|
Figure 1. Expression and purification of recombinant aprataxin in baculovirus expression system. (A) Construct of His-tagged long-form aprataxin (His-LA) expressed using Bac-to-Bac® Baculovirus Expression System. (B) Chromatogram of gel-filtered aprataxin. Following immobilized metal affinity chromatography, the aprataxin-rich fraction was purified by gel filtration column chromatography. A major peak was observed for each of the fractions from 13 to 20 in the chromatogram. (C) The fractionated extracts were separated by SDS-PAGE and stained with Coomassie brilliant blue (CBB). A 39-kDa single band is detected for each of the fractions from 14 to 19. Western blot analysis using the anti-His antibody (D) and anti-aprataxin antibody (E) shows a 39-kDa immunoreactive product in each of the fractions from 13 to 21. |
|
Figure 2. 3′-End processing by aprataxin. (A) Aprataxin removes 3′-phosphate. The 5′-FITC-labeled 3′-phosphate (3′ − PO3⁁ −) oligonucleotide was incubated in the absence (lane 2) or presence of aprataxin at different concentrations (25, 50 and 100 nM, lanes 3–5). A band with the same size as that of the 3′-hydroxyl (3′-OH) oligonucleotide (lane 1) appears in lanes with aprataxin (lanes 3–5). 5′-Polynucleotide kinase 3′-phosphatase (PNKP) was used as the positive control (lane 6). Reaction products were separated by 20% PAGE and visualized using a fluorescence gel scanner. (B) Aprataxin removes DNA 3′-phosphoglycolate. The 5′-FITC–labeled 3′-phosphoglycolate (3′-PG) oligonucleotide was incubated in the absence (lane 1) or presence of aprataxin at different concentrations (25, 50 and 100 nM, lanes 2–4). The amount of the 3′-OH oligonucleotide increases with aprataxin concentration (lanes 2–4). Apurinic/apyrimidinic endonuclease (APE1) was used as the positive control (lane 5). (C) Aprataxin fails to remove 3′-α, β-unsaturated aldehyde. The 5′-FITC-labeled 3′-α, β-unsaturated aldehyde (3′-UA) oligonucleotide was incubated in the absence (lane 1) or presence of aprataxin at different concentrations (25, 50 and 100 nM, lanes 2–4). The amount of the 3′-UA oligonucleotide does not decrease with increasing aprataxin concentration (lanes 2–4). The 3′-OH oligonucleotides were generated in the presence of APE1 (lane 5). The faint smear corresponding to the 3′-UA oligonucleotide in lanes 1–5 is an artifact generated under the electrophoresis conditions employed. (D) Aprataxin fails to remove 3′-phosphotyrosine end. The 5′-FITC-labeled 3′-phosphotyrosine (3′-Y) oligonucleotide was incubated in the absence (lane 1) or presence of aprataxin at different concentrations (25, 50 and 100 nM, lanes 2–4). The amount of the 3′-Y oligonucleotide do not decrease with increasing aprataxin concentration (lanes 2–4). 3′-PO3 oligonucleotides were generated in the presence of tyrosyl-DNA phosphodiesterase 1 (TDP1) (lane 5). |
|
Figure 3. Expression of recombinant GST-aprataxin fusion protein. (A) Constructs of GST-aprataxin fusion proteins. Constructs of GST fusion protein containing full-length aprataxin (long-form aprataxin, LA), the C-terminal region of aprataxin (short-form aprataxin, SA), the N-terminal FHA domain of aprataxin (FHA) and full-length aprataxin with P206L or V263G (P206L, V263G). (B) Expression and purification of GST-aprataxin fusion proteins. Recombinant GST fusion proteins containing LA (lanes 1, 6 and 11), SA (lanes 2, 7 and 12), FHA (lanes 3, 8 and 13), P206L (lanes 4, 9 and 14) and V263G (lanes 5, 10 and 15) were expressed in the bacterial expression system. Purified products were analyzed by CBB staining (left panel), and western blotting using the anti-GST antibody (middle panel) or anti-aprataxin antibody (right panel). |
|
Figure 4. Disease-associated mutant forms of aprataxin lack their 3′-end processing activity. (A) Mutant forms of aprataxin fail to remove 3′-phosphate. The 5′-FITC-labeled 3′-phosphate (3′ − PO3⁁ −) oligonucleotide was incubated in the presence of 50 nM recombinant GST fusion proteins containing LA (lanes 2–4), SA (lanes 5–7), FHA (lanes 8–10), P206L (lanes 11–13), and V263G (lanes 14–16) at different incubation times (0, 30 and 60 min). A band of the same size as that corresponding to the 3′-hydroxyl (3′-OH) oligonucleotide (lane 1) appears in lanes with LA (lanes 3 and 4). SA showed a weak phosphatase activity (lanes 5–7). Neither FHA, P206L nor V263G showed phosphatase activity (lanes 8–16). (B) Mutant forms of aprataxin fail to remove 3′-phosphoglycolate. The 5′-FITC-labeled 3′-PG oligonucleotide was incubated in the presence of 50 nM recombinant GST fusion proteins containing LA (lanes 3–5), SA (lanes 6–8), FHA (lanes 9–11), P206L (lanes 12–14) and V263G (lanes 15–17) at different incubation times (0, 30 and 60 min). A band of the same size as that corresponding to the 3′-OH oligonucleotide (lane 2) appears in lanes with LA (lanes 3 and 4). SA showed a weak 3′-PG hydrolase activity (lanes 6–8). Neither FHA, P206L nor V263G removed 3′-PG (lanes 9–17). |
|
Figure 5. Aprataxin 3′-end processing activities on ss and ds DNA substrates. (A–C) 3′-Phosphatase activity of aprataxin on ss and ds DNA substrates. (A) The ss, recessed, one-nucleotide gapped and nicked DNA substrates with 3′-phosphate ends used are shown schematically. (B) Aprataxin preferentially acts on ss DNA. The substrates were incubated with 20 nM LA for the indicated times (0, 30, 60 and 90 min) at 37°C. Products were separated by denaturing PAGE and visualized using a Typhoon 9400 scanner (GE Healthcare). (C) Production rates in each reaction were quantified by ImageQuant TL (GE Healthcare). Error bars indicate standard errors for more than three independent experiments. (D–F) 3′-PG hydrolase activity of aprataxin on ss and ds DNA substrates. (D) The ss, recessed, one-nucleotide gapped and nicked DNA substrates with 3′-PG ends used are shown schematically. (E) Aprataxin preferentially acts on ss and gapped DNA. The substrates were incubated with 20 nM LA for the indicated times (0, 30, 60 and 90 min) at 37°C. (F) Production rates in each reaction were quantified as described above. |
|
Figure 6. Recombinant aprataxin fails to efficiently hydrolase GpppBODIPY or ApppBODIPY. GpppBODIPY (A) or ApppBODIPY (B) was incubated with recombinant His-tagged long-form aprataxin obtained from the baculovirus expression system (His-LA, lanes 4–6), recombinant GST fusion proteins containing LA (lanes 7 and 8), SA (lanes 9 and 10) and FHA (lanes 11 and 12). None of them showed lysine hydrolase activity (lanes 4–12). Fhit at 10 and 100 mU as the positive control showed GMP-lysine hydrolase activity (lanes 2 and 3). |
|
Figure 7. Removal of adenylate residues from 5′-ends by aprataxin. (A) Aprataxin removes AMP from 5′-ends of nicked ds DNA. The 45-mer ds DNA harboring a nick with 5′-AMP ends was incubated with the indicated amounts of aprataxin for 1 h. A band of the same size as that corresponding to the 5′-phosphate (5′ − PO3⁁ −) oligonucleotide appears in lanes with aprataxin. PNKP was used as the negative control. (B) Mutant forms of aprataxin fail to remove 5′-AMP. The 45-mer ds DNA harboring a nick with 5′-AMP ends was incubated in the presence of 50 nM recombinant GST fusion proteins containing LA (lanes 2–4), SA (lanes 5–7), FHA (lanes 8–10), P206L (lanes 11–13) and V263G (lanes 14–16) at different incubation times (0, 30 and 60 min). SA showed a lower 5′-AMP hydrolysis activity (lanes 5–7) than LA. Neither FHA, P206L nor V263G removed 5′-AMP (lanes 8–16). (C) Production rates in each reaction were quantified. Error bars indicate standard errors for more than three independent experiments. |
|
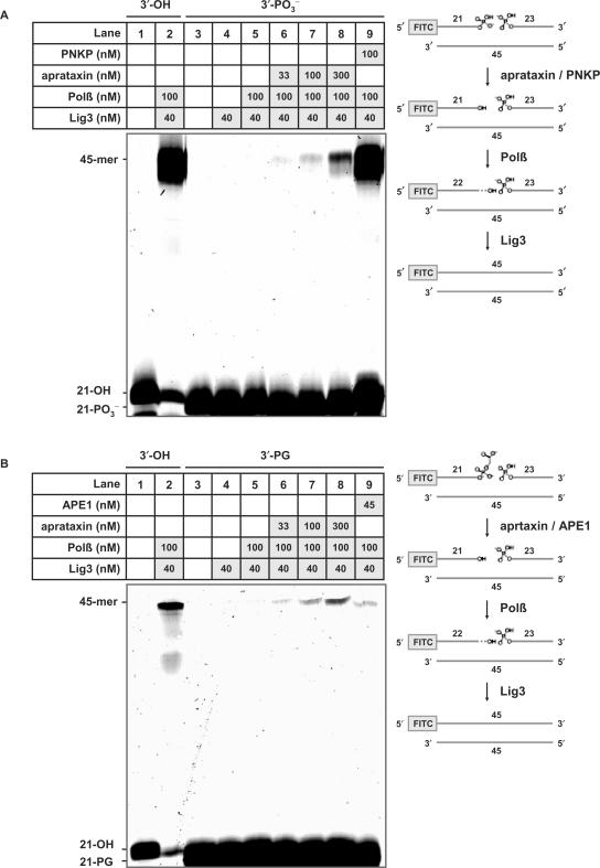
Figure 8. Aprataxin repairs SSBs with damaged 3′-ends. (A) DNA repair assay employing gapped dsDNA with 3′-phosphate ends as substrate. The 45-mer ds DNA substrate harboring a 1-nt gap with 3′-phosphate (3′ − PO3⁁ −) ends was incubated in the absence (lane 3) or presence of each of the indicated recombinant human proteins for 90 min (lanes 4–9). The 45-mer ds DNA substrate, harboring a 1-nt gap with 3′-hydroxyl (3′-OH) ends, was incubated in the absence (lane 1) or presence of each indicated recombinant human protein (lane 2). Complete repair is indicated by the generation of the 5′-FITC-labeled 45-mer oligonucleotide. The amount of 5′-FITC-labeled 45-mer increased with the concentration of aprataxin (lanes 6–8). PNKP was used as the positive control (lane 9). (B) DNA repair assay employing gapped dsDNA with 3′-phosphoglycolate ends as substrate. The 45-mer duplex substrate harboring a 1-nt gap with 3′-phosphoglycolate (3′-PG) ends was incubated in the absence (lane 3) or presence of each of the indicated recombinant human proteins for 90 min (lanes 4–9). The 45-mer duplex substrate harboring a 1-nt gap with 3′-OH ends was incubated in the absence (lane 1) or presence of each indicated recombinant human protein (lane 2). The amount of the FITC-labeled 45-mer oligonucleotide increases with aprataxin concentration (lanes 6–8). APE1 was used as the positive control (lane 9). The structures of the substrates employed in these experiments are shown on the right side of each panel. |
|
Figure 9. Model of aprataxin-dependent SSBR pathway. Four SSBR pathways defined by the type of enzyme that removes damaged 3′-ends are shown (a, b, c and d). SSBs can arise directly from sugar damage or TOP1 cleavage or indirectly from base damage. Red circles denote the damaged ends, the specific types of which are dependent on the source of the break. [1,2] PARP detects SSBs, thereby recruiting the XRCC1 and Lig3 complex. XRCC1 then replaces PARP. [3] The processing of damaged 3′-ends is mediated by either APE1 (a), aprataxin (b), PNKP (c) or TDP1 (d), depending on the type of damaged 3′-end. These damaged 3′-ends should be converted to 3′-OH ends for subsequent repair processes. In the pathway for repairing indirectly induced SSBs, damaged 3′-α, β unsaturated aldehyde ends are removed by APE1 (a). In the pathway for repairing directly induced SSBs, 3′-PG ends might be removed by aprataxin (b) and 3′-phosphate ends by aprataxin or PNKP (b,c). In the pathway for repairing TOP1-mediated SSBs, TOP1 covalent complexes at the 3′-ends are restored to 3′-phosphate ends by TDP1 (d). [4] After removing damaged 3′-ends, Pol β fills the gap (red dot line). [5] Lig3 seals the single-strand nick (red line). |