Click here to close
Hello! We notice that you are using Internet Explorer, which is not supported by Xenbase and may cause the site to display incorrectly.
We suggest using a current version of Chrome,
FireFox, or Safari.
Biochem Biophys Rep
2015 Oct 03;5:439-447. doi: 10.1016/j.bbrep.2015.09.022.
Show Gene links
Show Anatomy links
Complicated behavior of G-quadruplexes and evaluating G-quadruplexes' ligands in various systems mimicking cellular circumstance.
Wang SK, Su HF, Gu YC, Lin SL, Tan JH, Huang ZS, Ou TM.
???displayArticle.abstract???
Environments surrounding G-rich sequences remarkably affect the conformations of these structures. A proper evaluation system mimicking the crowded environment in a cell with macromolecules should be developed to perform structural and functional studies on G-quadruplexes. In this study, the topology and stability of a G-quadruplex formed by human telomeric repeat sequences were investigated in a macromolecule-crowded environment created by polyethylene glycol 200 (PEG200), tumor cell extract, and Xenopus laevis egg extract. The interactions between small molecules and telomeric G-quadruplexes were also evaluated in the different systems. The results suggested that the actual behavior of G-quadruplex structures in cells extract is quite different from that in the PEG crowding system, and proteins or other factors in extracts might play a very important role in G-quadruplex structures.
Fig. 1. Structures of the G-quadruplex ligands used in this paper, the cationic porphyrin TMPyP4, the quindoline derivatives SYUIQ-05 and SYUIQ-FM05, and the isaindigotone derivative ISD-05.
Fig. 4. The FRET melting curves of HTG-21 G-quadruplex in ionic buffer (A), dialysis buffer (B), cell-free system (C), control system (D), and Xenopus laevis egg extracts (E), with or without 0.2 μM or 0.4 μM TMPyP4, SYUIQ-05, SYUIQ-FM05, and ISD-05.
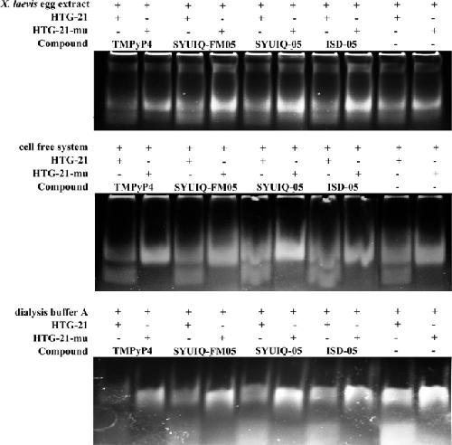
Fig. 6. Effects of different compounds on the polymerase stop assay with HTG21 and its corresponding mutant sequence HTG21-mu in the cell free system, Xenopus laevis egg extract, and dialysis buffer mentioned before. All of the compounds were at 2.5 μM. Data represented means of six independent experiments with standard error.
Fig. 2. (A), CD spectra of 5 μM HTG21 oligomer in non-ionic buffer (10 mM Tris–HCl buffer, pH 7.4), ionic buffer [10 mM Tris–HCl buffer (pH 7.4) containing 110 mM KCl], dialysis buffer, control system (dialysis buffer with 40% PEG), Xenopus laevis egg extract, and cell-free system (dialysis buffer with cell extract). (B), The FRET melting curves of HTG21G-quadruplex in ionic buffer, dialysis buffer, cell-free system, X. laevis egg extract, and control system.
Fig. 3. Effects of different systems on the polymerase stop assay with HTG21 and its corresponding mutant sequence HTG21-mu in a normal PCR reaction buffer, the cell free system, Xenopus laevis egg extract, dialysis buffer, dialysis buffer A, and control system mentioned before. Data represented means of six independent experiments with standard error.
Fig. 5. Fitted curves obtained by MST measurements of 5’-FAM-labeled HTG-21 with ligands diluted 1:2 from 20 μM for 14 times.
Fig. 7. Gel electrophoresis of HTG21 in ionic buffer [10 mM Tris–HCl buffer (pH 7.4) containing 110 mM KCl], cell free system, Xenopus laevis egg extract, and control system (the dialysis buffer containing 40% PEG).
Ambrus,
Human telomeric sequence forms a hybrid-type intramolecular G-quadruplex structure with mixed parallel/antiparallel strands in potassium solution.
2006, Pubmed
Ambrus,
Human telomeric sequence forms a hybrid-type intramolecular G-quadruplex structure with mixed parallel/antiparallel strands in potassium solution.
2006,
Pubmed Balasubramanian,
G-quadruplex nucleic acids as therapeutic targets.
2009,
Pubmed Balasubramanian,
Targeting G-quadruplexes in gene promoters: a novel anticancer strategy?
2011,
Pubmed Blackburn,
Switching and signaling at the telomere.
2001,
Pubmed Chen,
Reduced or diminished stabilization of the telomere G-quadruplex and inhibition of telomerase by small chemical ligands under molecular crowding condition.
2009,
Pubmed De Cian,
Fluorescence-based melting assays for studying quadruplex ligands.
2007,
Pubmed Dexheimer,
NM23-H2 may play an indirect role in transcriptional activation of c-myc gene expression but does not cleave the nuclease hypersensitive element III(1).
2009,
Pubmed Fry,
Tetraplex DNA and its interacting proteins.
2007,
Pubmed Han,
A DNA polymerase stop assay for G-quadruplex-interactive compounds.
1999,
Pubmed Hänsel,
The parallel G-quadruplex structure of vertebrate telomeric repeat sequences is not the preferred folding topology under physiological conditions.
2011,
Pubmed
,
Xenbase Heddi,
Structure of human telomeric DNA in crowded solution.
2011,
Pubmed Izbicka,
Effects of cationic porphyrins as G-quadruplex interactive agents in human tumor cells.
1999,
Pubmed Kan,
Molecular crowding induces telomere G-quadruplex formation under salt-deficient conditions and enhances its competition with duplex formation.
2006,
Pubmed Kumar,
The effect of osmolytes and small molecule on Quadruplex-WC duplex equilibrium: a fluorescence resonance energy transfer study.
2005,
Pubmed Kumari,
An RNA G-quadruplex in the 5' UTR of the NRAS proto-oncogene modulates translation.
2007,
Pubmed Kypr,
Circular dichroism and conformational polymorphism of DNA.
2009,
Pubmed Leoni,
Induction of an apoptotic program in cell-free extracts by 2-chloro-2'-deoxyadenosine 5'-triphosphate and cytochrome c.
1998,
Pubmed Liu,
Induction of apoptotic program in cell-free extracts: requirement for dATP and cytochrome c.
1996,
Pubmed Lu,
5-N-methylated quindoline derivatives as telomeric g-quadruplex stabilizing ligands: effects of 5-N positive charge on quadruplex binding affinity and cell proliferation.
2008,
Pubmed Luu,
Structure of the human telomere in K+ solution: an intramolecular (3 + 1) G-quadruplex scaffold.
2006,
Pubmed Miller,
Hydration is a major determinant of the G-quadruplex stability and conformation of the human telomere 3' sequence of d(AG3(TTAG3)3).
2010,
Pubmed Miyoshi,
Hydration regulates thermodynamics of G-quadruplex formation under molecular crowding conditions.
2006,
Pubmed Miyoshi,
Duplex dissociation of telomere DNAs induced by molecular crowding.
2004,
Pubmed Ou,
Stabilization of G-quadruplex DNA and down-regulation of oncogene c-myc by quindoline derivatives.
2007,
Pubmed Reed,
Stabilization of G-quadruplex DNA and inhibition of telomerase activity by square-planar nickel(II) complexes.
2006,
Pubmed Tan,
Isaindigotone derivatives: a new class of highly selective ligands for telomeric G-quadruplex DNA.
2009,
Pubmed Thakur,
Metastases suppressor NM23-H2 interaction with G-quadruplex DNA within c-MYC promoter nuclease hypersensitive element induces c-MYC expression.
2009,
Pubmed Wienken,
Thermophoretic melting curves quantify the conformation and stability of RNA and DNA.
2011,
Pubmed Xue,
Human telomeric DNA forms parallel-stranded intramolecular G-quadruplex in K+ solution under molecular crowding condition.
2007,
Pubmed Zheng,
Molecular crowding creates an essential environment for the formation of stable G-quadruplexes in long double-stranded DNA.
2010,
Pubmed Zhou,
Synthesis and evaluation of quindoline derivatives as G-quadruplex inducing and stabilizing ligands and potential inhibitors of telomerase.
2005,
Pubmed