. 1999, Pubmed
Murphy, Expression and purification of recombinant proteins using the baculovirus system. 2004, Pubmed
Nakamura, Collaborative action of Brca1 and CtIP in elimination of covalent modifications from double-strand breaks to facilitate subsequent break repair. 2010, Pubmed
Neale, Endonucleolytic processing of covalent protein-linked DNA double-strand breaks. 2005, Pubmed
Ngo, The 9-1-1 checkpoint clamp stimulates DNA resection by Dna2-Sgs1 and Exo1. 2014, Pubmed
Ngo, The 9-1-1 checkpoint clamp coordinates resection at DNA double strand breaks. 2015, Pubmed
Nicolette, Mre11-Rad50-Xrs2 and Sae2 promote 5' strand resection of DNA double-strand breaks. 2010, Pubmed
Nimonkar, BLM-DNA2-RPA-MRN and EXO1-BLM-RPA-MRN constitute two DNA end resection machineries for human DNA break repair. 2011, Pubmed
Nimonkar, Human exonuclease 1 and BLM helicase interact to resect DNA and initiate DNA repair. 2008, Pubmed
Niu, Mechanism of the ATP-dependent DNA end-resection machinery from Saccharomyces cerevisiae. 2010, Pubmed
Orthwein, A mechanism for the suppression of homologous recombination in G1 cells. 2015, Pubmed
Paudyal, Sharpening the ends for repair: mechanisms and regulation of DNA resection. 2016, Pubmed
Paull, Mechanisms of ATM Activation. 2015, Pubmed
Paull, Making the best of the loose ends: Mre11/Rad50 complexes and Sae2 promote DNA double-strand break resection. 2010, Pubmed
Penkner, A conserved function for a Caenorhabditis elegans Com1/Sae2/CtIP protein homolog in meiotic recombination. 2007, Pubmed
Peterson, Activation of DSB processing requires phosphorylation of CtIP by ATR. 2013, Pubmed , Xenbase
Peterson, Cdk1 uncouples CtIP-dependent resection and Rad51 filament formation during M-phase double-strand break repair. 2011, Pubmed , Xenbase
Pinto, Human DNA2 possesses a cryptic DNA unwinding activity that functionally integrates with BLM or WRN helicases. 2016, Pubmed
Polo, Dynamics of DNA damage response proteins at DNA breaks: a focus on protein modifications. 2011, Pubmed
Rothenberg, Ctp1 and the MRN-complex are required for endonucleolytic Rec12 removal with release of a single class of oligonucleotides in fission yeast. 2009, Pubmed
Rothkamm, Pathways of DNA double-strand break repair during the mammalian cell cycle. 2003, Pubmed
Ryu, The Caenorhabditis elegans WRN helicase promotes double-strand DNA break repair by mediating end resection and checkpoint activation. 2017, Pubmed
Sartori, Human CtIP promotes DNA end resection. 2007, Pubmed
Schatz, V(D)J recombination: mechanisms of initiation. 2011, Pubmed
Shibata, DNA double-strand break repair pathway choice is directed by distinct MRE11 nuclease activities. 2014, Pubmed
Shiloh, The ATM protein kinase: regulating the cellular response to genotoxic stress, and more. 2013, Pubmed
Shiloh, The ATM protein kinase: regulating the cellular response to genotoxic stress, and more. 2013, Pubmed
Shim, Saccharomyces cerevisiae Mre11/Rad50/Xrs2 and Ku proteins regulate association of Exo1 and Dna2 with DNA breaks. 2010, Pubmed
Shiotani, Single-stranded DNA orchestrates an ATM-to-ATR switch at DNA breaks. 2009, Pubmed
Srinivasan, Study of cell cycle checkpoints using Xenopus cell-free extracts. 2011, Pubmed , Xenbase
Sturzenegger, DNA2 cooperates with the WRN and BLM RecQ helicases to mediate long-range DNA end resection in human cells. 2014, Pubmed
Sung, Mechanism of homologous recombination: mediators and helicases take on regulatory functions. 2006, Pubmed
Symington, Double-strand break end resection and repair pathway choice. 2011, Pubmed
Symington, Mechanism and regulation of DNA end resection in eukaryotes. 2016, Pubmed
Takeda, Ctp1/CtIP and the MRN complex collaborate in the initial steps of homologous recombination. 2007, Pubmed
Tammaro, DNA double-strand breaks with 5' adducts are efficiently channeled to the DNA2-mediated resection pathway. 2016, Pubmed , Xenbase
Tammaro, The N-terminus of RPA large subunit and its spatial position are important for the 5'->3' resection of DNA double-strand breaks. 2015, Pubmed , Xenbase
Toczylowski, Mechanistic analysis of a DNA end processing pathway mediated by the Xenopus Werner syndrome protein. 2006, Pubmed , Xenbase
Walter, Regulated chromosomal DNA replication in the absence of a nucleus. 1998, Pubmed , Xenbase
Wang, CtIP maintains stability at common fragile sites and inverted repeats by end resection-independent endonuclease activity. 2014, Pubmed
Yan, Replication protein A promotes 5'-->3' end processing during homology-dependent DNA double-strand break repair. 2011, Pubmed , Xenbase
You, ATM activation and its recruitment to damaged DNA require binding to the C terminus of Nbs1. 2005, Pubmed , Xenbase
You, Rapid activation of ATM on DNA flanking double-strand breaks. 2007, Pubmed , Xenbase
You, DNA damage and decisions: CtIP coordinates DNA repair and cell cycle checkpoints. 2010, Pubmed
You, CtIP links DNA double-strand break sensing to resection. 2009, Pubmed , Xenbase
Zeman, Causes and consequences of replication stress. 2014, Pubmed
Zhang, Cdc24 Is Essential for Long-range End Resection in the Repair of Double-stranded DNA Breaks. 2016, Pubmed
Zhou, Dna2 nuclease-helicase structure, mechanism and regulation by Rpa. 2015, Pubmed
Zhu, Sgs1 helicase and two nucleases Dna2 and Exo1 resect DNA double-strand break ends. 2008, Pubmed
Zou, Sensing DNA damage through ATRIP recognition of RPA-ssDNA complexes. 2003, Pubmed
