Click here to close
Hello! We notice that you are using Internet Explorer, which is not supported by Xenbase and may cause the site to display incorrectly.
We suggest using a current version of Chrome,
FireFox, or Safari.
Regeneration (Oxf)
2014 May 28;12:26-36. doi: 10.1002/reg2.11.
Show Gene links
Show Anatomy links
Ectopic blastema induction by nerve deviation and skin wounding: a new regeneration model in Xenopus laevis.
Mitogawa K, Hirata A, Moriyasu M, Makanae A, Miura S, Endo T, Satoh A.
???displayArticle.abstract???
Recently, the accessory limb model (ALM) has become an alternative study system for limb regeneration studies in axolotls instead of using an amputated limb. ALM progresses limb regeneration study in axolotls because of its advantages. To apply and/or to compare knowledge in axolotl ALM studies to other vertebrates is a conceivable next step. First, Xenopus laevis, an anuran amphibian, was investigated. A Xenopus frog has hypomorphic regeneration ability. Its regeneration ability has been considered intermediate between that of non-regenerative higher vertebrates and regenerative urodele amphibians. Here, we successfully induced an accessory blastema in Xenopus by skin wounding and rerouting of brachial nerve bundles to the wound site, which is the regular ALM surgery. The induced Xenopus ALM blastemas have limited regenerative potential compared with axolotl ALM blastemas. Comparison of ALM blastemas from species with different regenerative potentials may facilitate the identification of the novel expression programs necessary for the formation of cartilage and other tissues during limb regeneration.
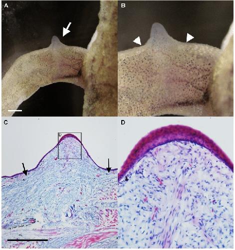
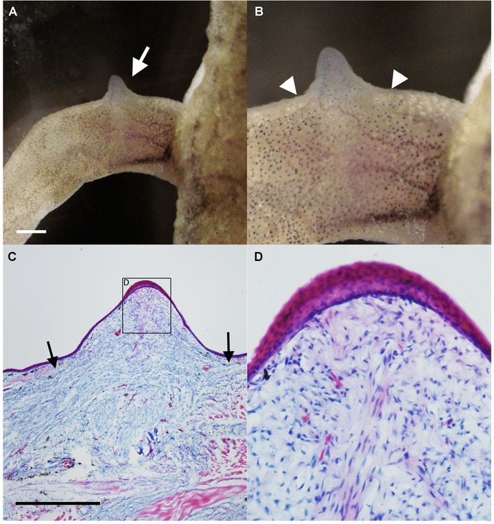
Figure 1. ALM blastema‐like formation (bump) in Xenopus laevis. (A, B) Nerve deviation to the skin wound resulted in induction of the bump. Arrow in A indicates the induced bump. Arrowheads in B indicate the border of the wounded skin. (C, D) Histological observations. (C) In the bump region, many mesenchymal cells can be observed. Arrows indicate the border of the dermal collagen layer. (D) Higher magnification of (C). The distal epithelium, which is expected to be an AEC, was thickened. Scale bars in (A) and (C) are 1 mm.
Figure 2. Gene expression pattern in the bump. (A) Neural tubulin (acetylated alpha‐tubulin) was visualized by immunofluorescence. The white arrow indicates the thick nerve bundle observed in the center of the bump. The deviated nerves abundantly penetrate into the overlying epithelium (inset). (B) One of the classical blastema marker genes, fibronectin, was investigated. The signal of fibronectin can be seen in the blastemal region and the epithelium−mesenchyme boundary shows intense fibronectin signal (inset). (C) Type II collagen expression. Type II collagen is a cartilage marker gene and negative in the bump. The inset shows the signal in the limb cartilage located in the proximal region as the positive control. (D, E) Prrx1 expression. Prrx1 can be seen in the blastemal mesenchyme in the ALM blastema (D) and the regular blastema in the amputated limb (E). The dotted line in (E) indicates the presumptive amputation plane. All conditions of the in situ hybridization were the same in (D) and (E). Scale bars in (A) and (D) are 0.5 mm.
Figure 3. RT‐PCR analysis of the induced bump. Gene expression pattern was investigated by RT‐PCR. Samples were prepared from the induced bumps (2 weeks after the surgery), regular blastemas (MB; 2 weeks after amputation), and intact skin. Msx1b, Fgf10, Fgf8, and Prrx1 were positive in both the bump and the regular blastema, while they were negative in intact skin. Hoxa13 could not be detected in the bump but could be detected in the regular blastema. Bmp genes were also investigated by RT‐PCR. Bmp2, 4, and 7 were positive in both the bump and the regular blastema. Type II collagen and Sox9 were unexpectedly detectable in the bump, but the regular blastema showed much higher expression level. Ef1α was an internal control.
Figure 4. The induced bump did not contain cartilaginous cells. (A, B) Dorsal views of the day 20 bump. The induced bump stopped growing at day 20. (C) Histology of the bump. There are no Alcian‐blue‐positive cartilage cells in the mesenchymal region. (D, E) Higher magnification of the boxed regions in (C). Arrows in (D) and (E) indicate developing basal laminae. (F) Axons were visualized by immunofluorescence using anti‐acetylated alpha‐tubulin. In the distal region, highly innervated axon fibers in the epithelium were not observed in the day 20 bump (inset). (G) Myosin heavy chain (MHC) expression. There were no MHC‐positive myogenic cells in the bump. Scale bars in (A) and (B) are 1 mm. The scale bar in (C) is 500 μm. (C), (F), and (G) are the same magnification. The scale bar in (D) is 20 μm. (D) and (E) are the same magnification.
Figure 5. Cartilaginous spike induction by deep wounding. (A) Time course of the induced bump and spike induction. Skin wounding plus nerve deviation result in bump formation. In this case, a small bump can be seen within 12 days, but it starts regressing by day 19. On the other hand, when a deep wound is created enough to damage a stylopod bone, a cartilaginous spike can be observed. In this case, a relatively smaller bump can be observed at day 12. The induced bump kept growing up to spike formation. (B, C) Induced cartilaginous spike at day 45. (D) Whole‐mount Alcian blue staining. Scale bars in (A), (B), (C), and (D) are 2 mm.
Figure 6. Section of the cartilaginous spike induction by deep wounding. (A) Histological observation. Alcian‐blue‐positive cartilage extends from the stylopod. (B, C) Acetylated alpha‐tubulin expression. (D, E) Type II collagen (T2 Col.) expression. (F, G) MHC expression. (B)−(G) are the boxed region of (A). The scale bar in (A) is 1 mm.
Cannata,
Nerve-independence of limb regeneration in larval Xenopus laevis is correlated to the level of fgf-2 mRNA expression in limb tissues.
2001, Pubmed,
Xenbase
Cannata,
Nerve-independence of limb regeneration in larval Xenopus laevis is correlated to the level of fgf-2 mRNA expression in limb tissues.
2001,
Pubmed
,
Xenbase Christensen,
Apical epithelial cap morphology and fibronectin gene expression in regenerating axolotl limbs.
2000,
Pubmed D'Antonio,
Gene profiling and bioinformatic analysis of Schwann cell embryonic development and myelination.
2006,
Pubmed Endo,
Analysis of gene expressions during Xenopus forelimb regeneration.
2000,
Pubmed
,
Xenbase Endo,
A stepwise model system for limb regeneration.
2004,
Pubmed Gardiner,
The migration of dermal cells during blastema formation in axolotls.
1986,
Pubmed Hirata,
Dermal fibroblasts contribute to multiple tissues in the accessory limb model.
2010,
Pubmed Ide,
Bone pattern formation in mouse limbs after amputation at the forearm level.
2012,
Pubmed Koshiba,
Expression of Msx genes in regenerating and developing limbs of axolotl.
1998,
Pubmed Kragl,
Cells keep a memory of their tissue origin during axolotl limb regeneration.
2009,
Pubmed Kumar,
Molecular basis for the nerve dependence of limb regeneration in an adult vertebrate.
2007,
Pubmed Makanae,
Nerve independent limb induction in axolotls.
2013,
Pubmed Makanae,
Early regulation of axolotl limb regeneration.
2012,
Pubmed Martin,
Making a vertebrate limb: new players enter from the wings.
2001,
Pubmed Muneoka,
Cellular contribution to supernumerary limbs in the axolotl, Ambystoma mexicanum.
1984,
Pubmed Muneoka,
Cellular contribution to supernumerary limbs resulting from the interaction between developing and regenerating tissues in the axolotl.
1984,
Pubmed Nye,
Regeneration of the urodele limb: a review.
2003,
Pubmed
,
Xenbase Ohgo,
Analysis of hoxa11 and hoxa13 expression during patternless limb regeneration in Xenopus.
2010,
Pubmed
,
Xenbase Satoh,
Nerve-induced ectopic limb blastemas in the Axolotl are equivalent to amputation-induced blastemas.
2007,
Pubmed Satoh,
Neurotrophic regulation of fibroblast dedifferentiation during limb skeletal regeneration in the axolotl (Ambystoma mexicanum).
2010,
Pubmed Satoh,
Characterization of Xenopus digits and regenerated limbs of the froglet.
2006,
Pubmed
,
Xenbase Satoh,
Neurotrophic regulation of epidermal dedifferentiation during wound healing and limb regeneration in the axolotl (Ambystoma mexicanum).
2008,
Pubmed Satoh,
Blastema induction in aneurogenic state and Prrx-1 regulation by MMPs and FGFs in Ambystoma mexicanum limb regeneration.
2011,
Pubmed Satoh,
Regulation of proximal-distal intercalation during limb regeneration in the axolotl (Ambystoma mexicanum).
2010,
Pubmed Satoh,
Muscle formation in regenerating Xenopus froglet limb.
2005,
Pubmed
,
Xenbase Sessions,
Evidence that regenerative ability is an intrinsic property of limb cells in Xenopus.
1988,
Pubmed
,
Xenbase Shi,
Expression and functional role of Sox9 in human epidermal keratinocytes.
2013,
Pubmed Suzuki,
Nerve-dependent and -independent events in blastema formation during Xenopus froglet limb regeneration.
2005,
Pubmed
,
Xenbase Suzuki,
Limb regeneration in Xenopus laevis froglet.
2006,
Pubmed
,
Xenbase Tassava,
Forelimb spike regeneration in Xenopus laevis: Testing for adaptiveness.
2004,
Pubmed
,
Xenbase Yokoyama,
Mesenchyme with fgf-10 expression is responsible for regenerative capacity in Xenopus limb buds.
2000,
Pubmed
,
Xenbase Yokoyama,
Different requirement for Wnt/β-catenin signaling in limb regeneration of larval and adult Xenopus.
2011,
Pubmed
,
Xenbase Yu,
BMP2 induces segment-specific skeletal regeneration from digit and limb amputations by establishing a new endochondral ossification center.
2012,
Pubmed