Click here to close Hello! We notice that you are using Internet Explorer, which is not supported by Xenbase and may cause the site to display incorrectly. We suggest using a current version of Chrome, FireFox, or Safari.
XB-ART-54073
Brain 2008 Jul 01;131Pt 7:1686-700. doi: 10.1093/brain/awn076.
Show Gene links Show Anatomy links

From fish to man: understanding endogenous remyelination in central nervous system demyelinating diseases.

Dubois-Dalcq M, Williams A, Stadelmann C, Stankoff B, Zalc B, Lubetzki C.


???displayArticle.abstract???
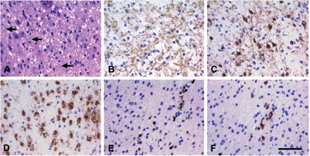
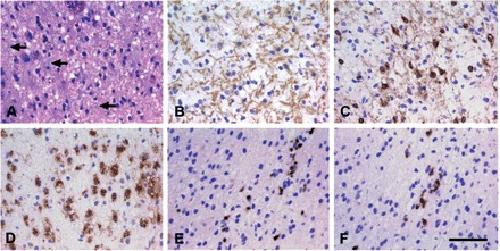
In the central nervous system (CNS) of man, evolutionary pressure has preserved some capability for remyelination while axonal regeneration is very limited. In contrast, two efficient programmes of regeneration exist in the adult fish CNS, neurite regrowth and remyelination. The rapidity of CNS remyelination is critical since it not only restores fast conduction of nerve impulses but also maintains axon integrity. If myelin repair fails, axons degenerate, leading to increased disability. In the human CNS demyelinating disease multiple sclerosis (MS), remyelination often takes place in the midst of inflammation. Here, we discuss recent studies that address the innate repair capabilities of the axon-glia unit from fish to man. We propose that expansion of this research field will help find ways to maintain or enhance spontaneous remyelination in man.

???displayArticle.pubmedLink??? 18474520
???displayArticle.pmcLink??? PMC2516372
???displayArticle.link??? Brain
???displayArticle.grants??? [+]

Species referenced: Xenopus
Genes referenced: birc6 cd3g olig2


???attribute.lit??? ???displayArticles.show???
References [+] :
Aguirre, A functional role for EGFR signaling in myelination and remyelination. 2007, Pubmed