XB-ART-53500
PLoS Genet
2013 Jan 01;99:e1003830. doi: 10.1371/journal.pgen.1003830.
Show Gene links
Show Anatomy links
Binding of NF-κB to nucleosomes: effect of translational positioning, nucleosome remodeling and linker histone H1.
Lone IN, Shukla MS, Charles Richard JL, Peshev ZY, Dimitrov S, Angelov D.
???displayArticle.abstract???
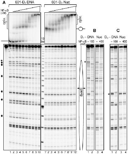
NF-κB is a key transcription factor regulating the expression of inflammatory responsive genes. How NF-κB binds to naked DNA templates is well documented, but how it interacts with chromatin is far from being clear. Here we used a combination of UV laser footprinting, hydroxyl footprinting and electrophoretic mobility shift assay to investigate the binding of NF-κB to nucleosomal templates. We show that NF-κB p50 homodimer is able to bind to its recognition sequence, when it is localized at the edge of the core particle, but not when the recognition sequence is at the interior of the nucleosome. Remodeling of the nucleosome by the chromatin remodeling machine RSC was not sufficient to allow binding of NF-κB to its recognition sequence located in the vicinity of the nucleosome dyad, but RSC-induced histone octamer sliding allowed clearly detectable binding of NF-κB with the slid particle. Importantly, nucleosome dilution-driven removal of H2A-H2B dimer led to complete accessibility of the site located close to the dyad to NF-κB. Finally, we found that NF-κB was able to displace histone H1 and prevent its binding to nucleosome. These data provide important insight on the role of chromatin structure in the regulation of transcription of NF-κB dependent genes.
???displayArticle.pubmedLink??? 24086160
???displayArticle.pmcLink??? PMC3784511
???displayArticle.link??? PLoS Genet
Species referenced: Xenopus
Genes referenced: arhgef7 h2ac21 h2bc21 kidins220 nf1
???attribute.lit??? ???displayArticles.show???
References [+] :
Adams,
Binding of disparate transcriptional activators to nucleosomal DNA is inherently cooperative.
1995, Pubmed
Adams, Binding of disparate transcriptional activators to nucleosomal DNA is inherently cooperative. 1995, Pubmed
Agelopoulos, Epigenetic determination of a cell-specific gene expression program by ATF-2 and the histone variant macroH2A. 2006, Pubmed
Anderson, Sequence and position-dependence of the equilibrium accessibility of nucleosomal DNA target sites. 2000, Pubmed
Angelov, Ultraviolet laser footprinting of histone H1(0)-four-way junction DNA complexes. 1999, Pubmed
Angelov, UV laser footprinting and protein-DNA crosslinking. Application to chromatin. 1999, Pubmed
Angelov, Origin of the heterogeneous distribution of the yield of guanyl radical in UV laser photolyzed DNA. 2005, Pubmed
Angelov, The histone octamer is invisible when NF-kappaB binds to the nucleosome. 2004, Pubmed , Xenbase
Annunziato, Association of newly synthesized histones with replicating and nonreplicating regions of chromatin. 1982, Pubmed
Archer, Transcription factor access is mediated by accurately positioned nucleosomes on the mouse mammary tumor virus promoter. 1991, Pubmed
Armenante, Interleukin-6 repression is associated with a distinctive chromatin structure of the gene. 1999, Pubmed
Barski, High-resolution profiling of histone methylations in the human genome. 2007, Pubmed
Beato, Transcription factor access to chromatin. 1997, Pubmed
Cairns, RSC, an essential, abundant chromatin-remodeling complex. 1996, Pubmed
Catez, Determinants of histone H1 mobility and chromatin binding in living cells. 2006, Pubmed
Chen, Crystal structure of p50/p65 heterodimer of transcription factor NF-kappaB bound to DNA. 1998, Pubmed
Claudet, Histone octamer instability under single molecule experiment conditions. 2005, Pubmed
Cramer, Structure of the human NF-kappaB p52 homodimer-DNA complex at 2.1 A resolution. 1997, Pubmed
DiDonato, NF-κB and the link between inflammation and cancer. 2012, Pubmed
Eisfeld, Binding of NF1 to the MMTV promoter in nucleosomes: influence of rotational phasing, translational positioning and histone H1. 1997, Pubmed
Fascher, Role of trans-activating proteins in the generation of active chromatin at the PHO5 promoter in S. cerevisiae. 1990, Pubmed
Feldmann, Is NF-kappaB a useful therapeutic target in rheumatoid arthritis? 2002, Pubmed
Ghosh, New regulators of NF-kappaB in inflammation. 2008, Pubmed
Ghosh, Structure of NF-kappa B p50 homodimer bound to a kappa B site. 1995, Pubmed
Ghosh, NF-κB regulation: lessons from structures. 2012, Pubmed
Godfrey, Reversible association of calf thymus histones to form the symmetrical octamer (H2AH2BH3H4)2: a case of a mixed-associating system. 1980, Pubmed
Hamiche, Linker histone-dependent DNA structure in linear mononucleosomes. 1996, Pubmed
Han, Nucleosome loss activates yeast downstream promoters in vivo. 1988, Pubmed
Hayden, Signaling to NF-kappaB. 2004, Pubmed
Imbalzano, Facilitated binding of TATA-binding protein to nucleosomal DNA. 1994, Pubmed
Jin, H3.3/H2A.Z double variant-containing nucleosomes mark 'nucleosome-free regions' of active promoters and other regulatory regions. 2009, Pubmed
Karin, NF-kappaB: linking inflammation and immunity to cancer development and progression. 2005, Pubmed
Kawakami, Identification and purification of a human immunoglobulin-enhancer-binding protein (NF-kappa B) that activates transcription from a human immunodeficiency virus type 1 promoter in vitro. 1988, Pubmed
Kelbauskas, Nucleosomal stability and dynamics vary significantly when viewed by internal versus terminal labels. 2008, Pubmed
Kelly, H2A.Z maintenance during mitosis reveals nucleosome shifting on mitotically silenced genes. 2010, Pubmed
Korber, Nucleosome dynamics and epigenetic stability. 2010, Pubmed
Kretzschmar, Transcriptional regulation of the HIV-1 promoter by NF-kappa B in vitro. 1992, Pubmed
Kunsch, Selection of optimal kappa B/Rel DNA-binding motifs: interaction of both subunits of NF-kappa B with DNA is required for transcriptional activation. 1992, Pubmed
Lee, Prolonged glucocorticoid exposure dephosphorylates histone H1 and inactivates the MMTV promoter. 1998, Pubmed
Lenardo, NF-kappa B: a pleiotropic mediator of inducible and tissue-specific gene control. 1989, Pubmed
Li, Rapid spontaneous accessibility of nucleosomal DNA. 2005, Pubmed
Lorch, Histone octamer transfer by a chromatin-remodeling complex. 1999, Pubmed , Xenbase
Lowary, New DNA sequence rules for high affinity binding to histone octamer and sequence-directed nucleosome positioning. 1998, Pubmed
Luger, Expression and purification of recombinant histones and nucleosome reconstitution. 1999, Pubmed
Luger, Crystal structure of the nucleosome core particle at 2.8 A resolution. 1997, Pubmed
Menoni, ATP-dependent chromatin remodeling is required for base excision repair in conventional but not in variant H2A.Bbd nucleosomes. 2007, Pubmed
Menoni, Base excision repair of 8-oxoG in dinucleosomes. 2012, Pubmed
Misteli, Dynamic binding of histone H1 to chromatin in living cells. 2000, Pubmed
Müller, Structure of the NF-kappa B p50 homodimer bound to DNA. 1995, Pubmed
Mutskov, Persistent interactions of core histone tails with nucleosomal DNA following acetylation and transcription factor binding. 1998, Pubmed
Natoli, Interactions of NF-kappaB with chromatin: the art of being at the right place at the right time. 2005, Pubmed
Natoli, NF-κB and chromatin: ten years on the path from basic mechanisms to candidate drugs. 2012, Pubmed
Natoli, Tuning up inflammation: how DNA sequence and chromatin organization control the induction of inflammatory genes by NF-kappaB. 2006, Pubmed
Natoli, Specialized chromatin patterns in the control of inflammatory gene expression. 2011, Pubmed
Pazin, Promoter structure and transcriptional activation with chromatin templates assembled in vitro. A single Gal4-VP16 dimer binds to chromatin or to DNA with comparable affinity. 1998, Pubmed
Perlmann, Specific glucocorticoid receptor binding to DNA reconstituted in a nucleosome. 1988, Pubmed
Piña, Nucleosome positioning modulates accessibility of regulatory proteins to the mouse mammary tumor virus promoter. 1990, Pubmed
Ramirez-Carrozzi, A unifying model for the selective regulation of inducible transcription by CpG islands and nucleosome remodeling. 2009, Pubmed
Ramirez-Carrozzi, Selective and antagonistic functions of SWI/SNF and Mi-2beta nucleosome remodeling complexes during an inflammatory response. 2006, Pubmed
Saccani, Two waves of nuclear factor kappaB recruitment to target promoters. 2001, Pubmed
Sen, Multiple nuclear factors interact with the immunoglobulin enhancer sequences. 1986, Pubmed
Sheridan, Activation of the HIV-1 enhancer by the LEF-1 HMG protein on nucleosome-assembled DNA in vitro. 1995, Pubmed
Shukla, Remosomes: RSC generated non-mobilized particles with approximately 180 bp DNA loosely associated with the histone octamer. 2010, Pubmed , Xenbase
Siggers, Principles of dimer-specific gene regulation revealed by a comprehensive characterization of NF-κB family DNA binding. 2011, Pubmed
Spassky, Influence of the local helical conformation on the guanine modifications generated from one-electron DNA oxidation. 1997, Pubmed
Steger, Stable co-occupancy of transcription factors and histones at the HIV-1 enhancer. 1997, Pubmed
Syed, Single-base resolution mapping of H1-nucleosome interactions and 3D organization of the nucleosome. 2010, Pubmed
Taylor, Facilitated binding of GAL4 and heat shock factor to nucleosomal templates: differential function of DNA-binding domains. 1991, Pubmed , Xenbase
Utley, SWI/SNF stimulates the formation of disparate activator-nucleosome complexes but is partially redundant with cooperative binding. 1997, Pubmed
Varga-Weisz, Transcription factor-mediated chromatin remodelling: mechanisms and models. 1995, Pubmed
Weinmann, Rapid and selective remodeling of a positioned nucleosome during the induction of IL-12 p40 transcription. 1999, Pubmed
Wong, Extensive characterization of NF-κB binding uncovers non-canonical motifs and advances the interpretation of genetic functional traits. 2011, Pubmed
Yang, The core histone tail domains contribute to sequence-dependent nucleosome positioning. 2007, Pubmed , Xenbase
Zlatanova, Linker histone binding and displacement: versatile mechanism for transcriptional regulation. 2000, Pubmed
Zofall, Chromatin remodeling by ISW2 and SWI/SNF requires DNA translocation inside the nucleosome. 2006, Pubmed
Zofall, Functional role of extranucleosomal DNA and the entry site of the nucleosome in chromatin remodeling by ISW2. 2004, Pubmed
